Reports & Studi

La fase di pre-trattamento e l'importanza di una situazione parodontale stabile

Di Dott.ssa Kristina Bertl, PhD MBA MSc
Dipartimento di parodontologia, Facoltà di odontoiatria, Università di Malmö, Svezia
Prima pubblicazione: ADP Gennaio/febbraio 2020

Mucosite perimplantare e perimplantite sono complicanze biologiche che, purtroppo, si verificano con una certa frequenza; più nello specifico, si verificano circa ogni secondo e quarto paziente, rispettivamente (Derks & Tomasi 2015). Al fine di ridurre la prevalenza di tali complicanze biologiche, il concetto NIWOP (ossia, No Implantology without Periodontology) mira a ricordare evidenze scientifiche ai professionisti che si occupano di salute dentale. Pertanto, il NIWOP può essere considerato come una linea guida clinica, che comincia molto prima dell'effettiva installazione dell'impianto e continua molto dopo la ricostruzione con protesi.

Il concetto NIWOP (Figura 1) è suddiviso in 3 aspetti principali: (1) fase di pre-trattamento, (2) inserimento dell'impianto e (3) richiamo o trattamento di supporto.

Figura 1. Il concetto NIWOP. © W&H
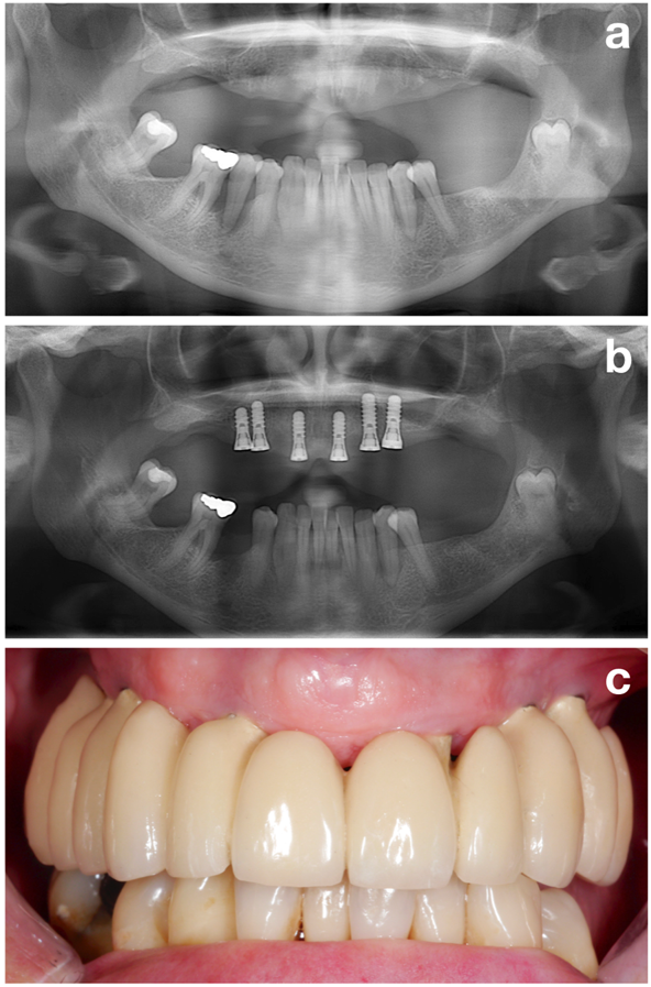
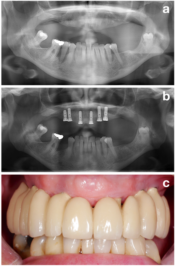
Figura 2. Prima dell'inserimento dell'impianto è necessario che la situazione parodontale sia stabile. Paziente prima del trattamento parodontale (a), dopo il trattamento parodontale e l'installazione dell'impianto (b) e dopo la ricostruzione con protesi (c). © Dott.ssa K. Bertl

La prima parte (ossia, la fase di pre-trattamento) mira a preparare perfettamente il paziente per l'effettivo inserimento dell'impianto valutando tutti i potenziali fattori di rischio ma focalizzandosi su uno dei più importanti: l'ottenimento di una situazione parodontale stabile (Figura 2).

