Individual Prophy Cycle

El perfil de paciente individual
caso por caso

Replanteado para una mayor eficiencia
Hasta ahora, muchos conceptos diferentes de tratamiento se han basado en enfermedades orales que deben considerarse de forma individual, y que deben tratarse para recuperar o conseguir una boca sana. Aquí se anuncia un cambio en el paradigma con respecto a las enfermedades orales que se tienen en cuenta de forma individual, ya que hasta ahora estos conceptos han ignorado en mayor medida el hecho de que muchos factores de la salud general pueden afectar mucho a la salud oral, e incluso provocar o empeorar algunas enfermedades orales (1). Aquí es donde entra el perfil de paciente personalizado y específico caso por caso que se centra en un análisis detallado del historial médico del paciente, combinado con una evaluación diagnóstica precisa de su salud general y bucal.

  • Individual Prophy Cycle

    Efecto del perfil de paciente
    en el tratamiento

    El perfil de paciente individual caso por caso influye en los pasos individuales de la sesión de profilaxis o de tratamiento (5). W&H, como proveedor de soluciones, trabaja de forma intensiva con dentistas y ofrece una amplia gama de productos, que apoya las indicaciones para los requisitos y las recomendaciones de tratamiento a partir del perfil de paciente personalizado y específico caso por caso.

    Ventajas del Individual Prophy Cycle (IPC)

    • Aplicable para cualquier clínica y cualquier paciente
    • Individualizado y personalizado
    • Tratamiento adecuado según el estado de la salud oral, teniendo en cuenta los factores relevantes de la salud general
    • Sin tratamientos estándar


    El «Ciclo Prophy Individual» que W&H ha desarrollado en colaboración con dentistas, proporciona unas recomendaciones personalizadas para el tratamiento.

    Schmalz y Ziebolz 2019
    ZWR Individualisierte Prävention


    Perfil de paciente caso por caso =
    Recomendación de tratamiento personalizado

    El objetivo del perfil de paciente es una recomendación de tratamiento personalizado para aumentar la seguridad del tratamiento y hacer que la terapia sea más eficiente (2). El historial médico del paciente y el diagnóstico de la salud oral, por ejemplo, el diagnóstico de caries, el diagnóstico periodontal y otros diagnósticos, forman la base del tratamiento y las medidas preventivas para la salud oral (1, 3). Para desarrollar un perfil de paciente individual caso por caso, ahora hay nuevos factores de la salud general que influyen en la salud oral. La influencia en la salud oral (4) se evalúa de acuerdo con eso y se incluye en la consiguiente recomendación de tratamiento personalizado. Para ayudar en esta evaluación, se ha desarrollado una hoja de historial médico.


    El concepto de IPC facilita…

    › el éxito de la terapia mediante la transparencia
    para los pacientes

    › la estabilización de la salud oral mediante un tra tamiento que tiene en cuenta la salud general y la salud oral

    › la selección del instrumental relacionada con la indi cación mediante el análisis de los factores relevantes de la salud general y oral



    Proxeo – Prophy for Professionals
    Para profilaxis orientada al paciente

    Piezo scaler

    Piezo scaler

    El escarificador piezoeléctrico de W&H con las puntas de W&H le ofrece un apoyo perfecto para la eliminación del cálculo supragingival, la placa y las concreciones subgingivales.

    Proxeo Ultra
    Puntas Piezo scaler

    Scaler de aire

    Scaler de aire

    Un scaler sónico práctico y de
    alto rendimiento, con un amplio
    espectro de uso periodontal».
    Dr. Christian Müller, médico adjunto


    Proxeo Sonic
    Puntas scaler de aire

    Aeropulidor

    Aeropulidor

    Con un práctico anillo de ajuste y distintos polvos para un cambio sencillo entre tratamientos Prophy y Paro.

    Pulido

    Pulido

    Con el sistema de pulido inalámbrico y LatchShort, W&H está estableciendo nuevos estándares en el campo del pulido rotativo.

    Proxeo Twist Cordless

    Proxeo Twist LatchShort
    Copas y cepillos de profilaxis

    Casos de pacientes tras IPC

    Los siguientes estudios de casos sirven para ilustrar la interacción de la necesidad y los factores de riesgo definidos para el IPC, así como los efectos de factores individuales*.

