Seethrough – Imaging Solutions

Great views for dental practice

Oavsett om du letar efter extraorala eller intraorala lösningar – med Seethrough erbjuder W&H en komplett bildportfölj, bestående av högt avancerade produkter för alla krav och en banbrytande mjukvara som sätter nya standarder. Alla röntgenlösningar har gemensamt fem kompromisslösa W&H-principer för mer kvalitet, användarvänlighet och modern uppkoppling.
*En programvara för alla produkter

See it in your AR space!

Use augmented reality (AR) on your smartphone or tablet – just scan the QR code or open the link directly on your device.

    • Seethrough Max

      Få hela bilden

      Den perfekta lösningen för dem som vägrar kompromissa: Seethrough Max står för exceptionell bildkvalitet med ett exceptionellt brett FOV-spektrum och låg strålning. Den öppna designen och dess generösa dimensioner säkerställer maximal patientkompatibilitet och komfort, medan ansikte-mot-ansikte-positioneringen förenklar interaktionen mellan användare och patient. Speciellt utformad för optimerade förvärvs- och positioneringsprocesser, garanterar denna CBCT-enhet mycket precisa bildresultat för ett brett spektrum av tillämpningar, från den minsta detaljen inom endodonti till exakta sektioner för implantologi och hela kranialvolymen för käkkirurgi eller ÖNH-tillämpningar. Seethrough Max – upplev framtiden för röntgenteknik i din praktik nu.

      Optimal anpassning

      Med den speciella vertikala sensorförskjutningen är röntgenstrålen optimalt anpassad till patientens morfologi och vald undersökningstyp – för mycket detaljerade och distorsionsfria bilder.

      Exceptionell FOV-täckning

      Från 3 × 4 cm till 17 × 17 cm för ett särskilt brett spektrum av applikationer, från endodonti och implantologi till oral kirurgi och ÖNH.

      Full 360° rotation

      Täcker hela skalan av vinklar och perspektiv – för bilder med exceptionell klarhet och definition.

      Automatisk justering

      Seethrough Max anpassar sig automatiskt till patientens position, vilket säkerställer exakt fokus på anatomin – för optimala bildresultat.

      Maximal patientkomfort

      Högsta nivå av patientkompatibilitet och maximal komfort med den öppna designen och en bred portalöppning – för smidig insamling och oförvrängd bild.


        Seethrough Flex

        Se nya dimensioner

        Hög prestanda, liten fotavtryck: detta är vad Seethrough Flex står för. Med sin kompakta design, intuitiva användning och ansikte-mot-ansikte-positionering kan denna flexibla CBCT-enhet enkelt integreras i befintliga arbetsflöden på praktiken. Som ingen annan enhet kännetecknas Seethrough Flex av precis bildtagning med minimal strålningsexponering för de vanligaste tandvårdsbehoven: från små tandbågsbilder till storskaliga TMJ-skanningar, för diagnos såväl som för implantatplanering. Seethrough Flex – upplev den perfekta symbiosen av bildkvalitet, användarvänlighet och maximal patientsäkerhet.

        Bästa fotavtryck till FOV-förhållande

        Seethrough Flex erbjuder det bästa förhållandet mellan synfält och enhetsdimension på marknaden. Med en bred FOV-täckning från 5 × 5 cm till 14 × 10 cm är det ett riktigt all-around-system.

        Pekskärm valfritt

        Den intuitiva 10-tums pekskärmen på Seethrough Max finns som tillval för Seethrough Flex, vilket ger dig full systemkontroll till hands.

        360° rotation i det minsta utrymmet

        Med sin innovativa elliptiska bana uppnår Seethrough Flex en full 360° rotation i ett anmärkningsvärt litet fotavtryck, för omfattande datainsamling med optimerad utrymmeseffektivitet.

        Extra låg stråldos

        Intelligenta funktioner för att minska stråldosen, i kombination med den kompakta designen, säkerställer minimal exponering och maximalt skydd.

        Download Area

        Ladda ner

        Bruksanvisning

        Find all languages of the Update Hygiene and Maintenance (EN ISO 17664:2017) in the Download Centre.

      • Seethrough Studio

        See tomorrow. See a new level.

        Förutom sofistikerad hårdvaruteknik är den revolutionerande programvaran Seethrough Studio en avgörande faktor för den höga standarden på hela W&H-portföljen. Med sina fördelaktiga funktioner och avancerade algoritmer är Seethrough Studio en allt-i-ett-lösning som tar bildkvalitet och digitala tandvårdsarbetsflöden till en ny nivå.

        Sömlös integration

        Seethrough Studio kan enkelt integreras i ditt patienthanteringssystem. Du kan starta programvaran direkt från PMS utan att behöva ange patientdata igen.

        Free FOV selection on the scout image

        Få rätt bild vid den första skanningen: välj önskad FOV i scoutförhandsgranskningen och justera fritt området av intresse. Detta säkerställer korrekt positionering av FOV och undviker behovet av att exponera patienten igen.

