Berichte & Studien

Winkelstücke am Limit: Herausforderungen moderner Restaurationen

Ein Erfahrungsbericht von Dr. Wolfgang Tautschnig

Die kontinuierliche Weiterentwicklung der Materialien in der restaurativen Zahnmedizin erhöht die Anforderungen an Winkelstücke und Instrumente, die langlebig, effizient und präzise arbeiten müssen. Dr. Wolfgang Tautschnig, ein erfahrener Zahnarzt aus Salzburg, hat die Synea Power Edition von W&H über mehrere Monate hinweg getestet und teilt seine praktischen Erfahrungen aus dem klinischen Alltag. Das spezialisierte Winkelstück kam vor allem für anspruchsvolle Arbeiten wie Schneiden von Kronen und Brücken zum Einsatz. In diesem Artikel werden nicht nur die Vorteile des neuen Schnellläuferwinkelstücks vorgestellt, sondern auch anhand von zwei exemplarischen Patientenfällen aufgezeigt, wie sich die Synea Power Edition in der Praxis bewährt hat.


Dr. Wolfgang Tautschnig
  • Salzburg, Austria
Dr. Wolfgang Tautschnig

Zunehmende Herausforderungen bei der Bearbeitung moderner Materialien

Die stetige Entwicklung von Dentalmaterialien führt zu wachsenden Anforderungen in der restaurativen Zahnmedizin. Zirkon hat sich in den letzten zwei Jahrzehnten als führendes Material für Kronen und Brücken etabliert und überzeugt durch seine außergewöhnliche Härte, Langlebigkeit und ästhetischen Vorteile. Diese machen Zirkon auch zur bevorzugten Wahl für Patienten, die eine langfristige, hochwertige Lösung wünschen.

Genau diese Eigenschaften stellen Zahnärzte jedoch vor große Herausforderungen, insbesondere wenn bestehende Restaurationen erneuert oder entfernt werden müssen. Ältere, spröde Zirkonvarianten erfordern spezialisierte Techniken, um Schäden an Instrumenten und ineffiziente Arbeitsprozesse zu vermeiden. Herkömmliche Winkelstücke stoßen hierbei oft an ihre Grenzen, da die Bearbeitung eine hohe Schneidekraft erfordert, die den Verschleiß des Bohrers beschleunigt und die Effizienz beeinträchtigt. Angesichts der zunehmenden Verbreitung von Zirkon und anderen hochfesten Materialien in der klinischen Praxis ist die Entwicklung spezialisierter Technologien entscheidend, um diese Herausforderungen zu meistern.

Die Synea Power Edition: Eine spezialisierte Lösung für robuste Materialien

Um diesen anspruchsvollen Anforderungen gerecht zu werden, bietet W&H mit der Synea Power Edition eine robuste und langlebige Lösung. Die „Power Edition“ kombiniert ein optimiertes Übersetzungsverhältnis mit einer ideal abgestimmten Geschwindigkeit und einem gesteigerten Drehmoment, um auch anspruchsvollste Materialien präzise bearbeiten zu können. Ein extrastabiles Spannsystem sorgt für eine verbesserte Spannkraft, wodurch die Belastung bei der Bearbeitung von Zirkon verringert und die Lebensdauer der Winkelstücke verlängert wird. Das optimierte Dreifachspray mit erhöhtem Wasserdurchfluss reduziert die thermische Belastung und verbessert die Spülwirkung für eine effizientere Bohrleistung. Diese technischen Verbesserungen ermöglichen eine präzise und effiziente Bearbeitung, ohne zusätzlichen Anpressdruck. Die spezialisierte Konstruktion schont herkömmliche Winkelstücke, die nicht für die Bearbeitung hochfester Materialien ausgelegt sind, und trägt so zur Verlängerung deren Lebensdauer bei. Die Synea Power Edition bietet Zahnärzten damit eine ideale Lösung, um den komplexen und oft schwierigen Herausforderungen der modernen restaurativen Zahnmedizin erfolgreich zu begegnen.

