Berichte & Studien

Piezochirurgische Implantatlager-Aufbereitung

Implantatgetragene festsitzende Prothesen verbessern Kaufunktion und Lebensqualität.

Prof. Dr. Dr. José Luis Calvo Guirado

Piezochirurgische Implantatlager-Aufbereitung für eine CAD/CAM-Oberkieferprothese

Implantatgetragene festsitzende Prothesen verbessern bei zahnlosen Patienten Kaufunktion und Lebensqualität. Infolge von Knochenresorption und umfassender Pneumatisation der Nebenhöhlen verfügte eine Patientin nur über eine minimale Knochenhöhe im Seitenzahnbereich des Oberkiefers. Die Implantatlager wurden mit einem piezochirurgischen Gerät und einem neuen Set spezieller Instrumente präpariert. Es wurden zwei 10-mm und sechs 4-mm-Implantate inseriert, die zur Abstützung einer steggetragenen und verschraubten CAD/CAM-Versorgung dienten.

Die Präparation von Implantatlagern wird traditionell mit rotierenden Instrumenten durchgeführt. Moderne Implantatmotoren gewährleisten kontrolliertes Schneiden bei niedriger Geschwindigkeit und konstantem Drehmoment. In schwierigen anatomischen Situationen, zum Beispiel bei minimalem Knochenvolumen und einer dünnen kortikalen Knochenschicht oder bei Präparation der Schneider‘schen Membran, erlauben rotierende Instrumente jedoch kein optimales taktiles Gefühl. Zudem kann eine initial gewählte Implantatlagerachse mit rotierenden Instrumenten nur schwer korrigiert werden.

Im Gegensatz dazu lassen sich Hart- und Weichgewebe mit piezochirurgischen Geräten nachweislich besonders sanft präparieren (1). Dies ermöglicht eine Präparation mit besserem taktilem Gefühl und minimalem Druck für maximale Kontrolle chirurgischer Eingriffe (2). Die Implantatlageraufbereitung mit Ultraschall wird in Situationen empfohlen, in denen empfindliche Knochen- und Weichgewebe betroffen sind, zum Beispiel bei einer internen Sinusbodenaugmentation (3). Nach piezochirurgischer Präparation wurde zudem ein günstiger Effekt auf die Osseointegration erkannt, der zu einem früheren Übergang von der primären zur sekundären Implantatstabilität führt (4). Zudem bestätigte eine multizentrische Studie die erfolgreiche piezochirurgische Präparation in einem breiten Indikationsspektrum bei mehr als 3.500 Implantaten (5).

Patientenbeispiel

Eine 41-jährige Patientin ohne systemische Besonderheiten hatte aufgrund von Parodontitis und Karies alle Zähne verloren. Zuletzt musste sie im Ober- und Unterkiefer schleimhautgetragene Totalprothesen tragen, was wegen deren schlechter Passung große Probleme beim Kauen verursachte. Die Patientin entschied sich, Implantate für eine steggetragene CAD/CAM-Prothese im Unterkiefer setzen zu lassen.

Drei Jahre später war es Zeit für eine gleichartige Oberkieferprothese. Basierend auf der DVT-Planung wurde durch Verwendung kurzer Implantate eine Sinusaugmentation vermieden und die geplanten Implantatpositionen wurden mit einer Bohrschablone auf den Kieferkamm übertragen (Abb. 1 und 2).

Implantatpositionen
Abb. 1: Präoperative Ansicht des Kieferkamms, die Implantatpositionen wurden mithilfe einer Kunststoff-Bohrschablone markiert. Wegen des niedrigen Kieferkamms sind im Seitenzahnbereich sehr kurze Implantate geplant.
Implantatpositionen
Abb. 2: Nach dem Kieferkammschnitt und der Präparation der Mukoperiostlappen werden die Implantatpositionen auf den Knochen übertragen.

Ein flammenförmiges, diamantiertes piezochirurgisches Instrument (Piezomed I1) wurde verwendet, um die Implantatpositionen zu markieren und die Pilotpräparationen durchzuführen (Abb. 3). Dabei wurde darauf geachtet, eine Auf- und Abbewegung mit reduzierter Leistung, voller Spülung und niedrigem Druck (unter 300 g) anzuwenden. Als Nächstes wurde ein Pilotinstrument (Piezomed I2A/I2P) zur initialen Erweiterung der Implantatlager auf einen Durchmesser von 2 mm verwendet (Abb. 4), gefolgt von einem 3-mm-Instrument (Abb. 5).