        Autofokus med positionskorrigering

        2D-bilder förbättras av ett 21-lagers autofokussystem, sömlöst integrerat med en patientpositionskorrigering.

        Borttagning av metallartefakter (MAR)

        Återställer bildintegriteten genom att eliminera störningar från metalliska artefakter och låter dig granska bilder med MAR på eller av – för en mycket flexibel visualisering och förbättrad diagnostisk noggrannhet.

        Skarpa och detaljerade bilder

        Den avancerade algoritmen för patientrörelsekorrigering höjer bildkvaliteten till nya nivåer inom både 3D- och 2D-bildbehandling.

        Integrerat verktyg för implantatplanering

        In addition to the outstanding image quality and intuitive operation, Seethrough Studio offers numerous useful features such as the standard integrated implant planning tool for easy visualisation and preparation of the treatment.

        AI-stödda funktioner

        Seethrough Studio utilises various AI tools for imaging enhancement, including 3D volume alignment, tooth segmentation, arch line generation, automatic nerve tracing as well as useful support for pathology detection.

        Jobba smartare, inte hårdare

        Seethrough Studio är ansluten till ioDent® som standard. Denna avancerade onlineplattform från W&H kombinerar viktig patientdata, sömlös kommunikation och många användbara tjänster och support som gör vardagen på praktiken mer effektiv. Få tillgång till 3D-, panoramiska och intraorala bilder när som helst och var som helst – ioDent® ger dig all relevant patientinformation, när du behöver den.
        iodent.com

        Tack vare säker och snabb dataöverföring kan även anonymiserade patientfall delas, diskuteras och kommenteras med kollegor. Dessutom kan patienter ladda ner sina DICOM-data via en säker länk. ioDent® erbjuder också snabb och direkt tillgång till kundsupport med den integrerade servicedashboarden – vilket ger omedelbar teknisk support från experter vid behov. ioDent® hjälper dig dessutom att följa alla juridiska riktlinjer och tillhandahåller kompletta exponeringslistor för alla radiologiska enheter.

        • Onlineplattform för enkel åtkomst när som helst och var som helst
        • Lätt att dela med kollegor och patienter
        • Integrerad servicepanel för snabb åtkomst till kundsupport
        • Stöd för efterlevnad av bestämmelser tack vare kompletta exponeringslistor för radiologiska enheter

        Dina fördelar


        • Bildbehandling av högsta kvalitet
          Bilder med enastående klarhet och definition: vår bildkvalitet sätter nya standarder med en innovativ kombination av avancerad hårdvaru- och mjukvaruteknik.

        • Perfekt integration
          Våra lösningar integreras enkelt i alla praxishanteringssystem (PMS), optimerar dina arbetsflöden och har en hög nivå av användarvänlighet.

        • Intelligent funktionalitet
          Innovativa verktyg som rörelsekorrigering, positioneringshjälp och guidade förvärvsprocesser möjliggör optimala resultat och en enklare, mer intuitiv operation.


        • Ansluten till ioDent®
          Få tillgång till allt du behöver när som helst, var som helst. Oavsett om det är bildhämtning online, patientdata, datalagring eller tillgång till tjänstens instrumentpanel: håll kontakten.

        • Revolutionerande AI för din träning
          Innovativa AI-verktyg stödjer bildanalys och diagnos, ger värdefulla insikter och tar patientvården till en ny nivå.

          Download Area

          Ladda ner

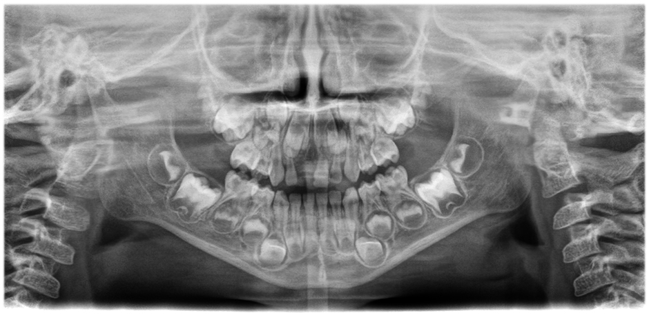
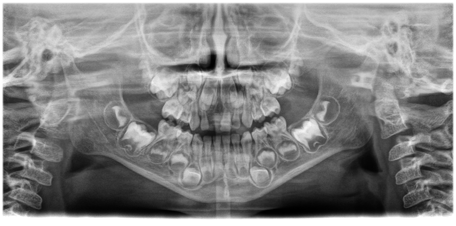
        • Panorama images of outstanding clarity and definition
          with the innovative 21-layer autofocus system seamlessly integrated with a patient positioning correction.
          Move the slider to see the difference (left image without, right image with autofocus and patient positioning correction)

          Download Area

          Ladda ner