Reports & Studi

Ricostruzione protesica immediata con il metodo Fast & Fixed

Per raggiungere risultati di successo con le riabilitazioni orali complicate e che siano riproducibili in numerose occasioni, il team deve poter contare su membri in grado di interagire in modo affidabile, padroneggiando conoscenze di alto livello durante ogni intervento. Altri aspetti fondamentali sono uno staff chirurgico preparato e con esperienza, un sistema di implantologia dentale affidabile e scrupolosamente testato, un'equipe tecnica all'avanguardia e un laboratorio dentistico specializzato e competente.

Caso clinico

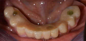
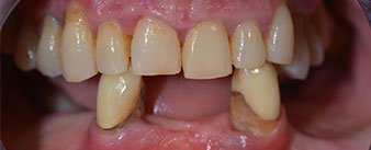
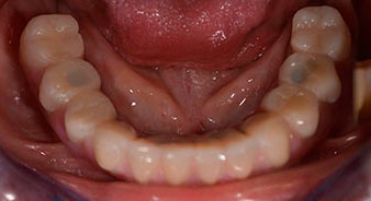
La paziente, 64 anni, presenta una dentatura residua di denti 38, 33 e 43 e una protesi combinata innestata nella mandibola (Fig. 1 e 2).

dentatura residua
Fig. 1
dentatura residua
Fig. 2

L'indispensabile trattamento parodontale e l'estrazione dalla mascella erano previsti per un altro periodo, perché la paziente è un'insegnante e all'epoca era molto impegnata con gli esami. Tuttavia, aveva difficoltà a parlare correttamente o a mangiare, perché la protesi momentanea era molto fragile e si rompeva alla minima sollecitazione.

Dopo aver illustrato alla paziente le varie opzioni di trattamento disponibili, la donna ha preferito scegliere l'estrazione della dentatura residua dalla mandibola, procedendo poi all'implantologia immediata e al trattamento con il metodo Fast & Fixed (Bredent medical). In questo caso, la protesi fissa provvisoria viene innestata su quattro impianti lo stesso giorno dell'intervento. L'obiettivo è quello di operare la paziente il venerdì, permettendole di essere presente agli esami orali il lunedì seguente.

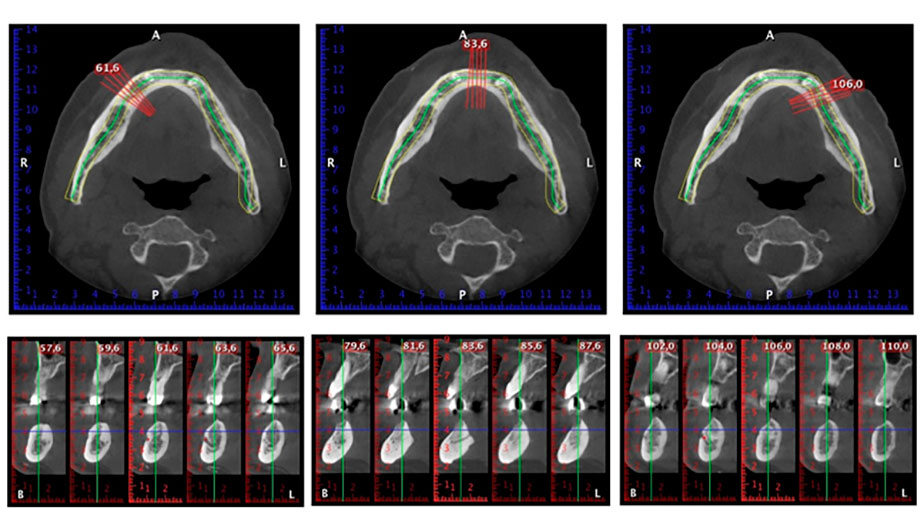
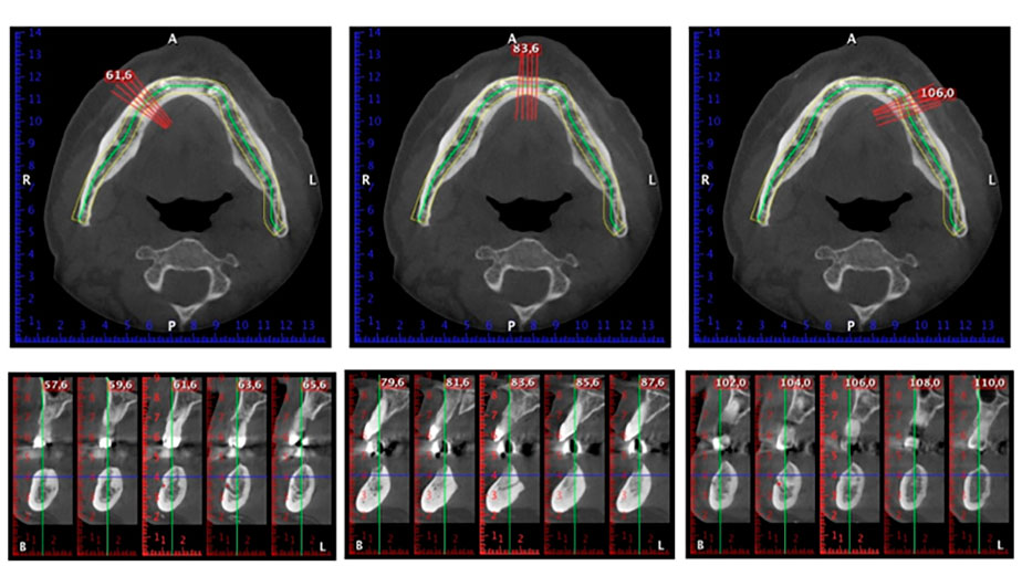
È stata eseguita una tomografia computerizzata Dentale Cone Beam in 3D (CBCT, con Planmeca) per aiutare la programmazione dell'intervento e la riduzione di rischi. L'esame ha evidenziato che la qualità e quantità dell'osso disponibile era sufficiente per eseguire l'intervento e la ricostruzione immediata, utilizzando il metodo Fast & Fixed. In base al protocollo del sistema, gli impianti sono stati inseriti in posizione 35, 32, 42 e 45. Gli impianti distali vengono installati a un angolo massimo di 45 gradi. Così facendo, il profilo che ne risulta viene spostato in posizione posteriore, generando un poligono di supporto più ampio (Fig. 3).

