Berichte & Studien

Einzelimplantationen für eine Zirkonoxidbrücke mit Implantmed

Fallbericht von Dr. Karl-Ludwig Ackermann, Filderstadt, Deutschland

Eine 67-jährige Patientin stellt sich mit erneuerungsbedürftigen verblockten Kronen im Oberkiefer vor. Nach Extraktion der Zähne 21 und 22 sind als neue Brückenpfeiler Implantate geplant. Die Lager sollen mit dem neuen Implantologiemotor Implantmed aufbereitet und die Stabilität mit dem integrierten W&H Osstell ISQ-Modul gemessen werden.

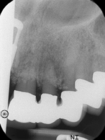
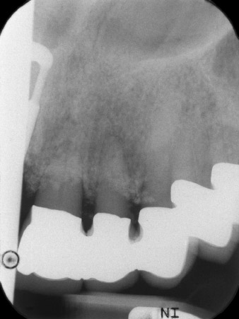
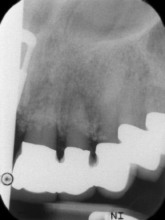
radiologischer Ausgangsbefund
Abb. 1: Der radiologische Ausgangsbefund zeigt eine erneuerungsbedürftige verblockte Kronenversorgung. Beim Abnehmen werden die Zähne 21 und 22 unbeabsichtigt extrahiert.

Bei der Erstvorstellung sind die Zähne 21, 22 und 23 mit 19 Jahre alten verblockten Kronen versorgt. Sie sind über ein Geschiebe mit Implantaten an den Positionen 12/11 verbunden (vgl. Abb. 2). Das Röntgenbild zeigt einen horizontalen Knochenverlust um die Zähne 21 und 22 (Abb. 1).

Beim Abnehmen des Kronenblocks werden diese Zähne unbeabsichtigt mit entfernt. Der horizontal-koronal frakturierte Zahn 23 wird für die temporäre Versorgung mit einem Stift-Stumpfaufbau versorgt. Geplant ist eine Zirkonoxidbrücke auf den vorhandenen Implantaten an den Positionen 12 und 11 und zwei neuen Implantaten an 22 und 23.

Nach primärer Abheilung werden die Weichgewebe mithilfe der basal unterfütterten Brücke ausgeformt. Zwei Monate später erfolgt die Freilegung mit einem leicht palatinal gelegten Kieferkammschnitt (Abb. 2).

Der Alveolarknochen erweist sich an Position 22 als ausreichend dimensioniert. Die Abbildungen 2 und 4 zeigen die Implantatbett-Aufbereitung, den Gewindeschnitt und die Implantation mit dem Implantmed.

Messung der Implantatstabilität

Der neue Implantologiemotor wird jeweils mit den geeigneten chirurgischen Winkelstücken von W&H verwendet.

Pilotbohrung mit dem neuen Implantmed und dem Winkelstück WS-56 L
Abb. 2: Zwei Monate später erfolgt die Pilotbohrung mit dem neuen Implantmed und dem Winkelstück WS-56 L (Programm P1, Übersetzung 1:1). Die Kühlung erfolgt über das links positionierte Sprayrohr (für Rechtshänder).
Gewindeschnitt mit dem Winkelstück WS-75 L
Abb. 3: Gewindeschnitt mit dem Winkelstück WS-75 L bei einer Übersetzung von 20:1 (Programm P4). Hilfreich sind hier das hohe Drehmoment des Implantmed, das Hexagon-Spannsystem für sichere Kraftübertragung und die automatische Umkehr der Drehrichtung bei zu hohem Widerstand.
Maschinelles Eindrehen des Implantats
Abb. 4: Maschinelles Eindrehen des Implantats mit dem Winkelstück WS-75 L bei einer Übersetzung von 20:1 (Programm P5).

Um den parodontalen Knochenverlust auszugleichen und ein ästhetisches Ergebnis zu erreichen, wird die Implantation mit gesteuerter Knochenregeneration mit xenogenem Ersatzmaterial und einer Kollagenmembran kombiniert (Abb. 5 und 6).

xenogenes Knochenersatzmaterial
Abb. 5: Um eine bestmögliche periimplantäre Gewebequalität zu erreichen, wird der Bereich zusätzlich mit xenogenem Knochenersatzmaterial und einer Kollagenmembran im Sinne einer gesteuerten Geweberegeneration augmentiert.
Situation nach Implantation und Augmentation
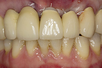
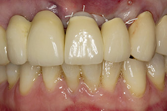
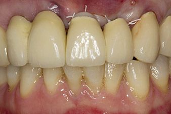
Abb. 6: Situation nach Implantation und Augmentation: Die alte Brücke wird für die Einheilphase wieder als Provisorium eingegliedert, mit frei geschliffenem Brückenglied an der Implantatposition 22. Als definitiver Ersatz ist eine Zirkonoxidbrücke von 12 auf das noch zu inserierende Implantat an Position 23 geplant.

Im Rahmen der Freilegung für die Implantation an Position 23 wird vier Monate später die Implantatstabilität mit dem im Gerät integrierten W&H Osstell ISQ-Modul gemessen (Implantat-Stabilitäts-Quotient).

