Reports & Studies

The transplant patient with gingival overgrowths*

© Dr G. Schmalz y Dr D. Ziebolz MSc
Photos: © Dr G. Schmalz y Dr D. Ziebolz MSc
© Dr G. Schmalz y Dr D. Ziebolz MSc

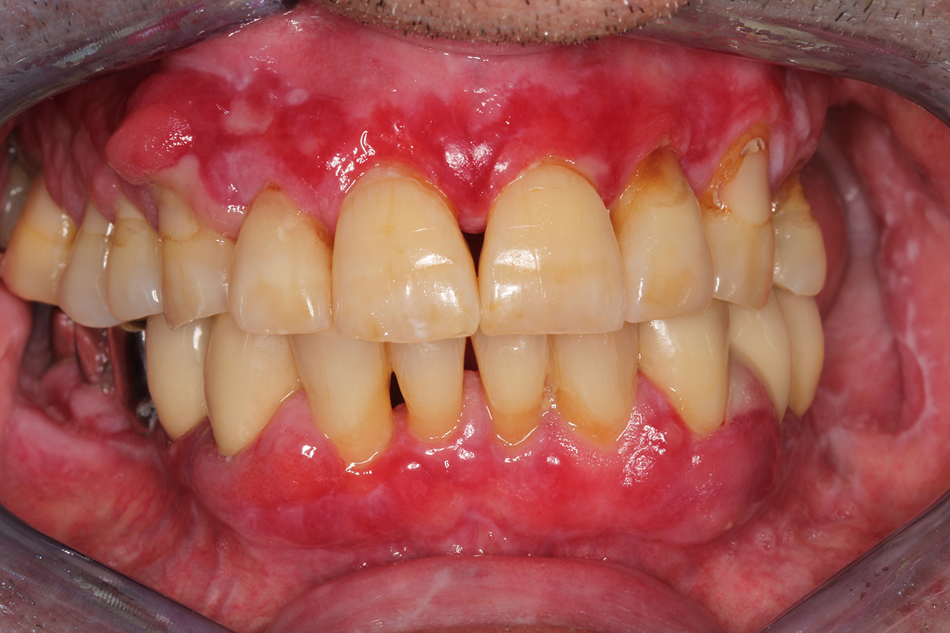
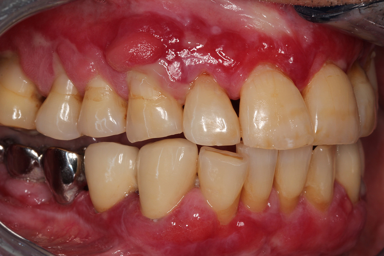
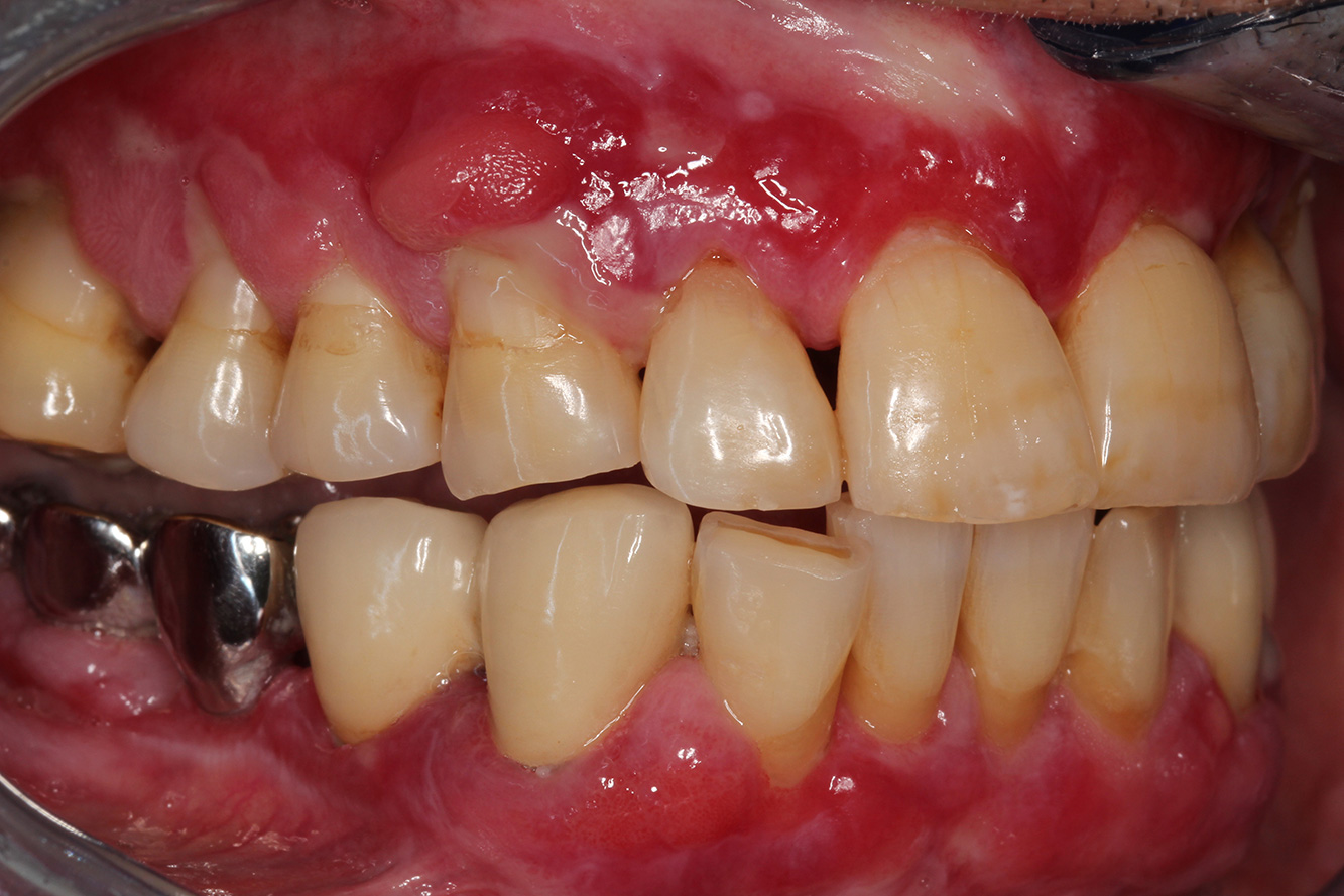
A 71-year old patient presents with having previously undergone a kidney transplant and with a history of hypertonia (high blood pressure). Due to his medical history, long-term medication with cyclosporine is required to suppress the immune system, as well as amlodipine to lower blood pressure. The patient also reports sensitive and bleeding gums. From an oral health perspective, the patient has undergone dental restoration and has eight missing teeth, pronounced gingival growth, and grade B, stage II periodontitis with active pockets and initial root caries on tooth 22. The caries risk assessment determines a moderate risk of caries (API 60). The following treatment recommendations can be determined for the prophylaxis session.

