Reports & Studies

Facelight part 2 - The safe method of caries detection

With the new Facelight light probe from W&H, reliable caries detection during treatment and minimally-invasive work in dental practices have become reality. Besides assisting users in optimally configuring their treatment workflows, patients also profit from atraumatic and effective treatment. Dr. med. dent. Olaf Klewer and dentist Ann-Katrin Hinz have used the clinical aid for several months now. In an initial user report they give an account of their relevant experience and the advantages of Facelight (see the publication ZWP No. 7/8 2012). Further insights on the innovative W&H product are presented here:

Conventional methods of caries assessment (such as visual inspection, the use of probes, caries markers) are well known. According to an in-vitro study from Lennon et. al. these are now complemented with inspection using Facelight (Oper Dent 2007 May-June;32(3):226-41). In this technique, the illumination of opened cavities by means of a light probe renders carious infected dentine directly visible. This is possible with the innovative FACE method*.

Although the metabolic products (porphyrins) left by bacteria in carious infected dentine are not visible to the naked eye, under the Facelight light probe they exhibit a characteristic red fluorescence, whereas the healthy tooth substance is distinguished by a green fluorescence. Using Facelight filter goggles or a special clip-on filter which can be worn over normal prescription glasses, this contrast is significantly enhanced

Reliable detection of caries recurrence

The problem with conventional methods of caries detection making use of visual and tactile examination of the cavity is that slender streaks of bacterially infected tooth hard substance are not recognised and are therefore not diagnosed. According to Lennon et al. (Caries Res 2006;40:2-5), Facelight offers a reliable method of detection of caries. An exception is recognition of initial caries (a caries precursor), because the activity of the streptococci involved during this initial stage cannot be detected this way. Dentine caries, on the other hand, can be recognized perfectly at all times.

Whereas 67 cavities were subject to inspection in our first investigation (publication see ZWP No. 7/8 2012), in our second investigation we tested a total of 190 cavities. We were able to identify the following distinctive feature: Although all 190 cavities were assessed to be caries-free using a dental probe, in a subsequent examination using the Facelight probe, caries in another 12 cavities (6.3%) was detected, however.

Microregions inaccessible with the dental probe are frequently overlooked in tactile screening. Problems often also occur in testing for cavities using dyes. For example, false positives arise in regions close to the pulp, also it is often very difficult to remove dye residues.

Optimal access to the treatment site

It is apparent that Facelight technology is a very good aid with fillings on account of undercuts that may exist. In the case of fillings, the practitioner is inclined to preserve as much enamel as possible and creates undercuts. These are often hard to see, so clear illumination of the carious process is a great help.

A significant advantage of the Facelight light probe lies in its slim design. This makes it easy to use, even in treatment sites that are difficult to reach. Even places facing away from the practitioner, such as 47 disto-lingual, can be reliably assessed as a result of the conspicuous fluorescent characteristic of carious tooth hard substance.

Facelight is recommended for treatment to make it as convenient as possible for the patient, as well as for one's own practice team. Unnecessary interruptions in the treatment should be avoided. Our experience shows that the best procedure is for the practitioner to wear a clip-on filter over his/her glasses with an assistant operating the light probe. In many cases a final inspection is entirely adequate.

A good feeling …

After numerous applications we found that our patients responded altogether favourably to the use of Facelight. Besides being a gentle and minimally invasive procedure, they profit from long-term preservation of the vitality of their teeth and can also be sure of a good treatment outcome.

Generally any white discoloured, demineralised enamel regions on the preparation margin are free of metabolic products from bacteria, but are still also removed for aesthetic reasons. Amalgam or similar discolourations that are covered by the filling after treatment can be left, as these can be assumed to be free of caries.

In case of translucent fillings, these discolourations can of course be treated with an opaque covering or build-up filling. Inadvertent pulp exposure can be avoided in these cases and long-term preservation ensured, as root treatment with subsequent crowning is not necessary.

Removing caries completely and permanently

Particularly in very deep occlusal fissures, it was noticeable that bacterial metabolic products could still be detected with Facelight. Usually these would simply be concluded to be discolouration and would therefore mostly be left.
These residual caries were previously not even palpable with the dental probe, as they were only in the form of streaks or spots. So caries recurrence was inevitable in these cases. This can be prevented in future with the new Facelight technology from W&H. The modern FACE method allows a clear differentiation between healthy and diseased dental hard substance and consequently enables targeted treatment of the patient.

Due to poor oral hygiene or certain habits, such as a high consumption of sweets, patients are generally anxious about rapid regeneration of caries. Through the use of Facelight, patients can rest assured that carious areas are completely removed and resurgence of caries is avoided.
Furthermore, "overtreatment", with selective work on the treatment site, is now a thing of the past.

Conclusion

Based on our positive experience with Facelight and the unequivocal results of the study, all our practice staff will be using the W&H product in the future.
As our investigation results deliver important insights on Facelight technology, we will continue our investigations in order to verify the results gathered so far.
It is obvious, however, that with Facelight, dental practices have a new and innovative method at their disposal for assessing caries, which offers a high degree of reliability as compared with conventional methods.

* © Prof. Dr. Wolfgang Buchalla, Fluorescense Aided Caries Excavation

Fig. 1: Initial image of teeth without clinical caries apparent.
Fig. 1: Initial image of teeth without clinical caries apparent.
Fig. 2: Illumination with Facelight - used in the sense of radioscopy here, to recognise opacities. Porphyrin compounds are not activated in this form of illumination.
Fig. 2: Illumination with Facelight - used in the sense of radioscopy here, to recognise opacities. Porphyrin compounds are not activated in this form of illumination.
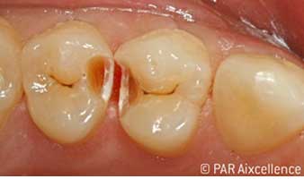
Fig. 3: On initial opening, the caries is clearly clinically visible.
Fig. 3: On initial opening, the caries is clearly clinically visible.
Fig. 4: Image as in Figure 3 - this time using Facelight
Fig. 4: Image as in Figure 3 - this time using Facelight
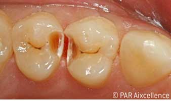
Fig. 5: After further excavation, clinically clearly visible caries, approximal fissure appears to be free of caries.
Fig. 5: After further excavation, clinically clearly visible caries, approximal fissure appears to be free of caries.
Fig. 6: Image as in Figure 5 - this time using Facelight: Caries now also clearly identifiable in the fissures.
Fig. 6: Image as in Figure 5 - this time using Facelight: Caries now also clearly identifiable in the fissures.
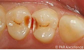
Fig. 7: Caries has been completely removed, uncertainties approximal.
Fig. 7: Caries has been completely removed, uncertainties approximal.
Fig. 8: Image as in Figure 7 - this time using Facelight: Caries no longer exists.
Fig. 8: Image as in Figure 7 - this time using Facelight: Caries no longer exists.
Fig. 9: Completed, long-lasting restorations.
Fig. 9: Completed, long-lasting restorations.
PAR Aixcellence - Dental Practices<br>Dentist Ann-Katrin Hinz<br>Preparation assistant
PAR Aixcellence - Dental Practices
Dentist Ann-Katrin Hinz
Preparation assistant
PAR Aixcellence - Dental Practices<br>Dr. Olaf W. Klewer M.Sc.<br>Management
PAR Aixcellence - Dental Practices
Dr. Olaf W. Klewer M.Sc.
Management

comments