Rapports et études

La phase de prétraitement et l'importance d’une situation parodontale stable

par le Dr Kristina Bertl, PhD MBA MSc
Département de parodontologie, Faculté d’odontologie, Université de Malmö, Suède Première publication : ADP Jan/Fév 2020

La mucite péri-implantaire et la péri-implantite sont des complications biologiques malheureusement relativement fréquentes, observables chez près d’un patient sur deux pour la mucite et d’un patient sur quatre pour la péri-implantite (Derks & Tomasi 2015). Pour réduire la prévalence de ces complications biologiques, la méthode NIWOP (No Implantology without Periodontology) vise à rappeler quelques faits bien connus aux professionnels de la santé dentaire. De ce fait, NIWOP peut être considéré comme une recommandation clinique, applicable bien avant la pose de l’implant et qui le reste longtemps après la restauration prothétique.

La méthode NIWOP (Figure 1) s’articule autour de 3 axes principaux : (1) Phase de prétraitement, (2) pose de l’implant et (3) suivi ou traitement de soutien.

Figure 1. La méthode NIWOP. © W&H
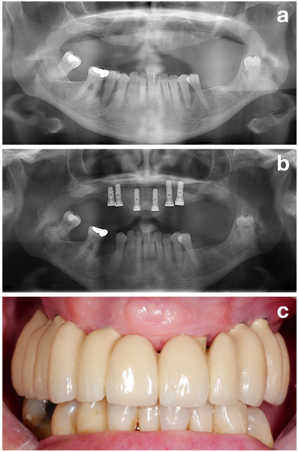
Figure 2. Il convient d'établir une situation parodontale stable avant l’implantation. Un patient avant le traitement parodontal (a), après le traitement parodontal et l'implantation (b), et après la restauration prothétique (c). © Dr K. Bertl

La première phase (c’est-à-dire le prétraitement) a pour but de préparer le patient de façon optimale en vue de l’implantation en évaluant tous les facteurs de risque potentiels mais en ciblant l’un des objectifs plus importants, à savoir l’établissement d’une situation parodontale stable (Figure 2).

Or, il se trouve que l’établissement d’une situation parodontale stable est aussi l’une des tâches qui nécessite le plus de temps ainsi qu’une observance constante des patients. Mais pourquoi est-il si important d'établir une situation parodontale stable ? Et en fait qu’est-ce qu’une situation parodontale « stable » ? La présence de quelques poches profondes résiduelles représente-t-elle un risque réel de développer une maladie péri-implantaire ?

Pourquoi l'établissement d’une situation parodontale stable est-il l’un des principaux objectifs à atteindre avant une implantation ?

Les conclusions des études cliniques et les revues systématiques indiquent clairement que des antécédents de parodontite augmentent le risque de complications biologiques (c’est-à-dire de développement d’une maladie péri-implantaire et/ou de perte de l’implant) chez les patients après l’implantation. Plus précisément, on observe chez les patients présentant des antécédents de parodontite un taux d'échec de l’implant presque deux fois plus élevé que chez les autres patients (Renvert & Quirynen 2015). Et si l’on étudie en détail les résultats de 2 publications (Roccuzzo et al. 2010 ; Roccuzzo et al. 2012), le contraste entre les patients avec et sans antécédents de parodontite est évident quant aux résultats à long terme. Ces 2 publications rapportent les données concernant 112 patients ayant tous reçu un traitement efficace pour leur maladie parodontale avant l’implantation, et suivis pendant 10 ans après l’implantation. Les patients ont été affectés à l’un des groupes suivants : (1) patients ayant une bonne santé parodontale (PHP), (2) patients à la santé parodontale modérément altérée et (3) sévèrement altérée (PCP). Pendant le traitement de suivi, moins d’un implant sur 10 du groupe PHP, mais 1 implant sur 3 du groupe PCP modéré et 1 implant sur 2 du groupe PCP sévère a présenté à un moment donné une profondeur de poche au sondage d'au moins 6 mm. Par conséquent, un patient sur 3 du groupe PCP modéré et un patient sur 2 du groupe PCP sévère a dû suivre un traitement pour une maladie péri-implantaire pendant la durée de suivi de 10 ans. Bien qu’ils aient reçu un traitement approprié, on a observé une augmentation significative du nombre d’implants des groupes PCP présentant des profondeurs de poche au sondage d'au moins 6 mm à la fin de la période de l’étude (soit 10 ans après l'implantation). Ces données cliniques sont soulignées par les données radiographiques, c’est-à-dire que le pourcentage de sites présentant une perte osseuse d'au moins 3 mm était près de 3 fois plus élevé dans le groupe PCP sévère que dans le groupe PHP. En outre, les problèmes rencontrés dans les groupes PCP se sont accentués chez les patients faisant preuve en outre d’une mauvaise observance du calendrier de suivi proposé. En particulier, les patients des groupes PCP ne respectant pas les conditions du traitement de suivi ont présenté 3 à 4 fois plus souvent des profondeurs de poche au sondage accrues en périphérie de leurs implants que les patients PCP suivant correctement le traitement. Enfin, les facteurs d’antécédents de parodontite et de non-respect du calendrier de traitement de suivi ont été significativement associés à la perte d’un implant ; c’est-à-dire que le nombre de pertes d’implants est passé de 2 implants dans le groupe PHP à 9 implants dans le groupe PCP sévère, les patients non observants étant la catégorie principalement affectée.

