Individual Prophy Cycle

Il profilo paziente personalizzato, specifico del caso

Riconcepito per una maggiore efficienza
Fino ad ora molti dei vari concetti di trattamento noti si sono focalizzati sulla cura di una singola malattia orale al fine di ripristinare o mantenere l'igiene orale. Serve quindi un cambiamento di paradigma rispetto a questa visione unidimensionale dell'igiene orale perché, sino ad ora, questi concetti non hanno riconosciuto il fatto che molti aspetti della salute generale influiscono in misura determinante sulla salute orale e possono persino causare o aggravare le patologie orali (1).
Ed è proprio qui che entra in gioco il profilo paziente personalizzato, specifico del caso. Questo si focalizza sull'analisi dettagliata dell'anamnesi del paziente abbinata ad una valutazione diagnostica precisa della salute orale e generale del paziente.

  • Individual Prophy Cycle

    Effetto del profilo paziente sul trattamento

    Il profilo paziente personalizzato, specifico del caso, influisce sulle singole fasi seguite durante la profilassi o la seduta di trattamento (5). In quanto fornitore di soluzioni, W&H collabora a stretto contatto con gli odontoiatri e propone un'ampia gamma di prodotti per contribuire a soddisfare i requisiti e i consigli terapeutici ricavati proprio grazie al profilo paziente personalizzato, specifico del caso.

    Vantaggi dell'Individual Prophy Cycle (IPC)

    • Adatto per ogni studio dentistico e per ogni paziente
    • Personalizzato e orientato al paziente
    • Trattamento basato sulle esigenze secondo lo stato di salute orale con valutazione dei fattori di salute generale rilevanti per le cure odontoiatriche
    • Niente trattamenti standardizzati


    L'“Individual Prophy Cycle” sviluppato da W&H in collaborazione con gli odontoiatri consente di elaborare un consiglio mirato per i trattamenti.

    Schmalz e Ziebolz 2019
    ZWR Individualisierte Prävention


    Profilo paziente specifico del caso =
    consiglio mirato per il trattamento

    L'obiettivo del profilo paziente è elaborare un consiglio mirato per il trattamento, in modo da migliorare la sicurezza delle procedure e aumentare l'efficacia della terapia (2). L'anamnesi del paziente insieme a una valutazione diagnostica della sua salute orale, ad esempio relativamente a carie, condizione del periodonto e ad altri aspetti, costituisce il punto di partenza per il trattamento e le procedure di profilassi (1, 3). Ora, per elaborare un profilo paziente personalizzato, specifico del caso, si prendono in considerazione anche gli aspetti di salute generale che influiscono sull'igiene orale. Per ogni singolo fattore si valuta quanto influisce sulla salute orale (4), il che aiuta a formulare il successivo consiglio mirato per il trattamento. Un modulo anamnestico convalidato e appositamente elaborato rende più semplice questo processo.

    Concetto IPC


    Il concetto IPC contribuisce …

    › al buon esito dei trattamenti grazie alla
    trasparenza verso il paziente

    › alla stabilizzazione dello stato di salute
    orale grazie a un trattamento che prende in
    considerazione la salute generale e quella orale

    › a un utilizzo degli strumenti specifico per
    l'indicazione basato sulla valutazione di fattori rilevanti della salute generale e orale



    Proxeo – Ispirato dai professionisti
    profilasse orientate al paziente

    Piezo Scaler

    Piezo Scaler

    Il Piezo Scaler di W&H, con i suoi inserti, rappresentano la soluzione perfetta per la rimozioni di calcoli sopragengivali, placche e concrezioni sottogengivali.

    Proxeo Ultra
    Set di punte piezoelettriche

    Ablatore ad aria

    Ablatore ad aria

    “Un ablatore a ultrasuoni maneggevole e dalle prestazioni elevate, con un ampio spettro di impiego parodontale.”
    Christian Graetz, medico capo reparto

    Ablatore ad aria Proxeo
    Punte per ablatore ad aria

    Lucidatura ad aria

    Lucidatura ad aria

    Il polishing ad aria può essere particolarmente efficace per la profilassi e i trattamenti parodontali.

    Lucidatura

    Lucidatura

    Con il Cordless e il LatchShort
    W&H Polishing System stabilisce nuovi standard nel campo della lucidatura rotativa.

