Rapports et études

Préparation piézoélectrique du site implantaire

Les prothèses fixes sur implants améliorent la mastication et la qualité de vie.

Professeur José Luis Calvo Guirado

Préparation piézoélectrique du site implantaire pour une prothèse maxillaire CAD/CAM

Chez les patients édentés, les prothèses fixes sur implants améliorent la mastication et la qualité de vie. Du fait d’une résorption et d’une hyper-pneumatisation des sinus, un patient présentait une faible hauteur osseuse dans la zone maxillaire postérieure. Les sites implantaires ont été préparés à l’aide d’un dispositif piézoélectrique et d’une nouvelle gamme d’inserts dédiés. Deux implants de 10mm et six implants de 4mm ont été posés pour retenir une prothèse CAD/CAM fixe soutenue par une barre.

La préparation des sites implantaires est traditionnellement effectuée à l'aide d’instruments rotatifs. Les moteurs d’implantologie les plus récents garantissent une découpe bien contrôlée à faible vitesse et à des valeurs de couple définies. Cependant, dans les situations anatomiques difficiles, par exemple en présence d’un faible volume osseux
et d’une fine épaisseur d’os cortical, ou encore lorsque l’intervention s’effectue à proximité de la membrane de Schneider, la préparation par rotation ne procure qu’une sensibilité limitée à l'opérateur. De plus, il est difficile avec les instruments rotatifs de corriger l’axe initial d’un site implantaire.

En revanche, le recours à des dispositifs piézoélectriques pour la préparation s’est révélé particulièrement doux pour les tissus durs et les tissus mous (1). Cette forme de préparation offre des sensations tactiles supérieures et réduit la pression, pour un contrôle maximal des procédures chirurgicales (2). La préparation du site implantaire par ultrasons a été préconisée dans les situations qui menacent les tissus osseux délicats et les tissus mous, par exemple dans le cas d’une élévation par voie interne du plancher du sinus maxillaire (3). À l’issue de la préparation piézoélectrique, on a également constaté un effet positif sur l’ostéointégration, qui se traduit par une transition plus précoce de la stabilité primaire à la stabilité secondaire de l'implant (4). Par ailleurs, dans une étude multicentrique incluant plus de 3500 implants, la préparation piézoélectrique a prouvé son efficacité dans un large éventail d'indications (5).

Étude de cas

Une patiente de 41 ans sans particularités systémiques a perdu toutes ses dents à la suite d’une parodontite et de caries. Elle a finalement dû porter un appareil complet s'appuyant sur la muqueuse des deux mâchoires, s'accompagnant d’importantes difficultés masticatoires dues au mauvais ajustement des prothèses. La patiente a décidé de se faire poser, dans la mandibule, des implants destinés à supporter une prothèse CAD/CAM fixe retenue par une barre.

Trois ans après, le moment était venu pour elle de se doter d’une prothèse maxillaire du même type. Sur la base de la planification CBCT, l’élévation sinusale a été évitée grâce à la pose d'implants courts, et un gabarit chirurgical a été utilisé pour transférer les positions planifiées sur la crête alvéolaire (Figures 1 et 2).

Pose d'implants
Fig. 1 : Vue préopératoire de la crête maxillaire, où les positions implantaires ont été marquées à l'aide d’un gabarit chirurgical en plastique. Compte tenu de la faible hauteur de la crête, des implants postérieurs très courts sont planifiés.
Pose d'implants
Fig. 2 : Une fois l'incision pratiquée à mi-hauteur de crête et le lambeau muco-périosté préparé, les positions implantaires sont transférées sur l’os.

Un insert piézoélectrique diamanté de forme effilée (Piezomed I1) a été utilisé pour marquer les positions implantaires et effectuer la préparation pilote (Fig. 3). On a pris soin de travailler selon un mouvement ascendant et descendant, à puissance réduite, irrigation complète et basse pression (moins de 300g). Ensuite, un insert pilote (Piezomed I2A/I2P) a été utilisé pour l’agrandissement initial de 2mm du diamètre des sites implantaires (Fig. 4), suivi d’un insert de 3mm (Fig. 5).

