Rapports et études

Implants individuels pour bridge en oxyde de zirconium avec l'Implantmed

Étude de cas du Dr Karl-Ludwig Ackermann, Filderstadt, Germany

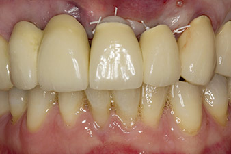
Un patient de 67 ans s'est présenté en consultation avec des couronnes jumelées à remplacer dans le maxillaire.
A l'issue de l'extraction des dents 21 et 22, il est prévu de poser des implants qui serviront de piliers au nouveau bridge. Les sites seront préparés à l'aide du nouveau moteur d'implantologie Implantmed de W&H et la stabilité mesurée avec le module intégré W&H Osstell ISQ.

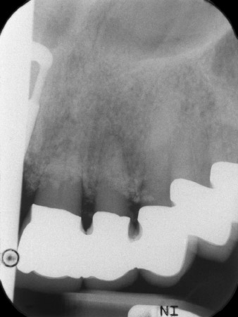
premières radios
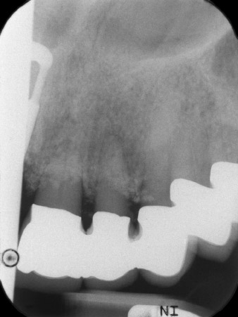
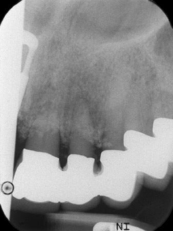
Fig. 1 : Les premières radios ont révélé une restauration par couronne jumelée à remplacer. Une fois la restauration retirée, les dents 21 et 22 ont involontairement été extraites en même temps.

Lorsque le patient s'est présenté pour la première fois, les dents 21, 22 et 23 avaient été restaurées il y a 19 ans à présent, par des couronnes jumelées collées sur les implants en position 12/11 à l'aide d'une attache
(cf. Fig. 2).

La radio a révélé une perte osseuse horizontale autour des dents 21 et 22 (Fig. 1). Lorsque la structure de couronne a été retirée, ces dents ont involontairement été extraites en même temps.

La dent 23 présentait une fracture coronaire horizontale et un matériau de reconstitution du moignon et de scellement des tenons a été utilisé à titre de restauration temporaire. L'objectif était de poser un bridge en oxyde de zirconium sur les implants existants aux positions 12 et 11 et de poser deux nouveaux implants aux positions 22 et 23.


Une fois la cicatrisation primaire obtenue, les tissus mous ont été formés à l'aide du bridge doublé à la base. Deux mois plus tard, la zone a été exposée au moyen d'une incision de la crête alvéolaire légèrement orientée côté palatin (Fig 2). Les dimensions de l'os alvéolaire se sont avérées suffisantes en position 22. Les Figures 2 et 4 illustrent la préparation du lit implantaire, le taraudage et la pose de l'implant à l'aide de l'Implantmed.

Mesure de la stabilité de l'implant

Le nouveau moteur d'implantologie a été utilisé avec les contre-angles chirurgicaux de W&H correspondants.

le forage pilote est effectué avec le nouvel Implantmed et le contre-angle WS-56 L
Fig. 2 : Deux mois plus tard, le forage pilote est effectué avec le nouvel Implantmed et le contre-angle WS-56 L (programme P1, ratio 1:1). Le refroidissement est effectué au moyen de la buse de pulvérisation située à gauche (pour les utilisateurs droitiers).
Taraudage avec le contre-angle WS-75 L
Fig. 3 : Taraudage avec le contre-angle WS-75 L suivant un ratio de 20:1 (programme P4). Le couple élevé de l'Implantmed, son système de serrage hexagonal pour une transmission de puissance fiable et l'inversion automatique du sens de rotation lorsque la résistance est trop élevée s'avèrent être des caractéristiques particulièrement utiles ici.
Pose motorisée de l'implant avec le contre-angle
Fig. 4 : Pose motorisée de l'implant avec le contre-angle
WS-75 L suivant un ratio de 20:1 (programme P5).

Afin de compenser la perte osseuse parodontale et d'obtenir un résultat esthétiquement satisfaisant, la pose de l'implant a été associée à une régénération osseuse guidée (GBR) avec matériau de substitution xénogénique et membrane collagène. (Fig. 5 et 6).

matériau de substitution osseuse xénogénique
Fig. 5 : Pour que le tissu péri-implantaire soit de la meilleure qualité possible, le site a subi une augmentation supplémentaire avec matériau de substitution osseuse xénogénique et membrane collagène dans le cadre d'une régénération osseuse guidée.
situation après pose de l'implant
Fig. 6 : La situation après pose de l'implant et augmentation : L'ancien bridge a été remis en place en tant que restauration temporaire le temps de la cicatrisation, avec un pontique librement fraisé à la position d'implant 22. La restauration définitive prévue sera un bridge en oxyde de zirconium allant de la position 12 à l'implant qui reste à poser en position 23.

Dans le cadre de l'exposition en vue de la pose de l'implant en position 23, la stabilité de l'implant a été mesurée à l'aide du module W&H Osstell ISQ (quotient de stabilité de l'implant) intégré au dispositif quatre mois plus tard.

