Reports & Studi

Il paziente trapiantato con iperplasia gengivale*

© Dr G. Schmalz y Dr D. Ziebolz MSc
Fotografi: © Dr G. Schmalz y Dr D. Ziebolz MSc
© Dr G. Schmalz y Dr D. Ziebolz MSc

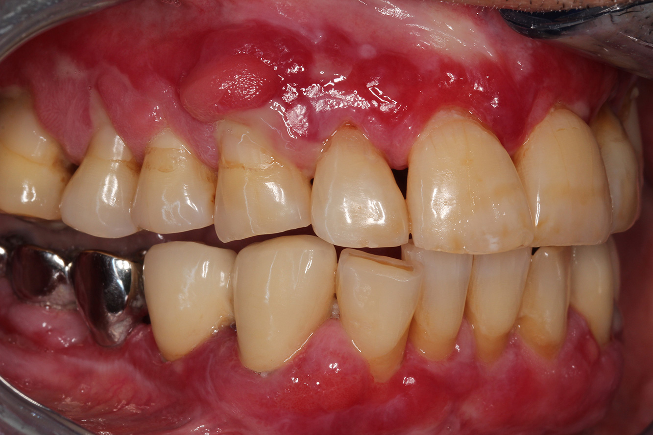
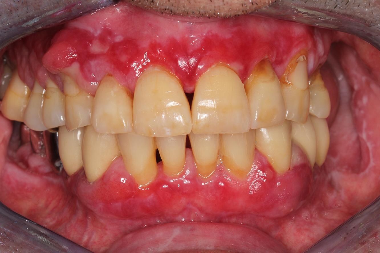
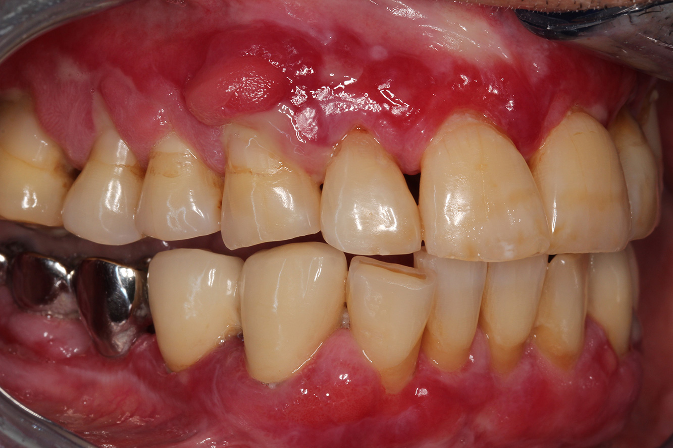
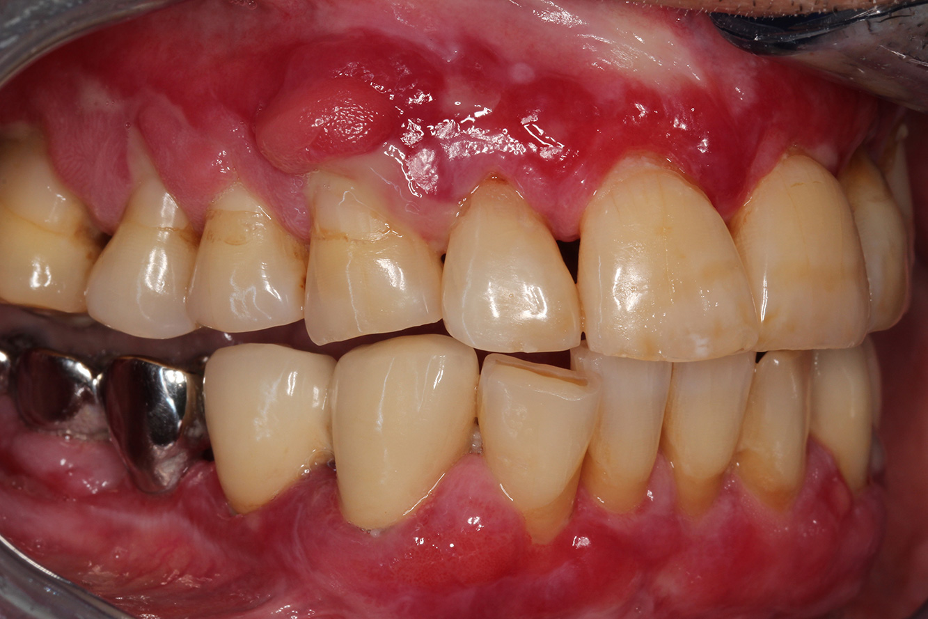
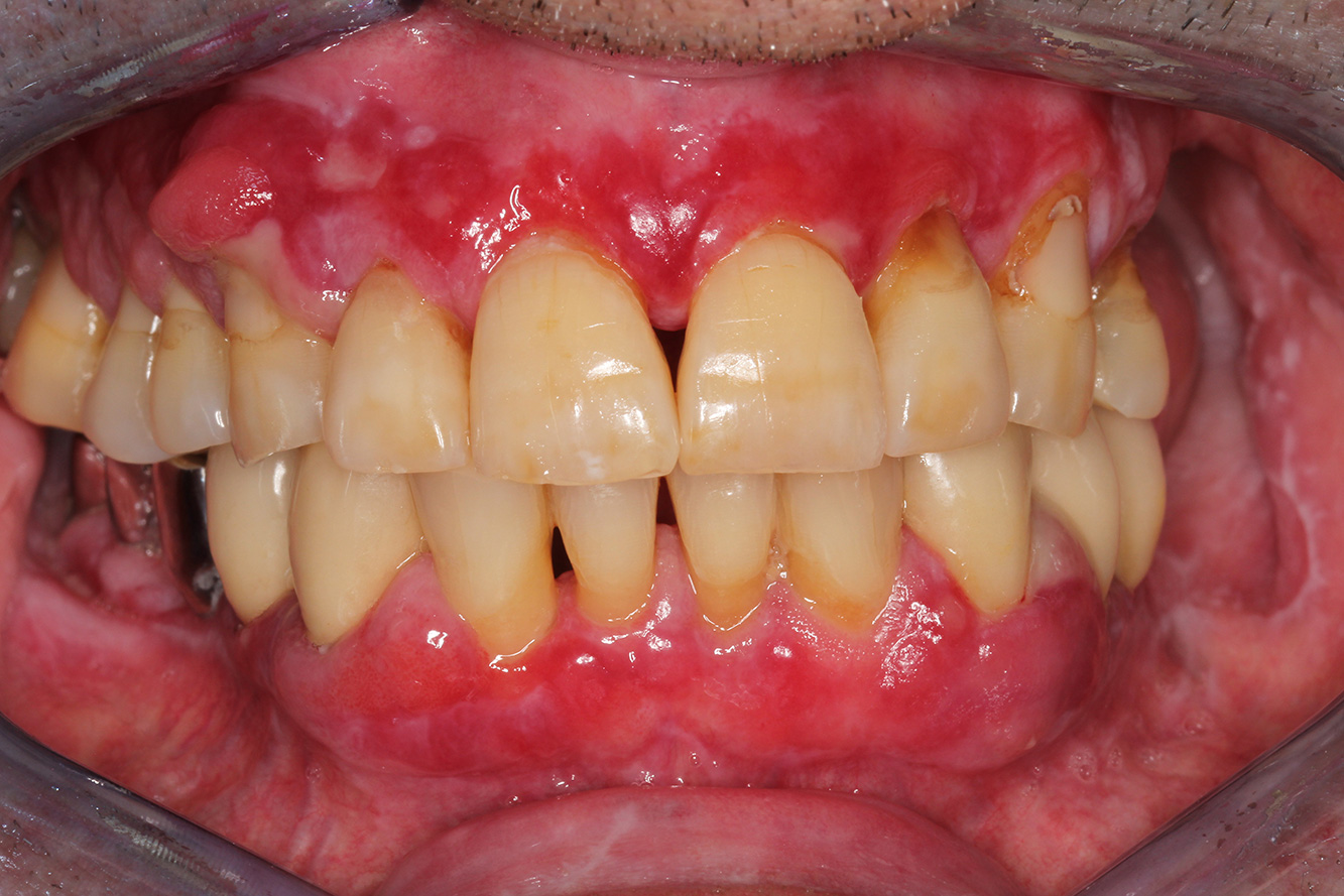
Si presenta un paziente di 71 anni che ha subito un trapianto di reni e con anamnesi di ipertonia (ipertensione). Considerata la sua storia clinica, serve una terapia a lungo termine con ciclosporina che ha un effetto immunosoppressivo e amlodipina che è specifica contro l'ipertensione. Il paziente riporta anche gengive sensibili e sanguinanti. Per quanto riguarda invece lo stato di salute orale, il paziente ha un restauro, presenta un'iperplasia gengivale marcata, una parodontite allo stadio II, grado B con tasche attive e un'iniziale carie radicolare al dente 22 e in più mancano otto denti. Dalla valutazione del rischio di carie si evince un rischio moderato di carie (API 60). Per la seduta di profilassi si possono formulare i seguenti consigli per il trattamento.

