Informes & Estudios

Contra-ángulo al límite: Desafíos de la odontología restaurativa moderna

Testimonio del Dr. Wolfgang Tautschnig

El continuo desarrollo de los materiales utilizados en odontología restaurativa aumenta los requisitos que deben cumplir los contra-ángulos y las fresas, ya que deben ser duraderos, eficaces y precisos. El Dr. Wolfgang Tautschnig, un experimentado odontólogo de Salzburgo, ha probado durante varios meses Synea Power Edition de W&H y ha compartido con nosotros sus experiencias prácticas en su trabajo clínico diario. Este contra-ángulo especializado se ha utilizado principalmente para trabajos muy exigentes, como el corte de coronas y puentes. En este artículo no solo se presentan las ventajas del este nuevo contra-ángulo de alta velocidad, sino que también se muestra, a partir de dos ejemplos de casos con pacientes, cómo Synea Power Edition ha demostrado su eficacia en la práctica.


Dr. Wolfgang Tautschnig
  • Salzburgo, Austria
Dr. Wolfgang Tautschnig

Retos cada vez mayores en el mecanizado de materiales modernos

El constante desarrollo de materiales dentales conlleva unas exigencias cada vez mayores en odontología restaurativa. En las últimas dos décadas, el zirconio se ha consolidado como el material líder para coronas y puentes, ya que destaca por su extraordinaria dureza, durabilidad y ventajas estéticas. Estas características también hacen que el zirconio sea la opción preferida para los pacientes que desean una solución duradera y de alta calidad.

Sin embargo, son precisamente estas cualidades las que plantean grandes retos a los odontólogos, especialmente cuando es necesario renovar o retirar restauraciones existentes. Las variantes de zirconio más antiguas y quebradizas requieren técnicas especializadas para evitar que las fresas se dañen y que los procesos de trabajo sean ineficaces. Los contra-ángulos convencionales no suelen dar la talla, ya que el mecanizado requiere una gran fuerza de corte, lo que acelera el desgaste de la fresa y reduce la eficacia. Dada la creciente popularidad del zirconio y otros materiales de alta resistencia en la práctica clínica, es fundamental desarrollar tecnologías especializadas para superar estos retos.

Synea Power Edition: Una solución especializada para materiales duros

Para satisfacer estos exigentes requisitos, W&H ofrece una solución robusta y duradera con Synea Power Edition. La «Power Edition» combina una relación de transmisión optimizada con una velocidad perfectamente ajustada y un torque aumentado para poder trabajar con precisión incluso los materiales más exigentes. Un sistema de sujeción extraestable garantiza una mayor fuerza de sujeción, lo que reduce la carga durante el mecanizado del zirconio y prolonga la vida útil de los contra-ángulos.

El spray triple optimizado con mayor caudal de agua reduce la carga térmica y mejora la acción de enjuague para que el rendimiento de perforación sea más eficiente. Estas mejoras técnicas permiten un funcionamiento preciso y eficaz sin necesidad de ejercer una presión excesiva. Su uso ayuda a proteger a los contra-ángulos convencionales, que no están diseñados para el mecanizado de materiales de alta resistencia, y contribuye así a prolongar su vida útil. Synea Power Edition ofrece a los odontólogos una solución ideal para afrontar con éxito los complejos y a menudo difíciles retos de la odontología restaurativa moderna.

Experiencia clínica con Synea Power Edition

El Dr. Wolfgang Tautschnig, un experimentado odontólogo de Salzburgo, ha utilizado y evaluado Synea Power Edition durante varios meses en su consulta en diferentes escenarios clínicos. Entre ellos, para la extracción de coronas de zirconio y el mecanizado de aleaciones comunes. En un caso concreto, una paciente de 81 años acudió porque quería mejorar el aspecto de sus coronas de metal-cerámica de hacía 40 años. Las coronas existentes ya no satisfacían las exigencias estéticas de la paciente.

El reto consistía en extraer doce coronas bloqueadas con aleación común sin dañar los raigones subyacentes. Se utilizó el contra-ángulo para realizar incisiones precisas en las capas de cerámica y separar las estructuras metálicas con una fresa de metal duro, con el fin de extraer las coronas con un traumatismo mínimo. En solo 30 minutos se retiraron las coronas antiguas y se pudo preparar el nuevo trabajo, compuesto por zirconio completo en la zona posterior y coronas con recubrimiento en la zona anterior. El resultado fue una reconstrucción completa, satisfactoria tanto desde el punto de vista funcional como estético (véase la fig. 1).