Purtroppo, però, l'ottenimento di una situazione parodontale stabile è anche uno degli obiettivi più dispendiosi in termini di tempo e richiede una costante collaborazione dei pazienti al trattamento. Perché è così importante ottenere una situazione parodontale stabile? E cos'è realmente una situazione parodontale "stabile"? La presenza di qualche tasca residua profonda al sondaggio rappresenta davvero un problema serio in termini di sviluppo della malattia peri-implantare?

Perché l'ottenimento di una situazione parodontale stabile è uno degli obiettivi più importanti da ottenere prima dell'inserimento dell'impianto?

L'evidenza basata su studi clinici e revisioni sistematiche indica chiaramente che una storia di parodontite aumenta per i pazienti il rischio di andare incontro a complicanze biologiche (ossia, sviluppo di malattia peri-implantare e/o perdita dell'impianto) dopo l'inserimento dell'impianto. Nello specifico, il tasso di fallimento degli impianti nei pazienti con storia di parodontite è quasi doppio rispetto a quelli che non hanno una storia di parodontite (Renvert & Quirynen 2015). Inoltre, osservando attentamente i risultati di due pubblicazioni (Roccuzzo et al. 2010; Roccuzzo et al. 2012), le differenze di risultati nel lungo periodo tra pazienti con e senza una storia di parodontite diventa ovvio. In particolare, queste due pubblicazioni riportano i dati di 112 pazienti, che sono stati tutti trattati con successo per la loro malattia parodontale prima dell'inserimento dell'impianto e sono stati seguiti per un periodo di tempo di 10 anni dopo l'inserimento dell'impianto. I pazienti sono stati divisi in uno dei gruppi seguenti: (1) pazienti con parodonto sano (PHP), (2) pazienti con compromissione del parodonto moderata e (3) grave (PCP). Durante il trattamento di supporto, meno di un impianto su 10 nel gruppo PHP, ma uno su tre nel gruppo dei pazienti con compromissione del parodonto moderata e uno su due nel gruppo con compromissione grave, a un certo punto presentavano una tasca con profondità di sondaggio di almeno 6 mm. Di conseguenza, un paziente su tre nel gruppo con compromissione moderata del parodonto e uno su due in quello con compromissione grave necessitavano di un trattamento per malattia peri-implantare nel corso del follow-up di 10 anni. Nonostante il trattamento adeguato, un numero significativamente più elevato di impianti nei gruppi PCP presentava una profondità di sondaggio della tasca di almeno 6 mm alla fine del periodo di studio (ossia 10 anni dopo l'inserimento dell'impianto). Questi dati clinici sono evidenziati dai dati radiografici; cioè, nel gruppo PCP grave, la percentuale di siti con perdita ossea di almeno 3 mm era circa 3 volte superiore rispetto al gruppo PHP. Inoltre, qualsiasi tipo di problema nei gruppi PCP diventava ancora più ovvio se, in aggiunta, i pazienti non rispettavano il programma di trattamento di supporto suggerito. In particolare, i pazienti dei gruppi PCP che non aderivano al trattamento di supporto, presentavano 3 o 4 volte più spesso aumentate profondità di sondaggio della tasca intorno agli impianti rispetto ai pazienti in cui, invece, c'era collaborazione. Infine, la storia di parodontite e la mancata adesione al programma di trattamento di supporto erano due fattori significativamente associati alla perdita dell'impianto; cioè, il numero di perdita degli impianti aumentava da due impianti nel gruppo PHP a nove impianti nel gruppo PCP grave e risultavano interessati principalmente i pazienti in cui si registrava una mancata collaborazione.

Cos'è una situazione parodontale "stabile"? Poche tasche residue profonde al sondaggio sono davvero un problema serio in termini di sviluppo della malattia peri-implantare?

