Informes & Estudios

Tratamiento de implantes con Implantmed de W&H: sencillo, seguro y reproducible

"Tengo un gusto sencillo, me conformo con lo mejor". Esta cita tan conocida de Oscar Wilde no solo puede transferirse al tratamiento con implantes odontológicos, sino también a la unidad quirúrgica Implantmed de W&H. El implante es el tratamiento de referencia cuando hay una falta de piezas dentales, que abarca desde la ausencia de dientes individuales hasta pacientes que no tienen dientes en absoluto o presentan áreas edéntulas en los extremos. Incluso en los casos en los que no se puede seguir un protocolo estándar, Implantmed es un complemento ideal durante la intervención. El Dr. Christian Dan Pascu, fundador de la clínica comunitaria Discover White de Düsseldorf, es un "experto internacional en implantología oral (GOBI)" y nos describe las experiencias en la aplicación de los implantólogos a partir de un ejemplo clínico.

A partir de la conversación con el paciente, así como de los resultados obtenidos y del diagnóstico que se emita, el odontólogo encargado del tratamiento es el responsable de elegir el tratamiento adecuado en función de la intervención que se puede acometer, el tiempo que se va a emplear y al análisis de los costes y las ventajas. El asesoramiento y las explicaciones en torno a la intervención, los riesgos, las alternativas y, por supuesto, los límites del tratamiento deben ocupar siempre el primer plano para poder atender a las necesidades del paciente. Además, esto tiene que combinarse con las expectativas del paciente y/o con la experiencia del cirujano. Por esta razón, la elección de materiales y equipamiento debe convertirse en una constante que proporcione resultados satisfactorios y resulte fiable en todo momento.

Caso clínico en implantología

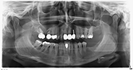
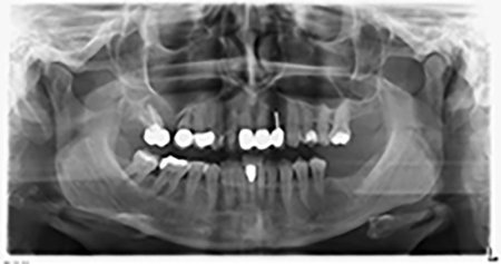
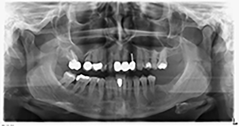
La paciente de 59 años presentaba una periodontitis avanzada, describía una desagradable sensación y un mal gusto proveniente del primer cuadrante. La evaluación clínica mostró en general marcadas profundidades de bolsa y una degeneración ósea muy avanzada en las regiones 16 y 14. El estudio radiológico corroboró estos resultados (figura 1). Las piezas dentales 16 y 14 no podían conservarse.

Imagen 1: Ortopantomografía con retirada ósea en las regiones 16 y 14*

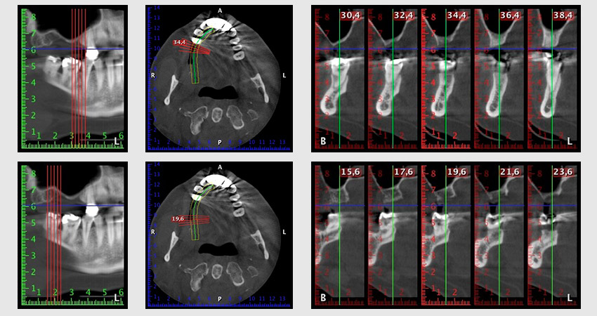
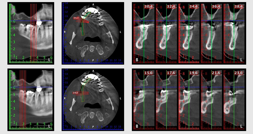
Unos seis meses después de la extracción de las piezas 16 y 14 se realizó una tomografía digital de volúmenes (DVT, Planmeca) para realizar una planificación adecuada y reducir los riesgos al mínimo. En este punto se constató que el hueso no se había regenerado en la cantidad deseada (figuras 2 a 7).

implantología
Figuras 2 a 7: Tomografía digital de volúmenes con oferta ósea horizontal reducida.

Con el fin de garantizar una restauración fija en al menos dos implantes, era preciso realizar una elevación del suelo del seno maxilar, tanto en la región 16 como en la región 14. Como en este caso la oferta de hueso residual era extremadamente reducida, fue preciso realizar una retirada ósea relativamente grande. Los procedimientos de retirada ósea grande son invasivos y, además, están asociados a una mayor morbilidad del paciente, llevan más tiempo y resultan más costosos. También es más difícil prever los resultados del tratamiento y el riesgo de fracaso es mayor. Teniendo como telón de fondo estas desventajas, la paciente recibió información sobre la posibilidad de utilizar una alternativa extraíble, pero ella la rechazó firmemente.

Para limitar el aumento a la región 14, se mantuvieron conversaciones con la paciente y se acordó una incorporación oblicua del implante 16 hacia la zona dorso-craneal (figura 8).

Este método permite exclusivamente una solución atornillada en la prótesis definitiva. Para que el puente pueda atornillarse en la zona oclusal, se necesita un pilar angulado (por ejemplo, a 35°) que permita el atornillado perpendicular a la zona de oclusión.

W&H Implantmed
Imagen 8: Tomografía digital de volúmenes del ángulo de inserción para el implante 16.