Insert marqueur à ultrasons Piezomed
Fig. 3 : L’insert marqueur à ultrasons Piezomed I1 sert à effectuer la préparation selon un mouvement ascendant et descendant, parallèlement à l’axe le plus long de la partie active.
Moteur d'implantologie (Implantmed)
Fig. 5 : Le diamètre définitif est obtenu à l'aide des inserts Piezomed I3A/I3P. Pour les implants de 10mm aux régions 11 et 21, les sites sont finalisés à l'aide d’une fraise de 3,5mm dans un moteur d'implantologie (Implantmed).
Insert Piezomed I2A/I2P
Fig. 4 : L’étape suivante est l'agrandissement pilote à l'aide des inserts Piezomed I2A/I2P, qui sont utilisés selon un mouvement horizontal rotatif.

En cas de densité osseuse élevée, il convient d’utiliser toute la gamme d’inserts, y compris les inserts intermédiaires Piezomed Z25P et Z35P afin d’élargir
les ostéotomies avant l’étape d'agrandissement suivante.

Ces inserts sont également indiqués pour les préparations à proximité de la membrane sinusienne dans le cadre
de procédures d’élévation par voie interne ou lorsque
la hauteur osseuse résiduelle est inférieure à 4mm.

Dans le cas présent, les inserts Z25P et Z35P n’ont pas été utilisés car l’os postérieur était relativement mou
et l’intervention sur celui-ci a été aisée avec le I3A/I3P.

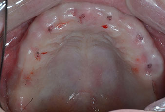
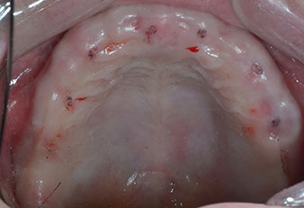
Compte tenu de la dureté relative de l’os (D2) à cet endroit, les sites recevant des implants de 10mm de long aux régions 11 et 21 ont été finalisés à l'aide d’une fraise de 4mm de diamètre, associée à un contre-angle chirurgical W&H WS-75 L, au moteur d'implantologie Implantmed de W&H ainsi qu’au module Osstell ISQ de W&H. En revanche, en raison de leur structure osseuse molle, les sites postérieurs ont été préparés en vue de l’obtention d’un diamètre final de 3mm à l'aide de l’insert Piezomed I3P. Les implants ont enfin été posés par voie transgingivale (Flap Less) pour obtenir l’ostéointégration dans un délai de trois mois (Figures 6-10). L'appareil existant a été maintenu sur quatre implants provisoires (Fig. 8).

Implant de 10mm au niveau du tissu
Fig. 6 : Un implant de 10mm au niveau du tissu est placé en région 21. L’implant en région 11 et les trois implants postérieurs gauches de 4mm sont déjà en place.
Stabilité des implants
Fig. 7 : La stabilité de l’implant est déterminée à l’aide d’un SmartPeg et du module W&H Osstell ISQ. Toutes les valeurs sont situées dans la plage moyenne à haute, avec une valeur minimale de ISQ 69.
Implants provisoires
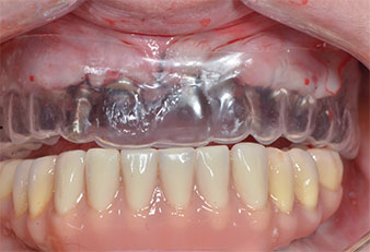
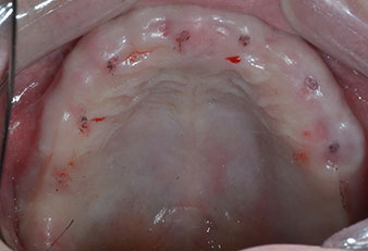
Fig. 8 : Après la fixation des façonneurs gingivaux, des implants provisoires sont posés en régions 18, 12, 22 et 28.
Gabarit en plastique
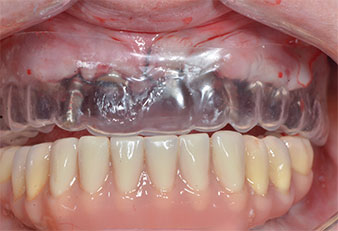
Fig. 9 : Un gabarit en plastique révèle qu'il y a suffisamment de place pour que la prothèse existante serve de prothèse temporaire fixée sur les implants provisoires.
Radio panoramique post-opératoire
Fig. 10 : La radio panoramique post-opératoire montre que tous les implants sont à leur place, y compris les implants provisoires tubérositaires.