metodo Fast & Fixed
Fig. 3

Procedura chirurgica

Dopo aver rimosso la dentatura residua dalla mandibola, la cresta alveolare viene esposta da 37 a 47.

Prima di tutto, è stato individuato il forame mentoniero come limite della struttura anatomica. Successivamente, l'osso corticale della cresta è stato lisciato con un manipolo e una fresa larga a rosetta (Fig. 4).

dentatura residua
Fig. 4

A questo punto si possono già intuire i vantaggi che garantisce Implantmed. Il protocollo chirurgico è già predefinito e gli strumenti sono collocati in posizione fissa. Le posizioni individuali possono essere selezionate premendo la lettera "P" con il controllo a pedale o tramite il display. La velocità predefinita è di 35.000 giri/min nella posizione 1 e, in questo caso, i numeri sono visualizzati sul display illuminato (Fig. 5 e 6).

display
Fig. 5
controllo a pedale
Fig. 6

Il protocollo chirurgico per il sistema di implantologia utilizzato (SKY, Bredent medical) prevede una velocità di 1.200 giri/min per la perforazione pilota (Fig. 7 - 9).

Fig. 7
velocità di 1.200 giri/min
Fig. 8
Fig. 9

Questa è la prossima posizione programmata nel sistema Implantmed. Qui è possibile vedere il contrangolo W&H impugnato a un angolo di 45 gradi in posizione medio-caudale, nella zona del 45, al fine di salvaguardare il nervo mentoniero. Il forame mentoniero è un punto di riferimento anatomico per tutte le perforazioni in quest'area. I fori successivi sono realizzati con una velocità ridotta, pari a 300 giri/min (Fig. 10 e 11).

contrangolo W&H
Fig. 10
velocità di 300 giri/min
Fig. 11

Il prossimo passaggio programmato prevede ancora il posizionamento degli impianti. Solitamente, in questa fase il nostro studio utilizza una coppia di 32 Ncm (Fig. 12 e 13).

contrangolo W&H
Fig. 12
coppia di 32 Ncm
Fig. 13

L'alta solidità è un requisito indispensabile per una ricostruzione immediata. Per garantirla, in questo caso il foro non è stato filettato. L'unità di perforazione Implantmed di W&H è dotata di una modalità speciale per questo scopo, che può essere selezionata direttamente ed è indispensabile in molte situazioni. In fase di posizionamento degli impianti, i giri finali hanno superato il valore di 32 Ncm e sono stati terminati a mano. In questi casi, consigliamo l'utilizzo della funzione autofilettante del sistema di implantologia e la rotazione degli impianti all'indietro e in avanti, per diverse volte. Questo permette all'impianto di assumere gradualmente la posizione finale, evitando un'eccessiva pressione all'osso (Fig. 14).