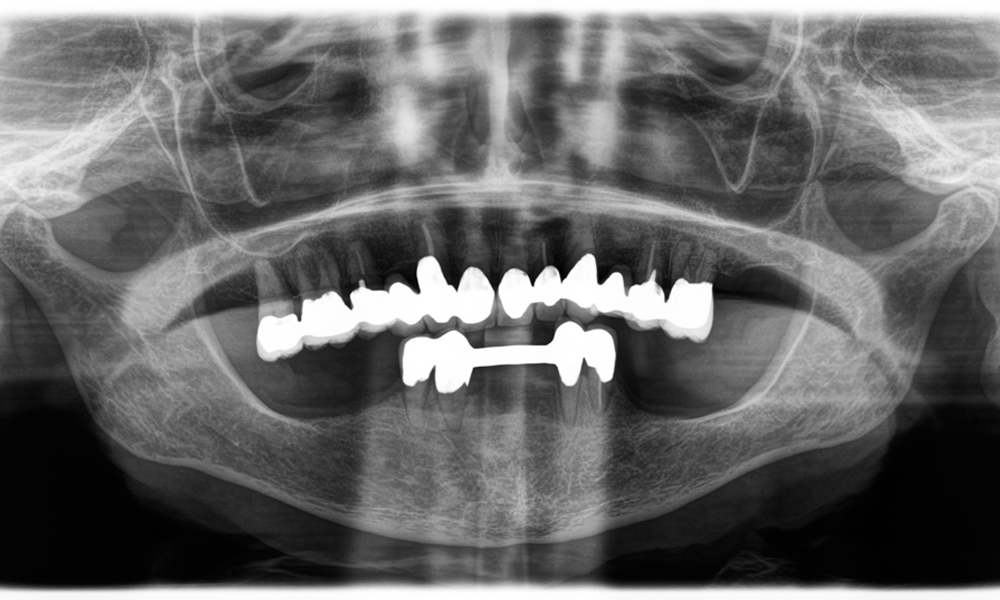
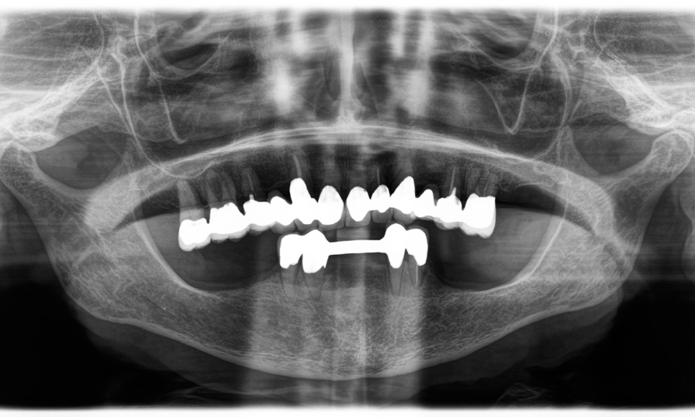
Una radiografía de la mandíbula de un paciente de 81 años, sobre un fondo negro.
Figura 1: Rehabilitación estética de coronas de metal-cerámica: extracción completa y sustitución de coronas de metal-cerámica de 40 años de antigüedad para mejorar la estética en una paciente de 81 años.

Otro ejemplo del rendimiento clínico de Power Edition fue la sustitución de una corona de zirconio dañada en una paciente de 63 años. El daño se produjo debido a la rotura de una parte del revestimiento de la corona de zirconio de 20 años de antigüedad en el diente 6. A pesar de encontrarse en la zona posterior, a la paciente le molestaba y deseaba una nueva corona.

La Power Edition permitió un corte preciso, en el que el aumento del torque y la mejora de la refrigeración contribuyeron a extraer la corona sin una pérdida significativa de material.
El
sistema de sujeción y el torque mejorado resultaron ser esenciales en este sentido.

Dr Tautschnig

Nos centramos en la durabilidad: Una solución sostenible para el trabajo clínico diario

Un problema fundamental al que se enfrentan muchas clínicas con casos de pacientes como estos es el elevado desgaste de los contra-ángulos. Los modelos convencionales suelen tener una vida útil limitada cuando se utilizan de forma intensiva, lo que no solo afecta a la eficiencia, sino que también conlleva mayores costes de mantenimiento. Por lo tanto, para el Dr. Tautschnig resulta muy interesante el alivio que supone Synea Power Edition para los contra-ángulos de alta velocidad que ya tiene:

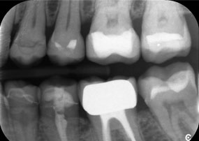
Una radiografía que muestra los dientes y una corona de zirconio, sobre un fondo negro.
Figura 2: Sustitución de una corona de zirconio dañada: renovación precisa de una corona de zirconio dañada en el diente 6 con una pérdida mínima de material.

La Power Edition de W&H ha demostrado su eficacia en mi clínica. Estos contra-ángulos no solo son eficaces para el tratamiento de coronas de zirconio y acero, sino que también protegen mis otros contra-ángulos, ya que están diseñadas específicamente para tareas de alta exigencia.

Dr Tautschnig

Las ventajas prácticas son un reflejo de las innovadoras tecnologías de la Power Edition:
un torque mejorado, un sistema de sujeción extraestable y un sistema de refrigeración optimizado, diseñados específicamente para hacer frente a los retos que plantean los materiales modernos. Para los odontólogos, los contra-ángulos Synea Power Edition no solo ofrecen una solución para el tratamiento de materiales exigentes, sino también una valiosa ayuda para reducir los costes de servicio y prolongar la vida útil de sus fresas.

Esto no solo supone una solución sostenible en el día a día de la clínica, sino también un alivio económico a largo plazo, ya que se pueden reducir los costes de servicio y los gastos de mantenimiento. Con esta combinación de valor clínico añadido y reducción de costes, Synea Power Edition ofrece una ventaja real para todas las clínicas dentales.


Acerca del Dr. Wolfgang Tautschnig

El Dr. Wolfgang Tautschnig ejerce como odontólogo concertado en Salzburgo desde 2008 y se ha labrado una excelente reputación en el ámbito de la odontología austriaca. Además de su actividad práctica, desde 2021 es presidente de la Sociedad de Odontología, Estomatología y Ortodoncia de Salzburgo y trabaja como perito judicial y responsable de control de calidad del Colegio de Odontólogos de Austria. Su pasión por la odontología se refleja en su formación continua en áreas como conservación dental, implantología y odontología estética.

Como director del centro de urgencias de los dentistas establecidos en Salzburgo, también contribuye de manera significativa a la organización y mejora de la atención dental de urgencias en la región. Tras estudiar odontología en la Universidad Médica de Innsbruck y trabajar como médico residente en la clínica dental de dicha ciudad, se estableció en Salzburgo, donde ejerce desde entonces. Gracias a su amplia experiencia y dedicación a la odontología, el Dr. Tautschnig es hoy uno de los expertos más reconocidos de la región.


comentarios