Reports & Studi

Impianti singoli per un ponte in ossido di zirconio con Implantmed

Resoconto sul caso del dott. Karl-Ludwig Ackermann, Filderstadt, Germania

Un paziente di 67 anni si presentava con corone splintate posizionate nella mascella che richiedevano la sostituzione. Dopo l'estrazione dei denti 21 e 22, si prevede di inserire impianti mediante nuovi pilastri per ponte. Le sedi saranno preparate con il nuovo motore per implantologia Implantmed di W&H, mentre la stabilità sarà misurata con il modulo Osstell ISQ di W&H integrato.

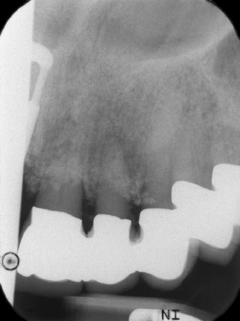
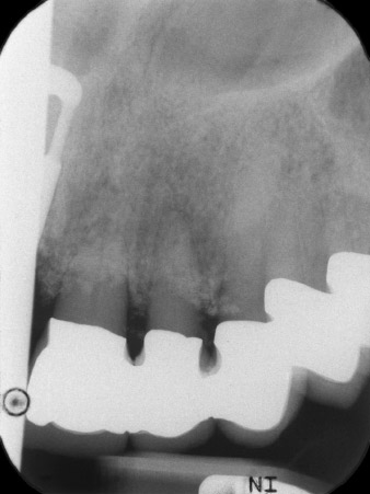
esiti radiologici iniziali
Fig. 1: Gli esiti radiologici iniziali hanno rivelato la necessità di sostituire una ricostruzione protesica eseguita mediante corona splintata. Quando la protesi è stata rimossa, sono stati estratti involontariamente anche i denti 21 e 22.

Alla prima visita, il paziente si presentava con ricostruzione su denti 21, 22 e 23 eseguita mediante corone splintate, ormai 19 anni prima, fissate agli impianti con attacchi in corrispondenza delle posizioni 12/11 (cfr. Fig. 2).

L'esito radiologico ha rivelato perdita di tessuto osseo in orizzontale attorno ai denti 21 e 22 (Fig. 1). Quando si è passati a rimuovere la corona, questi stessi denti sono stati estratti involontariamente.

Il dente 23 mostrava una frattura coronale orizzontale ricostruita mediante procedura post-endodontica con posizionamento di moncone core protesico temporaneo. Si è previsto di posizionare un ponte in ossido di zirconio sugli impianti esistenti in corrispondenza delle posizioni 12 e 11 e di posizionare due nuovi impianti in corrispondenza delle posizioni 22 e 23.


Dopo la prima guarigione, i tessuti molli sono stati sagomati con un ponte rivestito nella porzione basale. Due mesi dopo, il sito è stato esposto con una leggera incisione sula cresta palatoalveolare (Fig. 2). Si è visto che le dimensioni dell'osso alveolare erano sufficienti in corrispondenza della posizione 22. Le figure 2 e 4 mostrano la preparazione della sede di impianto, l'avvitamento e l'impianto utilizzando Implantmed.

Misurazione della stabilità dell'impianto

Il nuovo motore per implantologia è stato utilizzato con i manipoli chirurgici contrangoli W&H appropriati.

la perforazione pilota è eseguita con il nuovo dispositivo Implatmed e il manipolo contrangolo Ws-56L
Fig. 2: Due mesi dopo si è eseguita perforazione pilota con il nuovo motore Implantmed e il manipolo contrangolo WS-56L (programma P1, velocità 1:1). Il raffreddamento avviene con il tubo spray posizionato sulla sinistra (per utenti destrorsi).
Avvitamento con il manipolo contrangolo WS-75L
Fig. 3: Avvitamento con il manipolo contrangolo WS-75L a una velocità di 20:1 (programma P4). La coppia elevata di Implantmed, con sistema di bloccaggio esagonale per trasmissione di potenza affidabile e inversione automatica della direzione di rotazione al raggiungimento di una resistenza troppo elevata, si è rivelata particolarmente utile in questo caso.
Posizionamento motorizzato dell'impianto
Fig. 4: Posizionamento motorizzato dell'impianto con il manipolo contrangolo WS-75L a una velocità di 20:1 (programma P5).

Per compensare la perdita ossea periodontale e ottenere un risultato estetico piacevole, si è proceduto all'impianto unitamente alla rigenerazione guidata dell'osso (tecnica GBR) con materiale di riempimento xenogenico e membrana di collagene (Fig. 5 e 6).

Materiale xenogenico di sostituzione ossea
Fig. 5: Al fine di ottenere la migliore qualità possibile del tessuto periimpianto, è stato eseguito innesto osseo nella sede di impianto con materiale xenogenico di sostituzione ossea e una membrana di collagene, in vista della rigenerazione guidata dell'osso.
Situazione in seguito a impianto
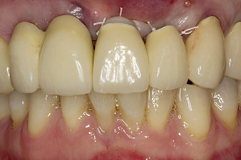
Fig. 6: Situazione in seguito a impianto e innesto: Il ponte vecchio è stato reinserito come ricostruzione temporanea durante la fase di guarigione con una protesi fresata in corrispondenza della posizione di impianto 22. La protesi finale programmata sarà un ponte in ossido di zirconio da 12 nell'impianto di inserimento in corrispondenza della posizione 23.