Dall'introduzione della nuova classificazione delle malattie e condizioni parodontali e perimplantari nel 2018 è disponibile una definizione di paziente con parodontite stabile e trattato con successo (Chapple et al. 2018). Secondo questa definizione, un paziente con parodontite stabile e trattato con successo presenta una perdita ossea e una perdita di adesione al sondaggio a causa della precedente attività della malattia, ma al momento della valutazione l'intera dentatura mostra una profondità massima della tasca al sondaggio di 4 mm e neanche una sola tasca di 4 mm sanguina dopo il sondaggio. Tuttavia, questa situazione ideale non si può purtroppo ottenere in tutti i pazienti. Quindi, sulla base dei dati di una specifica pubblicazione (Cho-Yan Lee et al. 2012) si deve prendere coscienza dell'aumentato rischio di complicanze biologiche, nel caso in cui siano ancora presenti tasche residue. In particolare, 60 pazienti trattati con successo per la loro malattia parodontale prima dell'inserimento dell'impianto, sono stati raggruppati in pazienti con parodonto sano (PHP) o pazienti con parodonto compromesso (PCP). Questi ultimi sono stati ulteriormente suddivisi in base alla presenza o assenza di parodontite residua (RP). Per parodontite residua si intende la presenza di almeno un sito con tasche di profondità al sondaggio di almeno 6 mm. Indipendentemente dalla definizione utilizzata per diagnosticare la perimplantite, la prevalenza di impianti con perimplantite non differiva tra il gruppo PHP e il gruppo PCP senza RP. Tuttavia, il gruppo PCP con RP ha mostrato una prevalenza di perimplantite circa 3-4 volte maggiore rispetto al gruppo PCP senza RP. Pertanto, mentre i pazienti del gruppo PCP senza tasche profonde presentavano un rischio simile di perimplantite rispetto ai pazienti del gruppo PHP, il rischio di sviluppare perimplantite per il gruppo di pazienti del gruppo PCP con tasche profonde era di circa 4-5 volte più elevato.

Figura 3. Uno stato instabile del parodonto (a) e istruzioni insufficienti sull'igiene orale (b-e) aumentano il rischio di sviluppare la malattia peri-implantare (c-e). © Dott.ssa K. Bertl

Conclusione

In conclusione, l'ottenimento di una situazione parodontale stabile è, insieme ad altri obiettivi, quali smettere di fumare o una perfetta igiene orale (Figura 3), uno dei più importanti obbiettivi della fase di pre-trattamento, e dovrebbe essere raggiunto prima di inserire l'impianto.


Riferimenti

  1. Chapple, I. L. C., Mealey, B. L., Van Dyke, T. E. et al. (2018) Periodontal health and gingival diseases and conditions on an intact and a reduced periodontium: Consensus report of workgroup 1 of the 2017 World Workshop on the Classification of Periodontal and Peri-Implant Diseases and Conditions. J Clin Periodontol 45 Suppl 20, S68-S77.
  2. Cho-Yan Lee, J., Mattheos, N., Nixon, K. C., & Ivanovski, S. (2012) Residual periodontal pockets are a risk indicator for peri-implantitis in patients treated for periodontitis. Clin Oral Implants Res 23, 325-333.
  3. Derks, J., & Tomasi, C. (2015) Peri-implant health and disease. A systematic review of current epidemiology. J Clin Periodontol 42 Suppl 16, S158-71.
  4. Renvert, S., & Quirynen, M. (2015) Risk indicators for peri-implantitis. A narrative review. Clin Oral Implants Res 26 Suppl 11, 15-44.
  5. Roccuzzo, M., Bonino, F., Aglietta, M., & Dalmasso, P. (2012) Ten-year results of a three arms prospective cohort study on implants in periodontally compromised patients. Part 2: clinical results. Clin Oral Implants Res 23, 389-395.
  6. Roccuzzo, M., De Angelis, N., Bonino, L., & Aglietta, M. (2010) Ten-year results of a three-arm prospective cohort study on implants in periodontally compromised patients. Part 1: implant loss and radiographic bone loss. Clin Oral Implants Res 21, 490-496.

Commenti