Reports & Studi

La paziente diabetica con una buona igiene orale*

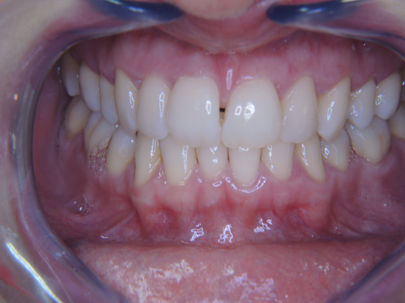
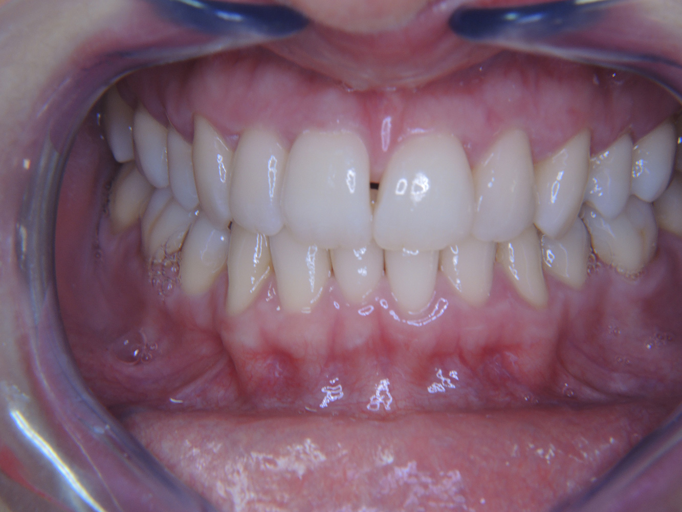
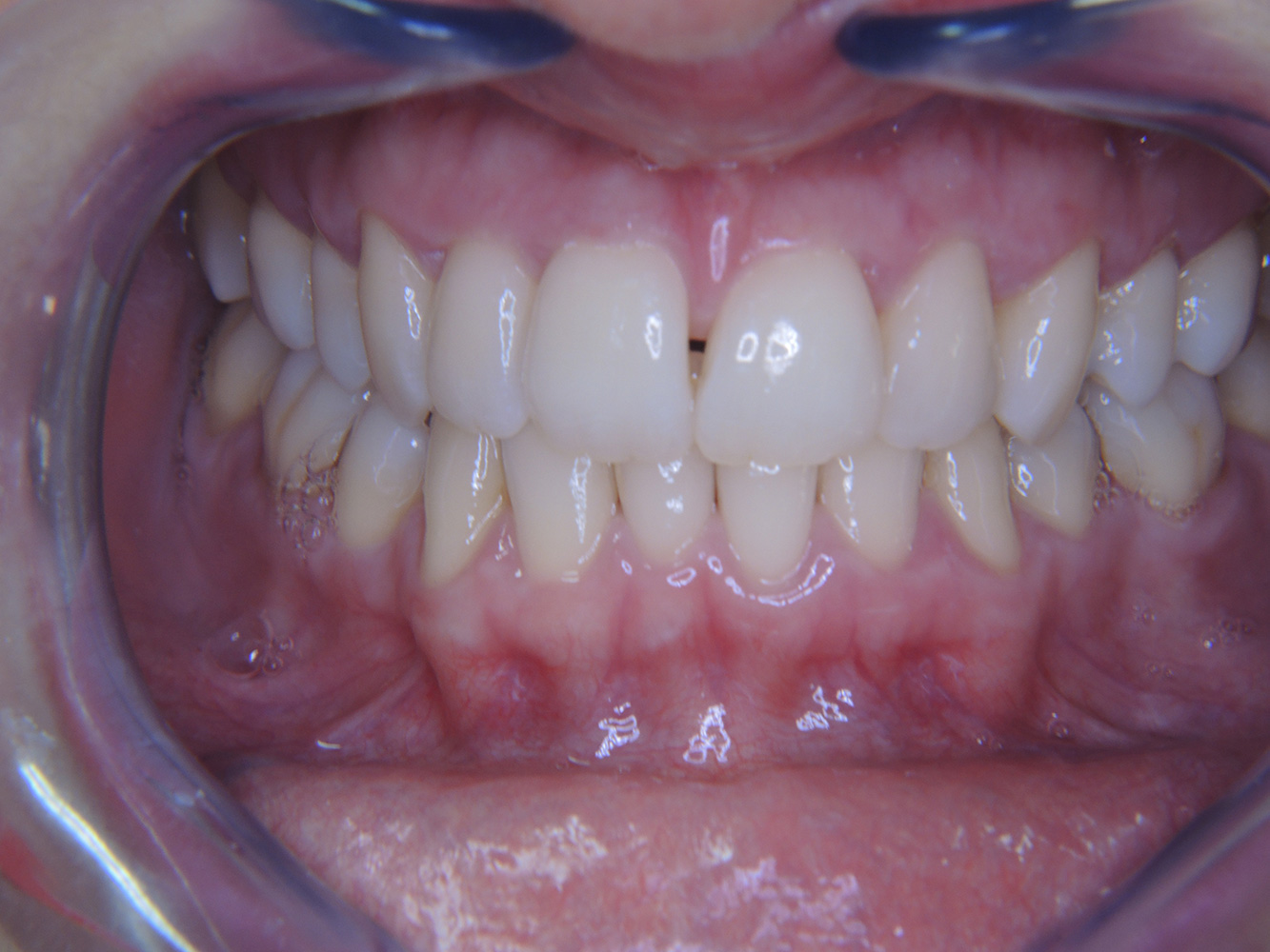
Una paziente diabetica di 51 anni con una buona igiene orale si presenta per una seduta di prevenzione. I valori di glicemia sono stabili con HbA1c = 6,2%, per cui si ritiene che la sua condizione possa essere sufficientemente gestita con la metformina (un farmaco per il trattamento del diabete). La paziente non presenta restauri esistenti o precedenti patologie orali. Sulla base dei referti disponibili si può constatare una gengivite nonostante una condizione altrimenti stabile.