Ultraschallmarkerinstrument Piezomed
Abb. 3: Die Präparation mit dem Ultraschallmarkerinstrument Piezomed I1 erfolgt mit einer Auf- und Abbewegung, parallel zur Längsachse des Arbeitsteils.
Implantatmotor (Implantmed)
Abb. 5: Der abschließende Durchmesser wird mit den Instrumenten Piezomed I3A/I3P erreicht. Die Implantatlager für die 10-mm-Implantate an Position 11 und 21 werden mit einem Implantatmotor (Implantmed) mit einem 3,5-mm-Spiralbohrer fertiggestellt.
Chirurgisches Instrument Piezomed
Abb. 4: Der nächste Schritt ist die initiale Erweiterung mit den Instrumenten Piezomed I2A/I2P, die in einer horizontalen Drehbewegung verwendet werden.

Bei dichtem Knochen sollte das gesamte Set, einschließlich der Zwischeninstrumente Piezomed Z25P und Z35P verwendet werden, um die Osteotomien vor dem nächsten Schritt zu erweitern.

Diese Instrumente sind auch für die Aufbereitung bei interner Sinusbodenaugmentation in der Nähe der Sinusmembran indiziert oder wenn weniger als 4 mm Restknochenhöhe verbleibt.

Im vorliegenden Fall wurden die Instrumente Z25P und Z35P wegen des relativ weichen posterioren Knochens nicht verwendet, der problemlos mit dem I3A/I3P bearbeitet werden konnte.

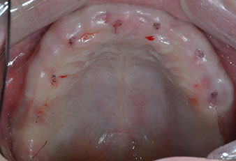
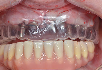
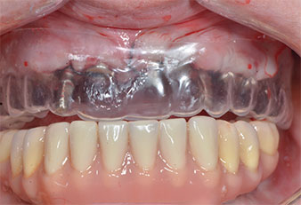
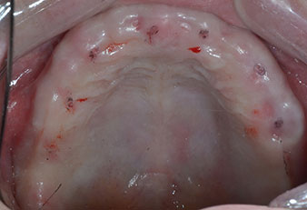
Wegen des relativ harten Knochens (D2) an den Positionen 11 und 21 wurden die 10 mm langen Implantatlager in diesem Bereich abschließend mit einem 4-mm-Spiralbohrer, dem chirurgischen Winkelstück WS-75 L von W&H und dem W&H Implantmed Implantologiemotor in Verbindung mit dem optionalen W&H Osstell ISQ module präpariert. Im Gegensatz dazu wurde der weiche Knochen der Implantatlager im Seitenzahnbereich mit dem Piezomed I3P auf den abschließenden Durchmesser von 3 mm erweitert. Die Implantate wurden dann transgingival eingesetzt, die Einheildauer betrug drei Monate (Abb. 6-10). Die vorhandene Prothese wurde auf vier provisorischen Implantaten abgestützt (Abb. 8).

10-mm-Tissue-Level-Implantat
Abb. 6: Ein 10-mm-Tissue-Level-Implantat wird an Position 21 platziert. Das Implantat an Position 11 und die drei linken posterioren 4-mm-Implantate wurden bereits eingesetzt.
Implantatstabilität
Abb. 7: Die Implantatstabilität wird mit einem SmartPeg und dem W&H Osstell ISQ module ermittelt. Alle Werte befinden sich im mittleren bis hohen Bereich, mit einem Mindestwert von 69.
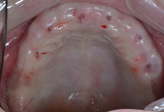
provisorische Implantate
Abb. 8: Nach Befestigung der Gingivaformer werden an den Positionen 18, 12, 22 und 28 provisorische Implantate eingesetzt.
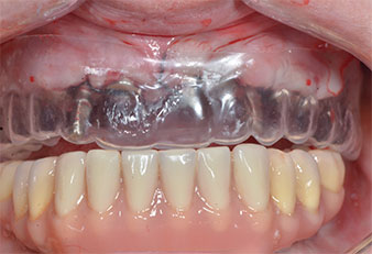
Kunststoffschablone
Abb. 9: Eine Kunststoffschablone zeigt, dass die Platzverhältnisse ausreichen, um die vorhandene Prothese als Provisorium auf den temporären Implantaten zu verwenden.
Postoperative Panoramaschichtaufnahme
Abb. 10: Die postoperative Panoramaschichtaufnahme zeigt alle Implantate an den richtigen Positionen, einschließlich der temporären Implantate in der Pterygoid-Region.

