Мнения специалистов / Статьи

Facelight. Часть 2. Безопасный метод обнаружения кариеса

С помощью нового светового зонда Facelight фирмы W&H надежное обнаружение кариеса и минимально инвазивные процедуры во время лечения стали в стоматологической практике реальностью. Не только пользователи способны оптимально организовать свою работу, но и пациентам теперь доступно эффективное и атравматичное лечение. Профессор стоматологии Олаф Клюер и стоматолог Энн-Кэтрин Хинц пользуются этим медицинским устройством уже несколько месяцев. В первоначальном отчете испытания они описали и достоинства Facelight, и свой опыт работы с ним (см. публикацию в № 7/8, 2012).

Ниже приводятся дополнительные сведения об инновационном продукте фирмы W&H.

Хорошо известны традиционные методы оценки кариеса (визуальный осмотр, использование зондов, маркеры кариеса и т. п.). Как показало исследование in vitro, выполненное Lennon и др., теперь эти методы удачно дополнены методом поиска кариеса с использованием светового зонда Facelight (Oper Dent, 2007, май–июнь; 32 (3): 226–41). В этом методе освещение открытых зубных полостей световым зондом позволяет непосредственно увидеть дентин, инфицированный кариесом. Это стало возможно с помощью инновационного метода FACE*.

Продукты метаболизма (порфирины), оставляемые бактериями в дентине, инфицированном кариесом, невидимы невооруженным глазом. При освещении световым зондом они выдают характерную красную флюоресценцию, тогда как здоровый дентин зуба отличается зеленым флюоресцентным свечением. Использование очков с фильтром Facelight или специальных пристегивающихся фильтров позволяет значительно усилить этот контраст.

Надежное обнаружение рецидивирующего кариеса

Недостатки традиционных методов обнаружения кариеса с использованием визуального или тактильного исследования структур зуба заключаются в том, что тонкие прослойки инфицированного бактериями твердых тканей зуба не распознаются и, следовательно, не диагностируются. По данным Lennon et al. (Caries Res, 2006; 40: 2–5), зонд Facelight предлагает надежный метод обнаружения кариеса. Исключением является распознавание начального кариеса эмали, потому что активность стрептококков на этой стадии не может быть обнаружена таким способом. Кариес дентина, напротив, можно безошибочно обнаружить во всех случаях.

В то время как в нашем первом исследовании мы изучили кариозные полости на 67 зубах (см. публикацию в ZWP № 7/8, 2012), в нашем втором исследовании мы проверили 190 полостей. При использовании обычного стоматологического зонда все 190 полостей не содержали кариозного дентина, тем не менее повторное обследование с использованием зонда Facelight позволило обнаружить патологический процесс в 12 полостях (6,3 %).

При тактильном скрининге часто пропускают микрообласти, недоступные для стоматологического зонда. Также часто возникают проблемы при проверке полостей с использованием красителей. Например, в областях, близких к пульпе, получают ложные положительные результаты, и, кроме того, очень трудно удалить остатки красителя.

Оптимальный доступ к участку лечения

Очевидно, что технология Facelight является очень хорошим средством осмотра при наличии пломб. При установке пломб стоматолог стремится сохранить как можно больше эмали и создает подрезы. В таких случаях хорошее освещение отпрепарированной полости – отличное подспорье для обнаружения кариозных образований.

Значительное достоинство светового зонда Facelight – его очень тонкая конструкция. Она позволяет легко пользоваться им в труднодоступных местах. Даже в областях, обращенных в сторону от практикующего врача, например дистальной поверхности моляров.

Зонд Facelight рекомендуется для подобных процедур, поскольку он очень удобен как для пациента, так и для специалиста, который проводит лечение. Во время процедуры необходимо избегать нежелательных перерывов. Наш опыт показывает, что наилучшие условия для врача-практика обеспечиваются в том случае, когда он надевает на очки пристегивающийся фильтр, а ассистент работает со световым зондом. Во многих случаях окончательные результаты осмотра являются полностью правильными.

Положительные ощущения

После многократного применения зонда Facelight мы убедились, что все наши пациенты очень положительно реагировали на его использование. Помимо того, что эта процедура очень мягкая и максимально щадящая, они могли рассчитывать на благоприятный исход лечения и сохранение жизнеспособности своих зубов на долгое время.