Klinische Erfahrung mit der Synea Power Edition

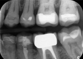
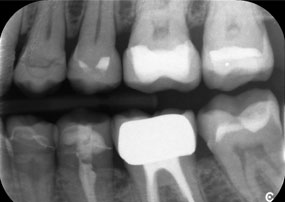
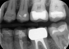
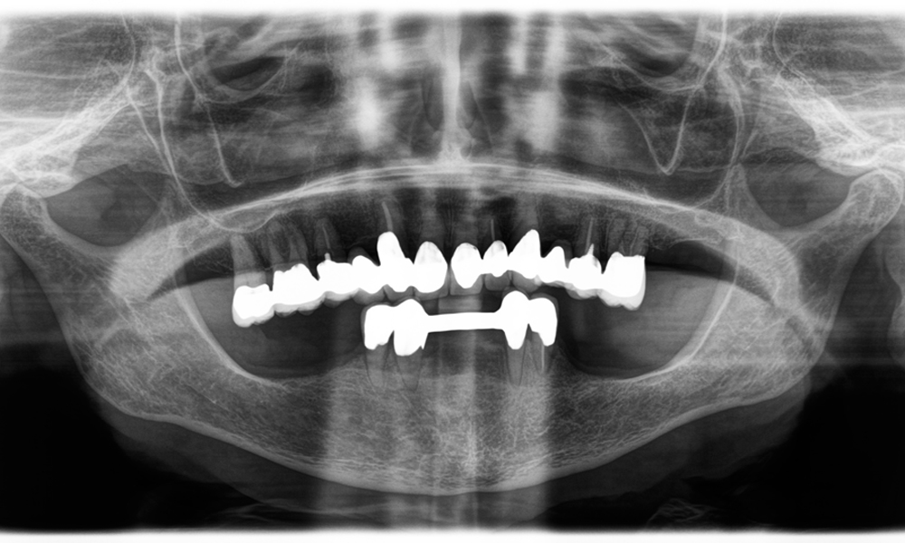
Dr. Wolfgang Tautschnig, ein erfahrener Zahnarzt aus Salzburg, hat die Synea Power Edition über mehrere Monate hinweg in seiner Praxis in verschiedenen klinischen Szenarien eingesetzt und evaluiert. Darunter vor allem für das Entfernen von Zirkonkronen und das Bearbeiten von unedlen Legierungen. In einem konkreten Fall stellte sich eine 81-jährige Patientin mit dem Wunsch nach einer ästhetischen Verbesserung ihrer 40 Jahre alten VMK-Kronen vor. Die bestehenden Kronen entsprachen nicht mehr den ästhetischen Ansprüchen der Patientin. Die Herausforderung lag in der Entfernung von zwölf verblockten Kronen mit unedler Legierung, ohne die darunterliegenden Zahnstümpfe zu beschädigen. Das Winkelstück wurde genutzt, um die Keramikschichten präzise einzuschlitzen sowie die Metallgerüste mit einem Hartmetallfräser zu trennen, um so die Kronen mit minimalem Trauma zu entfernen. Innerhalb von nur 30 Minuten waren die alten Kronen entfernt, danach konnte die neue Arbeit, bestehend aus Vollzirkon im Seitenzahnbereich und verblendeten Kronen im Frontzahnbereich, vorbereitet werden. Das Ergebnis war eine vollständige Neuanfertigung, die sowohl funktional als auch ästhetisch überzeugte (siehe Abb. 1).

Ein Kiefer-Röntgenbild einer 81-jährigen Patientin vor schwarzem Hintergrund.
Abbildung 1: Ästhetische Rehabilitation von VMK-Kronen: Vollständige Entfernung und Ersatz von 40 Jahre alten VMK-Kronen zur ästhetischen Verbesserung bei einer 81-jährigen Patientin.

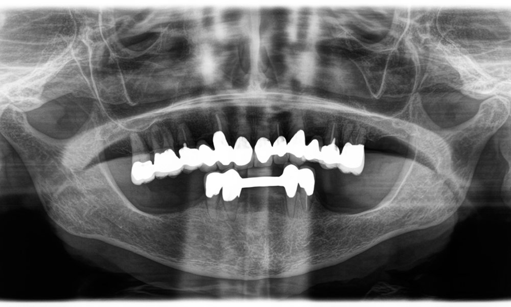
Ein weiteres Beispiel für die klinische Leistungsfähigkeit der Power Edition war der Austausch einer beschädigten Zirkonkrone bei einer 63-jährigen Patientin. Diese stellte sich aufgrund eines abgesplitterten Verblendungsteils ihrer 20 Jahre alten Zirkonkrone an Zahn 6 vor. Trotz der Position im Seitenzahnbereich empfand die Patientin dies als störend und wünschte eine neue Krone.

