Seethrough – Solutions d'imagerie

Great views for dental practice

Que ce soit pour une utilisation intra-orale ou extra-orale, grâce à Seethrough, W&H propose une gamme de solutions d’imagerie complète avec différents produits pour toutes les exigences ainsi qu’un logiciel faisant office de nouvelle référence. Le point commun de toutes les solutions de radiographie : 5 principes W&H sans compromis, pour une qualité et un confort d’utilisation accrus, ainsi qu’une connectivité avancée.
*Un seul logiciel pour tous les produits

Voir dans votre espace (AR)

Utilisez la réalité augmentée (AR) sur votre smartphone ou votre tablette – il vous suffit de scanner le QR code à gauche ou d’ouvrir le lien directement sur votre appareil.

    • Seethrough Max

      Ayez une vue d'ensemble

      La solution pour ceux qui ne souhaitent faire aucun compromis : Seethrough Max est synonyme de qualité d’image exceptionnelle avec un large spectre de FOV, pour une faible exposition aux radiations.
      Son design ouvert et ses dimensions généreuses assurent une compatibilité optimale avec les patients ainsi qu’un confort maximal, tandis que le positionnement face à face simplifie l’interaction entre les utilisateurs et les patients. Conçu spécialement pour des processus de réalisation de clichés et de positionnement optimisés, ce CBCT garantit une imagerie précise pour de nombreuses applications, depuis les plus petits détails en endodontie jusqu’aux volumes crâniens complets pour la chirurgie maxillo-faciale, en passant par une visualisation précise pour l’implantologie. Seethrough Max : découvrez l’avenir de la technologie de radiographie dès maintenant dans votre cabinet..

      Adaptation optimale

      Grâce au décalage vertical spécial du capteur, le rayon de radiographie s’adapte parfaitement à la morphologie des patients et au type d’examen choisi – pour des images détaillées et sans distorsion.

      Couverture FOV exceptionnelle

      De 3 × 4 cm jusqu’à 17 × 17 cm : pour un spectre d’applications particulièrement large, de l’endodontie
      à la chirurgie maxillaire et aux applications ORL, en passant par l’implantologie.

      Rotation complète à 360°

      Couvre l’ensemble du spectre d’angles de vue et de perspectives – pour des images d’une clarté et d’une netteté exceptionnelles.

      Réglage automatique

      Seethrough Max s'adapte automatiquement à la position du patient, garantissant une mise au point précise sur l'anatomie, pour des résultats d'imagerie optimaux.

      Confort maximal pour le patient

      Compatibilité optimale avec les patients et confort maximal grâce au design ouvert et au large portique – pour une réalisation facilitée des clichés et des images sans distorsion.


        Seethrough Flex

        Découvrez de nouvelles dimensions

        Performance élevée dans un espace très réduit : Seethrough Flex est la solution. Grâce à son design compact, son utilisation intuitive et le positionnement face à face, ce CBCT flexible peut être intégré sans aucun problème dans des flux de travail déjà en place au cabinet. Seethrough Flex se distingue des autres appareils par son imagerie précise pour une exposition minimale aux rayons X, et ce pour les applications en odontologie les plus
        courantes, des petits clichés d’arcades dentaires jusqu’aux larges acquisitions ATM, à la fois pour le diagnostic et pour la planification implantaire. Seethrough Flex : découvrez l’alliance parfaite entre qualité d’image, confort d’utilisation et sécurité maximale pour les patients.

        Meilleur rapport espace/FOV

        Seethrough Flex offre le meilleur rapport du marché entre FOV et dimensions de l’appareil. Avec une large couverture FOV de 5 × 5 cm jusqu’à 14 × 10 cm, il s’agit d’un CBCT véritablement polyvalent.

        Écran tactile en option

        Avec l’écran tactile 10” intuitif Seethrough Max disponible en option pour Seethrough Flex, le pilotage intégral du système est entre vos mains.

        Rotation à 360° dans un espace très réduit

        Avec sa trajectoire elliptique innovante, Seethrough Flex réalise une rotation complète à 360° dans un espace très réduit et permet ainsi une acquisition complète des données dans un contexte de gestion optimisée de l’espace.

        Exposition aux radiations particulièrement faible

        Couplées au design compact, les fonctions intelligentes de réduction de l’exposition aux radiations assurent un impact minimal et une protection maximale.

        Téléchargements

        Téléchargements

        Notices d'utilisation

        Find all languages of the Update Hygiene and Maintenance (EN ISO 17664:2017) in the Download Centre.

      • Seethrough Studio

        See tomorrow. See a new level.

        En plus des technologies matérielles sophistiquées, le logiciel Seethrough Studio révolutionnaire est le facteur déterminant pour assurer le niveau de qualité élevé de l’ensemble de la gamme de solutions d’imagerie de W&H :avec des fonctions utiles et des algorithmes avancés, Seethrough Studio est une solution intégrale qui élève l’imagerie et les flux de travail en odontologie numérique à un niveau supérieur.

        Intégration impeccable

        Seethrough Studio s'intègre facilement à votre système de gestion des patients. Vous pouvez lancer le logiciel directement depuis le PMS sans avoir à saisir à nouveau les données du patient.

        Sélection libre du FOV sur l’image du dispositif d’exploration

        Pour une image correcte dès le premier cliché : sélectionnez le FOV nécessaire dans l’aperçu fourni par le dispositif d’exploration et ajustez librement la zone concernée. Cela permet de positionner le
        FOV avec précision et d’éviter de réaliser un nouveau cliché.