According to Lang & Tonetti
ParoStatus®.de

Based on the patient’s medical history, it is possible to identify a particular risk of complications. Due to the kidney transplant, the patient is immunosuppressed (cyclosporine), and therefore has a weakened immune system and requires infection prophylaxis (recommendation: 2 g of amoxicillin as an antibiotic, 1 hour before the session). At the same time, the patient’s long-term medication carries an increased risk of disease, as the gingival overgrowths identified are associated with this medication (20).

The patient’s situation must be addressed, especially when it comes to motivation and instruction. Due to the gingival overgrowths, the patient finds it difficult to practise good oral hygiene at home. The increased susceptibility to infection as well as the progression and emergence of the overgrowths (22) should be discussed at the patient’s level. At the same time, the patient should be instructed in hygiene techniques that are tailored to his individual needs.

There are no specific recommendations for cleaning. According to the findings, rotary polishing should be carried out selectively in erosion-sensitive areas. Because the patient’s oral health is fragile, it is important to create the best possible conditions for at-home maintenance in the prophylaxis session, e.g. by creating smooth surfaces, administering fluoridation to prevent tooth decay, and using mouthwash with CHX to address active inflammation.

A shorter recall interval of three to four months is recommended for this patient. This is mainly due to the gingival overgrowths associated with the patient’s medication, the fact these overgrowths make at-home oral care difficult for the patient, and the risk of progression of periodontitis.


* with the kind permission of Dr G. Schmalz and Dr D. Ziebolz MSc.


Individual Prophy Cycle – The patient-oriented prevention concept


Dr. G. Schmalz
Dr. G. Schmalz

Priv-Doz Dr Gerhard Schmalz is a senior physician at the Oral Health Medicine, Polyclinic for Dental Preservation and Periodontology, University Hospital Leipzig, Leipzig (Director: Prof Dr Rainer Haak).

Prof. Dr. D. Ziebolz MSc.
Prof. Dr. D. Ziebolz MSc.

Prof Dr Dirk Ziebolz MSc is a senior physician at the Polyclinic for Dental Preservation and Periodontology, Leipzig University Medical Centre (Director: Prof Dr R. Haak); with focus on interdisciplinary dental preservation and health services research.