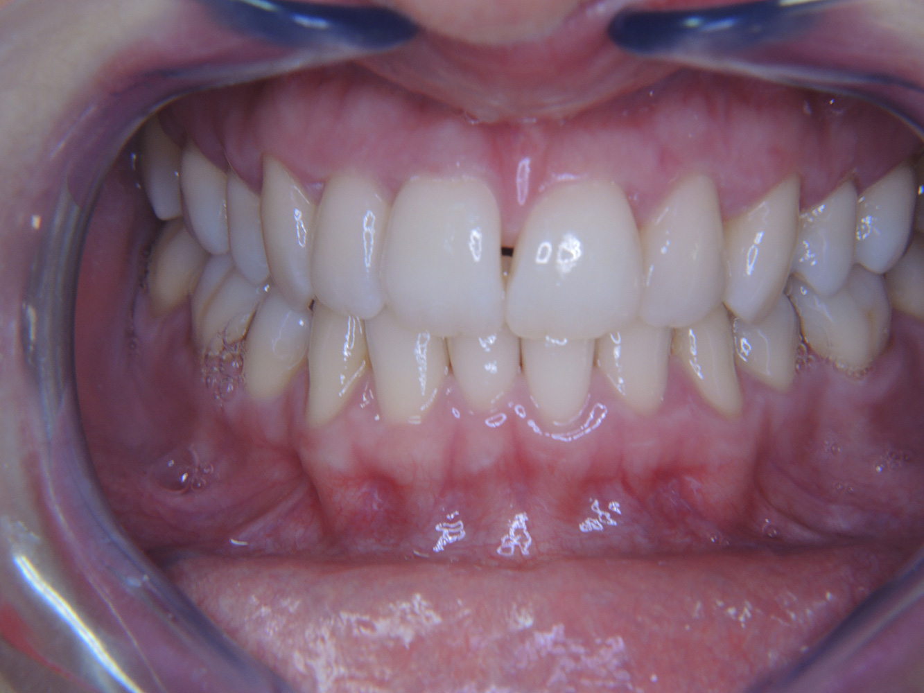
    Paciente diabética con buena salud bucal

    Una mujer diabética de 51 años con la boca sana se presenta para la sesión de prevención. Los niveles de glucemia son estables con una HbA1c = 6,2 %, en consecuencia, se considera suficiente con el fármaco metformina correspondiente (antidiabético). La paciente no recibe ningún tratamiento continuo ni presenta enfermedades orales previas. Según los diagnósticos actuales, puede determinarse gingivitis, aunque el estado sea estable por lo demás. más información

    Case presentation: Complex Dental Prosthesis Management

    The direct relationship between intraoral and general health, as well as the bidirectional influence that they may have on one another, is well-known (1,2). It is absolutely essential to consider both factors when planning preventive intraoral measures and treatment in the dental practice. The primary objective is the maintenance of patient health and quality of life from both dental and medical perspectives. more

