Reports & Studi

Piezochirurgia: un principio universale per numerose indicazioni

Nell'era dei trattamenti mini invasivi, i chirurghi odontoiatrici, odontostomatologici e maxillo-facciali utilizzano sempre più frequentemente i dispositivi piezoelettrici per preparare il tessuto osseo. La tecnologia si basa sulla chirurgia a ultrasuoni ed è ideale per la preparazione atraumatica del tessuto duro.

Il principio fisico alla base dell'effetto noto come piezoelettrico è la vibrazione del quarzo all'applicazione di una corrente elettrica. Degli speciali trasduttori convertono le vibrazioni generate nel quarzo in oscillazioni della punta dell'inserto utilizzato che, in questo caso, permette l'ablazione selettiva del tessuto nella chirurgia a ultrasuoni. Questa procedura è ormai considerata uno standard in vari campi chirurgici da alcuni decenni.

W&H Piezomed

Il maggiore vantaggio della piezochirurgia in campo odontoiatrico è la possibilità di selezionare i materiali calcificati, come tessuto osseo e denti. Mentre il tessuto molle circostante assorbe la vibrazione dei raccordi (generalmente) metallici utilizzati e vibra insieme alla punta dell'inserto, il tessuto calcificato viene ablato selettivamente per la preparazione specifica dell'osso. Ciò offre vantaggi significativi per svariate indicazioni in cui è richiesta la preparazione atraumatica del tessuto osseo immediatamente adiacente a strutture importanti del tessuto molle, come nervi, gengive e anche la membrana mucosa nella cavità del seno.

I dispositivi piezoelettrici hanno altri vantaggi clinici rispetto alle seghe oscillanti o anche alle frese rotanti. Ad esempio, la minima flessione della punta permette una preparazione estremamente precisa degli spazi osteotomici. Durante l'utilizzo delle frese rotanti e anche delle seghe oscillanti, la definizione iniziale della linea osteotomica è particolarmente difficoltosa; ciò causa in generale delle differenze tra il corso pianificato e quello effettivo dell'osteotomia. Inoltre, gli strumenti rotanti richiedono un certo grado di stabilità per resistere alle forze di taglio che si generano durante l'ablazione rotante. In confronto alla piezochirurgia, ciò comporta dei difetti di preparazione significativamente più ampi, con conseguente perdita di tessuto osseo da cui può derivare la necessità di eseguire un accrescimento (Lakshmiganthan, Gokulanathan et al. 2012).

Un altro problema degli strumenti rotanti è la possibilità che si verifichi una flessione accidentale dovuta a un'inclinazione o anche semplicemente a uno spostamento lungo la superficie preparatoria. In particolare, lavorando vicino ai denti e ai nervi adiacenti, un raccordo piezoelettrico può consentire una maggiore sicurezza chirurgica e ridurre il rischio di danneggiamento delle strutture vicine (Pereira, Gealh et al. 2014).

Un'altra importante proprietà dei dispositivi piezoelettrici, che ne incoraggia ulteriormente l'utilizzo, è la possibilità di impiegare strumenti per deviare le vibrazioni della preparazione. Ad esempio, la preparazione retrograda di una resezione di apici utilizzando manipoli e contrangolo a microtestine è una procedura complessa che richiede la formazione di lembi e cavità estesi per l'accesso al tessuto osseo. Ciò può essere realizzato in maniera molto precisa grazie ai dispositivi piezoelettrici deviando l'energia delle vibrazioni nell'inserto applicato. La risultante preparazione ridotta di tessuto duro e molle consente accessi più piccoli, riducendo quindi la morbilità perioperatoria dei pazienti a seguito di una resezione di apici.

La chirurgia piezoelettrica era solitamente considerata una procedura di lunga durata, tuttavia la generazione di dispositivi più recenti prevede un miglioramento significativo delle prestazioni di taglio e ablazione. Lo sviluppo dell'innovativo dispositivo Piezomed di W&H incorpora i significativi avanzamenti raggiunti dalla tecnologia delle testine utilizzate e dell'energia di trasmissione generale, rispetto ai parametri delle prestazioni convenzionali. Il dispositivo offre anche un impulso di energia di 15 secondi per una breve ottimizzazione delle prestazioni, per attivare riserve aggiuntive e aumentare ulteriormente le prestazioni di ablazione. È stata migliorata anche la maneggevolezza del dispositivo, grazie a un sistema automatico di rilevamento delle testine utilizzate che definisce le impostazioni ottimali per lo strumento specifico. Piezomed offre inoltre illuminazione ottimale del sito chirurgico con diverse luci LED integrate nel manipolo, fornendo una buona visibilità anche nella regione posteriore della mandibola.

