Informes & Estudios

Paciente de trasplante con hiperplasia gingival*

© Dr G. Schmalz y Dr D. Ziebolz MSc
Fotos: © Dr G. Schmalz y Dr D. Ziebolz MSc
© Dr G. Schmalz y Dr D. Ziebolz MSc

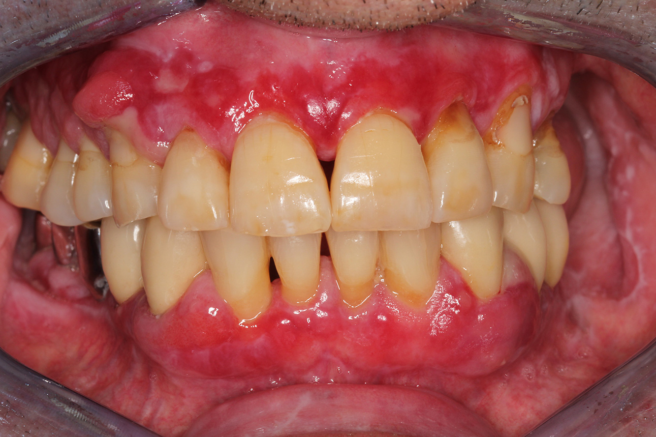
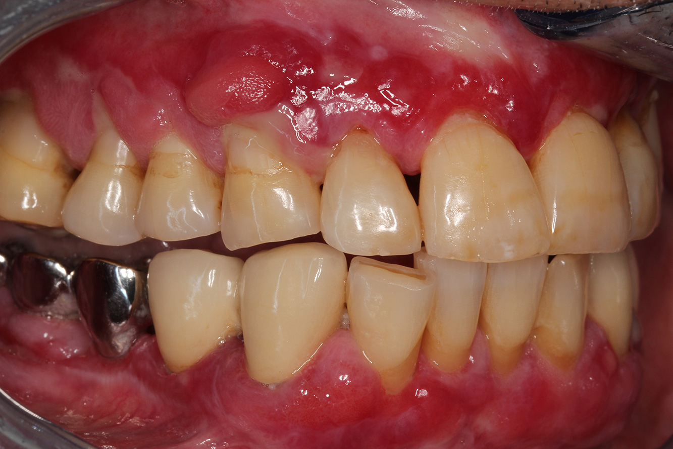
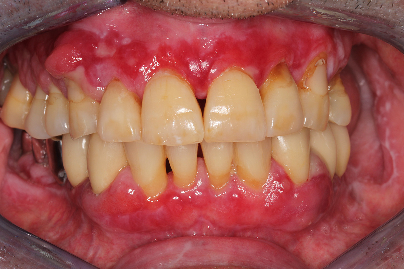
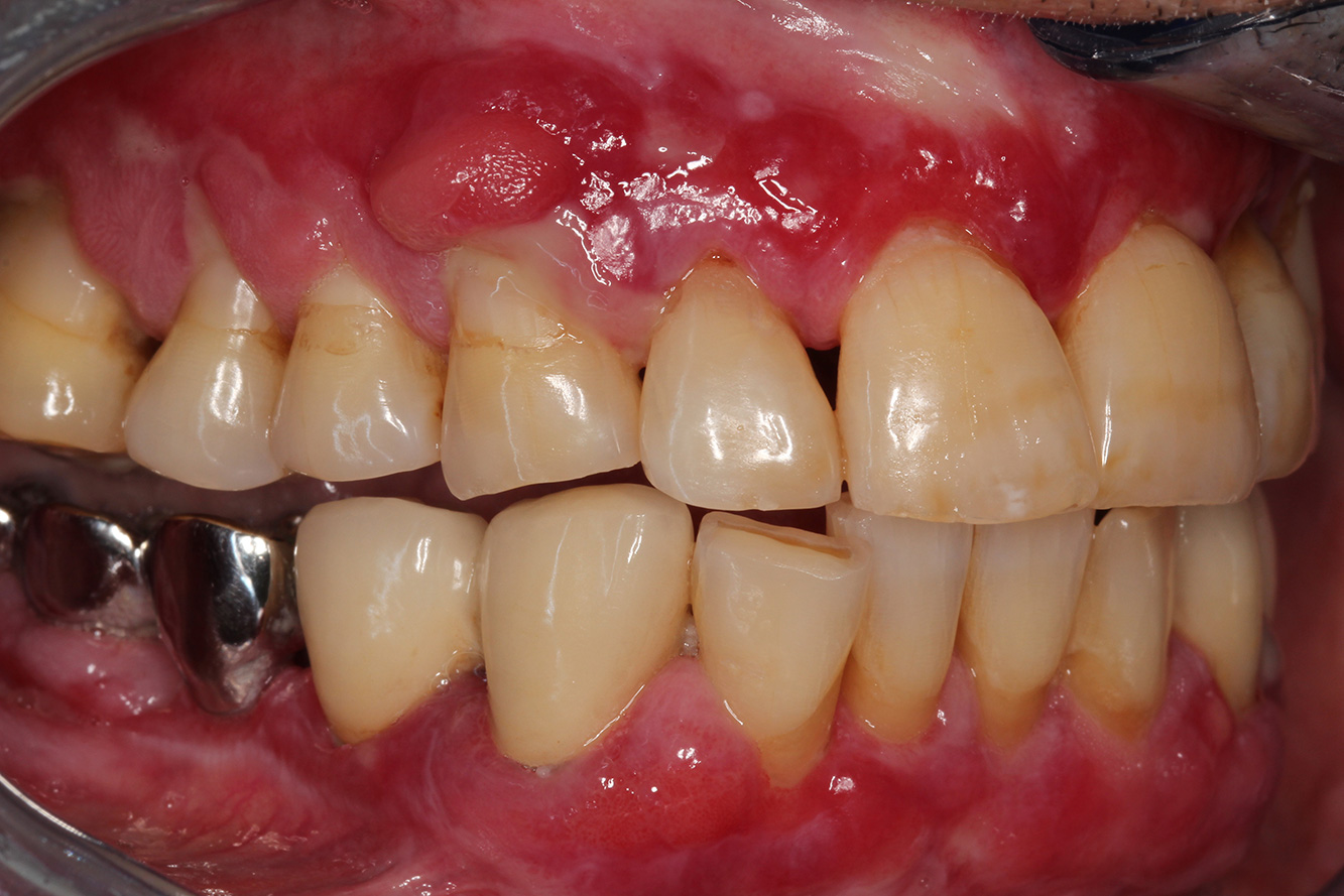
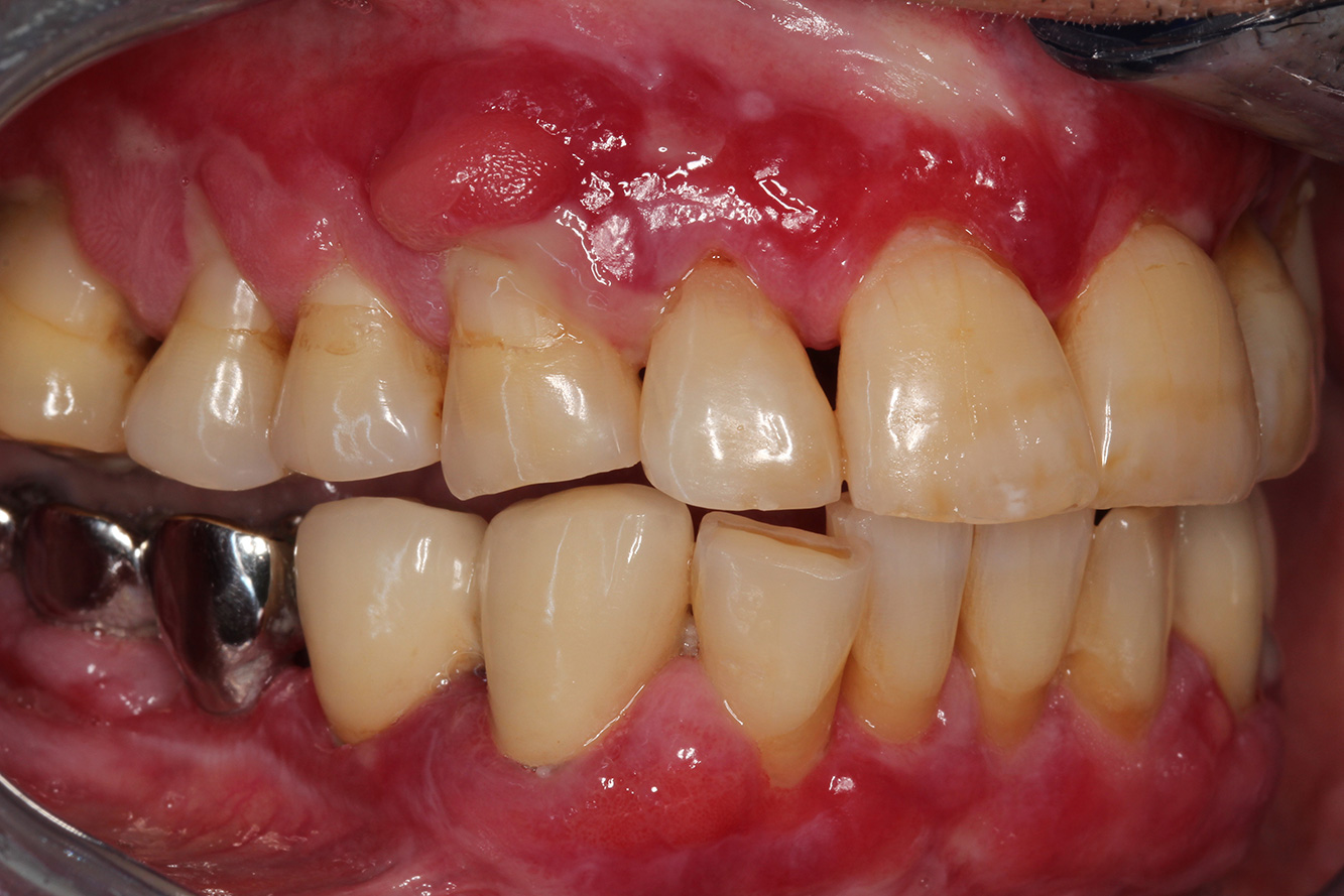
Se presenta un paciente de 71 años con trasplante de riñón e hipertensión (presión arterial alta). Debido a su historia médica, es necesario el tratamiento continuo con ciclosporina para suprimir el sistema inmunitario y amlopidina para bajar la presión arterial. Además, el paciente relata encías sensibles y sangrantes. Desde el punto de vista de la salud oral, hay dientes restaurados con ocho piezas faltantes, hiperplasia gingival pronunciada, periodontitis en fase II, de grado B con bolsas activas y una caries inicial en la pieza 22. En la evaluación del riesgo de caries se ha establecido un riesgo de caries medio (API 60). Para la sesión de profilaxis se hacen las siguientes recomendaciones.