    The (orally) healthy patient with implants

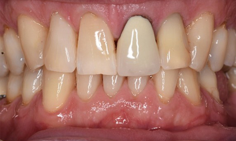
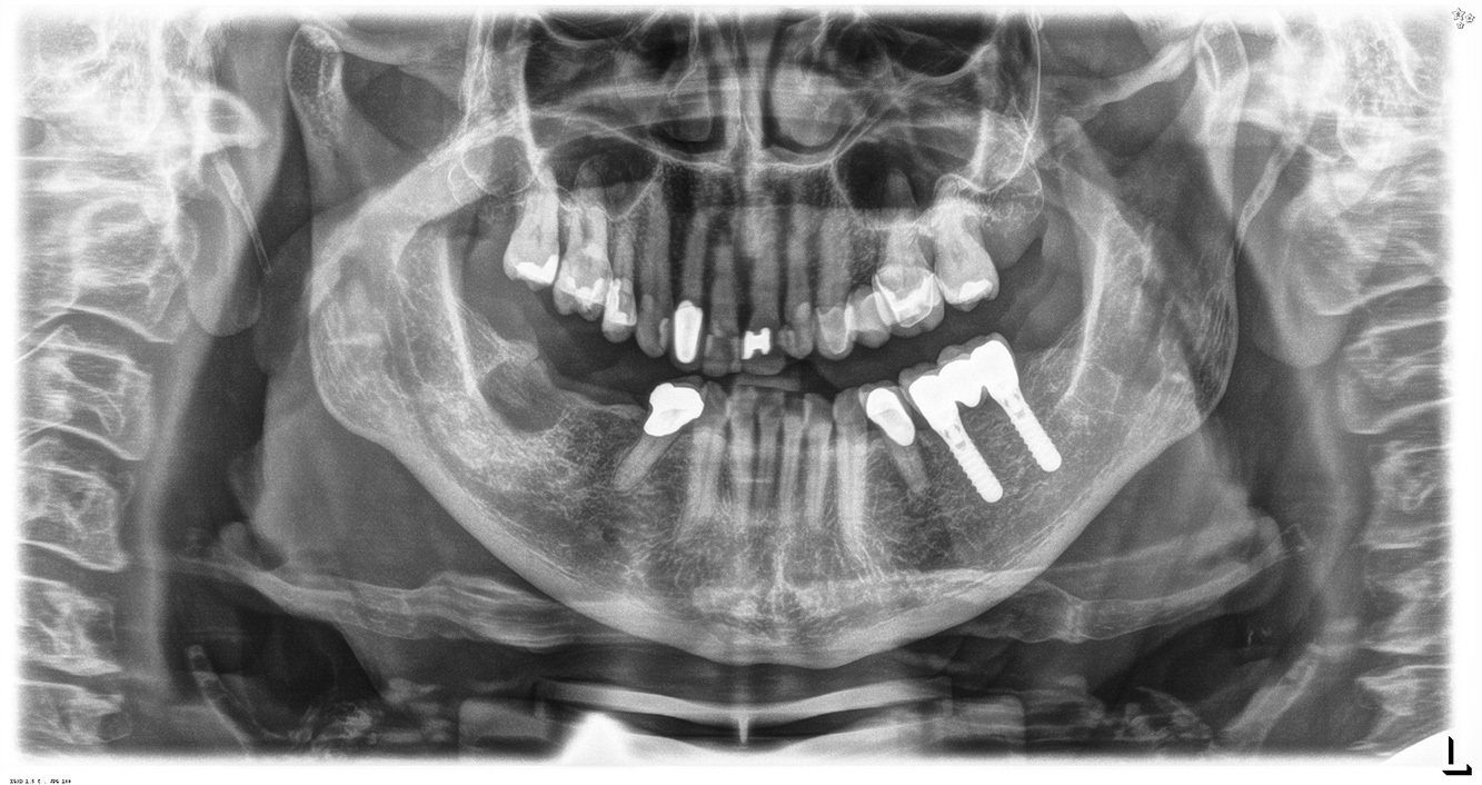
    In the medical history, the 55-year-old patient states that he has no systemic disease and is not taking any medication. The patient’s lifestyle is similarly unremarkable. The patient has a few tooth restorations and two implants (2nd and 4th quadrants). On the basis of current findings, gingivitis is identified in an otherwise stable periodontal condition on the reduced periodontium (stage III, grade A). more

