Rapporter & Studier

Contra-angle Handpieces at their limit: Challenges of modern restorative dentistry

Insights from Dr Wolfgang Tautschnig

The continuous advancement of restorative dental materials places increasing demands on contra-angle handpieces and instruments, which must deliver durability, efficiency, and precision. Dr Wolfgang Tautschnig, an experienced dentist from Salzburg, tested the Synea “Power Edition” by W&H over several months and shares his insights from everyday clinical practice.
The specialised handpiece was primarily used for demanding procedures such as cutting crowns and bridges. This article not only presents the advantages of the new high-speed handpiece, but also illustrates its clinical performance through two exemplary patient cases.


Dr Wolfgang Tautschnig
  • Salzburg, Austria
Dr Wolfgang Tautschnig

Increasing Demands on the Processing of modern Materials

The continuous development of dental materials is leading to increasing demands in restorative dentistry. Over the past two decades, zirconia has emerged as one of the leading materials for crowns and bridges due to its outstanding hardness, longevity, and aesthetic appeal. These characteristics make it a preferred choice for patients seeking a high-quality, long-lasting solution.

However, these same characteristics pose significant challenges for clinicians, particularly when existing restorations need to be removed or replaced. Older, more brittle types of zirconia require specialised techniques to avoid damage to instruments and inefficiencies in treatment workflows. Conventional handpieces often reach their limits, as processing these materials requires high cutting force, which can accelerate bur wear and reduce overall efficiency. Given the increasing prevalence of zirconia and other high-strength materials in dental practices, the development of specialised tools and technologies is crucial for overcoming these challenges.

The Synea Power Edition: a specialised Solution for high-strength Materials

To meet these demanding requirements, W&H offers a durable and robust solution with the
Synea Power Edition. The Power Edition combines an optimised transmission ratio with ideally calibrated speed and enhanced torque, allowing for precise processing of even the most challenging materials. An extra-sturdy chucking system provides enhanced clamping force, minimising the load during zirconia processing and contributing to an extended service life of the contra-angle handpieces.

The optimised triple spray with increased water flow reduces thermal stress and improves rinsing efficiency, for a more effective cutting performance. These technical improvements enable precise, efficient operation without the need for excessive pressure. The specialised design protects conventional handpieces that are not intended for processing high-strength materials, thereby helping to extend their service life. For clinicians, this makes it an ideal solution to meet the complex and challenging demands of modern restorative dentistry.

Clinical experience with the Synea Power Edition

Dr Wolfgang Tautschnig, a dentist with extensive experience from Salzburg, has applied and assessed the Synea Power Edition over several months in a range of clinical scenarios, particularly in the removal of zirconia crowns and the processing of base metal alloys. In one specific case, an 81-year-old patient presented seeking aesthetic improvement of her 40-year-old PFM (porcelain-fused-to-metal) crowns. The existing restorations no longer met her expectations in terms of appearance.

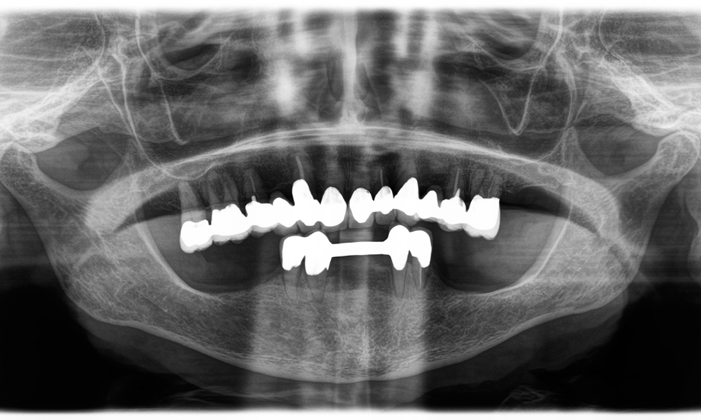
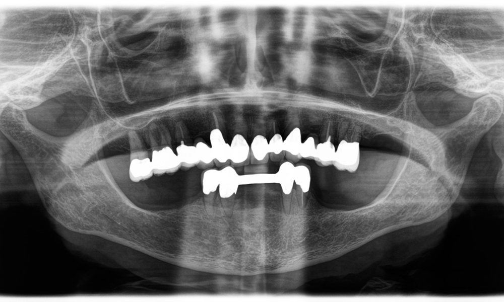
The challenge was to remove twelve splinted crowns made of a base metal alloy without damaging the underlying abutment teeth. The handpiece was used to precisely section the ceramic layers and divide the metal framework using a carbide bur, enabling minimally traumatic crown removal. Within just 30 minutes, the old restorations were removed, allowing for the preparation of a new prosthesis, comprising full-contour zirconia in the posterior region and veneered crowns anteriorly. The result was a complete restoration that delivered both functional and aesthetic success (see Fig. 1).

