Berichte & Studien

Implantattherapie mit W&H Implantmed: einfach, sicher und reproduzierbar

„Ich habe einen ganz einfachen Geschmack: Ich bin immer mit dem Besten zufrieden.“ Dieses äußerst bekannte Zitat von Oscar Wilde ist sowohl auf die Therapie mit zahnärztlichen Implantaten, als auch auf die Antriebseinheit Implantmed von W&H zu übertragen. Die Therapie der Wahl bei fehlenden Zähnen, von der Einzelzahnlücke über Freiendsituationen bis hin zum zahnlosen Patienten, ist die Implantation. Auch in Fällen, in denen vom Standardprotokoll abgewichen werden muss, ist die Implantmed ein zuverlässiger Begleiter während der Operation. Dr. Christian Dan Pascu, Gründer der Gemeinschaftspraxis Discover White in Düsseldorf, ist internationaler „Expert in Oral Implantology (GBOI)“ und beschreibt die Erfahrungen in der Anwendung der Implantologen anhand eines klinischen Beispiels.

Es obliegt dem behandelnden Zahnarzt aus dem Gespräch mit dem Patienten, den Befunden und Diagnosen die geeignete Therapie hinsichtlich zumutbarem Eingriff, Zeit und Kosten-Nutzen-Faktor auszuwählen. Die Beratung und Aufklärung über den Eingriff, Risiken, Alternativen und auch Grenzen der Therapie muss im Vordergrund stehen, um die Bedürfnisse des Patienten zu befriedigen. Dies ist mit Variablen wie z.B. den Erwartungen des Patienten und/oder der Erfahrung des Chirurgen verbunden. Daher sollte es sich bei der Material- und apparativen Ausstattung um Konstanten handeln, die immer reproduzierbar gute Ergebnisse liefern und auf die man sich verlassen kann.

Klinischer Fall in der Implantologie

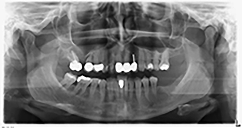
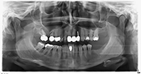
Die 59-jährige Patientin wurde mit einer fortgeschrittenen Parodontitis vorstellig, beschrieb ein ungutes Gefühl und einen schlechten Geschmack ausgehend vom ersten Quadranten distal. Die klinische Untersuchung zeigte allgemein erhöhte Taschentiefen und einen stark fortgeschrittenen Knochenabbau in regio 16 und 14. Die radiologische Untersuchung untermauerte den Befund (Abb. 1). Die Zähne 16 und 14 waren nicht zu erhalten.

Abb.1: Orthopantomogramm mit Knochenabbau in Regio 16–14.*

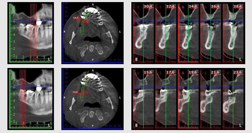
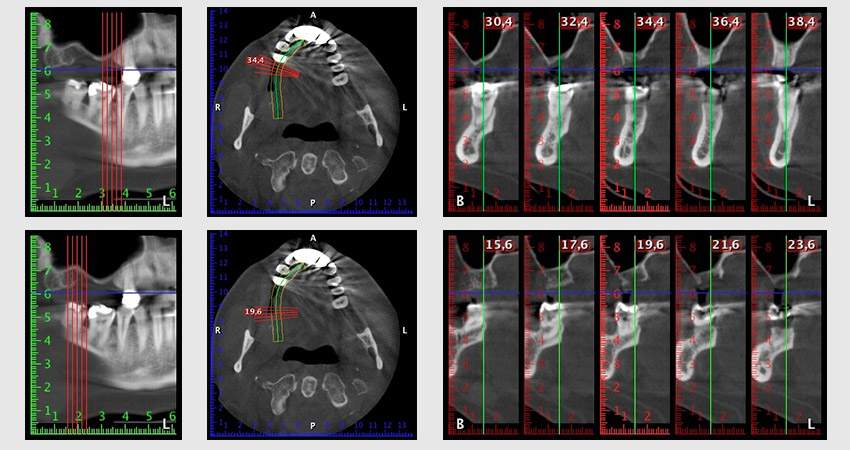
Etwa sechs Monate nach Extraktion der Zähne 16 und 14 wurde zur Planung und Risikominimierung eine digitale Volumentomografie (DVT, Planmeca) erstellt. Hierbei wurde deutlich, dass der Knochen sich nicht in der gewünschten Quantität regeneriert hat (Abb. 2 bis 7).