    The healthy patient with pre-existing periodontal disease & peri-implantitis

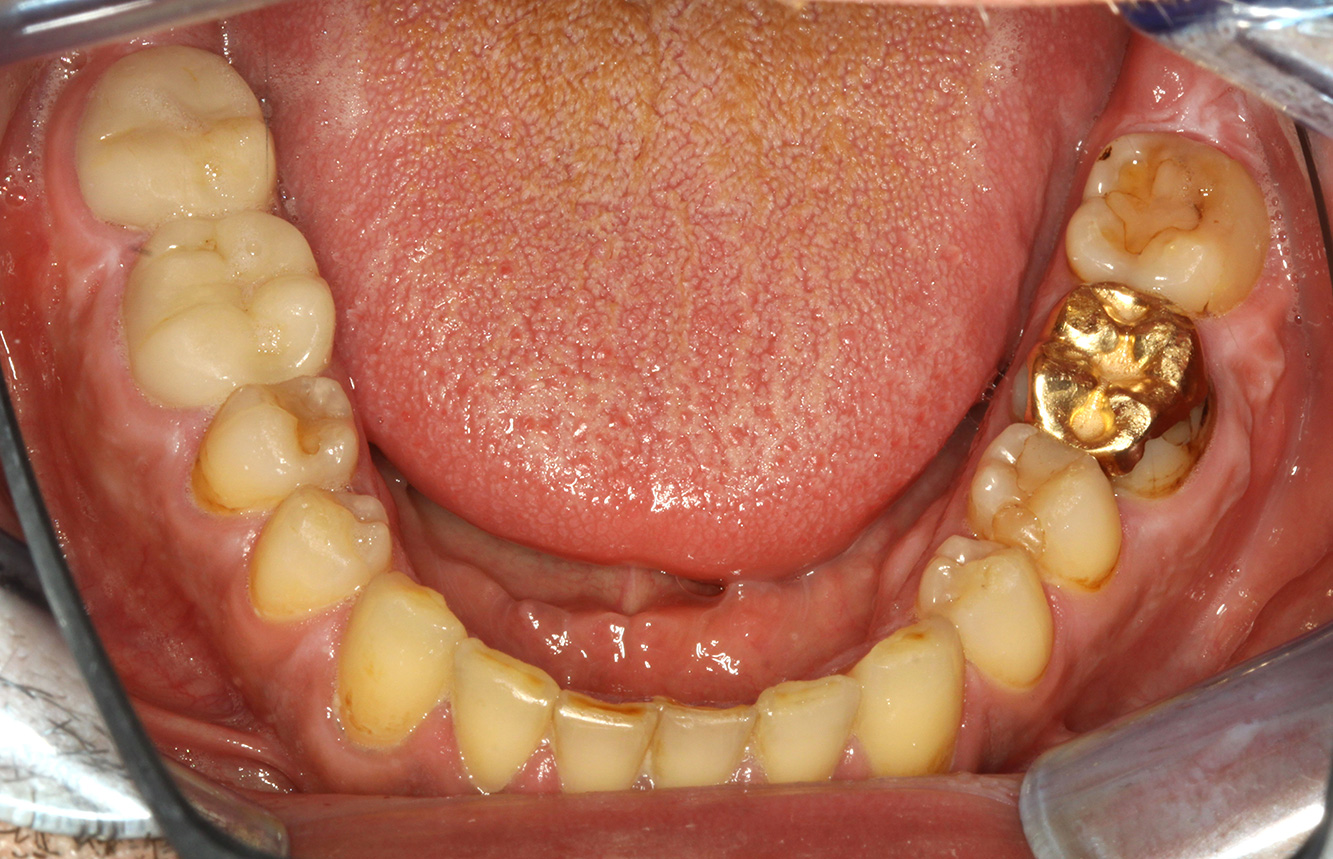
    A 52-year-old patient presents at a preventive care session. The patient has no systemic disease and is not taking any medication. He has had various dental treatments and also has two active carious lesions. In addition, the patient has four implants (2nd, 3rd and 4th quadrants). He is revealed to have early periodontal disease (stage IV, grade B). His periodontal condition is stable; a probing depth of Probing depths (ST) of 5 mm is only evident at the implant in region 36. Gingivitis is also identified. more

    The Diabetic Patient with Pre-Existing Periodontitis

    This case report of a 52-year-old male with type 2 diabetes and periodontitis emphasizes personalized preventive measures and periodontal health maintenance to manage the moderate disease progression risk. more

    The 28-Year-Old Cigarette Smoker with Dental Erosions

    28-year-old patient, smoker, with erosions. The bidirectional relationship between oral and general medical health is very well known. It is no longer sufficient – and arguably even old-fashioned – to consider intraoral conditions in isolation. In order to create a personalized, case-specific preventive and patient profile, it is essential to take a detailed medical history and perform diligent examination of the general medical and intraoral health, as well as considering the two in combination. more

