Berichte & Studien

Warum die Vorbehandlung und ein stabiler parodontaler Zustand so wichtig sind

von PD Dr. Kristina Bertl, PhD MBA MSc
Abteilung für Parodontologie, Fakultät für Odontologie, Universität von Malmö, Schweden
Erstveröffentlichung: ADP Jan/Feb 2020

Periimplantäre Mukositis und Periimplantitis sind leider häufig auftretende biologische Komplikationen. Fast 50 Prozent aller Patienten sind von Mukositis betroffen, von Periimplantitis fast 25 Prozent (Derks & Tomasi 2015). Ziel des NIWOP-Workflow ist es, die Häufigkeit dieser biologischen Komplikationen zu verringern. NIWOP („No Implantology without Periodontology“) soll Zahnmediziner zu diesem Zweck an allgemein bekannte Tatsachen erinnern. NIWOP kann somit als klinischer Leitfaden verstanden werden, der schon weit vor der Implantation ansetzt und Maßnahmen über die prothetische Restauration hinaus umfasst.

Das NIWOP-Konzept (Abbildung 1) besteht aus drei wesentlichen Phasen: (1) Vorbehandlung, (2) Implantation und (3) Recallprogramm bzw. unterstützende Therapie.

Abbildung 1: Der NIWOP-Workflow. © W&H
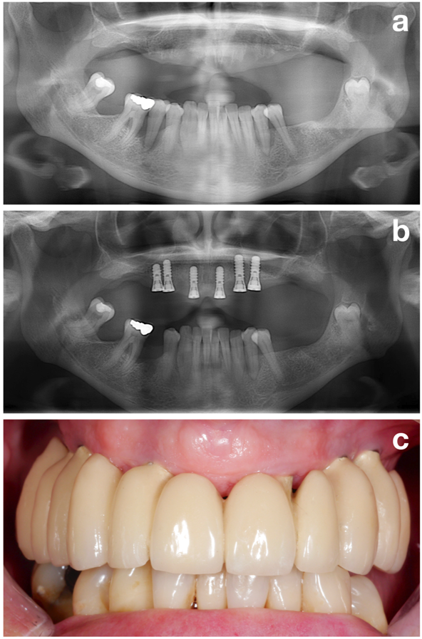
Abbildung 2: Vor der Implantation sollte das Ziel zunächst ein stabiler parodontaler Zustand sein. Patient vor der parodontalen Behandlung (a), nach der parodontalen Behandlung und Implantation (b) und nach der prothetischen Restauration (c). © Dr. K. Bertl

Im ersten Teil (also in der Vorbehandlungsphase) werden alle potenziellen Risikofaktoren ermittelt, um den Patienten bestmöglich auf die spätere Implantation vorzubereiten. Der Fokus liegt dabei jedoch auf einem der wichtigsten Aspekte, nämlich dem Schaffen eines stabilen parodontalen Zustandes (Abbildung 2).

Leider ist das Erreichen eines stabilen parodontalen Zustandes auch einer der zeitaufwändigsten Aspekte und erfordert eine kontinuierliche Therapietreue seitens der Patienten. Doch warum ist ein stabiler parodontaler Zustand so wichtig? Was genau ist ein „stabiler“ parodontaler Zustand und sind ein paar residuale Taschentiefen in Bezug auf die Entwicklung periimplantärer Erkrankungen wirklich so problematisch?

Warum stellt das Erreichen eines stabilen parodontalen Zustandes vor der Implantation eines der wichtigsten Ziele dar?

Die aus klinischen Studien und systematischen Übersichtsarbeiten hervorgehende Evidenz weist eindeutig darauf hin, dass eine Vorgeschichte von Parodontitis das Risiko für biologische Komplikationen (d. h. periimplantäre Erkrankungen und/oder Implantatverlust) nach der Implantation für die Patienten erhöht. So ist die Rate von Implantatversagen bei Parodontitispatienten fast doppelt so hoch im Vergleich zu Patienten ohne Vorgeschichte (Renvert & Quirynen 2015). Bei genauer Betrachtung der Ergebnisse zweier Publikationen (Roccuzzo et al. 2010; Roccuzzo et al. 2012) zeigen sich beim langfristigen Outcome klare Unterschiede zwischen den Patienten mit und denen ohne Vorgeschichte von Parodontitis. Diese zwei Publikationen zeigen die Daten von 112 Patienten, deren Parodontitis vor der Implantation erfolgreich behandelt und bei denen eine Nachbeobachtung über einen Zeitraum von 10 Jahren nach der Implantation durchgeführt wurde. Die Patienten waren in eine der folgenden Gruppen eingeteilt: (1) parodontal gesunde Patienten (PHP), (2) Patienten mit moderater und (3) schwerer Parodontitis (PCP). Während der unterstützenden Therapie wiesen in der PHP-Gruppe weniger als 10 Prozent, in der Gruppe mit moderater Parodontitis jedoch 30 Prozent und in der Gruppe mit schwerer Parodontitis 50 Prozent der Implantate zu einem bestimmten Zeitpunkt eine Taschentiefe von mindestens 6 mm auf. Folglich musste während der 10-jährigen Nachbeobachtungsphase jeder 3. Patient aus der moderaten PCP-Gruppe und jeder 2. aus der schweren PCP-Gruppe aufgrund einer periimplantären Erkrankung behandelt werden. Trotz angemessener Behandlung wies am Ende des Studienzeitraums (d. h. 10 Jahre nach der Implantation) ein signifikant größerer Anteil an Implantaten in den PCP-Gruppen Taschentiefen von mindestens 6 mm auf. Diese klinischen Daten werden röntgenologisch gestützt: Der prozentuale Anteil der Stellen mit einem Knochenverlust von mindestens 3 mm war in der Gruppe mit schwerer Parodontitis etwa dreimal höher als in der PHP-Gruppe. Darüber hinaus waren sämtliche Probleme in den PCP-Gruppen noch ausgeprägter, wenn die Patienten zudem den Anweisungen zur unterstützenden Therapie nicht folgten. Insbesondere waren bei den Patienten der PCP-Gruppen mit mangelhafter Compliance im Vergleich zu den PCP-Patienten, die den Therapieplan einhielten, die Werte bei der Messung der Taschentiefen im Bereich ihrer Implantate 3- bis 4-mal häufiger erhöht. Schlussendlich standen eine Vorgeschichte von Parodontitis sowie die Noncompliance in Bezug auf die unterstützende Therapie im signifikanten Zusammenhang mit Implantatverlust: Die Zahl der Implantatverluste stieg von 2 Implantaten in der PHP-Gruppe auf 9 Implantate in der Gruppe mit schwerer Parodontitis, wobei hauptsächlich Patienten betroffen waren, die sich nicht an den Therapieplan hielten.