cazione: rialzo del seno

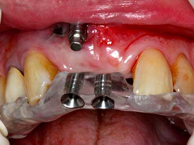
La preparazione della finestra laterale durante un rialzo del pavimento sinusale esterno è complicata, in particolare per gli implantologi con poca esperienza chirurgica. La rimozione della copertura ossea del seno senza danneggiare la membrana schneideriana sottostante è solo una parte dell'operazione: dopo aver stabilito un accesso adeguato, la membrana interna del seno deve essere spostata con cautela per far spazio ai materiali di accrescimento o agli impianti. La piezochirurgia è utile per questa indicazione in due modi: è possibile utilizzare gli strumenti diamantati per l'ablazione selettiva dell'osso e, se la procedura viene eseguita con precisione, la membrana mucosa sottostante rimane intatta. Le frequenze ultrasoniche permettono anche la separazione della membrana mucosa senza complicanze: le frequenze vengono trasmesse nello spazio compreso tra la membrana mucosa e il pavimento sinusale mediante degli speciali raccordi smussati (Cassetta, Ricci et al. 2012, Pereira, Gealh et al. 2014) (Rickert, Vissink et al. 2013). Di conseguenza, non sorprende che le rivisitazioni attuali del rialzo del pavimento sinusale esterno valutino positivamente l'utilizzo dei dispositivi piezoelettrici, delle superfici non lisce degli impianti e dei materiali di riempimento dell'osso (Wallace, Tarnow et al. 2012).

Immagini di casi clinici


Indicazione: prelievo osseo autologo

I trapianti autologhi dell'osso si eseguono in forma di blocchi, strati e anelli, anche in combinazione con materiali di riempimento tipo microframmenti. Se il sito dell'impianto viene preparato contemporaneamente all'accrescimento, diversi sistemi di filtraggio dell'osso si sono rivelati efficaci per la raccolta dei microframmenti ossei risultanti. Come metodo alternativo, il sito dell'impianto può essere preparato utilizzando un dispositivo a bassa velocità senza irrigazione. Senza l'inserimento di un impianto, è possibile raccogliere i microframmenti ossei dalla periferia mediante bisturi affilati per tessuto osseo. Ciò può essere eseguito anche con la piezochirurgia mediante appositi raccordi che raccolgono microframmenti ossei di qualità più elevata rispetto a quelli raccolti con trapani rotondi, come è stato confermato in uno studio comparativo dei due metodi (Chiriac, Herten et al. 2005).

La piezochirurgia presenta altri vantaggi per quanto riguarda la raccolta di blocchi ossei. Oltre all'elevata precisione dell'osteotomia appena descritta, l'utilizzo di puntine per sega molto sottili permette di minimizzare in maniera significativa la perdita di materiale. È molto probabile che si verifichi una maggiore perdita di materiale durante la raccolta utilizzando puntine di strumenti più spessi, in particolare delle frese Lindemann (Lakshmiganthan, Gokulanathan et al. 2012). La separazione basale, necessaria in particolare per i trapianti di blocchi nella zona retromolare, viene semplificata grazie a seghe specificatamente progettate di forma rettangolare; di conseguenza la piezochirurgia è considerata una procedura precisa, semplice e sicura per la raccolta di blocchi di osso nella zona retromolare (Happe 2007) (figg. 1-12).