Procedimiento quirúrgico durante el implante

fresado piloto
Imagen 9: Visión global y ajuste para el fresado piloto.

El guiado clásico del corte (crestal, descarga bucal) y la preparación del colgajo mucoperióstico permiten obtener una buena visión global.

En este caso se utilizan implantes Sky (Bredent), cuyo protocolo quirúrgico exige el fresado piloto a unas 1.200 rpm (figura 9).

Las perforaciones siguientes se realizan a una velocidad reducida de 300 rpm. Y es aquí donde se demuestra una de las ventajas de Implantmed. El protocolo quirúrgico puede predefinirse y las diferentes posiciones pueden seleccionarse pisando el pedal hacia la posición "P" (figuras 10 a 11).

Fresado oblicuo
Imagen 10: Fresado oblicuo en dirección dorso-craneal a 300 rpm
pedal de W&H Implantmed
Imagen 11: Con un sencillo accionamiento del pedal, Implantmed permite seleccionar el protocolo quirúrgico.

La siguiente posición programada es ya la incorporación del implante que, en nuestra práctica, se preconfigura a una fuerza de 32 Ncm (figura 12).

 Colocación del implante
Imagen 12: Colocación del implante a 32 Ncm.

En el siguiente paso se efectúa la elevación del suelo del seno maxilar, a la vez que se coloca el implante. Para la fenestración lateral de la pared del seno maxilar Implantmed también cuenta con un ajuste predefinido en la primera posición.

La ventana se crea a una velocidad de 35.000 rpm y, a continuación, la membrana de Schneider se prepara en sentido craneal (figuras 13 a 14).

preparación de la membrana de Schneider a 35.000 rpm
Imagen 13
Fresado oblicuo
Imagen 14

Acto seguido, se coloca el implante y se estructura el hueso. Dado el tamaño del aumento, en el caso que nos ocupa se utilizó hueso autógeno, que había surgido como virutas de fresado en el implante 16 y en la fenestración 14 y se había recogido con un colector óseo, y se combinó con material de reemplazo óseo.

Una membrana reabsorbible formó la barrera en sentido bucal y cubrió el aumento. Por último se procedió a la sutura de modo que no penetrara saliva (figuras 15 a 19).

Aumento con hueso autógeno
Imagen 15
Aumento con hueso autógeno
Imagen 16
Implantología
Imagen 17
Implantología
Imagen 18
cierre de la herida para que no penetre saliva
Imagen 19

Ortopantomografía
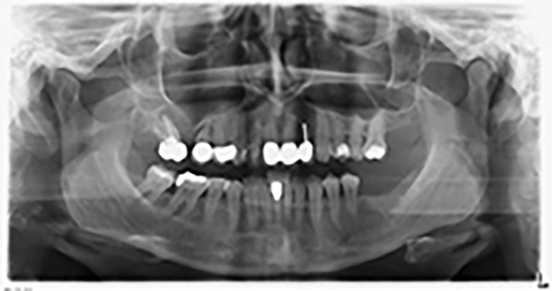
Imagen 20: Ortopantomografía después del tratamiento

Dispositivos y accesorios quirúrgicos

La unidad Implantmed de W&H utilizada en este caso destaca sobre todo por su sencillo manejo. Los botones se leen con facilidad y se utilizan de modo intuitivo. La pantalla, grande e iluminada, muestra la velocidad y el modo al usuario de un simple vistazo. Los diferentes modos pueden predefinirse en función del protocolo quirúrgico y seleccionarse mediante el pedal. Su manejo ahorra tiempo y facilita la intervención.

W&H Implantmed
Imagen 21: Implantmed proporciona las herramientas para procedimientos quirúrgicos orales en las áreas de implantología y cirugía maxilofacial con la máxima precisión.

Debido a la dureza del hueso (D2-D3), en este caso se prescindió de la función especial de mecanizado para realizar roscas en el hueso. No obstante, no podemos dejar de mencionarla, puesto que esta posee un modo propio en el Implantmed Implantmed y, por lo tanto, puede seleccionarse directamente. Además, resulta imprescindible en el caso de huesos duros.

El contra-ángulo quirúrgico que se usó fue el WS-75LG, que está equipado con una luz LED+, que aumenta el contraste en la cavidad bucal y mejora la percepción óptica. La pieza de mano es la S-11 de W&H. Los dos instrumentos disponen de refrigeración externa, algo que, en mi opinión, representa una ventaja especial, ya que la solución de NaCl llega exactamente al lugar en el que se necesita y, en caso necesario, también puede reajustarse. Los contra-ángulos y las piezas de mano pueden desmontarse, lo que resulta muy recomendable desde el punto de vista de la higiene y de la capacidad de esterilización.
Se colocaron implantes Sky de la empresa Bredent: pieza 16: 5,5 x 10 mm y pieza 14 4,0 x 10 mm.

Doctor en odontología Christian Dan Pascu

Doctor en odontología Christian Dan Pascu

Experto en Implantología Oral (GBOI)
Discover White: clínica comunitaria
Dr. Mintcheva y Dr. Pascu
Zollhof 8, 40221 Düsseldorf
www.discover-white.de


* Fotos: Dr. Christian Dan Pascu

comentarios