Implantologie
Abb. 2 bis 7: DVT mit stark reduziertem horizontalen Knochenangebot.

Um eine festsitzende Versorgung auf mindestens zwei Implantaten zu gewährleisten, ist eine Sinusbodenelevation sowohl in Regio 16 als auch in Regio 14 erforderlich. Da in diesem Fall das Restknochenangebot extrem gering ist, müsste ein verhältnismäßig großer Knochenaufbau durchgeführt werden. Große Knochenaufbauverfahren sind invasiv, mit einer höheren Patientenmorbidität verbunden, zeitintensiv und kostspielig. Die Vorhersagbarkeit der Behandlungsresultate ist geringer und das Misserfolgsrisiko höher. Vor dem Hintergrund dieser Nachteile, wurde die Patientin über eine herausnehmbare Alternative aufgeklärt, die sie jedoch konsequent ablehnte.

Um die Augmentation auf Regio 14 einzuschränken, wurde in Absprache mit der Patientin eine Schrägstellung des Implantats 16 nach dorso-kranial geplant (Abb. 8).

Diese Methode erlaubt in der endgültigen Versorgung ausschließlich eine verschraubte Lösung. Damit die Brücke okklusal verschraubt werden kann, ist ein abgewinkeltes Abutment (z.B. 35°) notwendig, das die Verschraubung senkrecht zur Okklusionsebene erlaubt.

W&H Implantmed
Abb. 8: DVT mit Planung des Insertionswinkels für das Implantat 16.

Operatives Vorgehen beim Implantieren

Pilotbohrung
Abb. 9: Übersicht und Einstellung für die Pilotbohrung.

Die klassische Schnittführung (krestal, Entlastung bukkal) und das Präparieren des Mukoperiostlappens erlauben eine gute Übersicht.

In diesem Fall werden Sky Implantate (bredent) verwendet, deren chirurgisches Protokoll die Pilotbohrung mit etwa 1.200/min vorschreibt (Abb. 9).

Die anschließenden Bohrungen werden mit einer reduzierten Umdrehungszahl von 300/min durchgeführt. Hier zeigt sich einer der Vorteile der Implantmed. Das chirurgische Protokoll kann voreingestellt werden – die einzelnen Positionen sind über einen einfachen Druck auf die Position „P“ der Fußsteuerung anwählbar. (Abb. 10 bis 11)

Schräge Bohrung
Abb. 10: Schräge Bohrung nach dorso-kranial mit 300/min.
Fußpedal von W&H Implantmed
Abb. 11: Mit einfacher Bedienung des Fußpedals kann an Implantmed das chirurgische Protokoll ausgewählt werden.

Die nächste programmierte Position ist bereits die Implantateinbringung und in unserem Hause mit einer Kraft von 32 Ncm voreingestellt (Abb. 12).

Implantateinbringung
Abb. 12: Implantateinbringung mit 32 Ncm.

Im nächsten Schritt wird die Sinusbodenelevation mit simultaner Implantation durchgeführt. Für die bukkale Fensterung der Kieferhöhlenwand gibt es auch hier bei der Implantmed an der ersten Position eine Voreinstellung.

Mit 35.000/min wird das Fenster angelegt und anschließend die Schneidersche Membran nach kranial präpariert. (Abb. 13 bis 14).

Präparieren der Schneiderschen Membran
Abb. 13
Schräge Bohrung
Abb. 14

Danach wird das Implantat eingebracht und der Knochen aufgebaut. Aufgrund der Größe des Augmentates wurde im vorliegenden Fall Eigenknochen, der als Bohrspäne bei der Implantation 16 und der Fenestration 14 angefallen ist und mit einer Knochenfalle aufgefangen wurde, mit Knochenersatzmaterial vermischt.

Eine resorbierbare Membran bildet die Barriere nach bukkal und deckt das Augmentat ab. Zum Schluss wird speicheldicht vernäht. (Abb. 15 bis 19).