Indicazione: incisione ossea

Il tessuto osseo non è semplicemente una struttura minerale, ma contiene anche una percentuale significativa di fibre di collagene. Ciò significa che non possiede solo una buona forza di compressione, ma anche un certo livello di flessibilità che è possibile sfruttare durante l'esecuzione degli accrescimenti di osso. Nella procedura di espansione classica con incisione ossea, la cresta alveolare atrofizzata viene incisa longitudinalmente ed espansa con cautela dopo aver raggiunto una profondità di osteotomia adeguata (figg. 13-16), idealmente senza una sostanziale rimozione del periostio (Brugnami, Caiazzo et al. 2014, Stricker, Fleiner et al. 2014). I sistemi a piastra e vite con distanza di espansione incrementale si sono dimostrati efficaci nella separazione delle due lamelle ossee restando al di sotto della soglia di frattura. In generale, sono richieste larghezze dell'osso residuo di almeno 3-4 mm (Chiapasco, Zaniboni et al. 2006) per garantire un'adeguata flessibilità e una copertura sufficiente dell'osso per gli impianti futuri. Se necessario, un'osteotomia di rilascio verticale su uno o più lati può migliorare la flessibilità. Una combinazione con ulteriori tecniche di accrescimento, in particolare dal lato buccale, è stata descritta come un'alternativa alla tecnica classica.

La procedura di incisione è particolarmente atraumatica e non comporta una perdita significativa di dimensione durante l'utilizzo delle seghe piezoelettriche, così come non si notano differenze rilevanti tra impianti in mandibole incise e impianti in una cresta alveolare senza deficit osseo (Chiapasco, Zaniboni et al. 2006, Danza, Guidi et al. 2009). Una sufficiente irrigazione continua è essenziale, tuttavia, in particolare con incisione profonda e localmente ristretta, per prevenire la sollecitazione termica nelle regioni apicali dell'osteotomia.


Indicazione: preparazione vicino ai nervi

Come descritto in precedenza, le indicazioni per la piezochirurgia si possono trovare anche nel campo della chirurgia odontoiatrica conservativa. Delle puntine particolari semplificano l'esposizione delle punte delle radici e facilitano la protezione dei nervi e delle membrane mucose del seno, in particolare nella regione dentale superiore e posteriore e in quella premolare inferiore. Le puntine angolate diamantate si utilizzano per preparare con precisione la cavità della resezione che ospiterà il materiale di riempimento della radice retrograda per l'otturazione apicale sigillata. Grazie alla tecnologia a ultrasuoni le puntine possono essere estremamente sottili, quindi la visibilità e le dimensioni di accesso della cavità sono migliori. Di conseguenza, l'applicazione della chirurgia a ultrasuoni per questa indicazione è una delle procedure standard per la resezione apicale (Del Fabbro, Tsesis et al. 2010, Scarano, Artese et al. 2012).


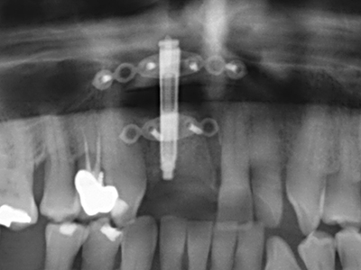
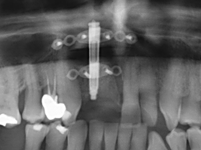
Indicazione: resezione apicale

Quando le procedure chirurgiche vengono eseguite sull'osso nelle immediate vicinanze di strutture sensibili, come vasi sanguigni o nervi, gli strumenti rotanti pongono un rischio significativo di lesione iatrogena. I dispositivi piezoelettrici possono essere utili per la preparazione delle coperture ossee e la rimozione del tessuto duro in prossimità dei nervi, in particolare per la loro esposizione dopo una lesione iatrogena, ma anche durante la lateralizzazione dei nervi per le procedure di resezione e ricostruzione o il posizionamento di impianti (figg. 17-20). Il contatto leggero tra puntina piezoelettrica e nervo non causa generalmente danni, ma se si procede senza prestare attenzione con movimenti a sega o raccordi con residui di substrati ossei possono verificarsi danni al nervo temporanei o anche permanenti. Il rischio di danno, tuttavia, è considerato sostanzialmente inferiore al rischio presente utilizzando seghe o frese (Pereira, Gealh et al. 2014).


Indicazione: terapia parodontale

Le malattie parodontali marginali sono la causa più probabile di estrazioni in età avanzata. Queste malattie sono provocate anzitutto dalla colonizzazione batterica della tasca gengivale, che causa infiammazione seguita da perdita del parodonto. La formazione di biofilm sottogengivali e concrezioni è un fattore eziologico significativo per l'atrofia ossea marginale, pertanto la loro rimozione è una fase importante del trattamento (Drisko 2014, Plessas 2014).