Discussion

On constate que la préparation piézoélectrique favorise la cicatrisation osseuse (6, 7), ce qui améliore la formation osseuse et la densité osseuse à proximité de la surface de l'implant (8). Comme le démontre un essai contrôlé randomisé, cela peut accélérer le renforcement de la stabilité de l’implant secondaire, en comparaison avec les sites préparés au moyen d’instruments rotatifs (4).

Un autre aspect important de la préparation piézoélectrique est l’excellente sensibilité qu’elle procure à l’opérateur en présence de volumes osseux restreints, comme chez la patiente décrite ici. Les fines épaisseurs d’os cortical, que l’on rencontre souvent dans les sites antérieurs, sont plus faciles à détecter par les systèmes piézoélectriques, donnant lieu à une préparation moins invasive. De plus, le système de refroidissement du Piezomed permet une irrigation efficace du site chirurgical. Ceci évite la production de chaleur, et offre une efficacité maximale. Enfin, la préparation piézoélectrique n’induit aucune macro-vibration, ce qui rend la procédure plus confortable pour les patients (9).

La procédure de préparation combinée choisie, avec finalisation par instrument rotatif des sites implantaires antérieurs dans une structure osseuse dure, s’est avérée efficace, et la préparation piézoélectrique a été optimale pour l’os mou postérieur avec une faible hauteur osseuse résiduelle.

Prof. Dr. José Luis Calvo Guirado
Photos: © Calvo Guirado

Professeur José Luis Calvo Guirado D.D.S,
PhD/Eu, PhD, M.Sc.
Murcie,
Espagne


Références

  1. Vercellotti T. Essentials in Piezosurgery: Clinical Advantages in Dentistry: Quintessence Publishing, 2009.
  2. Schlee M, Steigmann M, Bratu E, Garg AK. Piezosurgery: basics and possibilities. Implant dentistry 2006;15:334-340.
  3. Pellegrino G, Taraschi V, Vercellotti T, Ben-Nissan B, Marchetti C. Three-Dimensional Implant Positioning with a Piezosurgery Implant Site Preparation Technique and an Intraoral Surgical Navigation System: Case Report. The International journal of oral & maxillofacial implants 2017;32:e163-e165.
  4. Stacchi C, Vercellotti T, Torelli L, Furlan F, Di Lenarda R. Changes in implant stability using different site preparation techniques: twist drills versus piezosurgery. A single-blinded, randomized, controlled clinical trial. Clinical implant dentistry and related research 2013;15:188-197.
  5. Vercellotti T, Stacchi C, Russo C, Rebaudi A, Vincenzi G, Pratella U, et al. Ultrasonic implant site preparation using piezosurgery: a multicenter case series study analyzing 3,579 implants with a 1- to 3-year follow-up. The International journal of periodontics & restorative dentistry 2014;34:11-18.
  6. Chiriac G, Herten M, Schwarz F, Rothamel D, Becker J. Autogenous bone chips: influence of a new piezoelectric device (Piezosurgery) on chip morphology, cell viability and differentiation. J Clin Periodontol 2005;32:994-999.
  7. Preti G, Martinasso G, Peirone B, Navone R, Manzella C, Muzio G, et al. Cytokines and growth factors involved in the osseointegration of oral titanium implants positioned using piezoelectric bone surgery versus a drill technique: a pilot study in minipigs. J Periodontol 2007;78:716-722.
  8. Di Alberti L, Donnini F, Di Alberti C, Camerino M. A comparative study of bone densitometry during osseointegration: piezoelectric surgery versus rotary protocols. Quintessence Int 2010;41:639-644.
  9. Sohn DS, Ahn MR, Lee WH, Yeo DS, Lim SY. Piezoelectric osteotomy for intraoral harvesting of bone blocks. The International journal of periodontics & restorative dentistry 2007;27:127-131.

Commentaires