Dafür wird der zum Implantatsystem passende Messpfosten (SmartPeg) aufgeschraubt und die Sonde in einem Abstand von 3-5 mm von der Stirnseite des Messpfostens positioniert (Abb. 7).

Osstell ISQ-Modul
Abb. 7: Knapp vier Monate später wird im Rahmen der Freilegung die Stabilität von Implantat 22 mit dem W&H Osstell ISQ-Modul gemessen (Messwerte mesial 68, vestibulär 64, mittlere Stabilität).

Die Abbildung 8 zeigt das Implantmed mit kompletter Peripherie, aber ohne das ebenfalls erhältliche Geräte-Cart.

Implantmed
Abb. 8: Das neue Implantmed ist optional mit kabelloser Fußsteuerung und andockbarem W&H Osstell ISQ-Modul lieferbar.

Kompromisslose Hardware

Bei Implantatversorgungen in der ästhetisch sensiblen Oberkieferfront sind zahlreiche Faktoren zu berücksichtigen (1). Dazu gehören Design und Material der Prothetik (2) sowie Quantität und Qualität der periimplantären Gewebe. Hinzu kommen Fragen der Einheilung, der temporären Phase (3) und der Art der Fixierung (4).

Damit keine weiteren Unwägbarkeiten hinzukommen, sollten Zahnärzte und Chirurgen bei der Hardware auf Kompromisse verzichten.

Neben dem Implantatsystem und der Prothetik betrifft das auch den Implantologiemotor und die zugehörigen chirurgischen Winkelstücke.

Im Fallbeispiel wurde die Situation im ersten Eingriff mit einem Implantat an Position 22 gelöst, und einem weiteren an der Position des im weiteren Verlauf extrahierten Zahnes 23. Das zweite Implantat folgt nach Osseointegration von Implantat 22. Die umgearbeitete Brücke wurde bis zur Einheilung von Implantat 23 und der Abformung für den definitiven Zahnersatz wieder eingegliedert. Vorteile dieses abgestuften Vorgehens sind eine sichere Belastbarkeit der Implantate und gut ausgereifte Hart- und Weichgewebe (5).

„Sehr gelungener Implantologiemotor“

Aufbereitung des Implantatbetts, Gewindeschnitt und Implantation erfolgten mit dem neuen, nach Überzeugung des Autors sehr gelungenen neuen Implantologiemotor Implantmed. Bei dem Gerät hat der Hersteller eine Reihe von technischen Merkmalen weiter entwickelt. Als sehr hilfreich erweist sich zum Beispiel die durchdachte Menüführung über den Touchscreen. Alle Funktionen sind leicht anwählbar und können bequem auf das verwendete Implantatsystem und persönliche Präferenzen angepasst werden. Das gilt auch für bis zu sechs Anwender in einer größeren Praxis oder einer Klinik.

Das neue Gerät ist durch seine Abmessungen und die ergonomische Gestaltung – zum Beispiel mit komfortablen Instrumentenablagen, kabellosem Fußanlasser und sauber gelöster Kühlmittelzufuhr – gut in die implantologische Praxis integrierbar. Das Design ist ebenfalls sehr ansprechend (Abb. 8).

Im Fallbeispiel wurde auch das optional integrierbare W&H Osstell ISQ-Modul genutzt (Abb. 7). Da die Einheilung des Implantats gedeckt erfolgte, konnte deren erfolgreicher Abschluss bestätigt werden (Implantat 22). Wenn eine Sofort- oder Frühbelastung geplant ist, lässt sich mit dem Modul – in Verbindung mit dem registrierten Drehmoment – die nötige Primärstabilität überprüfen. Alle Daten können sitzungs- und implantatbezogen auf USB gespeichert werden. Damit sind neben den klinischen auch die forensischen Anforderungen in vorbildlicher Weise erfüllt.

Dr. Ackermann
Dr. Karl Ludwig Ackermann

Weitere Infos

Vorteile des Implantmed:

Interview mit Dr. Ackermann

Fotos: © Ackermann/Kirsch/Neuendorff


Literatur

  1. Dawson A, Chen ST. The SAC Classification in Implant Dentistry. Berlin: Quintessence Publishing Co., 2009.
  2. Martin WC, Pollini A, Morton D. The influence of restorative procedures on esthetic outcomes in implant dentistry: a systematic review. Int J Oral Maxillofac Implants 2014;29 Suppl:142-154.
  3. Zuhr O, Fickl S, Wachtel H, Bolz W, Hurzeler M. Die Versorgung der Extraktionsalveole aus prothetischer Sicht. Implantologie 2006;14:339-353.
  4. Krennmair G, Seemann R, Weinlander M, Wegscheider W, Piehslinger E. Implant-prosthodontic rehabilitation of anterior partial edentulism: a clinical review. Int J Oral Maxillofac Implants 2011;26:1043-1050.
  5. Buser D, Martin W, Belser UC. Optimizing esthetics for implant restorations in the anterior maxilla: anatomic and surgical considerations. Int J Oral Maxillofac Implants 2004;19 Suppl:43-61.

Kommentare