Según Lang y Tonetti
Según Lang y Tonetti
ParoStatus®.de
ParoStatus®.de

Con base en la historia médica, se detecta un riesgo de complicaciones importante. Debido al trasplante de riñón, el paciente está inmunodeprimido (ciclosporina), también tiene el sistema inmunitario debilitado y necesita profilaxis para infecciones (recomendación: 2 g de amoxicilina como antibiótico 1 h antes de la sesión). Al mismo tiempo, el tratamiento continuo hace que el paciente tenga un mayor riesgo de enfermedad, dado que la hiperplasia gingival establecida está asociada a la medicación (20).

Se debe abordar la situación del paciente, especialmente cuando se trata de motivación y aprendizaje. La hiperplasia gingival dificulta la higiene oral en casa. La mayor susceptibilidad a las infecciones y el progreso y la nueva formación de hiperplasias (22) debe hablarse de igual a igual. Al mismo tiempo, deben explicarse las técnicas de higiene adecuadas según las necesidades individuales.

No hay recomendaciones específicas para la limpieza. Según el grado de conocimiento, debe hacerse el pulido rotativo de forma selectiva en zonas sensibles a la erosión. Precisamente porque la salud oral del paciente es frágil, es importante crear las mejores condiciones posibles para el mantenimiento en casa en la sesión de profilaxis, por ejemplo, creando superficies lisas, fluorizando para prevenir las caries y con enjuague bucal con clorhexidina para las inflamaciones activas.

Para el paciente se recomienda un intervalo de control posterior más corto, de tres a cuatro meses. Esto se debe principalmente a la hiperplasia gingival asociada a la medicación, la situación de cuidado difícil asociada y el alto riesgo de progresión de la periodontitis.


* Publicado por W&H con la autorización del Dr. G. Schmalz y el Prof. Dr. D. Ziebolz MSc.


Individual Prophy Cycle – El concepto de prevención orientado al paciente


Dr. G. Schmalz
Dr. G. Schmalz

Priv-Doz Dr Gerhard Schmalz is a senior physician at the Oral Health Medicine, Polyclinic for Dental Preservation and Periodontology, University Hospital Leipzig, Leipzig (Director: Prof Dr Rainer Haak).

Prof. Dr. D. Ziebolz MSc.
Prof. Dr. D. Ziebolz MSc.

Prof Dr Dirk Ziebolz MSc is a senior physician at the Polyclinic for Dental Preservation and Periodontology, Leipzig University Medical Centre (Director: Prof Dr R. Haak); with focus on interdisciplinary dental preservation and health services research.


