Reports & Studi

NIWOP – Parte 1: Il pre-trattamento

No Implantology without Periodontology

Il flusso di lavoro NIWOP

NIWOP è un flusso di lavoro pianificabile che inizia molto prima del posizionamento dell'impianto e continua oltre il restauro protesico. Il suo obiettivo, a parte l'effettivo inserimento dell'impianto, è ridurre al minimo l'incidenza di complicanze biologiche come la mucosite perimplantare o la perimplantite (Derks et al. 2015). Attraverso la stabilizzazione delle condizioni parodontali prima dell'inserimento dell'impianto, la fase di pre-trattamento permette di ottenere le migliori condizioni possibili per il trattamento protesico e, allo stesso tempo, pone le basi per la fattibilità a lungo termine dell'impianto. Durante la successiva fase di implantologia, viene utilizzata la tecnologia di misurazione della stabilità per determinare il tempo ottimale per il caricamento. In questo modo è possibile garantire la migliore guarigione prevenendo danni all'impianto. L'intervallo di recall definito individualmente viene utilizzato per la diagnosi precoce di possibili complicanze e per la verifica di una corretta igiene orale a casa. Il flusso di lavoro NIWOP è accompagnato in modo ottimale in tutte e tre le fasi dalla gamma di prodotti W&H: Proxeo, Implantmed, Piezomed.

Parte 1: Il pre-trattamento

dall'articolo della Dr Kristina Bertl, PhD, MBA, MSc

Il desiderio di riguadagnare un sorriso pieno non è solo una questione estetica; è anche strettamente legato alla qualità della vita della persona interessata. Indipendentemente dal motivo della necessità di protesi dentarie, è anche necessario considerare se gli impianti sono la soluzione adatta.

NIWOP si pone questa domanda come prima cosa. Fattori influenzanti come patologie sistemiche sottostanti, fattori genetici associati a malattia parodontale, qualità ossea, condizioni parodontali (incluso PSI - Periodontal Screening Index, BOP - Bleeding on Probing) e fumo sono considerati sistematicamente durante la diagnostica pre-impianto.
Se la diagnostica parodontale è positiva, il flusso di lavoro NIWOP prevede un trattamento parodontale iniziale (Ackermann 2019) poiché i pazienti con malattia parodontale sottostante hanno dimostrato un rischio più elevato di fallimento dell'impianto (ad esempio Renvert et al. 2009, Sousa et al. 2016).

Il fumo come fattore di rischio

Sono nove i fattori che mostrano una correlazione con la salute orale da un lato e con la salute generale dall'altro, influenzando il rischio di parodontite nei pazienti. Questi parametri - BOP, profondità di sondaggio, perdita dei denti, deterioramento osseo, età, fumo, fattori sistemici e genetici, igiene orale, costanza - sono anche usati per determinare l'intervallo di recall ottimale durante SPT / SIT (terapia parodontale / implantare di supporto) (Hierse et al. 2004).

Anche quando le cause della parodontite sono principalmente batteriche, cioè si riferiscono a un sistema immunitario attivato, il fumo rimane un fattore di rischio evitabile con conseguenze significative. Le sostanze contenute nel fumo di tabacco (ad es. Nitrosamina, nicotina, anidride carbonica, monossido di carbonio, ecc.) riducono il flusso sanguigno ai tessuti, tra le altre cose, e indeboliscono il sistema immunitario e l'attività degli osteoblasti che costruiscono le ossa. Di conseguenza, anche la capacità di guarigione del parodonto viene ridotta durante il trattamento (Faddy et al. 2000). Allo stesso tempo, il rischio di incidenza e progressione della parodontite è significativamente elevato nei fumatori rispetto ai non fumatori. Risultati similari si ottengono anche per la perimplantite, con un'incidenza di malattia perimplantare che è fino al 25% più alta per i fumatori (Casado et al.2019).

Terapia di supporto parodontale come primo passo per l'impianto

Se la storia medica del paziente evidenzia condizioni parodontali non sicure, ovvero se esiste già una storia parodontale precedente, la terapia parodontale deve essere effettuata prima dell'impianto. Se questa terapia di stabilizzazione viene ignorata, il rischio di infiammazione perimplantare e quindi di perdita dell'impianto aumenta per il paziente affetto (Sousa et al. 2016, Monje et al. 2016).