La fase iniziale e quella chirurgia della procedura sono diverse nel trattamento della parodontite marginale. Oltre a fornire istruzioni sull'igiene orale e a motivare i pazienti, entrambe le fasi devono includere una pulizia adeguata della superficie delle radici. Nel contesto rigenerativo in genere è preferibile disporre di un accesso aperto. È possibile pulire la superficie delle radici mediante piezochirurgia utilizzando raccordi specifici; per raggiungere zone di difficile accesso, come le forcazioni, si utilizzano strumenti con diverse curvature. L'irrigazione integrata nel sistema elimina dalla tasca le concrezioni staccate e i batteri. Sistemi specifici, come Piezomed, includono anche un ritorno dell'applicazione per minimizzare l'ablazione dello smalto. Più il parodonto aderisce al dente, maggiore sarà la riduzione della sostanza ablata.


Ulteriori indicazioni

Come dimostrato in passato, pressoché qualsiasi procedura chirurgica che interessa il tessuto osseo rappresenta una possibile indicazione per la piezochirurgia. Quindi, per la preparazione del segmento mobile nella distrazione osteogenetica (figg. 23-25) e nell'osteotomia con tecnica a sandwich si utilizzano appositi raccordi per non danneggiare l'apporto sanguigno alla sezione della cresta, elemento essenziale per la corretta esecuzione di entrambe le tecniche (Gonzalez-Garcia, Diniz-Freitas et al. 2008).

Per la rimozione di un impianto, è possibile preparare una copertura dell'osso vestibolare da sostituire dopo la rimozione della vite dell'impianto, per conservare il contorno della cresta alveolare.

Esistono ulteriori applicazioni nella chirurgia sinusale. È possibile rimuovere patogeni e corpi estranei dal seno dopo la preparazione concentrica di una copertura ossea generalmente di forma trapezoidale nella parete anteriore del seno. La copertura ossea viene riposizionata al termine della fase operatoria nella zona intra-antrale e fissata con cunei o suture adattive per prevenirne il distacco.

Le indicazioni esclusivamente ortodontiche includono la chirurgia ortognatica, la genioplastica (figg. 27-30) e la decompressione orbitaria in pazienti con orbitopatia endocrina avanzata dovuta al morbo di Basedow (Ponto, Zwiener et al. 2014). I dispositivi piezoelettrici si utilizzano anche nella chirurgia maxillo-facciale e per la rimozione di tumori alla base del cranio in numerosi ospedali.

Speciali testine morbide per la terapia della perimplantite stanno aprendo nuovi orizzonti nell'ortodonzia. Sono attualmente oggetto di ricerca e i risultati iniziali sono molto promettenti.


Conclusione

In conclusione, è chiaro che la piezochirurgia è adatta a un'ampia serie di indicazioni nel campo dell'ortodonzia. Il crescente interesse nelle procedure piezochirurgiche è dovuto in primo luogo alla semplicità di gestione e alla selettività dell'ablazione del tessuto osseo, insieme alla maggiore sicurezza durante le procedure chirurgiche che interessano l'osso. Queste procedure offrono anche un elevato grado di precisione che risulta particolarmente vantaggioso laddove lo spazio è ridotto. L'uso di diverse testine e strumenti progettati per l'indicazione specifica permette di coprire diverse aree, di conseguenza i dispositivi vengono utilizzati quotidianamente come strumenti manuali in molti studi e ospedali.

Daniel Rothamel, Arndt Happe, Tim Fienitz, Matthias Kreppel, Jörg Neugebauer, Joachim E Zöller


Priv.-Doz. Dr. Dr. Daniel Rothamel
daniel.rothamel@uk-koeln.de
www.uk-koeln.de

Priv.-Doz. Dr. Dr. Daniel Rothamel

  • 1996-2001 Studi di odontoiatria, Università Heinrich-Heine, Düsseldorf
  • 2003 Assistenza allo sviluppo estero, SKM Hospital, Sankhu, Kathmandu, Nepal
  • 2004 Promozione a Dr. med. dent.
  • 2001-2007 Studi di medicina, Università Heinrich-Heine, Düsseldorf
  • 2002-2008 Formazione in chirurgia odontostomatologica presso l'Università di Düsseldorf (Prof. Dr. J. Becker)
  • 2007 Esame di abilitazione statale alla pratica medica
  • DAAD Post-doctoral Fellowship, Università di Sidney, Australia
  • 2008 Promozione a Dr. med.
  • 2008-2013 Formazione in chirurgia maxillo-facciale, Ospedale universitario di Colonia (Prof. Dr. Dr. J. Zöller)
  • 2009 Abilitazione e riconoscimento della qualifica di lettore post-doctoral (argomento: ricostruzione dei difetti mandibolari)
  • Dal 2013 a oggi: Chief Consultant presso la Clinica di chirurgia maxillo-facciale