Secondo Lang & Tonetti
ParoStatus®.de

Sulla base dell'anamnesi del paziente si può rilevare un rischio particolare di complicazioni. Il paziente è immunodepresso (ciclosporina) in seguito al
trapianto di reni, quindi ha un sistema immunitario debole e necessita di una profilassi contro le infezioni (raccomandazione: 2 g di amoxicillina come antibiotico un'ora prima della seduta). Al tempo stesso, la terapia a lungo termine del paziente si traduce in un rischio aumentato di malattia, perché l'iperplasia gengivale riscontrata è associata proprio a questa terapia (20).

Bisogna quindi affrontare la situazione del paziente, in particolare per quel che riguarda training e istruzioni. Il paziente ha difficoltà a seguire una
corretta igiene orale a casa per via dell'iperplasia gengivale. Bisogna quindi parlare in modo chiaro con il paziente della sua maggior esposizione
alle infezioni così come della progressione e della ricomparsa dell'iperplasia (22). Al tempo stesso, bisogna istruire il paziente circa le tecniche di igiene
orale adatte per le sue esigenze specifiche.

Non vi sono raccomandazioni specifiche per la pulizia. Secondo i referti, sarebbe opportuno ricorrere alla lucidatura con testina rotante in modo
selettivo nelle aree sensibili all'erosione. Siccome lo stato di salute orale del paziente è fragile, durante la seduta di profilassi è importante creare le
migliori condizioni possibili per l'igiene domestica, ad esempio levigando le superfici, praticando la fluorizzazione per la prevenzione delle carie e
usando un collutorio a base di cloressidina per il trattamento delle infiammazioni attive.

Per questo paziente si consiglia un intervallo di richiamo ravvicinato di tre-quattro mesi. Ciò dipende in larga parte dall'iperplasia gengivale associata alla terapia del paziente, dal fatto che tale iperplasia complica la pratica dell'igiene orale a casa e dal rischio di progressione della parodontite.


* per gentile concessione di Dr G. Schmalz e Prof. Dr. D. Ziebolz MSc.


Individual Prophy Cycle – Il concetto di prevenzione orientato al paziente


Dr G. Schmalz
Dr G. Schmalz

Priv-Doz Il dottor Gerhard Schmalz è un medico senior presso il Policlinico per la conservazione dei denti e la parodontologia, Ospedale universitario di Lipsia, Lipsia (Direttore: Prof Dr Rainer Haak).

Prof. Dr D. Ziebolz MSc.
Prof. Dr D. Ziebolz MSc.

Il Prof Dr Dirk Ziebolz MSc è un medico senior presso il Policlinico per la conservazione dei denti e la parodontologia, Centro medico dell'Università di Lipsia (Direttore: Prof Dr R. Haak); con particolare attenzione alla conservazione interdisciplinare dei denti e alla ricerca sui servizi sanitari.