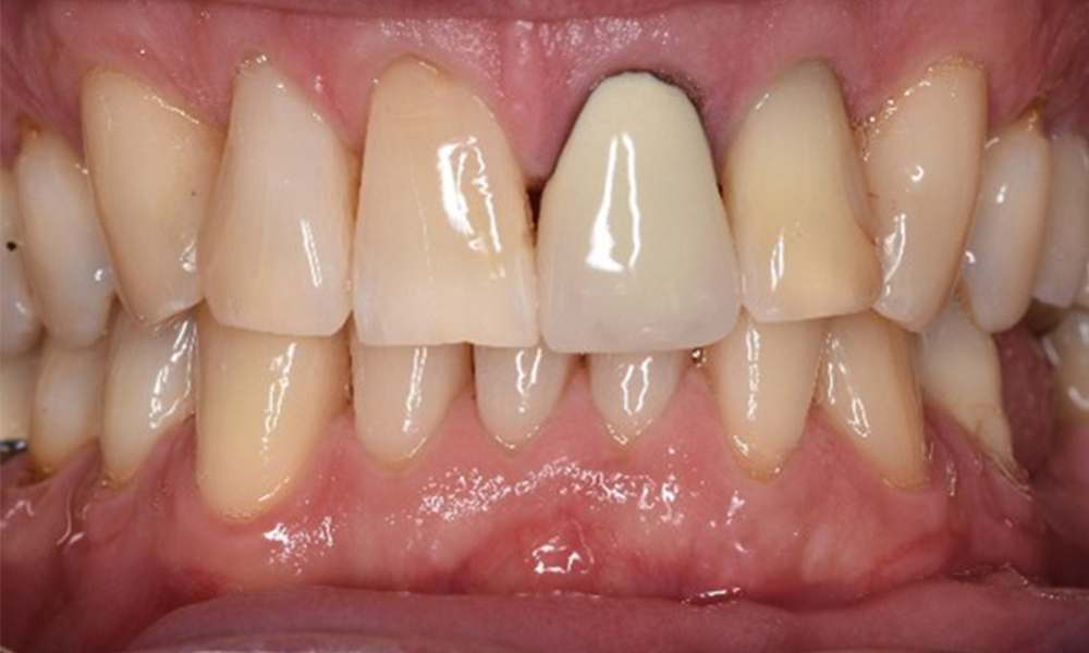
    Paciente con endocarditis con lesiones de caries activas

    El paciente tiene 39 años con valvuloplastia frente a una insuficiencia valvular y endocarditis. Toma regularmente ASS 100 (ácido acetil salicílico) como anticoagulante. En el ámbito del estilo de vida, la alimentación se identifica como promotora de caries, ya que suele consumir alimentos azucarados y seis o siete comidas al día. La salud oral del paciente muestra un riesgo medio de caries con lesiones activas. El riesgo de periodontitis es bajo, presenta gingivitis. Se hacen las siguientes recomendaciones para el tratamiento profiláctico. más información