L'opération a consisté à visser la tige de mesure correspondante (SmartPeg) au système d'implant et à positionner la sonde à une distance de 3 à 5 mm de l'avant de la tige de mesure (Fig. 7).

module Osstell ISQ
Fig. 7 : Quatre mois à peine plus tard, la stabilité de l'implant 22 a été mesurée à l'aide du module W&H Osstell ISQ pendant l'exposition (valeurs mesurées : mésiale 68, vestibulaire 64 = stabilité moyenne).

La Figure 8 montre l'Implantmed de W&H avec tous ses accessoires mais sans le chariot mobile, également disponible.

Implantmed
Fig. 8 : Le nouvel Implantmed est disponible avec, en option, la commande au pied sans fil et le module W&H Osstell ISQ à fixer sur l'unit.

Du matériel très performant, sans compromis

Plusieurs facteurs doivent être pris en compte lorsqu'on pratique des traitements implantaires dans la région maxillaire antérieure où le critère esthétique est particulièrement important (1).

Ces facteurs sont la conception et le matériau de la restauration (2) ainsi que la quantité et la qualité du tissu qui entoure les implants. Il existe également des facteurs qui influent sur la cicatrisation, la phase temporaire (3) et le type de fixation (4).

Pour lever toutes les incertitudes qui pourraient apparaître, les dentistes et les chirurgiens doivent être intransigeants en ce qui concerne le matériel.

En plus du système implantaire et prothétique, il faut également s'intéresser au moteur d'implantologie et aux contre-angles chirurgicaux correspondants.

Dans cette étude de cas, le problème a trouvé sa solution avec la pose d'un implant en position 22 lors de la première intervention et d'un implant supplémentaire à l'endroit de la dent extraite 23 à un stade ultérieur du traitement. Le second implant a été posé une fois l'ostéointégration complète de l'implant 22 réalisée. Après retraitement, le bridge a été remis en place jusqu'à la cicatrisation de l'implant 23 en place et la formation complète de la restauration définitive. Cette approche par étapes a pour avantages que les implants tolèrent mieux les charges et les tissus durs et mous matures (5).

« Un moteur d'implantologie à la conception parfaitement étudiée et très réussie »

La préparation du lit implantaire, le taraudage et la pose de l'implant ont été réalisés grâce au nouveau moteur d'implantologie Implantmed, dont la conception est, selon l'auteur, parfaitement étudiée et très réussie. Le fabricant a véritablement été plus loin dans le développement des différentes fonctions techniques dans ce dispositif. Par exemple, le système très élaboré de navigation par menu à l'aide de l'écran tactile est particulièrement pratique. Il est facile de sélectionner toutes les fonctions et on peut les ajuster très simplement à chaque système d'implant et à ses préférences personnelles. Dans les grands cabinets ou à l'hôpital, il peut être personnalisé pour six utilisateurs au maximum.

Le nouvel Implantmed s'intègre à la perfection dans la pratique de l'implantologie grâce à ses dimensions et à sa conception ergonomique - par exemple les plateaux porte-instruments, très pratiques, la commande au pied sans fil et la solution astucieuse d'alimentation en liquide réfrigérant. Son design est également très attractif (Fig. 8).

Dans cette étude de cas, nous avons également utilisé le module W&H Osstell ISQ en option (Fig. 7). Comme l'implant était masqué pendant les soins, cela nous a permis de savoir avec certitude à quel moment la procédure était terminée et réussie (implant 22). Qu'une mise en charge immédiate ou précoce soit prévue, le module, en combinaison avec le couple enregistré, sert à vérifier la stabilité primaire requise. Toutes les données peuvent être sauvegardées sur la clé USB pour chaque session et chaque implant. Ainsi, non seulement les exigences cliniques mais aussi légales sont remplies de manière exemplaire.

Dr Ackermann
Dr Karl Ludwig Ackermann

Plus d'info

Les avantages de l'Implantmed

Interview du Dr Ackermann


Photos : © Ackermann/Kirsch/Neuendorff


Références

  1. Dawson A, Chen ST. The SAC Classification in Implant Dentistry. Berlin: Quintessence Publishing Co., 2009.
  2. Martin WC, Pollini A, Morton D. The influence of restorative procedures on esthetic outcomes in implant dentistry: a systematic review. Int J Oral Maxillofac Implants 2014;29 Suppl:142-154.
  3. Zuhr O, Fickl S, Wachtel H, Bolz W, Hurzeler M. Die Versorgung der Extraktionsalveole aus prothetischer Sicht. Implantologie 2006;14:339-353.
  4. Krennmair G, Seemann R, Weinlander M, Wegscheider W, Piehslinger E. Implant-prosthodontic rehabilitation of anterior partial edentulism: a clinical review. Int J Oral Maxillofac Implants 2011;26:1043-1050.
  5. Buser D, Martin W, Belser UC. Optimizing esthetics for implant restorations in the anterior maxilla: anatomic and surgical considerations. Int J Oral Maxillofac Implants 2004;19 Suppl:43-61.

Commentaires