    Proxeo Twist Cordless

    Proxeo Twist LatchShort
    Coppette per profilassi e spazzole per profilassi

    Casi di pazienti secondo l'IPC

    I seguenti studi di casi servono a mostrare l'interazione tra i fattori di bisogno e di rischio definiti per l'IPC così come gli effetti dei singoli fattori*.

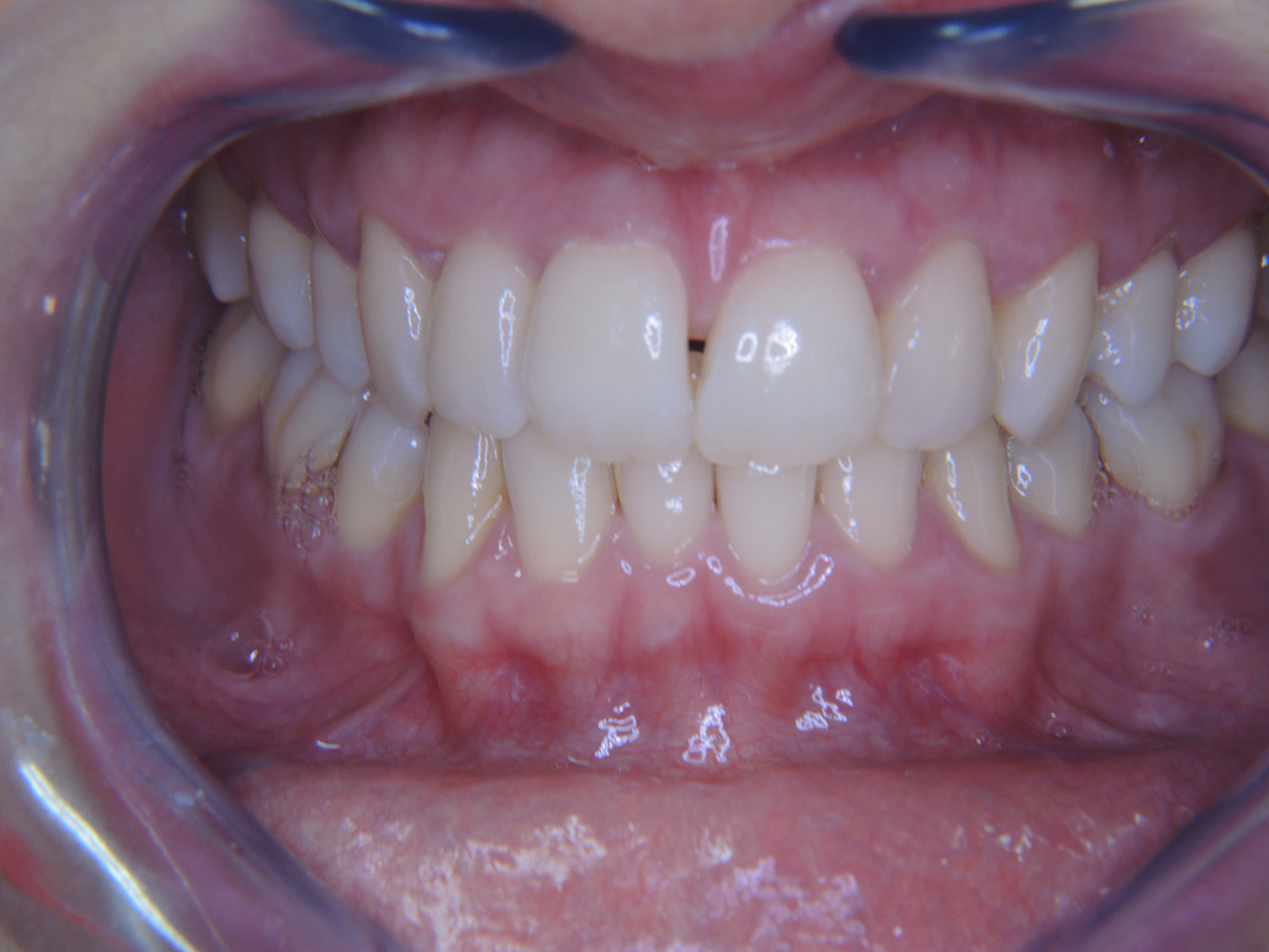
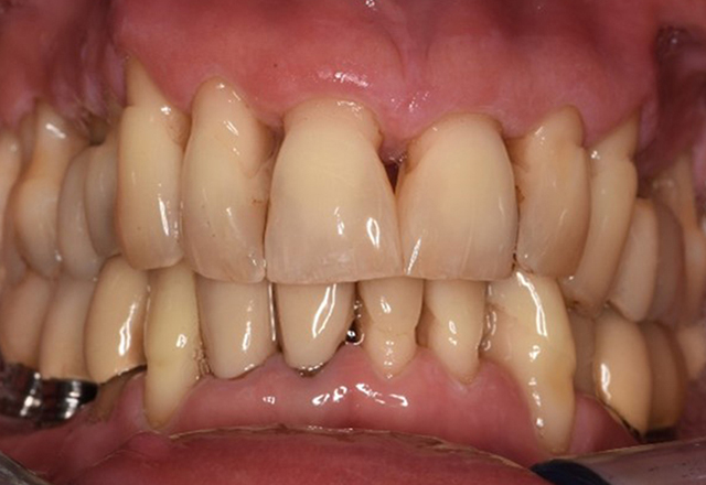
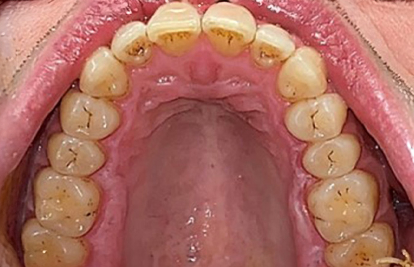
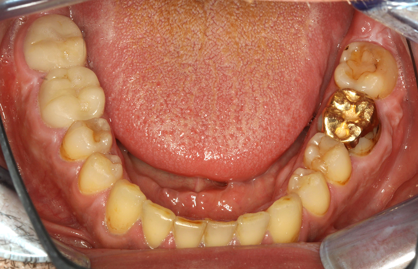
    La paziente diabetica con una buona igiene orale