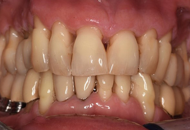
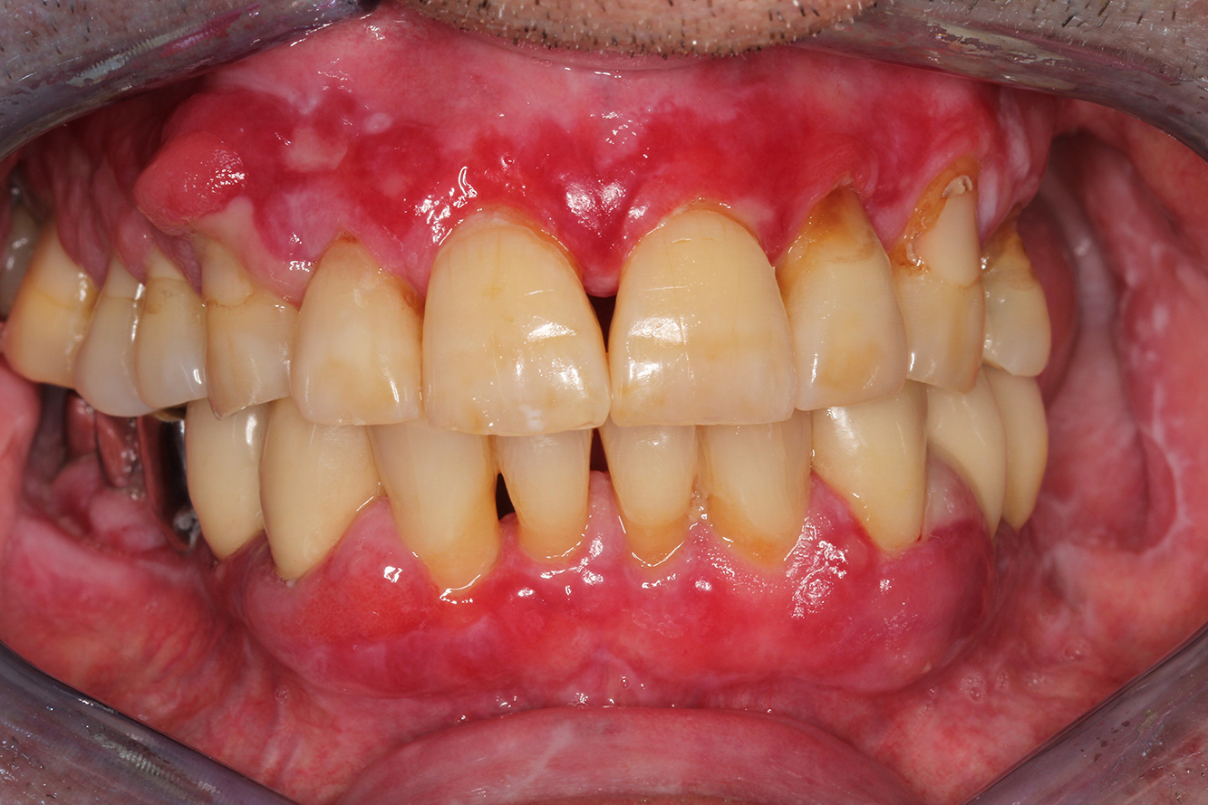
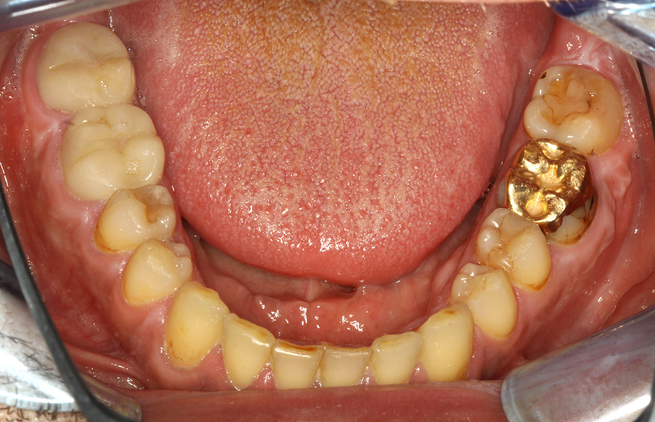
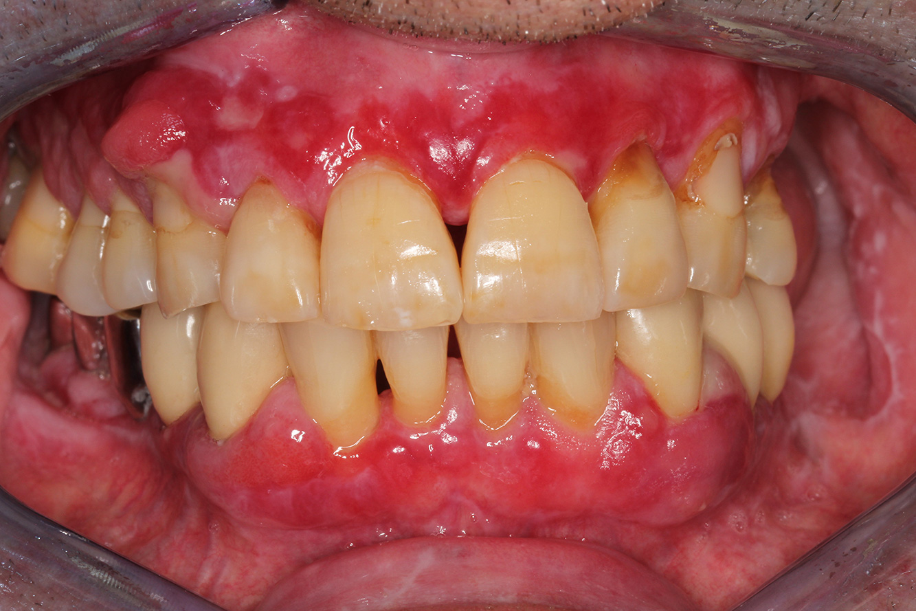
    Paciente de trasplante con hiperplasia gingiva