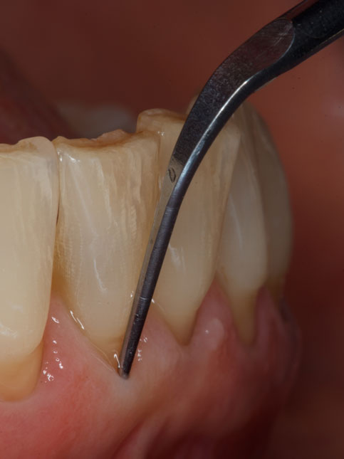
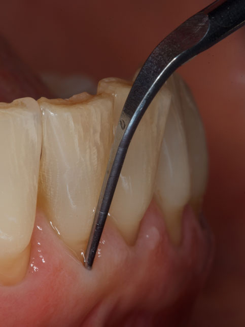
Oltre alla valutazione di routine dello stato parodontale, è anche necessario valutare ulteriori fattori associati alla salute orale (malattie sistemiche, fumo, ecc.) Un altro componente integrale della terapia parodontale è la rimozione meccanica del biofilm. Grazie ai continui progressi nel campo della tecnologia medica, il clinico ha a sua disposizione una varietà di strumenti di alto livello che consentono un lavoro efficiente e confortevole e con i quali è possibile prendere in considerazione anche le diverse esigenze dei singoli pazienti. L'unica attuale limitazione risiede nella rimozione della placca dura nella zona sopra e subgengivale, in quanto non esiste alternativa sicura a scaler o curette (Ziebolz et al.2019). In termini di comfort ed efficienza per il paziente, i sistemi sonici ed ultrasonici hanno fornito risultati eccezionali se utilizzati con i sistemi di puntali appropriati (Figura 1). Nel segmento dei dispositivi a ultrasuoni, in particolare, la compatibilità con portatori di pacemaker (W&H è l'unico titolare del certificato, agenzia europea di test 0636) ha reso possibile questo tipo di trattamento anche per questo gruppo di pazienti in continua crescita (11 ° World Survey of Cardiac Pacing) .

Fig. 1: I dispositivi a ultrasuoni rendono più efficiente il lavoro di rimozione della placca dura. La comprovata compatibilità con pacemaker cardiaco è importante per la sicurezza dei pazienti in questo particolare segmento.

Ulteriori strumenti di terapia parodontale sono i sistemi di lucidatura ad aria, che offrono un contributo innovativo alla rimozione sopra e sub-gengivale di biofilm morbidi grazie alla combinazione opportunamente bilanciata di polvere e dispositivo (Figura 2). Le punte speciali Perio, utilizzate in conformità con le specifiche e l'approvazione del produttore, consentono un lavoro sicuro, anche in tasche profonde. Una volta rimossi i biofilm, si consiglia una lucidatura finale (Figura 3) per eliminare le nicchie di ricolonizzazione batterica, ma anche per avere le superfici dei denti altamente lucidate e lisce (Wang et al. 2015, Covey et al. 2011).

Un altro aspetto importante nella terapia parodontale e implantare è il paziente stesso. Il paziente offre un contributo fondamentale al mantenimento di condizioni parodontali stabili e al successo dell'impianto attraverso l'igiene orale domestica con impegno e costanza (Thiele-Scheipers 2018). Il trattamento antibiotico adiuvante deve essere effettuato in base alla gravità e all'estensione della parodontite. Una rivalutazione della perdita di attaccamento viene condotta dopo 4/12 settimane, poiché questo periodo di tempo include sia la fase di guarigione che la fine della formazione dell'attaccamento clinico. L'entità della riduzione della profondità della tasca e una decisione sull'ulteriore corso della terapia si basano sui valori comparabili ottenuti dal sondaggio iniziale al sondaggio di nuova valutazione per ciascun tipo / forma di dente e sanguinamento durante il sondaggio (Hierse et al. 2014).

Powder jet technology is well suited for the removal of soft plaque, even in areas that are hard to reach.
Fig. 2: La tecnologia "air polishing" è adatta per la rimozione di placche morbide, anche in aree difficili da raggiungere. © W&H Proxeo Aura
Selective polishing supports the process of remineralisation and eliminates the last bacterial recolonisation niches.
Fig. 3: La lucidatura selettiva supporta il processo di rimineralizzazione ed elimina le ultime nicchie di ricolonizzazione batterica. © W&H Proxeo LatchShort

L'effetto di tasche profonde residue dopo la terapia

Le tasche residue con profondità da 6 a 7 mm dopo la terapia attiva sono davvero un problema? Matuliene et al. (2008) hanno accertato i seguenti effetti a lungo termine nel loro studio:

  • Tasche isolate con profondità di 6 mm o più sono un fattore di rischio per un peggioramento della situazione parodontale complessiva e per la perdita dei denti.
  • Tasche multiple con profondità di 5 mm o più sono un fattore di rischio per un peggioramento della situazione parodontale complessiva.
  • Il sanguinamento dopo il sondaggio raddoppia il rischio di una successiva perdita dei denti.
  • Il rischio di perdita dei denti con una tasca residua profonda 5 mm aumenta di quasi 8 volte, per 6 mm di circa 10 volte, per 7 mm di oltre 60 volte.

Di conseguenza, tasche isolate di oltre 4 mm hanno già un impatto sul dente interessato e sui denti rimanenti, pertanto non si ha la presenza di condizioni parodontali adatte per l'impianto.
Inoltre, uno studio australiano (Cho-Yan Lee et al. 2012) riporta un rischio aumentato da 4 a 5 volte di perimplantite tra i pazienti con parodontite con profondità di tasca residua (≥ 6 mm), rispetto ai pazienti con parodontite senza tasche residue profonde e pazienti sani parodontalmente.

