Berichte & Studien

Die mundgesunde Diabetikerin*

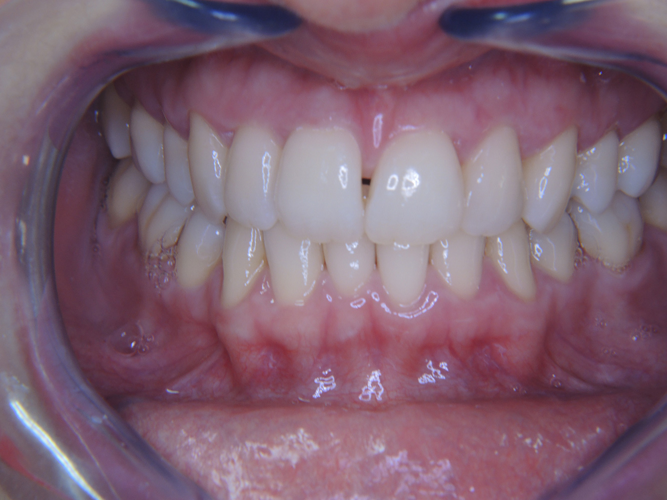
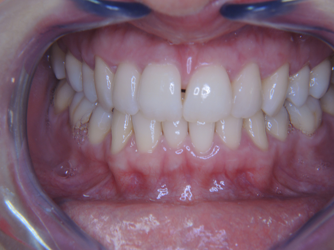
Eine 51-jährige mundgesunde Diabetikerin stellt sich zur Präventionssitzung vor. Die Blutzuckerwerte sind stabil bei einem HbA1c = 6,2%, folglich gilt sie mit dem entsprechenden Medikament Metformin (Antidiabetikum) als suffizient eingestellt. Die Patientin hat keine bestehenden Versorgungen oder orale Vorerkrankungen. Anhand der aktuellen Befunde lässt sich eine Gingivitis bei sonst stabilem parodontalem Zustand (Stage II, Grad B) feststellen.

nach Lang & Tonetti

Trotz der stabilen mund- und allgemeingesundheitlichen Parameter benötigt die Patientin wegen ihrer Grunderkrankung eine individuell angepasste Präventionssitzung. Diabetes mellitus birgt immer ein erhöhtes Parodontitisrisiko (12), das allerdings durch eine gute medikamentöse Einstellung kontrolliert werden kann. Regelmäßige Kontrolle des HbA1c durch den Hausarzt, gibt Auskunft über den Verlauf des Blutzuckerspiegels der letzten acht bis zwölf Wochen, wobei ein HbA1c ≥ 6,5% einen Diabetes mellitus oder ungünstige Blutzuckereinstellung bei bestehendem Diabetes mellitus anzeigt (13, 14).

ParoStatus®.de

Weil Diabetes und Parodontitis so eng assoziiert sind und einen Einfluss auf Entstehung und Verlauf beider Erkrankungen nehmen können, ist die sorgfältige Dokumentation wichtig. Aufgrund der bereits beschriebenen Aussagekraft sollte bei jeder Vorstellung der aktuelle HbA1c erfragt werden.

Im Gespräch können die Zusammenhänge zwischen Diabetes mellitus und dem Entstehungsrisiko einer Parodontitis anschaulich erklärt werden (12, 15). Ebenso wie die Einflüsse die ein dauerhaft erhöhter Blutzuckerspiegel (Hyperglykämie) auf den Verlauf und das Fortschreiten einer Parodontitis hat (16).

Der mundgesundheitliche Zustand der Patientin zeigt keinen besonderen Bedarf für ein verkürztes Recall-Intervall an. Dennoch ist, begründet durch den Risikofaktor Diabetes mellitus und die Assoziation mit einem erhöhten Parodontitisrisiko (Progressionsrisiko: Grad B; mittleres Parodontitisrisiko), eine Prophylaxesitzung zweimal pro Jahr zu empfehlen.

* mit freundlicher Genehmigung von Dr. G. Schmalz und Prof. Dr. D. Ziebolz MSc.

Individual Prophy Cycle – Das patientenorientierte Präventionskonzept

Kommentare