Lista de referencias

  1. Chapple IL, Bouchard P, Cagetti MG, Campus G, Carra MC, Cocco F, et al. Interaction of lifestyle, behaviour or systemic diseases with dental caries and periodontal diseases: consensus report of group 2 of the joint EFP/ORCA workshop on the boundaries between caries and periodontal diseases. J Clin Periodontol. 2017;44 Suppl 18:S39-s51
  2. Schmalz G, Ziebolz D, Individualisierte Prävention-ein patientenorientiertes Präventionskonzept für die zahnärztliche Praxis, ZWR- Das deutsche Zahnärzteblatt 2020;129;147-156
  3. Fresmann S., So sieht eine durchdachtes Prophylaxekonzept aus; Dental Magazin: Deutscher Ärzteverlag GmbH; 2015
  4. Schmalz G, Ziebolz D, Individualisierte Prävention-fallorientierte Bedarfsprävention, ZWR- Das deutsche Zahnärzteblatt 2020;129;33-41
  5. Schmalz G, Ziebolz D, Individualisierte Prävention-Implikation allgemeingesundheitlicher Faktoren, ZWR- Das deutsche Zahnärzteblatt 2019;128;295-304
  6. Wang C, Zhao Y, Zheng S, Xue J, Zhou J, Tang Y, et al. Effect of enamel morphology on nanoscale adhesion forces of streptococcal bacteria: An AFM study. Scanning. 2015;37(5):313-21
  7. Pence SD, Chambers DA, van Tets IG, Wolf RC, Pfeiffer DC. Repetitive coronal polishing yields minimal enamel loss. Journal of dental hygiene: JDH. 2011;85(4):348-57.
  8. Kumar PS. From focal sepsis to periodontal medicine: a century of exploring the role of the oral microbiome in systemic disease. The Journal of Physiology. 2017;595(2):465-76
  9. Lalla E, Papapanou PN. Diabetes mellitus and periodontitis: a tale of two common interrelated diseases. Nature Reviews Endocrinology. 2011;7:738
  10. Miller WR, Moyers TB. Eight Stages in Learning Motivational Interviewing. Journal of Teaching in the Addictions. 2006;5(1):3-17
  11. Paradigmenwechsel im Biofilmmanagement [Internet]. Spitta GmbH. 2014. https://www.pnc-aktuell.de/prophylaxe/story/paradigmenwechsel-im-biofilmmanagement__3512.html
  12. Christensen RP, Bangerter VW. Determination of rpm, time, and load used in oral prophylaxis polishing in vivo. J Dent Res. 1984; 63(12):1376-1382
  13. Graumann SJ, Sensat ML, Stoltenberg JL. Air polishing: a review of current literature. Journal of dental hygiene : JDH. 2013;87(4):173-80
  14. Bordoloi P, Ramesh A, Thomas B, Bhandary R. Epidemiological survey of dentinal hypersensitivity after oral prophylaxis. J Cont Med A Dent. 2018;6(1)
  15. James P, Worthington HV, Parnell C, Harding M, Lamont T, Cheung A, et al. Chlorhexidine mouthrinse as an adjunctive treatment for gingival health. The Cochrane database of systematic reviews. 2017;3:Cd008676
  16. Sawai MA, Bhardwaj A, Jafri Z, Sultan N, Daing A. Tooth polishing: The current status. Journal of Indian Society of Periodontology. 2015;19(4):375-80
  17. Slayton RL, Urquhart O, Araujo MWB, Fontana M, Guzman-Armstrong S, Nascimento MM, et al. Evidence-based clinical practice guideline on nonrestorative treatments for carious lesions: A report from the American Dental Association. J Am Dent Assoc. 2018;149(10):837-49 e19
  18. Gleissner E. Erfolgreiche Prävention auch in schwierigen Fällen. Allgemeine Zahnheilkunde: ZMK-aktuell; 2019
  19. Derks J, Schaller D, Hakansson J, Wennstrom JL, Tomasi C, Berglundh T. Effectiveness of Implant Therapy Analyzed in a Swedish Population: Prevalence of Peri-implantitis. Journal of dental research 2016;95:43-49
  20. Newton JT, Asimakopoulou K. Managing oral hygiene as a risk factor for periodontal disease: a systematic review of psychological approaches to behaviour change for improved plaque control in periodontal management. Journal of Clinical Periodontology 2015;42:S36-S46
  21. Veitz-Keenan A, James R, Implant outcomes poorer in patients with history of periodontal disease, Evicénce-Based-Dentistry 18, 5 (2017)

comentarios