Dunque, i medici dovrebbero prendere in considerazione ulteriori passaggi terapeutici, come la chirurgia parodontale correttiva, in caso di profondità residua della tasca (Hierse et al. 2004).

La combinazione di queste misure - una terapia di parodontite iniziale riuscita, un terapia parodontale e implantare ben definita e la collaborazione del paziente - può portare a un elevato tasso di sopravvivenza dell'impianto di circa il 92% dopo 10 anni, anche tra i pazienti con parodontite (Zangrando et al 2015).

Una dentatura che viene periodicamente trattata in questo modo e mantenuta attraverso adeguate misure preventive, offre buone condizioni per il posizionamento dell'impianto (Ackermann 2019).


Referenze

  1. Ackermann, KL. (2019) Früh ansetzen mit NIWOP. No Implantology without Periodontology: Ein personalisiertes Vorsorge-, Behandlungs- und Nachsorgekonzept für Implantatpatienten. Z Zahnärztl Implantol, 35.
  2. Casado, PL., Aguiar, T., Fernandes Pinheiro, MP., Machado, A., da Rosa Pinheiro, A. (2019) Smoking as a Risk Factor for the Development of Periimplant Diseases. Implant Dent Apr, 28(2):120-124.
  3. Lee, C-Y., Mattheos, JN., Nixon, KC., Ivanovski, S. (2012) Residual periodontal pockets are a risk indicator for peri-implantitis in patients treated for periodontitis. Clin Oral Impl Res, 23: 325–333.
  4. Covey, DA., Barnes, C., Watanabe, H., Johnson, WW. (2011) Effects of a paste-free prophylaxis polishing cup and various prophylaxis polishing pastes on tooth enamel and restorative materials. General dentistry, 59(6): 466-73; quiz 74-5.
  5. Derks, J., Tomasi, C. (2015) Peri-implant health and disease. A systematic review of current epidemiology. J Clin Periodontol, 42 Suppl 16: 158-71.
  6. Faddy, MJ., Cullinan, MP., Palmer, JE., Westerman, B., Seymour, GJ. (2000) Ante-dependence modeling in a longitudinal study of periodontal disease: the effect of age, gender, and smoking status. J Periodontol, 71(3):454-9.
  7. Hierse, L., Kenschull, M. (2014) Aktuelle Behandlungsmethoden in der Parodontologie. ZWP, 4:66-73.
  8. Matuliene, G., Pjetursson, BE., Salvi, GE., Schmidlin, K., Brägger, U., Zwahlen, M., Lang, NP. (2008) Influence of residual pockets on progression of periodontitis and tooth loss: Results after 11 years of maintenance. J Clin Periodontol, 35: 685–695.
  9. Mond, HG., Proclemer, A. (2011) The 11th world survey of cardiac pacing and implantable cardioverter-defibrillators: calendar year 2009-a World Society of Arrhythmia's project. Pacing Clin Electrophysiol, 34(8):1013-27.
  10. Monje, A., Aranda, L., Diaz, KT., Alarcón, MA., Bagramian, RA., Wang, HL., Catena, A. (2016) Impact of Maintenance Therapy for the Prevention of Peri-implant Diseases: A Systematic Review and Meta-analysis. J Dent Res, 95:372-379.
  11. Renvert, S., Persson, GR. (2009) Periodontitis as a potential risk factor for peri-implantitis. J Clin Periodontol 36 Suppl 10: 9-14.
  12. Sousa, V., Mardas, N., Farias, B., Petrie, A., Needleman, I., Spratt, D., Donos, N. (2016) A systematic review of implant outcomes in treated periodontitis patients. Clin Oral Implants Res, 27:787-844.
  13. Thiele-Scheipers, B. (2018) Patientencompliance als Grundlage erfolgreichen Biofilmmanagements. PNC, available from: https://www.pnc-aktuell.de/prophylaxe/story/patientencompliance-als-grundlage-eines-erfolgreichen-biofilmmanagements__7040.html
  14. Wang, C., Zhao, Y., Zheng, S., Xue, J., Zhou, J., Tang, Y., et al. (2015) Effect of enamel morphology on nanoscale adhesion forces of streptococcal bacteria: An AFM study. Scanning, 37(5):313-21.
  15. Zangrando, M.S., Damante, CA., Sant’Ana, AC., Rubo de Rezende, ML., Greghi, SL., Chambrone, L. (2015) Long-term evaluation of periodontal parameters and implant outcomes in periodontally compromised patients: a systematic review. J Periodontol, 86:201-221.
  16. Ziebolz, D., Kampfmann, B. (2019) Ultraschallaktiviertes Biofilmmanagement. Implantologie Journal, 3:18-24.

Commenti