Reports & Studies

Seethrough Max – A Leap Forward in Diagnosis and Treatment Planning

"Having all the necessary information at a glance" – this was one of the reasons Dr med. dent. Mauro Amato, an endodontics specialist based in Basel, Switzerland, was looking for a new CBCT device for his dental practice. With Seethrough Max from W&H, he found an innovative and transformative tool. The device’s high-resolution 3D imaging has significantly enhanced his diagnostic precision and treatment planning, particularly in complex cases. In this interview,
Dr Amato shares how this advanced technology is elevating his daily clinical work.


Dr med. dent. Mauro Amato
  • Basel, Switzerland
Dr med. dent. Mauro Amato

Dr Amato, as a specialist in endodontics, why have you chosen the Seethrough Max CBCT system from W&H?

Dr Amato: Especially in more complex endodontic cases, 2D imaging simply does not provide the required depth of information. 3D imaging offers a much more comprehensive view, which was the main reason I was searching for a CBCT system with highly precise imaging capabilities. I had the opportunity to collaborate with W&H, and together, we aim to fully leverage the potential of the Seethrough Max.

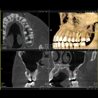
A jaw x-ray, in front of a black background.
3D imaging offers a comprehensive view: the scan shows an apical lesion on tooth 27 with a very long and curvy root.
A jaw x-ray, in front of a black background.
Apical lesion on tooth 26 with a root canal treatment.

Does 3D imaging with Seethrough Max enhances diagnostic accuracy in your opinion?

Dr Amato: Absolutely. Especially in demanding cases, being able to visualise the issue in three dimensions is crucial. The X-ray images are exceptionally sharp and detailed, allowing for highly accurate diagnoses and meticulous treatment planning. This also significantly improves communication with patients, as I can clearly illustrate the issue and explain the proposed treatment.

The W&H CBCT system is designed with both patient and practitioner comfort in mind. What has your experience been with patient positioning?

Dr Amato: The positioning process is excellent. I appreciate being able to face the patient directly and maintain eye contact, which helps me guide them into the optimal position for a precise scan. For taller patients, I simply lower the device and have them seated. Whether standing or sitting, I’ve never encountered any difficulties positioning patients with this system.

A dental assistant positions a patient wearing a lead apron in front of the Seethrough Max in a dental clinic.
The face-to-face positioning with Seethrough Max simplifies the user-patient interaction.
A dental assistant adjusts the Seethrough Max as the patient holds onto the handles and prepares for imaging.
Guiding the patient into the optimal position for a precise scan.

Beyond hardware, Seethrough Max also offers advanced software. How would you assess the usability of the Seethrough Studio software?

Dr Amato: I find the software very intuitive. The interface is user-friendly, and I can quickly access the tools and views I need. My diagnostic questions are often straightforward: Is there a root canal? Is there a mid-root fracture? Is there inflammation at the apex? The software allows me to examine the images from every angle and find the answers I need efficiently.

Seethrough Studio includes features like free FOV selection on the scout preview. How often do you use this functionality?

Dr Amato: I use it every time I take an endodontic scan. It’s especially valuable for small fields of view. In my opinion, a scout image is essential for achieving optimal imaging results in these cases.

I always use the free FOV selection on the scout preview when capturing endodontic images. It’s an invaluable feature, especially for small fields of view. In my opinion, a scout image is essential to achieve optimal imaging results in these cases.

Imaging results of Seethrough Max, in front of a black background.
Highly precise imaging results with Seethrough Max: the X-ray shows the swelling of the mucosa in the sinus maxillaris.
Imaging results of Seethrough Max, in front of a black background.
The high-resolution 3D imaging shows the apical lesion on the curvy mesiobuccal root.

How would you describe your overall experience with W&H – from consultation to installation and training?

Dr Amato: The support has been outstanding. From the initial installation and setup to ongoing assistance with updates and questions, the W&H team has been consistently professional and responsive. It’s been a true partnership, and I appreciate how we’ve progressed together.

How has the integration of new technology like Seethrough Max changed your daily practice?

Dr Amato: To deliver high-end dentistry, you need both expertise and top-tier technology. The pace of innovation is remarkable, and devices like Seethrough Max are pushing the boundaries of what’s possible – not just in endodontics, but across all dental disciplines. High-resolution imaging is essential for identifying problems and crafting tailored treatment plans. And beyond functionality, the device’s sleek design also makes a strong impression on patients. They’re often intrigued by the technology, and when I explain what we’re doing and why, it builds trust and strengthens our relationship.

Seethrough Max significantly enhances my diagnostic precision, particularly in complex endodontic cases where a 3D view is essential. The X-ray images are exceptionally sharp and detailed, enabling highly accurate diagnoses and precise treatment planning. This also greatly improves communication with patients, as I can clearly illustrate the issue and explain the proposed solution.

Based on your experience, what keywords would you use to describe the Seethrough Max to your colleagues?

Dr Amato: I’d sum it up like this: intuitive and easy to use.

Finally, on a personal note – what do you love most about your profession?

Dr Amato: I work with people who are often in pain or distress. Being able to relieve that pain and improve their well-being is deeply rewarding. That’s why I became a dentist. I was drawn to endodontics early on, treating many emergency cases where patients were suffering. My goal is to provide the best possible care using my skills and the latest technology. Seeing patients leave satisfied and pain-free is what motivates me every day.

Thank you for the interview.

comments