    Se presenta un paciente de 71 años con trasplante de riñón e hipertensión (presión arterial alta). Debido a su historia médica, es necesario el tratamiento continuo con ciclosporina para suprimir el sistema inmunitario y amlopidina para bajar la presión arterial. Además, el paciente relata encías sensibles y sangrantes. Desde el punto de vista de la salud oral, hay dientes restaurados con ocho piezas faltantes, hiperplasia gingival pronunciada, periodontitis en fase II, de grado B con bolsas activas y una caries inicial en la pieza 22. En la evaluación del riesgo de caries se ha establecido un riesgo de caries medio (API 60). Para la sesión de profilaxis se hacen las siguientes recomendaciones. más información

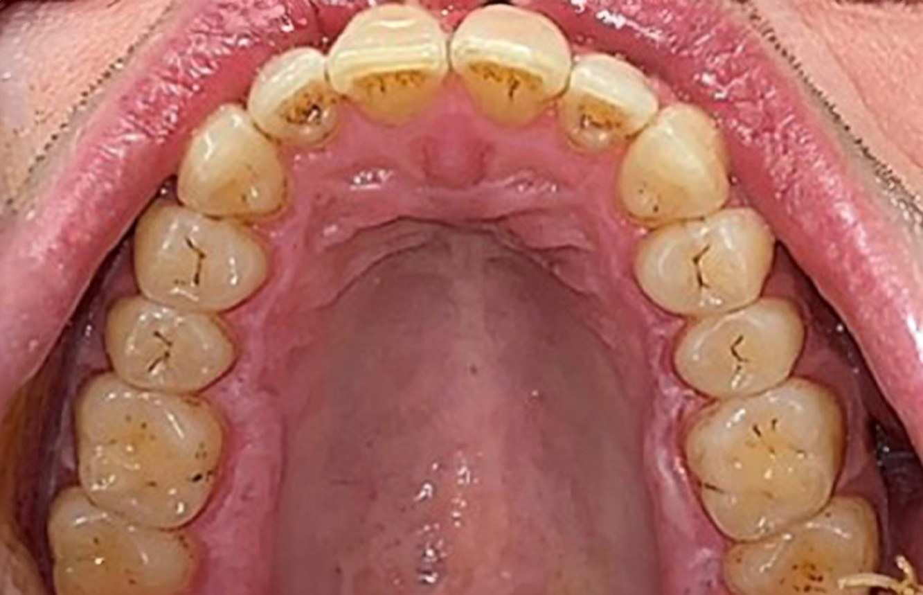
    Paciente sana con enfermedad periodontal previa

    La paciente de 68 años no tiene enfermedades previas relevantes de la salud general ni toma medicación; sus hábitos alimentarios tampoco suponen un riesgo especial. La paciente tiene dos implantes (tercer cuadrante, desde hace cinco años) y una enfermedad previa periodontal (periodontitis en etapa IV, grado B) con pérdida dental. Actualmente las condiciones periodontales son estables, pero la periodontitis aumenta de manera determinante las complicaciones biológicas cuando se realizan implantes y puede ocasionar la pérdida de un implante (21). Para la sesión de profilaxis se hacen cuatro recomendaciones. más información

    NIWOP – No Implantology without Periodontology

    * Con la autorización del Dr. G. Schmalz y el Prof. Dr. D. Ziebolz MSc