In vista dell'esposizione per l'impianto in corrispondenza della posizione 23, quattro mesi dopo si è misurata la stabilità dell'impianto con il modulo W&H Osstell ISQ (implant stability quotient) integrato nel dispositivo.

Il corrispondente perno di misurazione (SmartPeg) è stato avvitato nel sistema di impianto posizionando la sonda a una distanza di 3-5 mm dal lato anteriore del perno (Fig. 7).

Modulo Osstell ISQ
Fig. 7: Dopo quattro mesi, la stabilità dell'impianto 22 è stata misurata con il modulo Osstell ISQ di W&H durante l'esposizione (valori misurati: mesiale 68, vestibolare 64 = stabilità media).

La figura 8 mostra il motore Implantmed di W&H con tutti gli accessori, senza il carrello (anch'esso disponibile).

Implantmed
Fig. 8: Il nuovo motore Implantmed è disponibile anche con controllo al piede in modalità senza cavi e il modulo Osstell ISQ di W&H collegabile.

Strumenti senza compromessi

Nei trattamenti implantologici della regione mascellare anteriore devono essere presi in considerazione una serie di fattori, tra cui particolarmente importante è ottenere un risultato estetico piacevole (1).

Altri fattori comprendono la progettazione e il materiale della ricostruzione (2) e la quantità e qualità del tessuto che circonda l'impianto. Vi sono inoltre fattori che influenzano la fase di guarigione, la fase temporanea (3) e il tipo di fissaggio (4).

Per evitare incertezze future, i medici dentisti e chirurghi non possono accettare compromessi nel caso della strumentazione.

Oltre ai sistemi di impianto e protesici, questo è vero anche per i motori implantologici e i relativi manipoli contrangolo.

In questo studio del caso la situazione è stata risolta con un impianto in corrispondenza della posizione 22 nella prima procedura, e con un impianto aggiuntivo in corrispondenza del dente estratto 23 nel corso del trattamento continuato. Il secondo impianto è stato inserito dopo che l'osteointegrazione dell'impianto 22 era avvenuta con successo. Il ponte modificato è stato reinserito fino a che l'impianto 23 era guarito e la sede era pronta per la ricostruzione definitiva. I vantaggi di questo approccio graduale includono la capacità dell'impianto di accettare carichi con più resilienza e i tessuti molli e duri più maturi (5).

"Motore per implantologia progettato con pieno successo"

La preparazione della sede di impianto, l'avvitamento e l'impianto sono stati eseguiti con Implantmed, il nuovo motore per implantologia, un progetto dal pieno successo. Il produttore ha sviluppato un'intera gamma di nuove caratteristiche tecniche per questo dispositivo. Ad esempio, il sofisticato sistema del menu di navigazione con pannello touchscreen è di particolare aiuto. Le varie funzioni possono essere selezionate facilmente e regolate, a seconda di ciascun sistema di impianto specifico e delle preferenze personali. Il menu può memorizzare fino a sei utenti, in caso di grandi studi o in strutture ospedaliere.


Le dimensioni del dispositivo e il suo design ergonomico – ad esempio i comodi vassoi portastrumenti, il controllo al piede in modalità senza cavi e la soluzione intelligente per la fornitura di fluido di raffreddamento – permettono l'eccezionale integrazione del dispositivo nelle pratiche implantologiche. Anche il design è davvero accattivante (Fig. 8).


Nello stesso caso, è stato usato il modulo opzionale integrabile Osstell ISQ di W&H (Fig. 7). Dopo la guarigione l'impianto è stato coperto, ed è stato così possibile confermare se il processo fosse stato completato con successo (impianto 22). Se si prevede il caricamento immediato o precoce, il modulo – in combinazione con la coppia registrata – può essere utilizzato per controllare la stabilità primaria necessaria. Tutti i dati possono essere archiviati sulla chiavetta USB per ciascuna sessione di ciascun impianto. In questo modo, sono soddisfatti tutti i requisiti clinici e legali.

Dott. Ackermaann
Dott. Karl Ludwig Ackermann

Ulteriori informazioni

Benefici di Implantmed

Intervista con il Dott. Ackermann

Foto: © Ackermann/Kirsch/Neuendorff


Riferimenti

  1. Dawson A, Chen ST. The SAC Classification in Implant Dentistry. Berlin: Quintessence Publishing Co., 2009.
  2. Martin WC, Pollini A, Morton D. The influence of restorative procedures on esthetic outcomes in implant dentistry: a systematic review. Int J Oral Maxillofac Implants 2014;29 Suppl:142-154.
  3. Zuhr O, Fickl S, Wachtel H, Bolz W, Hurzeler M. Die Versorgung der Extraktionsalveole aus prothetischer Sicht. Implantologie 2006;14:339-353.
  4. Krennmair G, Seemann R, Weinlander M, Wegscheider W, Piehslinger E. Implant-prosthodontic rehabilitation of anterior partial edentulism: a clinical review. Int J Oral Maxillofac Implants 2011;26:1043-1050.
  5. Buser D, Martin W, Belser UC. Optimizing esthetics for implant restorations in the anterior maxilla: anatomic and surgical considerations. Int J Oral Maxillofac Implants 2004;19 Suppl:43-61.

Commenti