Die Power Edition ermöglichte eine präzise Schnittführung, wobei das erhöhte Drehmoment und die verbesserte Kühlung dazu beigetragen haben, die Krone ohne größeren Materialverlust zu entfernen. Das Spannsystem und das verbesserte Drehmoment erwiesen sich hierbei als essenziell.

Dr. Tautschnig

Fokus auf Langlebigkeit: Eine nachhaltige Lösung für den klinischen Alltag

Ein zentrales Problem vieler Praxen mit Patientenfällen wie diesen ist der hohe Verschleiß von Winkelstücken. Herkömmliche Modelle erreichen bei intensiver Nutzung oft nur eine begrenzte Lebensdauer, was nicht nur die Effizienz beeinträchtigt, sondern auch zu höheren Instandhaltungskosten führt. Besonders überzeugend ist für Dr. Tautschnig daher der entlastende Effekt der Synea Power Edition auf seine bestehenden Schnellläuferwinkelstücke:

Ein Röntgenbild, das Zähne und eine Zirkonkrone zeigt, vor schwarzem Hintergrund.
Abbildung 2: Austausch einer beschädigten Zirkonkrone: Präzise Erneuerung einer beschädigten Zirkonkrone an Zahn 6 mit minimalem Materialverlust.

Die Power Edition von W&H hat sich in meiner Praxis bewährt. Diese Winkelstücke sind nicht nur effizient bei der Bearbeitung von Zirkon und Stahlkronen, sondern schonen auch meine anderen Winkelstücke, indem sie gezielt für grobe Arbeiten eingesetzt werden.

Dr. Tautschnig

Praktische Vorteile spiegeln sich in den innovativen Technologien der Power Edition wider:
Ein verbessertes Drehmoment, ein extrastabiles Spannsystem und ein optimiertes Kühlsystem, sind gezielt auf die Herausforderungen moderner Materialien ausgerichtet. Für Zahnärzte bieten die Winkelstücke der Synea Power Edition somit nicht nur eine Lösung für die Bearbeitung anspruchsvoller Materialien, sondern auch eine wertvolle Unterstützung bei der Reduktion von Betriebskosten und der Verlängerung der Lebensdauer von Instrumenten.

Dies bedeutet nicht nur eine nachhaltige Lösung im klinischen Alltag, sondern auch eine langfristige wirtschaftliche Entlastung, da Betriebskosten reduziert und Instandhaltungsaufwendungen gesenkt werden können. Mit dieser Kombination aus klinischem Mehrwert und Kostensenkung bietet die Synea Power Edition einen echten Vorteil für moderne Zahnarztpraxen.


Über Dr. Wolfgang Tautschnig

Dr. Wolfgang Tautschnig ist seit 2008 als Kassenzahnarzt in Salzburg tätig und hat sich in der österreichischen Zahnmedizin einen hervorragenden Ruf erarbeitet. Neben seiner praktischen Tätigkeit ist er seit 2021 Präsident der Salzburger Gesellschaft für Zahn-, Mund- und Kieferheilkunde und engagiert sich als gerichtlich beeideter Sachverständiger sowie als Qualitätssicherungsbeauftragter der Österreichischen Zahnärztekammer. Seine Leidenschaft für moderne Zahnheilkunde zeigt sich in der kontinuierlichen Weiterbildung in Bereichen wie Zahnerhaltung, Implantologie und ästhetischer Zahnheilkunde.

Als Leiter des Notdienstzentrums der niedergelassenen Zahnärzte in Salzburg trägt er außerdem maßgeblich zur Organisation und Verbesserung der zahnärztlichen Notfallversorgung in der Region bei. Nach seinem Studium der Zahnmedizin an der Medizinischen Universität Innsbruck und seiner Tätigkeit als Assistenzarzt an der dortigen Zahnklinik, ließ er sich in Salzburg nieder, wo er seither praktiziert. Durch seine umfangreiche Erfahrung und sein Engagement in der Zahnmedizin zählt Dr. Tautschnig heute zu den Experten der Region.


Kommentare