        Correction des mouvements et de la position du patient

        L’algorithme perfectionné de
        correction des mouvements fait passer la qualité d’image au niveau supérieur, à la fois pour l’imagerie 3D et pour l’imagerie 2D. Les images 2D sont encore améliorées par un système de mise au point automatique à 21 couches, parfaitement intégré dans une correction de positionnement.

        Suppression des artefacts métalliques (MAR)

        Rétablit l’intégrité de l’image en retirant les artefacts métalliques et permet d’examiner des images avec ou sans MAR, pour une visualisation flexible et un diagnostic plus précis.

        Des images nettes, détaillées et sans distorsion

        Grâce aux algorithmes avancés de Seethrough Studio.

        Outil de planification implantaire intégré

        En plus d’une qualité d’image exceptionnelle et d’une utilisation intuitive, Seethrough Studio offre de
        nombreuses fonctions utiles, comme un outil de planification d’implants intégré par défaut, pour simplifier la visualisation et la préparation du traitement.

        Fonctions assistées par l'IA

        Seethrough Studio a recours à différents outils d’IA pour améliorer encore davantage l’imagerie, par
        exemple l’orientation des volumes 3D, la segmentation dentaire, le tracé des arcades, la détection automatique du canal mandibulaire
        et une assistance précieuse pour la suggestion de pathologies.

        Travaillez plus intelligemment, pas plus dur.

        La gamme Seethrough est connectée par défaut à IoDent® iodent.com

        Grâce au transfert de données rapide et sécurisé, des cas cliniques anonymisés peuvent également être partagés, discutés et commentés avec des collègues. En outre, les patients peuvent télécharger leurs données DICOM via un lien sécurisé. Pour finir, avec le tableau de bord des services intégré, ioDent® offre un accès direct et rapide à l’assistance client : ainsi, vous recevez immédiatement l’aide technique d’un expert quand vous en avez besoin. IoDent® vous aide également à respecter toutes les directives légales et met à votre disposition une liste complète d’expositions pour tous les appareils radiologiques.

        Vos avantages

        • Imagerie d’une qualité
          exceptionnelle

          Des clichés parfaitement nets :
          notre qualité d’imagerie pose
          de nouveaux jalons grâce à
          la combinaison innovante de
          technologies matérielles et
          logicielles de haute qualité.

        • Intégration parfaite
          Nos solutions s’intègrent
          facilement dans tous les
          systèmes de gestion de
          cabinets, optimisent vos
          méthodes de travail et se
          distinguent par leur confort
          d’utilisation élevé.

        • Fonctionnalité ingénieuse
          Des outils innovants tels que la
          correction des mouvements,
          l’aide au positionnement et
          les processus de réalisation
          de clichés guidés permettent
          d’obtenir des résultats optimaux
          tout en assurant une utilisation
          plus simple et intuitive.

        • Connecté avec ioDent®
          Accédez aux données dont
          vous avez besoin, à tout
          moment et où que vous
          soyez. Consultation en
          ligne des images, données
          des patients, sauvegarde
          des données ou accès
          au tableau de bord des
          services : restez connecté !

        • Une IA révolutionnaire
          pour votre cabinet

          Des outils d’IA innovants
          vous assistent lors des
          diagnostics et de l’analyse
          des images, fournissent de
          précieuses connaissances
          et font passer la prise en
          charge des patients au
          niveau supérieur.

          Téléchargements

          Téléchargements


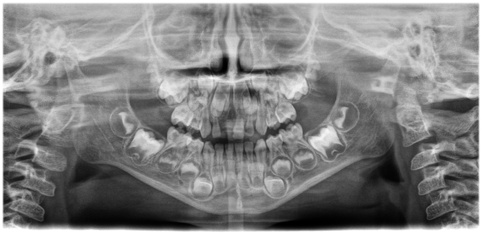
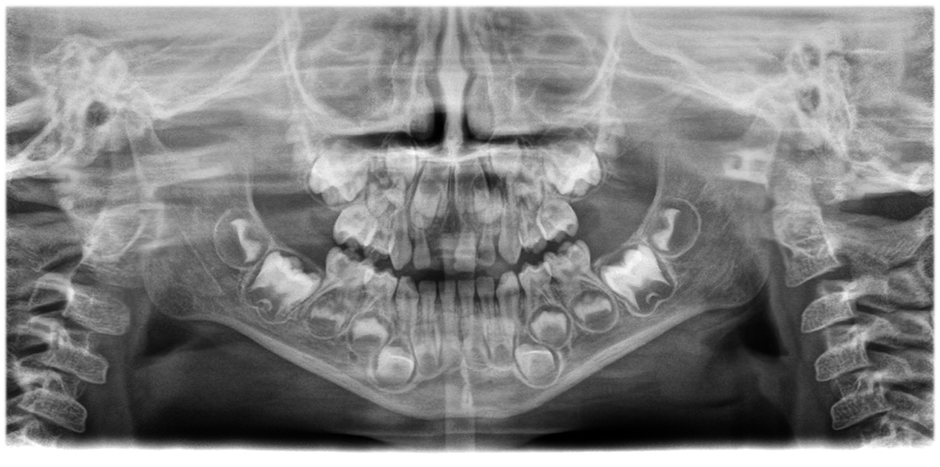
        • Images panoramiques d'une clarté et d'une définition exceptionnelles
          avec le système innovant d'autofocus à 21 couches intégré de manière transparente à une correction du positionnement du patient.
          Déplacez le curseur pour voir la différence (image de gauche sans, image de droite avec autofocus et correction de la position du patient)

          Téléchargements

          Téléchargements