impianti
Fig. 14

È stato avvitato un moncone angolato di 35 gradi per compensare la divergenza degli impianti distali. Ne risulta un profilo globale degli impianti situato il più perpendicolare possibile al piano occlusale. Questa situazione è un prerequisito per il posizionamento occlusale di protesi provvisorie e, successivamente, di quelle definitive (Fig. 15 e 16).

impianti
Fig. 15
impianti
Fig. 16

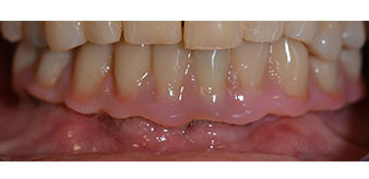
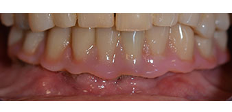
Successivamente, sono state prese le impronte e il morso di costruzione della paziente, per consentire al tecnico dentale di iniziare a realizzare la ricostruzione provvisoria. Quest'ultima è stata innestata lo stesso giorno (Fig. 17 e 18).

impianti
Fig. 17
impianti
Fig. 18

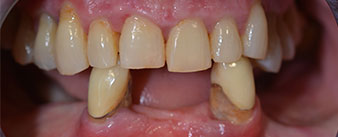
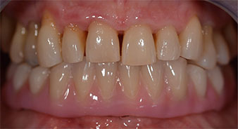
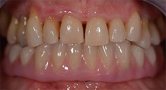
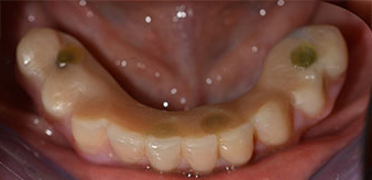
Una volta trascorso il tempo necessario per la osteointegrazione, è stato possibile prendere l'impronta definitiva degli impianti e, poi, è stata realizzata la protesi definitiva (Fig. 19 e 20). A questo punto, il dentista e la paziente hanno potuto decidere insieme se utilizzare delle faccette in ceramica o in vernice acrilica, con una struttura in zirconio o metallo. In questo caso, il Dott. Pascu e il suo team hanno preferito delle faccette in vernice acrilica, a seguito della prognosi difficile sulla dentatura mascellare e sulla posizione allungata del dente 24. Questo tipo di faccette è solitamente molto più facile da adattare e, di conseguenza, può essere modificato per rispondere alla nuova situazione della mascella.

osteointegrazione
Fig. 19
impianti
Fig. 20

Implantmed di W&H
Fig. 21: Implantmed di W&H

Dispositivi e accessori chirurgici

L'unità di perforazione W&H Implantmed utilizzata in questa proceduta è utile per la sua facilità d'impiego.

I pulsanti sono facilmente leggibili e le operazioni intuitive. Sull'ampio display perfettamente illuminato, il chirurgo può individuare facilmente dettagli, quali velocità e modalità di impiego.

Le varie modalità possono essere preimpostate per il protocollo chirurgico e selezionate con il controllo a pedale. In questo modo, le operazioni possono essere effettate risparmiando tempo e semplificando la procedura chirurgica.

Il contrangolo chirurgico utilizzato è il modello WS-75LG, dotato di una luce LED

che aumenta il contrasto nella cavità orale e migliora la percezione visiva. Sia il contrangolo che il manipolo S-11 di W&H sono raffreddati esternamente, che rappresenta un enorme vantaggio perché la soluzione salina arriva esattamente dove è necessaria e può essere regolata se necessario. Contrangolo e manipoli sono smontabili e questo passaggio è caldamente raccomandato per motivi di igiene e sterilizzabilità. Sono stati posizionati quattro impianti SKY della misura di 4 x 14 mm.

manipoli e contrangolo chirurgici
Fig. 22: manipoli e contrangolo chirurgici

Questo caso clinico è stato condotto dal Dott. Christian Dan Pascu e il team dello studio dentistico Discover White di Düsseldorf, in collaborazione con Bredent medical Gmbh & Co. KG e W&H.

Dott. Christian Dan Pascu, medico dentista

Contatti:

Dott. Christian Dan Pascu, medico dentista

Esperto in implantologia orale (GBOI)
Discover White – Studio dentistico
Dott. Mintcheva e Dott. Pascu
Zollhof 8, 40221 Düsseldorf
www.discover-white.de

* Foto: Dott. Christian Dan Pascu

Commenti