© Dr G. Schmalz y Dr D. Ziebolz MSc
Foto: © Dr G. Schmalz y Dr D. Ziebolz MSc
Secondo Lang & Tonetti

Sebbene i parametri di salute generale e orale siano stabili, la paziente necessita di una seduta di prevenzione personalizzata per via della sua patologia di base. Il diabete mellito è sempre associato a un rischio maggiore di parodontite (12), che tuttavia può essere tenuto sotto controllo con un buon trattamento medico. Il monitoraggio regolare della HbA1c fornisce indicazioni sull'andamento del livello di glicemia nelle ultime otto-dodici settimane, un valore HbA1c ≥ 6,5% indica la presenza di diabete mellito.

ParoStatus®.de

Una documentazione precisa e puntuale è fondamentale poiché il diabete è strettamente connesso alla parodontite e ha un impatto significativo sulla sua insorgenza e sul suo decorso. Vista la sua grande importanza, come spiegato in precedenza, è necessario chiedere alla paziente il valore attuale di HbA1c ad ogni seduta.

In fase di colloquio si possono spiegare in modo chiaro alla paziente i nessi tra diabete mellito e il rischio di parodontite (12, 15), così come gli effetti che un livello costantemente elevato di glicemia (iperglicemia) ha sul decorso e la progressione di una parodontite (16).

Anche se lo stato di salute orale della paziente non indica un particolare bisogno di un intervallo di richiamo più ravvicinato, si consigliano comunque due sedute di profilassi l'anno in considerazione dei rischi legati al diabete mellito e della sua stretta correlazione con un rischio aumentato di parodontite.


* per gentile concessione di Dr G. Schmalz e Prof. Dr. D. Ziebolz MSc.


Individual Prophy Cycle – Il concetto di prevenzione orientato al paziente


Dr G. Schmalz
Dr G. Schmalz

Priv-Doz Il dottor Gerhard Schmalz è un medico senior presso il Policlinico per la conservazione dei denti e la parodontologia, Ospedale universitario di Lipsia, Lipsia (Direttore: Prof Dr Rainer Haak).

Prof. Dr D. Ziebolz MSc.
Prof. Dr D. Ziebolz MSc.

Il Prof Dr Dirk Ziebolz MSc è un medico senior presso il Policlinico per la conservazione dei denti e la parodontologia, Centro medico dell'Università di Lipsia (Direttore: Prof Dr R. Haak); con particolare attenzione alla conservazione interdisciplinare dei denti e alla ricerca sui servizi sanitari.