Was ist ein „stabiler“ parodontaler Zustand und sind ein paar residuale Taschentiefen in Bezug auf die Entwicklung periimplantärer Erkrankungen wirklich so problematisch?

Die neue Klassifikation parodontaler und periimplantärer Erkrankungen von 2018 bietet eine Definition für einen erfolgreich behandelten Patienten mit stabiler Parodontitis (Chapple et al. 2018). Laut dieser Definition zeigt sich bei einem erfolgreich behandelten Patienten mit stabiler Parodontitis aufgrund der vorherigen Krankheitsaktivität bei dem Sondieren ein Attachment- und Knochenverlust, zum Zeitpunkt der Untersuchung beträgt die Taschentiefe im gesamten Gebiss jedoch maximal 4 mm und bei keiner dieser 4-mm-Taschentiefen treten nach der Sondierung Blutungen auf. Allerdings ist es nicht möglich, diesen Idealzustand bei allen Patienten zu erreichen. Folglich sollte man sich bewusst sein, dass das Vorhandensein von Resttaschen mit einem erhöhten Risiko für biologische Komplikationen einhergeht. Dies geht aus den Daten einer bestimmten Publikation (Cho-Yan Lee et al. 2012) hervor: Hier wurden 60 vor der Implantation erfolgreich behandelte Parodontitis-Patienten entweder als parodontal gesunde Patienten (PHP) oder Patienten mit Parodontitis (PCP) eingestuft. Letztere wurden nochmals in Gruppen unterteilt, je nachdem, ob bei ihnen eine Parodontitis mit Resttaschen (RP) vorlag oder nicht. Eine RP war gekennzeichnet durch mindestens 1 Stelle mit einer Taschentiefe von mindestens 6 mm. Unabhängig von der Definition zur Diagnose einer Periimplantitis gab es zwischen der PHP-Gruppe und der PCP-Gruppe ohne RP keine Unterschiede bei der Häufigkeit von Implantaten ohne Periimplantitis. Allerdings zeigte sich bei der PCP-Gruppe mit RP eine 3- bis 4-mal höhere Prävalenz von Periimplantitis im Vergleich zur PCP-Gruppe ohne RP. Während die Patienten der PCP-Gruppe ohne vertiefte Taschen im Vergleich zu Patienten der PHP-Gruppe ein ähnliches Risiko für Periimplantitis aufwiesen, war das Risiko bei Patienten der PCP-Gruppe mit vertieften Taschen um etwa das 4- bis 5-Fache erhöht.

Abbildung 3: Ein instabiler Parodontalstatus (a) und unzureichende Einweisungen in die Mundhygiene (b–e) erhöhen das Risiko für periimplantäre Erkrankungen (c–e). © Dr. K. Bertl

Abschließend lässt sich festhalten, dass ein stabiler parodontaler Zustand neben anderen Zielen wie der Raucherentwöhnung oder einer einwandfreien Mundhygiene (Abbildung 3) einer der wichtigsten Aspekte im Rahmen der Vorbehandlungsphase darstellt. Dieser Zustand sollte vor der Implantation erreicht werden.


Literaturangaben

  1. Chapple, I. L. C., Mealey, B. L., Van Dyke, T. E. et al. (2018) Periodontal health and gingival diseases and conditions on an intact and a reduced periodontium: Consensus report of workgroup 1 of the 2017 World Workshop on the Classification of Periodontal and Peri-Implant Diseases and Conditions. J Clin Periodontol 45 Suppl 20, S68-S77.
  2. Cho-Yan Lee, J., Mattheos, N., Nixon, K. C., & Ivanovski, S. (2012) Residual periodontal pockets are a risk indicator for peri-implantitis in patients treated for periodontitis. Clin Oral Implants Res 23, 325-333.
  3. Derks, J., & Tomasi, C. (2015) Peri-implant health and disease. A systematic review of current epidemiology. J Clin Periodontol 42 Suppl 16, S158-71.
  4. Renvert, S., & Quirynen, M. (2015) Risk indicators for peri-implantitis. A narrative review. Clin Oral Implants Res 26 Suppl 11, 15-44.
  5. Roccuzzo, M., Bonino, F., Aglietta, M., & Dalmasso, P. (2012) Ten-year results of a three arms prospective cohort study on implants in periodontally compromised patients. Part 2: clinical results. Clin Oral Implants Res 23, 389-395.
  6. Roccuzzo, M., De Angelis, N., Bonino, L., & Aglietta, M. (2010) Ten-year results of a three-arm prospective cohort study on implants in periodontally compromised patients. Part 1: implant loss and radiographic bone loss. Clin Oral Implants Res 21, 490-496.

Kommentare