Immagini di casi clinici

Fig. 1: preparazione di una copertura ossea con Piezomed (W&H Salisburgo, Austria).
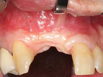
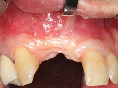
Fig. 2: difetto mascellare laterale, verticale e orizzontale, con linea del sorriso alta; indicazione per ricostruzione pre-impianto.
Fig. 3: la separazione basale del blocco è più semplice con i raccordi appositamente angolati.
Fig. 4: mediante l'ablatore osseo si raccolgono ulteriori microframmenti dell'osso autologo.
Fig. 5: verifica delle dimensioni del blocco nel sito ricevente.
Fig. 6: dopo la preparazione di un lembo mucoperiosteo, l'accesso al seno mascellare viene preparato con strumenti piezoelettrici.
Fig. 7: è possibile eseguire la preparazione iniziale della membrana mucosa del seno con gli ultrasuoni.
Fig. 8: dopo il rialzo del seno, il supporto per l'osso crestale viene fissato alla cresta alveolare con difetto.
Fig. 9: membrana interna con materiale di riempimento costituito da osso bovino (Cerabone 0,5–1 mm, Botiss biomaterials, Berlino) e osso autologo (vista palatale).
Fig. 10: copertura della regione dell'accrescimento con una membrana pericardica a lunga durata fissa (membrana in collagene Jason, Botiss).

Fig. 11: la panoramica postoperatoria mostra l'accrescimento verticale e il rialzo del pavimento sinusale.
Fig. 12: dopo sei mesi di processo di guarigione, la cresta alveolare è vitale e sufficientemente dimensionata in tutti i piani.
Fig. 13: l'irrigazione adeguata con l'osso residuo largo 4 mm è essenziale durante l'incisione ossea di questo paziente di 52 anni.
Fig. 14: posizionamento di quattro impianti RSX conici (BEGO Implant Systems, Brema).
Fig. 15: la radiografia dopo un follow up di un anno mostra condizioni stabili a livello osseo.

Fig. 16: anche le condizioni intra-orali sono stabili, con l'incorporazione degli impianti nella gengiva cheratinizzata.
Fig. 17a: immagine TC di un'osteotomia con promozione di crescita immediatamente adiacente a...
Fig. 17b: dotto dell'alveolo dentale con irritazione del nervo (vista laterale e coronale).
Fig. 18: preparazione di una copertura corticale con sega piezoelettrica per osso (Piezomed, W&H).

Fig. 19: sito chirurgico dopo neurolisi e rimozione dell'osteoma.
Fig. 20: la copertura ossea rimossa viene riadattata e fissata con una vite per osteosintesi (KLS Martin, Tuttlingen).
Fig. 21: difetto mascellare esteso dell'incisivo con indicazione per distrazione osteogenetica con tessuto cicatriziale dopo la prima operazione.
Fig. 22: il segmento mobile può essere separato precisamente con la sega sottile per osteotomia (W&H Piezomed).
Fig. 23: mobilizzazione finale del segmento di distrazione del ramo palatale con il bisturi.

Fig. 24: applicazione del distrattore (TRACK-System, KLS Martin).
Fig. 25: panoramica dopo il raggiungimento dell'altezza finale della distrazione, prima del periodo di consolidamento.
Fig. 26: condizioni stabili prima di posizionare l'impianto, trascorso un periodo di consolidamento di quattro mesi.
Fig. 27: paziente di 21 anni dopo osteotomia di conversione con retrognazia persistente e disgnazia di seconda classe.
Fig. 28: durante la rimozione del metallo, le regioni basali del mento vengono separate con Piezomed, mantenendo l'apporto sanguigno alla lingua.
Fig. 29: spostamento in avanti del mento di 5 mm e fissaggio con due piastre di osteosintesi (KLS Martin). È possibile individuare i due nervi mentonieri nella regione marginale.
Fig. 30: il miglioramento estetico del contorno del mento dopo l'operazione è chiaramente visibile.

Commenti