A jaw x-ray from an 81-year-old patient, in front of a black background.
Figure 1: Aesthetic rehabilitation of PFM crowns: Complete removal and replacement of 40-year-old PFM crowns to improve aesthetics in an 81-year-old patient.

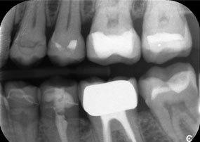
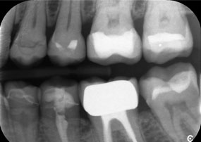
A second case highlighting the clinical capabilities of the Power Edition involved the replacement of a damaged zirconia crown in a 63-year-old patient. The patient presented with a chipped veneer on her 20-year-old zirconia crown on tooth 6. Despite the posterior location, the patient found the defect bothersome and requested a new restoration.

The Power Edition enabled precise sectioning, with the increased torque and enhanced cooling contributing to the controlled removal of the crown without significant material loss. The chucking system and enhanced torque proved to be essential in this process.

Dr Tautschnig

Focus on durability: a sustainable solution for everyday clinical practice

A major concern in many practices dealing with such cases is the high wear and tear on contra-angle handpieces. During intensive use, conventional models often reach only a limited lifespan, which compromises efficiency and results in increased maintenance costs. For Dr Tautschnig, one of the most convincing aspects of the Synea Power Edition is how it protects his standard high-speed handpieces:

A x-ray, showing teeth and a zirconia crown, in front of a black background.
Figure 2: Replacement of a damaged zirconia crown: Precise removal and renewal of a damaged zirconia crown on tooth 6 with minimal material loss.

The Synea Power Edition from W&H has proven its value in my practice. These handpieces are not only efficient for processing zirconia and metal crowns but also help preserve my standard handpieces by being dedicated specifically to heavy-duty tasks.

Dr Tautschnig

The practical advantages reflect the innovative technologies behind the Power Edition: enhanced torque, a reinforced chucking system, and an optimised cooling mechanism, specifically designed to tackle the challenges of modern materials. For dentists, these handpieces offer not only a powerful solution for working with demanding materials, but also valuable support in reducing operating costs and extending the lifespan of their instruments.

This not only represents a sustainable solution in everyday clinical practice, but also provides long-term economic relief, by lowering operating costs and reducing maintenance efforts. Combining clinical value with cost-efficiency, the Synea Power Edition offers a genuine advantage for modern dental practices.


About Dr Wolfgang Tautschnig

Dr Wolfgang Tautschnig has been practicing as a general dentist in Salzburg since 2008 and is highly regarded in the Austrian dental community. In addition to his clinical practice, he has served as President of the Salzburg Society of Dental, Oral and Maxillofacial Surgery since 2021 and is actively involved as a sworn expert witness as well as a quality assurance officer for the Austrian Dental Chamber. His passion for modern dentistry is reflected in his ongoing professional development in fields such as restorative dentistry, implantology, and aesthetic dentistry.

As the head of the emergency dental centre for private practitioners in Salzburg, he also plays a key role in improving regional dental emergency services. After completing his dental studies at the Medical University of Innsbruck and working as a resident dentist at the university’s dental clinic, he settled in Salzburg, where he continues to serve his patients. His extensive clinical experience and active engagement in the field have made Dr Tautschnig a recognised expert in the region.


Kommentarer