List of references

  1. Chapple IL, Bouchard P, Cagetti MG, Campus G, Carra MC, Cocco F, et al. Interaction of lifestyle, behaviour or systemic diseases with dental caries and periodontal diseases: consensus report of group 2 of the joint EFP/ORCA workshop on the boundaries between caries and periodontal diseases. J Clin Periodontol. 2017;44 Suppl 18:S39-s51
  2. Schmalz G, Ziebolz D, Individualisierte Prävention-ein patientenorientiertes Präventionskonzept für die zahnärztliche Praxis, ZWR- Das deutsche Zahnärzteblatt 2020;129;147-156
  3. Fresmann S., So sieht eine durchdachtes Prophylaxekonzept aus; Dental Magazin: Deutscher Ärzteverlag GmbH; 2015
  4. Schmalz G, Ziebolz D, Individualisierte Prävention-fallorientierte Bedarfsprävention, ZWR- Das deutsche Zahnärzteblatt 2020;129;33-41
  5. Schmalz G, Ziebolz D, Individualisierte Prävention-Implikation allgemeingesundheitlicher Faktoren, ZWR- Das deutsche Zahnärzteblatt 2019;128;295-304
  6. Wang C, Zhao Y, Zheng S, Xue J, Zhou J, Tang Y, et al. Effect of enamel morphology on nanoscale adhesion forces of streptococcal bacteria: An AFM study. Scanning. 2015;37(5):313-21
  7. Pence SD, Chambers DA, van Tets IG, Wolf RC, Pfeiffer DC. Repetitive coronal polishing yields minimal enamel loss. Journal of dental hygiene: JDH. 2011;85(4):348-57.
  8. Kumar PS. From focal sepsis to periodontal medicine: a century of exploring the role of the oral microbiome in systemic disease. The Journal of Physiology. 2017;595(2):465-76
  9. Lalla E, Papapanou PN. Diabetes mellitus and periodontitis: a tale of two common interrelated diseases. Nature Reviews Endocrinology. 2011;7:738
  10. Miller WR, Moyers TB. Eight Stages in Learning Motivational Interviewing. Journal of Teaching in the Addictions. 2006;5(1):3-17
  11. Paradigmenwechsel im Biofilmmanagement [Internet]. Spitta GmbH. 2014. https://www.pnc-aktuell.de/prophylaxe/story/paradigmenwechsel-im-biofilmmanagement__3512.html
  12. Christensen RP, Bangerter VW. Determination of rpm, time, and load used in oral prophylaxis polishing in vivo. J Dent Res. 1984; 63(12):1376-1382
  13. Graumann SJ, Sensat ML, Stoltenberg JL. Air polishing: a review of current literature. Journal of dental hygiene : JDH. 2013;87(4):173-80
  14. Bordoloi P, Ramesh A, Thomas B, Bhandary R. Epidemiological survey of dentinal hypersensitivity after oral prophylaxis. J Cont Med A Dent. 2018;6(1)
  15. James P, Worthington HV, Parnell C, Harding M, Lamont T, Cheung A, et al. Chlorhexidine mouthrinse as an adjunctive treatment for gingival health. The Cochrane database of systematic reviews. 2017;3:Cd008676
  16. Sawai MA, Bhardwaj A, Jafri Z, Sultan N, Daing A. Tooth polishing: The current status. Journal of Indian Society of Periodontology. 2015;19(4):375-80
  17. Slayton RL, Urquhart O, Araujo MWB, Fontana M, Guzman-Armstrong S, Nascimento MM, et al. Evidence-based clinical practice guideline on nonrestorative treatments for carious lesions: A report from the American Dental Association. J Am Dent Assoc. 2018;149(10):837-49 e19
  18. Gleissner E. Erfolgreiche Prävention auch in schwierigen Fällen. Allgemeine Zahnheilkunde: ZMK-aktuell; 2019
  19. Derks J, Schaller D, Hakansson J, Wennstrom JL, Tomasi C, Berglundh T. Effectiveness of Implant Therapy Analyzed in a Swedish Population: Prevalence of Peri-implantitis. Journal of dental research 2016;95:43-49
  20. Newton JT, Asimakopoulou K. Managing oral hygiene as a risk factor for periodontal disease: a systematic review of psychological approaches to behaviour change for improved plaque control in periodontal management. Journal of Clinical Periodontology 2015;42:S36-S46
  21. Veitz-Keenan A, James R, Implant outcomes poorer in patients with history of periodontal disease, Evicénce-Based-Dentistry 18, 5 (2017)

Commenti