Diskussion

Piezochirurgische Präparation fördert nachweislich die Knochenheilung (6, 7), was zu einer verbesserten Knochenbildung und höheren Knochendichte in der Nähe der Implantatoberfläche führt (8). Wie in einer randomisierten kontrollierten Studie gezeigt, kann dies im Vergleich zu rotierender Implantatlageraufbereitung zu einer früheren sekundären Implantatstabilität führen (4).

Ein weiterer wichtiger Aspekt piezochirurgischer Präparation ist das ausgezeichnete taktile Gefühl bei geringem Knochenvolumen, wie bei der vorliegenden Patientin. Feine kortikale Knochenstrukturen, wie sie häufig im Frontzahnbereich vorkommen, sind mit piezochirurgischen Systemen einfacher zu ertasten (bessere Taktilität), was zu einer weniger invasiven Präparation führt. Zudem ermöglicht das Kühlsystem des Piezomed eine effektive Spülung des Operationsbereichs. Dadurch wird eine Hitzeentwicklung verhindert und maximale Effektivität erreicht. Nicht zuletzt treten bei der piezochirurgischen Präparation keine Makrovibrationen auf, was den Eingriff für Patienten angenehmer macht (9).

Das gewählte kombinierte Präparationsverfahren, mit rotierender definitiver Präparation der anterioren Implantatlager in hartem Knochen erwies sich als effektiv, während die piezochirurgische Präparation für den posterioren weichen Knochen geringer Höhe optimal geeignet war.

Prof. Dr. Dr. José Luis Calvo Guirado
Fotos: © Calvo Guirado

Professor Dr. Dr. José Luis Calvo Guirado
D.D.S, PhD/Eu, PhD, M.Sc.
Murcia, Spanien


Literatur

  1. Vercellotti T. Essentials in Piezosurgery: Clinical Advantages in Dentistry: Quintessence Publishing, 2009.
  2. Schlee M, Steigmann M, Bratu E, Garg AK. Piezosurgery: basics and possibilities. Implant dentistry 2006;15:334-340.
  3. Pellegrino G, Taraschi V, Vercellotti T, Ben-Nissan B, Marchetti C. Three-Dimensional Implant Positioning with a Piezosurgery Implant Site Preparation Technique and an Intraoral Surgical Navigation System: Case Report. The International journal of oral & maxillofacial implants 2017;32:e163-e165.
  4. Stacchi C, Vercellotti T, Torelli L, Furlan F, Di Lenarda R. Changes in implant stability using different site preparation techniques: twist drills versus piezosurgery. A single-blinded, randomized, controlled clinical trial. Clinical implant dentistry and related research 2013;15:188-197.
  5. Vercellotti T, Stacchi C, Russo C, Rebaudi A, Vincenzi G, Pratella U, et al. Ultrasonic implant site preparation using piezosurgery: a multicenter case series study analyzing 3,579 implants with a 1- to 3-year follow-up. The International journal of periodontics & restorative dentistry 2014;34:11-18.
  6. Chiriac G, Herten M, Schwarz F, Rothamel D, Becker J. Autogenous bone chips: influence of a new piezoelectric device (Piezosurgery) on chip morphology, cell viability and differentiation. J Clin Periodontol 2005;32:994-999.
  7. Preti G, Martinasso G, Peirone B, Navone R, Manzella C, Muzio G, et al. Cytokines and growth factors involved in the osseointegration of oral titanium implants positioned using piezoelectric bone surgery versus a drill technique: a pilot study in minipigs. J Periodontol 2007;78:716-722.
  8. Di Alberti L, Donnini F, Di Alberti C, Camerino M. A comparative study of bone densitometry during osseointegration: piezoelectric surgery versus rotary protocols. Quintessence Int 2010;41:639-644.
  9. Sohn DS, Ahn MR, Lee WH, Yeo DS, Lim SY. Piezoelectric osteotomy for intraoral harvesting of bone blocks. The International journal of periodontics & restorative dentistry 2007;27:127-131.

Kommentare