    Una paziente diabetica di 51 anni con una buona igiene orale si presenta per una seduta di prevenzione. I valori di glicemia sono stabili con HbA1c = 6,2%, per cui si ritiene che la sua condizione possa essere sufficientemente gestita con la metformina (un farmaco per il trattamento del diabete). La paziente non presenta restauri esistenti o precedenti patologie orali. Sulla base dei referti disponibili si può constatare una gengivite nonostante una condizione altrimenti stabile. di più

    Case presentation: Complex Dental Prosthesis Management

    The direct relationship between intraoral and general health, as well as the bidirectional influence that they may have on one another, is well-known (1,2). It is absolutely essential to consider both factors when planning preventive intraoral measures and treatment in the dental practice. The primary objective is the maintenance of patient health and quality of life from both dental and medical perspectives. more

    The (orally) healthy patient with implants

    In the medical history, the 55-year-old patient states that he has no systemic disease and is not taking any medication. The patient’s lifestyle is similarly unremarkable. The patient has a few tooth restorations and two implants (2nd and 4th quadrants). On the basis of current findings, gingivitis is identified in an otherwise stable periodontal condition on the reduced periodontium (stage III, grade A). more

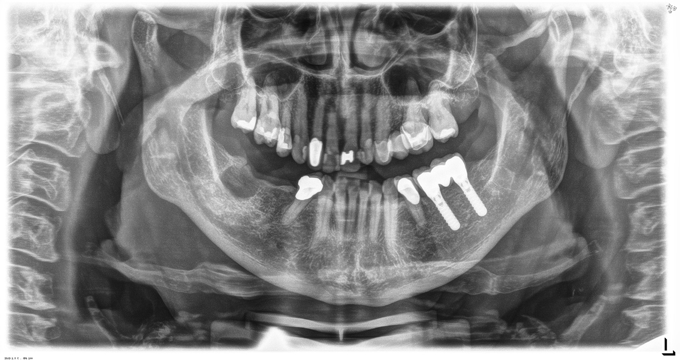
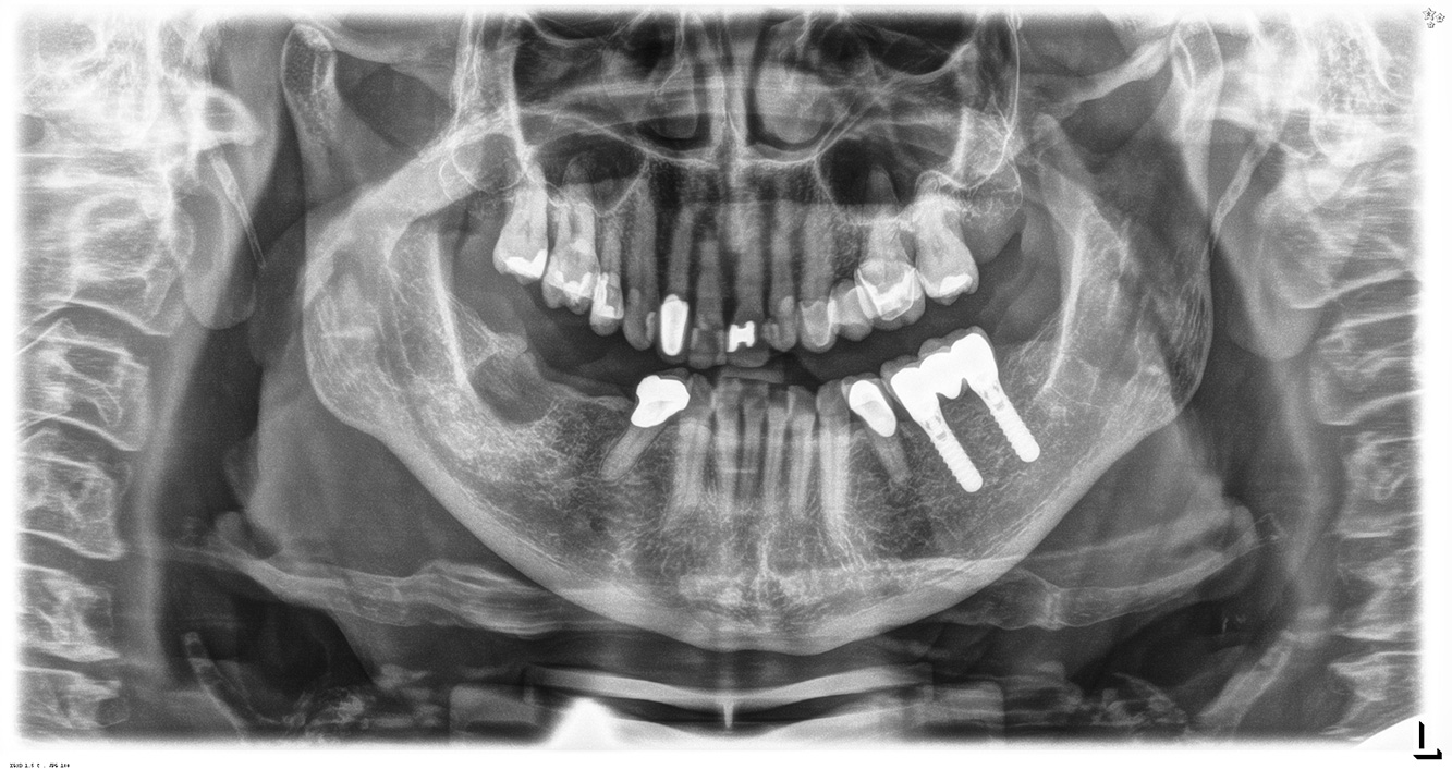
    The healthy patient with pre-existing periodontal disease & peri-implantitis

    A 52-year-old patient presents at a preventive care session. The patient has no systemic disease and is not taking any medication. He has had various dental treatments and also has two active carious lesions. In addition, the patient has four implants (2nd, 3rd and 4th quadrants). He is revealed to have early periodontal disease (stage IV, grade B). His periodontal condition is stable; a probing depth of Probing depths (ST) of 5 mm is only evident at the implant in region 36. Gingivitis is also identified. more

    The Diabetic Patient with Pre-Existing Periodontitis

    This case report of a 52-year-old male with type 2 diabetes and periodontitis emphasizes personalized preventive measures and periodontal health maintenance to manage the moderate disease progression risk. more