List of references

  1. Chapple IL, Bouchard P, Cagetti MG, Campus G, Carra MC, Cocco F, et al. Interaction of lifestyle, behaviour or systemic diseases with dental caries and periodontal diseases: consensus report of group 2 of the joint EFP/ORCA workshop on the boundaries between caries and periodontal diseases. J Clin Periodontol. 2017;44 Suppl 18:S39-s51
  2. Schmalz G, Ziebolz D, Individualisierte Prävention-ein patientenorientiertes Präventionskonzept für die zahnärztliche Praxis, ZWR- Das deutsche Zahnärzteblatt 2020;129;147-156
  3. Fresmann S., So sieht eine durchdachtes Prophylaxekonzept aus; Dental Magazin: Deutscher Ärzteverlag GmbH; 2015
  4. Schmalz G, Ziebolz D, Individualisierte Prävention-fallorientierte Bedarfsprävention, ZWR- Das deutsche Zahnärzteblatt 2020;129;33-41
  5. Schmalz G, Ziebolz D, Individualisierte Prävention-Implikation allgemeingesundheitlicher Faktoren, ZWR- Das deutsche Zahnärzteblatt 2019;128;295-304
  6. Wang C, Zhao Y, Zheng S, Xue J, Zhou J, Tang Y, et al. Effect of enamel morphology on nanoscale adhesion forces of streptococcal bacteria: An AFM study. Scanning. 2015;37(5):313-21
  7. Pence SD, Chambers DA, van Tets IG, Wolf RC, Pfeiffer DC. Repetitive coronal polishing yields minimal enamel loss. Journal of dental hygiene: JDH. 2011;85(4):348-57.
  8. Kumar PS. From focal sepsis to periodontal medicine: a century of exploring the role of the oral microbiome in systemic disease. The Journal of Physiology. 2017;595(2):465-76
  9. Lalla E, Papapanou PN. Diabetes mellitus and periodontitis: a tale of two common interrelated diseases. Nature Reviews Endocrinology. 2011;7:738
  10. Miller WR, Moyers TB. Eight Stages in Learning Motivational Interviewing. Journal of Teaching in the Addictions. 2006;5(1):3-17
  11. Paradigmenwechsel im Biofilmmanagement [Internet]. Spitta GmbH. 2014. https://www.pnc-aktuell.de/prophylaxe/story/paradigmenwechsel-im-biofilmmanagement__3512.html
  12. Christensen RP, Bangerter VW. Determination of rpm, time, and load used in oral prophylaxis polishing in vivo. J Dent Res. 1984; 63(12):1376-1382
  13. Graumann SJ, Sensat ML, Stoltenberg JL. Air polishing: a review of current literature. Journal of dental hygiene : JDH. 2013;87(4):173-80
  14. Bordoloi P, Ramesh A, Thomas B, Bhandary R. Epidemiological survey of dentinal hypersensitivity after oral prophylaxis. J Cont Med A Dent. 2018;6(1)
  15. James P, Worthington HV, Parnell C, Harding M, Lamont T, Cheung A, et al. Chlorhexidine mouthrinse as an adjunctive treatment for gingival health. The Cochrane database of systematic reviews. 2017;3:Cd008676
  16. Sawai MA, Bhardwaj A, Jafri Z, Sultan N, Daing A. Tooth polishing: The current status. Journal of Indian Society of Periodontology. 2015;19(4):375-80
  17. Slayton RL, Urquhart O, Araujo MWB, Fontana M, Guzman-Armstrong S, Nascimento MM, et al. Evidence-based clinical practice guideline on nonrestorative treatments for carious lesions: A report from the American Dental Association. J Am Dent Assoc. 2018;149(10):837-49 e19
  18. Gleissner E. Erfolgreiche Prävention auch in schwierigen Fällen. Allgemeine Zahnheilkunde: ZMK-aktuell; 2019
  19. Derks J, Schaller D, Hakansson J, Wennstrom JL, Tomasi C, Berglundh T. Effectiveness of Implant Therapy Analyzed in a Swedish Population: Prevalence of Peri-implantitis. Journal of dental research 2016;95:43-49
  20. Newton JT, Asimakopoulou K. Managing oral hygiene as a risk factor for periodontal disease: a systematic review of psychological approaches to behaviour change for improved plaque control in periodontal management. Journal of Clinical Periodontology 2015;42:S36-S46
  21. Veitz-Keenan A, James R, Implant outcomes poorer in patients with history of periodontal disease, Evicénce-Based-Dentistry 18, 5 (2017)

comments