Как правило, любые изменившие цвет деминерализованные участки эмали в месте препарирования не содержат метаболических продуктов бактерий, но их тоже удаляют по эстетическим соображениям. Амальгама и подобные изменения окраски, которые закрыты пломбой после лечения, могут оставаться, так как считаются свободными от кариеса.

В случае полупрозрачных пломб эти изменения окраски, конечно, могут маскироваться непрозрачными покрытиями или покровной пломбой. В этих случаях нечаянного обнажения пульпы можно избежать и обеспечить длительную сохранность зуба, так как эндодонтического лечения с последующей установкой коронки не требуется

Полное и окончательное удаление кариеса

В частности, при наличии очень глубоких окклюзионных фиссур продукты метаболизма бактерий все же могут быть обнаружены с помощью зонда Facelight. Обычно их принимают просто за изменение окраски и, следовательно, в большинстве случаев игнорируют.
Прежде такой остаточный кариес даже не диагносцировался стоматологическим зондом, так как проявлялся лишь в форме полос или пятен. В этих случаях рецидив кариеса был неизбежен. В будущем это можно предотвратить с помощью новой технологии Facelight фирмы W&H. Современный метод FACE позволяет четко различать здоровое и больное твердое ткани зуба и, следовательно, обеспечить направленное лечение пациента.

Из-за плохой гигиены полости рта и определенных привычек, таких как большое потребление сладостей, пациентов, как правило, беспокоит возможность быстрого возобновления кариеса. При использовании зонда Facelight пациенты могут быть уверены в том, что кариозные ткани полностью удалены и возобновление кариеса исключено.
Более того, теперь благодаря селективной обработке на участке лечения снижает вероятность избыточного препарирования.

Вывод

С учетом нашего положительного опыта применения зонда Facelight и однозначных результатов исследования весь персонал нашей клиники будет использовать изделие фирмы W&H.
Так как результаты нашего исследования дали важную информацию о технологии, мы продолжим наши исследования, чтобы проверить полученные до сих пор результаты.
Ясно, однако, что зонд Facelight дает стоматологам новый, оригинальный метод оценки состояния твердых тканей зуба на наличие кариеса, который обладает высокой степенью надежности по сравнению с обычными методами.
* (c) Профессор, доктор Вольфганг Бучалло (Wolfgang Buchalla). Удаление кариеса с использованием флюоресценции.

Рис. 1. Начальный вид зубов без клинических признаков кариеса
Рис. 1. Начальный вид зубов без клинических признаков кариеса
Рис. 2. Освещение зондом Facelight используется здесь в качестве трансиллюминации для распознавания непрозрачных областей. Соединения порфирина при такой форме освещения не активируются
Рис. 2. Освещение зондом Facelight используется здесь в качестве трансиллюминации для распознавания непрозрачных областей. Соединения порфирина при такой форме освещения не активируются
Рис. 3. При первоначальном раскрытии кариозной полости четко видны пораженные ткани
Рис. 3. При первоначальном раскрытии кариозной полости четко видны пораженные ткани
Рис. 4. Изображение, как на рис. 3, на этот раз с использованием Facelight
Рис. 4. Изображение, как на рис. 3, на этот раз с использованием Facelight
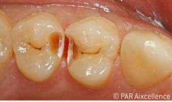
Рис. 5. На этапе экскавации четко виден кариозный процесс; апроксимальные фиссуры, как кажется, не содержат измененных тканей
Рис. 5. На этапе экскавации четко виден кариозный процесс; апроксимальные фиссуры, как кажется, не содержат измененных тканей
Рис. 6. Изображение, как на рис 5, на этот раз с использованием Facelight. Теперь кариес четко распознается и в фиссурах
Рис. 6. Изображение, как на рис 5, на этот раз с использованием Facelight. Теперь кариес четко распознается и в фиссурах
Рис. 7. Кариозные ткани были полностью удалены, в апроксимальных областях неопределенность остается
Рис. 7. Кариозные ткани были полностью удалены, в апроксимальных областях неопределенность остается
Рис. 8. Изображение, как на рис 7, на этот раз с использованием Facelight: кариозно измененные ткани отсутствуют
Рис. 8. Изображение, как на рис 7, на этот раз с использованием Facelight: кариозно измененные ткани отсутствуют
Рис. 9. Законченная долговременная реставрация
Рис. 9. Законченная долговременная реставрация
Стоматологическая клиника PAR Aixcellence
Стоматологическая клиника PAR Aixcellence
Стоматологическая клиника PAR Aixcellence
Стоматологическая клиника PAR Aixcellence

комментарии