Qu’est-ce qu’une situation parodontale « stable » ? La présence de quelques poches profondes résiduelles représente-t-elle un risque réel de développer une maladie péri-implantaire ?

Depuis l'introduction en 2018 de la nouvelle classification des maladies et affections parodontales et péri-implantaires, on peut définir ce qu’est un patient atteint de parodontite traité avec succès et stable (Chapple et al. 2018). D'après cette définition, un patient atteint de parodontite traité avec succès et stable présente une perte d’attache au sondage et une perte osseuse dues à l’effet de la maladie précédente mais, au moment de l'évaluation, la dentition entière présente une profondeur de poche au sondage maximale de 4 mm et aucune poche profonde de 4 mm ne saigne au sondage.
Cette situation idéale ne peut toutefois malheureusement pas être obtenue chez chaque patient. Ainsi, d’après les données d’une publication spécifique (Cho-Yan Lee et al. 2012), il faut être conscient du fait que la présence de poches résiduelles entraîne un risque accru de complications biologiques. Notamment, 60 patients, ayant tous suivi avec succès un traitement pour leur maladie parodontale avant l’implantation, ont été affectés soit au groupe des patients en bonne santé parodontale (PHP) soit au groupe des patients à la santé parodontale altérée (PCP). Ce dernier groupe a été subdivisé en deux catégories de patients, selon qu’ils présentaient ou non une parodontite résiduelle (PR). La PR était définie par la présence d'au moins 1 site présentant une profondeur de poche au sondage d'au moins 6 mm. Indépendamment de la définition utilisée pour diagnostiquer la péri-implantite, la prévalence des implants présentant une péri-implantite différait entre le groupe PHP et le groupe PCP sans PR. Cependant, le groupe PCP avec PR affichait une prévalence de péri-implantite environ 3 à 4 fois plus élevée que le groupe PCP sans PR. Par conséquent, tandis que les patients du groupe PCP sans poches profondes étaient associés à un risque de péri-implantite similaire aux patients du groupe PHP, les patients du groupe PCP avec poches profondes avaient environ 4 à 5 fois plus de risque de développer une péri-implantite.

Figure 3. Une situation parodontale instable (a) et des consignes d’hygiène buccodentaire insuffisantes (b-e) augmentent le risque de développer une maladie péri-implantaire (c-e). © Dr K. Bertl

Conclusion

En conclusion, conjugué à d'autres objectifs, tels que l'arrêt du tabac ou une hygiène buccodentaire irréprochable (Figure 3), l'établissement d’une situation parodontale stable est l’un des objectifs les plus importants de la phase de prétraitement, qui doit être atteint avant l’implantation !


Références

  1. Chapple, I. L. C., Mealey, B. L., Van Dyke, T. E. et al. (2018) Periodontal health and gingival diseases and conditions on an intact and a reduced periodontium: Consensus report of workgroup 1 of the 2017 World Workshop on the Classification of Periodontal and Peri-Implant Diseases and Conditions. J Clin Periodontol 45 Suppl 20, S68-S77.
  2. Cho-Yan Lee, J., Mattheos, N., Nixon, K. C., & Ivanovski, S. (2012) Residual periodontal pockets are a risk indicator for peri-implantitis in patients treated for periodontitis. Clin Oral Implants Res 23, 325-333.
  3. Derks, J., & Tomasi, C. (2015) Peri-implant health and disease. A systematic review of current epidemiology. J Clin Periodontol 42 Suppl 16, S158-71.
  4. Renvert, S., & Quirynen, M. (2015) Risk indicators for peri-implantitis. A narrative review. Clin Oral Implants Res 26 Suppl 11, 15-44.
  5. Roccuzzo, M., Bonino, F., Aglietta, M., & Dalmasso, P. (2012) Ten-year results of a three arms prospective cohort study on implants in periodontally compromised patients. Part 2: clinical results. Clin Oral Implants Res 23, 389-395.
  6. Roccuzzo, M., De Angelis, N., Bonino, L., & Aglietta, M. (2010) Ten-year results of a three-arm prospective cohort study on implants in periodontally compromised patients. Part 1: implant loss and radiographic bone loss. Clin Oral Implants Res 21, 490-496.

Commentaires