    The 28-Year-Old Cigarette Smoker with Dental Erosions

    28-year-old patient, smoker, with erosions. The bidirectional relationship between oral and general medical health is very well known. It is no longer sufficient – and arguably even old-fashioned – to consider intraoral conditions in isolation. In order to create a personalized, case-specific preventive and patient profile, it is essential to take a detailed medical history and perform diligent examination of the general medical and intraoral health, as well as considering the two in combination. more

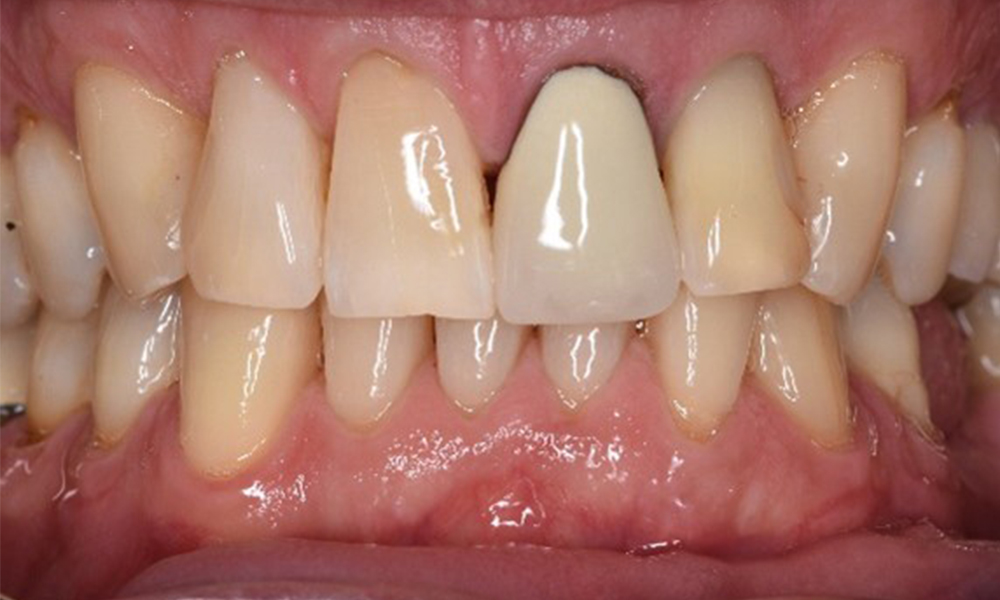
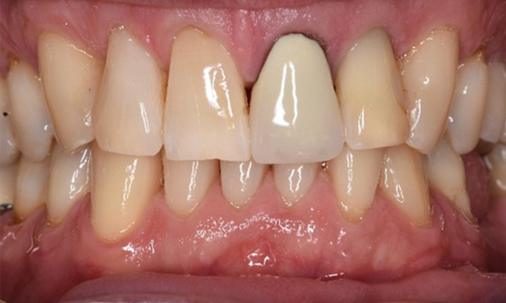
    Il paziente affetto da endocardite con lesioni cariose attive

    Il paziente ha 39 anni e in passato è stato sottoposto ad un intervento per la sostituzione della valvola aortica dovuta a insufficienza valvolare ed endocardite. Assume regolarmente l'ASS 100 come anticoagulante. Per quel che riguarda lo stile di vita, il regime alimentare seguito dal paziente è classificato come “dieta che favorisce la formazione della carie”, per via del consumo regolare di cibi ad alto contenuto di zuccheri e dei sei-sette pasti consumati al giorno. La salute orale del paziente indica un rischio moderato di carie, con lesioni attive. Il rischio di parodontite è basso, tuttavia il paziente è affetto da gengivite. Si formulano quindi i seguenti consigli per il trattamento di profilassi. di più

