Informes & Estudios

Seethrough Max: Un salto adelante en el diagnóstico y la planificación del tratamiento

«Poder ver toda la información necesaria de un vistazo»: esta fue una de las razones por las que el Dr. en Odontología Mauro Amato, especialista en endodoncia residente en Basilea (Suiza), buscaba un nuevo dispositivo CBCT para su clínica dental. Con Seethrough Max de W&H, encontró una herramienta innovadora y transformadora. Gracias a las imágenes en 3D de alta resolución del dispositivo, ha mejorado notablemente su precisión diagnóstica y la planificación del tratamiento, sobre todo en casos complejos. En esta entrevista, el Dr. Amato explica cómo esta avanzada tecnología está mejorando su trabajo clínico diario.


Dr. en Odontología Mauro Amato
  • Basilea, Suiza
Dr. en Odontología Mauro Amato

Dr. Amato, como especialista en endodoncia, ¿por qué ha elegido el sistema CBCT Seethrough Max de W&H?

Dr. Amato: Especialmente en los casos de endodoncia más complejos, las imágenes 2D no proporcionan la profundidad de información necesaria. Las imágenes en 3D ofrecen una visión mucho más completa, que era la razón principal por la que buscaba un sistema CBCT con capacidades de obtención de imágenes de alta precisión. He tenido la oportunidad de colaborar con W&H, y juntos pretendemos aprovechar al máximo el potencial de Seethrough Max.

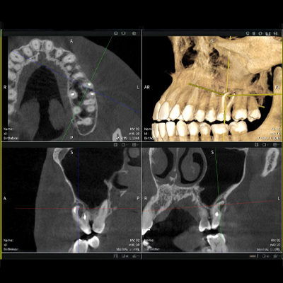
Una radiografía de mandíbula, sobre fondo negro.
La imagen 3D ofrece una vista completa: la exploración muestra una lesión apical en el diente 27 con una raíz muy larga y curvada.
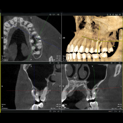
Una radiografía de mandíbula, sobre fondo negro.
Lesión apical en el diente 26 con un tratamiento de conducto.

En su opinión, ¿la obtención de imágenes en 3D con Seethrough Max mejora la precisión diagnóstica?

Dr. Amato: Desde luego. Especialmente en casos exigentes, es crucial poder visualizar el problema en tres dimensiones. Las imágenes de rayos X tienen una nitidez y un detalle excepcional, lo que permite hacer diagnósticos muy precisos y planificar el tratamiento con minuciosidad. Esto también mejora significativamente la comunicación con los pacientes, ya que puedo ilustrar claramente el problema y explicar el tratamiento propuesto.

El sistema CBCT de W&H se ha diseñado pensando en la comodidad tanto del paciente como del profesional. ¿Cuál ha sido su experiencia con la colocación de pacientes?

Dr. Amato: El proceso de colocación es excelente. Agradezco poder mirar directamente al paciente y mantener el contacto visual, lo que me ayuda a guiarle en la posición óptima para una exploración precisa. Para los pacientes más altos, basta con bajar el dispositivo y pedirles que se sienten. Tanto de pie como sentados, nunca he encontrado dificultades para colocar a los pacientes con este sistema.

Una auxiliar de odontología coloca a un paciente con un delantal de plomo delante del Seethrough Max en una clínica dental.
El posicionamiento cara a cara con Seethrough Max simplifica la interacción usuario-paciente
Un asistente dental ajusta el Seethrough Max mientras el paciente se agarra a las asas y se prepara para la obtención de imágenes.
Guiar al paciente a la posición óptima para una exploración precisa.

Además del hardware, Seethrough Max también ofrece software avanzado. ¿Cómo valoraría la facilidad de uso del software Seethrough Studio?

Dr. Amato: Creo que el software es muy intuitivo. La interfaz es intuitiva y puedo acceder rápidamente a las herramientas y vistas que necesito. Mis preguntas de diagnóstico suelen ser sencillas: ¿hay canal radicular? ¿Hay una fractura radicular en el tercio medio? ¿Hay inflamación del ápice? El programa me permite examinar las imágenes desde todos los ángulos y encontrar las respuestas que necesito con eficacia.

Seethrough Studio incluye funciones como la selección libre del FOV en la vista previa radiográfica. ¿Con qué frecuencia utiliza esta función?

Dr. Amato: La uso cada vez que hago una exploración para endodoncia. Es especialmente valiosa para campos de visión pequeños. En mi opinión, una imagen de reconocimiento es esencial para obtener resultados óptimos en estos casos.

Siempre uso la selección libre del FOV en la vista previa radiográfica al captar imágenes de endodoncia. Es una función muy valiosa, especialmente para campos de visión pequeños. En mi opinión, una imagen de reconocimiento es esencial para obtener resultados óptimos en estos casos.

Resultados de imágenes de Seethrough Max, sobre fondo negro.
Resultados de imagen de alta precisión con Seethrough Max: la radiografía muestra la inflamación de la mucosa en el seno maxilar.
Resultados de imágenes de Seethrough Max, sobre fondo negro.
La imagen 3D de alta resolución muestra la lesión apical en la raíz mesiobucal curvada.

¿Cómo describiría su experiencia general con W&H, desde el asesoramiento hasta la instalación y la formación?

Dr. Amato: El soporte ha sido extraordinario. Desde la instalación y configuración iniciales hasta la asistencia continua con actualizaciones y preguntas, el equipo de W&H ha sido siempre profesional y receptivo. Ha sido una auténtica colaboración, y agradezco cómo hemos progresado juntos.

¿Cómo ha cambiado su práctica diaria la integración de nuevas tecnologías como Seethrough Max?

Dr. Amato: Para ofrecer una odontología de alta gama, se necesitan tanto conocimientos como tecnología de primer nivel. El ritmo de la innovación es notable, y dispositivos como Seethrough Max están ampliando los límites de lo posible, no solo en endodoncia, sino en todas las disciplinas odontológicas. Las imágenes de alta resolución son esenciales para identificar problemas y elaborar planes de tratamiento a medida. Y, más allá de la funcionalidad, el elegante diseño del dispositivo también causa una fuerte impresión en los pacientes. Les suele intrigar la tecnología y, cuando les explico lo que hacemos y por qué, se genera confianza y se refuerza nuestra relación.

Seethrough Max mejora significativamente mi precisión diagnóstica, sobre todo en casos de endodoncia complejos en los que es esencial disponer de una vista en 3D. Las imágenes de rayos X tienen una nitidez y un detalle excepcional, lo que permite hacer diagnósticos muy precisos y planificar el tratamiento con precisión. Esto también mejora en gran medida la comunicación con los pacientes, ya que puedo ilustrar claramente el problema y explicar la solución propuesta.

Según su experiencia, ¿qué palabras clave utilizaría para describir Seethrough Max a sus colegas?

Dr. Amato: Yo lo resumiría así: intuitivo y fácil de usar.

Por último, a título personal, ¿qué es lo que más le gusta de su profesión?

Dr. Amato: Trabajo con personas que a menudo sufren dolor o están angustiadas. Poder aliviar ese dolor y mejorar su bienestar es profundamente gratificante. Por eso me hice dentista. Me sentí atraído por la endodoncia muy pronto, tratando muchos casos de urgencia en los que los pacientes sufrían. Mi objetivo es proporcionar la mejor atención posible utilizando mis habilidades y la última tecnología. Ver a los pacientes irse satisfechos y sin dolor es lo que me motiva cada día.

Gracias por la entrevista.

comentarios