Augmentation mit Eigenknochen
Abb. 15
Augmentation mit Eigenknochen
Abb. 16
Implantation
Abb. 17
Implantologie
Abb. 18
speicheldichter Wundverschluss.
Abb. 19

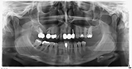
Orthopantomogramm
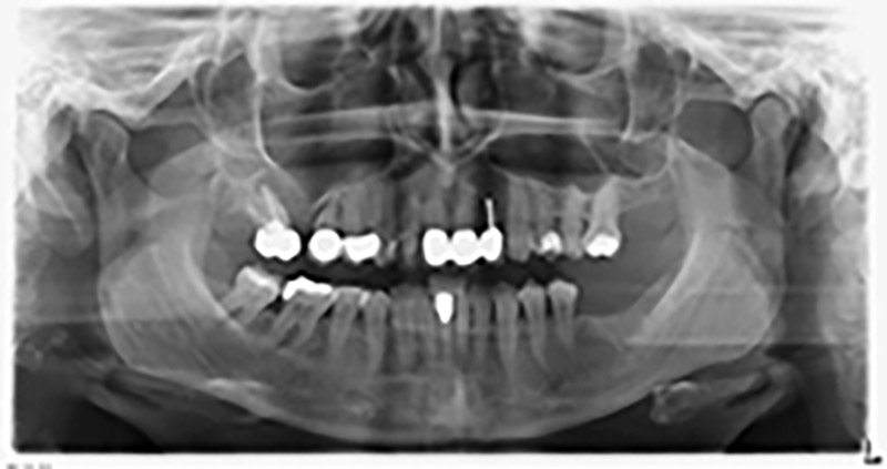
Abb. 20: Orthopantomogramm nach Behandlung

Chirurgische Geräte und Zubehör

Die hier zum Einsatz gekommene Implantmed von W&H zeichnet sich in erster Linie durch die einfache Bedienung aus. Die Tasten sind gut lesbar und intuitiv zu bedienen. Das große und beleuchtete Display zeigt dem Behandler selbst bei einem kurzen Blick die Drehzahl und den Modus an. Die verschiedenen Modi können entsprechend des chirurgischen Protokolls voreingestellt und per Fußsteuerung ausgewählt werden. Die Bedienung ist zeitsparend und erleichtert den Operationsablauf.

W&H Implantmed
Abb. 21: Mit Implantmed können oralchirurgische Eingriffe in den Bereichen Implantologie, Mund-, Kiefer- und Gesichtschirurgie sicher und mit allerhöchster Präzision durchgeführt werden.

In dem vorliegenden Fall ist, aufgrund der Knochenhärte (D2–D3), auf die Gewindeschneidefunktion verzichtet worden. Sie sollte aber nicht unerwähnt bleiben, da sie bei der Implantmed einen eigenen Modus besitzt und somit direkt wählbar ist. Unverzichtbar wird sie bei hartem Knochen.

Bei dem chirurgischen Winkelstück handelt es sich um das WS-75LG, das mit einem LED+ Licht ausgestattet ist. Es erhöht die Kontraste in der Mundhöhle und verbessert die optische Wahrnehmung. Das Handstück ist das S-11 von W&H. Beide sind außengekühlt, was ich für einen besonderen Vorteil halte, da die NaCl-Lösung somit genau dort ankommt, wo sie gebraucht wird und falls notwendig auch nachjustiert werden kann. Die Winkel- und Handstücke sind zerlegbar, was aus dem Blickwinkel der Hygiene und Sterilisierbarkeit sehr zu empfehlen ist. Implantiert wurden Sky Implantate von der Fa. bredent – Zahn 16: 5,5 x 10mm und Zahn 14: 4,0 x 10 mm.

Dr. med. dent. Christian Dan Pascu

Dr. med. dent. Christian Dan Pascu

Expert in Oral Implantology (GBOI)
Discover White – Gemeinschaftspraxis
Dr. Mintcheva und Dr. Pascu
Zollhof 8, 40221 Düsseldorf
www.discover-white.de

* Fotos: Dr. Christian Dan Pascu

Kommentare