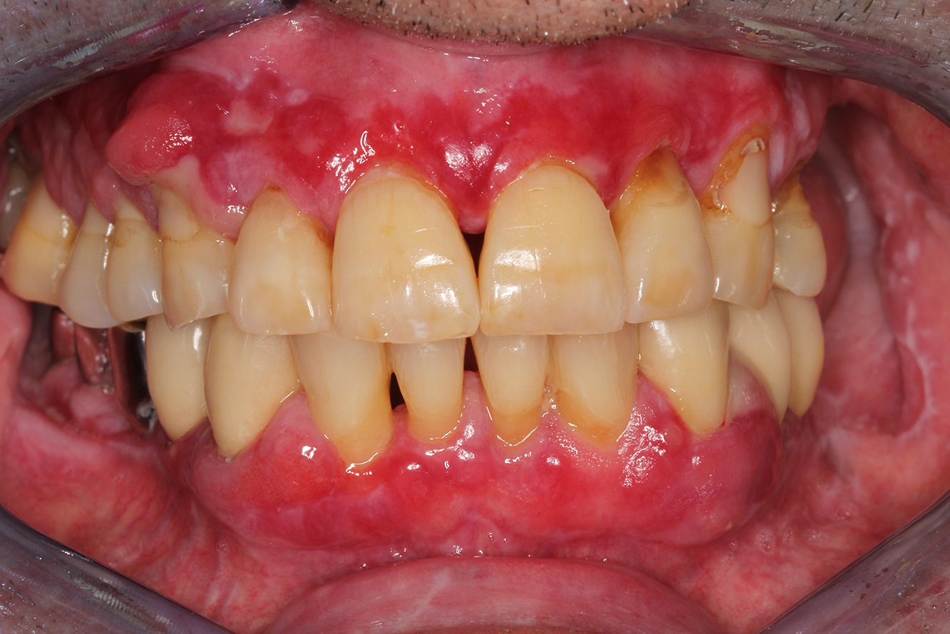
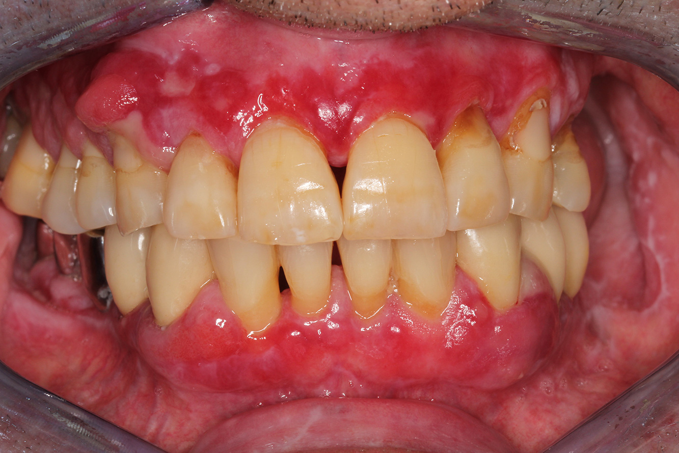
    Il paziente trapiantato con iperplasia gengivale

    Si presenta un paziente di 71 anni che ha subito un trapianto di reni e con anamnesi di ipertonia (ipertensione). Considerata la sua storia clinica, serve una terapia a lungo termine con ciclosporina che ha un effetto immunosoppressivo e amlodipina che è specifica contro l'ipertensione. Il paziente riporta anche gengive sensibili e sanguinanti. Per quanto riguarda invece lo stato di salute orale, il paziente ha un restauro, presenta un'iperplasia gengivale marcata, una parodontite allo stadio II, grado B con tasche attive e un'iniziale carie radicolare al dente 22 e in più mancano otto denti. Dalla valutazione del rischio di carie si evince un rischio moderato di carie (API 60). Per la seduta di profilassi si possono formulare i seguenti consigli per il trattamento. di più

    La paziente sana con precedente patologia parodontale

    Questa paziente di 68 anni non presenta alcuna patologia precedente né segue alcuna terapia che possano ritenersi rilevanti dal punto di vista odontoiatrico, e il suo stile di vita non comporta alcun rischio particolare. La paziente ha due impianti (3° quadrante, da cinque anni) e una precedente patologia parodontale (parodontite allo stadio IV, grado B) con perdita del dente. Al momento le condizioni parodontali sono stabili, tuttavia la parodontite aumenta in misura significativa le complicazioni biologiche degli impianti e c'è dunque il rischio di perdita dell'impianto (21). Per la seduta di profilassi si possono formulare quattro consigli. di più

    NIWOP – No Implantology without Periodontology

    * per gentile concessione di Dr. G. Schmalz e Prof. Dr. D. Ziebolz MSc.