Reports & Studi

Il paziente con endocardite con lesioni carie attive*

© Dr G. Schmalz y Dr D. Ziebolz MSc
Foto: © Dr G. Schmalz y Dr D. Ziebolz MSc
© Dr G. Schmalz y Dr D. Ziebolz MSc

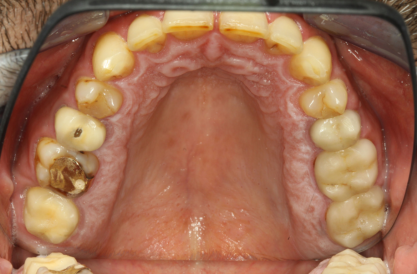
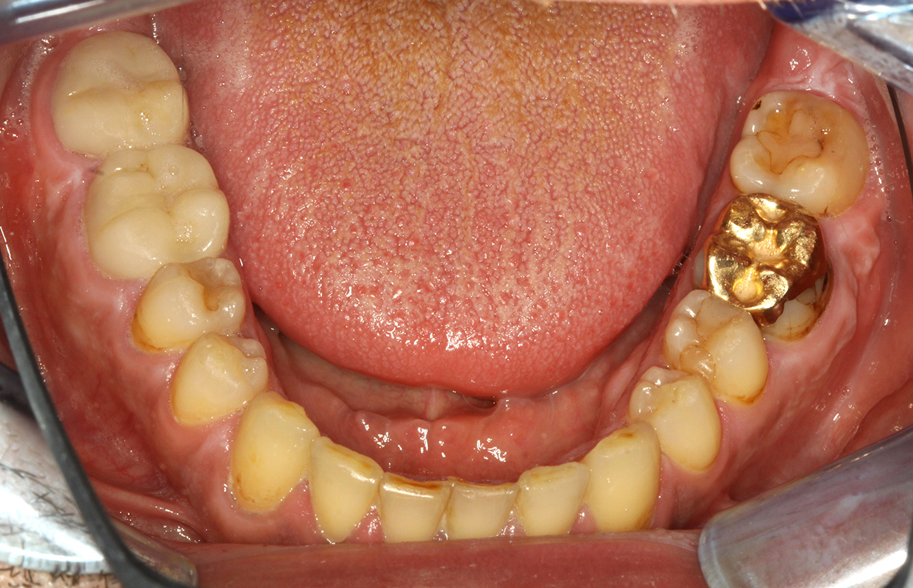
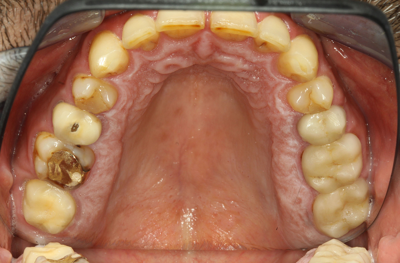
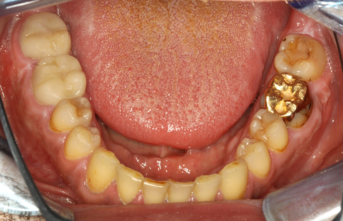
Il paziente ha 39 anni e in passato è stato sottoposto ad un intervento per la sostituzione della valvola aortica dovuta a insufficienza valvolare ed endocardite. Assume regolarmente l'ASS 100 come anticoagulante. Per quel che riguarda lo stile di vita, il regime alimentare seguito dal paziente è classificato come “dieta che favorisce la formazione della carie”, per via del consumo regolare di cibi ad alto contenuto di zuccheri e dei sei-sette pasti consumati al giorno. La salute orale del paziente indica un rischio moderato di carie, con lesioni attive. Il rischio di parodontite è basso, tuttavia il paziente è affetto da gengivite. Si formulano quindi i seguenti consigli per il trattamento di profilassi.

Secondo Lang & Tonetti
ParoStatus®.de

La sostituzione della valvola cardiaca e l'anamnesi di endocardite indicano un rischio aumentato di complicazioni. Al fine di ridurre il rischio di una nuova infiammazione, si deve consigliare una profilassi antibiotica (ad es. 2 g di amoxicillina un'ora prima della seduta). Nonostante la cura a lungo termine con un anticoagulante, non ci si aspetta un rischio aumentato di sanguinamento durante la seduta di profilassi.

Bisogna dedicare tempo a sufficienza per il colloquio istruttivo/emozionale. Bisogna spiegare molto chiaramente al paziente l'impatto negativo delle sue abitudini alimentari sulla sua salute orale (9). Per quanto riguarda invece l'anamnesi di endocardite, si potrebbero analizzare anche i nessi tra batteri cariogeni e le malattie cardiovascolari (12). Questo argomento potrebbe motivare ulteriormente il paziente a cambiare il proprio regime alimentare. Durante il colloquio bisogna far comprendere al paziente quanto è importante seguire una corretta igiene orale a casa e motivarlo in tal senso.

Per la seduta di profilassi non si possono formulare consigli per strumenti specifici. Si può ricorrere a un'applicazione mirata di air-polishing e lucidatura con testina rotante per rimuovere delicatamente placca e discromie lungo i margini del restauro e per ridurre le nicchie dove i batteri cariogeni possono formare nuove colonie (19).

Si consiglia una fluorizzazione per stimolare ulteriormente la prevenzione della carie, prevenire in particolar modo nuove formazioni intorno ai margini del restauro e per sigillare le superfici radicolari. Entrambi i provvedimenti possono ridurre la sensibilità dei denti alla temperatura.