Bibliografia

  1. Chapple IL, Bouchard P, Cagetti MG, Campus G, Carra MC, Cocco F, et al. Interaction of lifestyle, behaviour or systemic diseases with dental caries and periodontal diseases: consensus report of group 2 of the joint EFP/ORCA workshop on the boundaries between caries and periodontal diseases. J Clin Periodontol. 2017;44 Suppl 18:S39-s51
  2. Schmalz G, Ziebolz D, Individualisierte Prävention-ein patientenorientiertes Präventionskonzept für die zahnärztliche Praxis, ZWR- Das deutsche Zahnärzteblatt 2020;129;147-156
  3. Fresmann S., So sieht eine durchdachtes Prophylaxekonzept aus; Dental Magazin: Deutscher Ärzteverlag GmbH; 2015
  4. Schmalz G, Ziebolz D, Individualisierte Prävention-fallorientierte Bedarfsprävention, ZWR- Das deutsche Zahnärzteblatt 2020;129;33-41
  5. Schmalz G, Ziebolz D, Individualisierte Prävention-Implikation allgemeingesundheitlicher Faktoren, ZWR- Das deutsche Zahnärzteblatt 2019;128;295-304
  6. Wang C, Zhao Y, Zheng S, Xue J, Zhou J, Tang Y, et al. Effect of enamel morphology on nanoscale adhesion forces of streptococcal bacteria: An AFM study. Scanning. 2015;37(5):313-21
  7. Pence SD, Chambers DA, van Tets IG, Wolf RC, Pfeiffer DC. Repetitive coronal polishing yields minimal enamel loss. Journal of dental hygiene: JDH. 2011;85(4):348-57.
  8. Kumar PS. From focal sepsis to periodontal medicine: a century of exploring the role of the oral microbiome in systemic disease. The Journal of Physiology. 2017;595(2):465-76
  9. Lalla E, Papapanou PN. Diabetes mellitus and periodontitis: a tale of two common interrelated diseases. Nature Reviews Endocrinology. 2011;7:738
  10. Miller WR, Moyers TB. Eight Stages in Learning Motivational Interviewing. Journal of Teaching in the Addictions. 2006;5(1):3-17
  11. Paradigmenwechsel im Biofilmmanagement [Internet]. Spitta GmbH. 2014. https://www.pnc-aktuell.de/prophylaxe/story/paradigmenwechsel-im-biofilmmanagement__3512.html
  12. Christensen RP, Bangerter VW. Determination of rpm, time, and load used in oral prophylaxis polishing in vivo. J Dent Res. 1984; 63(12):1376-1382
  13. Graumann SJ, Sensat ML, Stoltenberg JL. Air polishing: a review of current literature. Journal of dental hygiene : JDH. 2013;87(4):173-80
  14. Bordoloi P, Ramesh A, Thomas B, Bhandary R. Epidemiological survey of dentinal hypersensitivity after oral prophylaxis. J Cont Med A Dent. 2018;6(1)
  15. James P, Worthington HV, Parnell C, Harding M, Lamont T, Cheung A, et al. Chlorhexidine mouthrinse as an adjunctive treatment for gingival health. The Cochrane database of systematic reviews. 2017;3:Cd008676
  16. Sawai MA, Bhardwaj A, Jafri Z, Sultan N, Daing A. Tooth polishing: The current status. Journal of Indian Society of Periodontology. 2015;19(4):375-80
  17. Slayton RL, Urquhart O, Araujo MWB, Fontana M, Guzman-Armstrong S, Nascimento MM, et al. Evidence-based clinical practice guideline on nonrestorative treatments for carious lesions: A report from the American Dental Association. J Am Dent Assoc. 2018;149(10):837-49 e19
  18. Gleissner E. Erfolgreiche Prävention auch in schwierigen Fällen. Allgemeine Zahnheilkunde: ZMK-aktuell; 2019
  19. Derks J, Schaller D, Hakansson J, Wennstrom JL, Tomasi C, Berglundh T. Effectiveness of Implant Therapy Analyzed in a Swedish Population: Prevalence of Peri-implantitis. Journal of dental research 2016;95:43-49
  20. Newton JT, Asimakopoulou K. Managing oral hygiene as a risk factor for periodontal disease: a systematic review of psychological approaches to behaviour change for improved plaque control in periodontal management. Journal of Clinical Periodontology 2015;42:S36-S46
  21. Veitz-Keenan A, James R, Implant outcomes poorer in patients with history of periodontal disease, Evicénce-Based-Dentistry 18, 5 (2017)

Commenti