A causa delle lesioni cariose attive e del rischio ad esse associato di progressione, si consiglia un intervallo di richiamo ravvicinato di tre-quattro mesi.




* per gentile concessione di Dr. G. Schmalz e Prof. Dr. D. Ziebolz MSc.


Individual Prophy Cycle – Il concetto di prevenzione orientato al paziente


Dr G. Schmalz
Dr G. Schmalz

Priv-Doz Il dottor Gerhard Schmalz è un medico senior presso il Policlinico per la conservazione dei denti e la parodontologia, Ospedale universitario di Lipsia, Lipsia (Direttore: Prof Dr Rainer Haak).

Prof. Dr D. Ziebolz MSc.
Prof. Dr D. Ziebolz MSc.

Il Prof Dr Dirk Ziebolz MSc è un medico senior presso il Policlinico per la conservazione dei denti e la parodontologia, Centro medico dell'Università di Lipsia (Direttore: Prof Dr R. Haak); con particolare attenzione alla conservazione interdisciplinare dei denti e alla ricerca sui servizi sanitari.


List of references

  1. Chapple IL, Bouchard P, Cagetti MG, Campus G, Carra MC, Cocco F, et al. Interaction of lifestyle, behaviour or systemic diseases with dental caries and periodontal diseases: consensus report of group 2 of the joint EFP/ORCA workshop on the boundaries between caries and periodontal diseases. J Clin Periodontol. 2017;44 Suppl 18:S39-s51
  2. Schmalz G, Ziebolz D, Individualisierte Prävention-ein patientenorientiertes Präventionskonzept für die zahnärztliche Praxis, ZWR- Das deutsche Zahnärzteblatt 2020;129;147-156
  3. Fresmann S., So sieht eine durchdachtes Prophylaxekonzept aus; Dental Magazin: Deutscher Ärzteverlag GmbH; 2015
  4. Schmalz G, Ziebolz D, Individualisierte Prävention-fallorientierte Bedarfsprävention, ZWR- Das deutsche Zahnärzteblatt 2020;129;33-41
  5. Schmalz G, Ziebolz D, Individualisierte Prävention-Implikation allgemeingesundheitlicher Faktoren, ZWR- Das deutsche Zahnärzteblatt 2019;128;295-304
  6. Wang C, Zhao Y, Zheng S, Xue J, Zhou J, Tang Y, et al. Effect of enamel morphology on nanoscale adhesion forces of streptococcal bacteria: An AFM study. Scanning. 2015;37(5):313-21
  7. Pence SD, Chambers DA, van Tets IG, Wolf RC, Pfeiffer DC. Repetitive coronal polishing yields minimal enamel loss. Journal of dental hygiene: JDH. 2011;85(4):348-57.
  8. Kumar PS. From focal sepsis to periodontal medicine: a century of exploring the role of the oral microbiome in systemic disease. The Journal of Physiology. 2017;595(2):465-76
  9. Lalla E, Papapanou PN. Diabetes mellitus and periodontitis: a tale of two common interrelated diseases. Nature Reviews Endocrinology. 2011;7:738
  10. Miller WR, Moyers TB. Eight Stages in Learning Motivational Interviewing. Journal of Teaching in the Addictions. 2006;5(1):3-17
  11. Paradigmenwechsel im Biofilmmanagement [Internet]. Spitta GmbH. 2014. https://www.pnc-aktuell.de/prophylaxe/story/paradigmenwechsel-im-biofilmmanagement__3512.html
  12. Christensen RP, Bangerter VW. Determination of rpm, time, and load used in oral prophylaxis polishing in vivo. J Dent Res. 1984; 63(12):1376-1382
  13. Graumann SJ, Sensat ML, Stoltenberg JL. Air polishing: a review of current literature. Journal of dental hygiene : JDH. 2013;87(4):173-80
  14. Bordoloi P, Ramesh A, Thomas B, Bhandary R. Epidemiological survey of dentinal hypersensitivity after oral prophylaxis. J Cont Med A Dent. 2018;6(1)
  15. James P, Worthington HV, Parnell C, Harding M, Lamont T, Cheung A, et al. Chlorhexidine mouthrinse as an adjunctive treatment for gingival health. The Cochrane database of systematic reviews. 2017;3:Cd008676
  16. Sawai MA, Bhardwaj A, Jafri Z, Sultan N, Daing A. Tooth polishing: The current status. Journal of Indian Society of Periodontology. 2015;19(4):375-80
  17. Slayton RL, Urquhart O, Araujo MWB, Fontana M, Guzman-Armstrong S, Nascimento MM, et al. Evidence-based clinical practice guideline on nonrestorative treatments for carious lesions: A report from the American Dental Association. J Am Dent Assoc. 2018;149(10):837-49 e19
  18. Gleissner E. Erfolgreiche Prävention auch in schwierigen Fällen. Allgemeine Zahnheilkunde: ZMK-aktuell; 2019
  19. Derks J, Schaller D, Hakansson J, Wennstrom JL, Tomasi C, Berglundh T. Effectiveness of Implant Therapy Analyzed in a Swedish Population: Prevalence of Peri-implantitis. Journal of dental research 2016;95:43-49
  20. Newton JT, Asimakopoulou K. Managing oral hygiene as a risk factor for periodontal disease: a systematic review of psychological approaches to behaviour change for improved plaque control in periodontal management. Journal of Clinical Periodontology 2015;42:S36-S46
  21. Veitz-Keenan A, James R, Implant outcomes poorer in patients with history of periodontal disease, Evicénce-Based-Dentistry 18, 5 (2017)

Commenti