Berichte & Studien

Individuelle Prophylaxe bei 74-jähriger Implantatpatientin mit Bluthochdruck: Prävention nach dem IPC-Modell

Einleitung

Die Mundgesundheit als einflussnehmender Faktor in der körperlichen Gesundheit ist ein anerkannter Zusammenhang (1, 2). Aufgrund der funktionellen Vernetzung und gemeinsamer Risikofaktoren von Mund- und Allgemeingesundheit ist hier unüblich für die Wissenschaft auch der Umkehrschluss zutreffend (3, 4). Folglich gibt es allgemeingesundheitliche Parameter, die eindeutigen Einfluss auf die individuelle Mundgesundheit haben und daher in der oralen Prävention Berücksichtigung finden müssen, um den Erhalt der Gesundheit und der Lebensqualität der Patienten optimal zu unterstützen (5–7).

Der Individual Prophy Cycle als Prophylaxekonzept hilft bei dieser Verknüpfung der Daten aus der Anamnese und der aktuellen Diagnostik zu einem Patientenprofil. Da durch Anamnese und Befund die getroffenen Behandlungsempfehlungen regelmäßig evaluiert werden, ist eine fallorientierte angepasste Prävention möglich. Nachfolgender Patientenfall illustriert, wie IPC die Prophylaxe entlang der individuellen Patientenparameter adaptiert.

Grafik IPC-Zyklus
IPC-Grafik: individualisierte Behandlungsempfehlung

IPC baut eine Brücke zwischen der Allgemeingesundheit und der Mundgesundheit. Die Verknüpfung von Risiko und Bedarf eines Patienten ergibt ein fallorientiertes Profil, das die Prophylaxebehandlung individuell adaptierbar macht.

Fallbeschreibung

Eine 74-jährige Patientin stellt sich in der Sprechstunde vor. Die Anamnese zeigt, dass die Patientin gut eingestellten Bluthochdruck hat und Lixiana einnimmt. Weiterhin hatte die Patientin im Jahr 2020 ein Nierenkarzinom. Die Lebensgewohnheiten der Patientin sind unauffällig. Die Patientin hat keine eigenen Zähne mehr. Sie hat im Oberkiefer und Unterkiefer jeweils sechs Implantate, die mit Kronen bzw. über Brücken versorgt sind. Anhand der aktuellen Befunde lässt sich keine periimplantäre Mukositis bzw. Periimplantitis feststellen; vereinzelte (geringfügige) Blutungen an den Implantat(-versorgungen) liegen vor.

Fallbetrachtung nach IPC

Anamnese: Bluthochdruck, Medikament: Lixiana, 2020 Nierenkarzinom
Risikofaktoren: Lixiana (Antikoagulantia)
Erkrankungs- oder Komplikationsrisiko: moderates Komplikationsrisiko
Medikamente: Lixiana
Lebensgewohnheiten: unauffällig
Mundgesundheit: gut
Versorgungen: Implantate regio 011, 013, 015, 021, 023, 025, 031, 033, 035, 042, 044, 046
Kariesrisikoabschätzung: kein Risiko
Parodontitis: nein
Entstehungsrisiko: moderat für Periimplantitis
Progressionsrisiko: gering für Periimplantitis

Behandlungsempfehlung nach IPC

IPC-Zyklus-Icon: Lupe

Ein Risikofaktor stellt die Einnahme von Lixiana dar; dementsprechend ist das Komplikationsrisiko als moderat zu bewerten. Es zeigt sich eine gute, stabile Mundgesundheit. Um frühzeitig auf eine potenzielle Periimplantitis aufmerksam zu werden, sollten während der Kontrolltermine die Sondierungstiefen (ST) gemessen werden. Zeigt sich am Implantat eine Vergrößerung von ST im Vergleich zur Baseline, kombiniert mit einer diffusen Blutung, so sollte eine Röntgendiagnostik (i. S. eines Zahnfilms) angestrebt werden.

IPC-Zyklus-Icon: Sprechblasen

Die Motivation/Instruktion zur Mundhygiene ist auch bei dieser Patientin essenziell. Besonders wichtig ist die richtige Implantatpflege. Eine gute häusliche Mundhygiene hat einen wichtigen Anteil an der langfristigen Stabilisierung der Mund- und Implantatgesundheit.

IPC-Zyklus-Icon: Prophylaxe-Instrumente

Bei der Instrumentierung gilt im Bereich der Implantate eine besondere Vorgehensweise. Zum Erhalt der Implantatoberfläche bei gleichzeitig effektiver Reinigung ist die Wahl passender Pulver und Instrumente ausschlaggebend; dazu zählt der gezielte Einsatz von Pulverstrahlgeräten mit speziellen Paro-Spitzen. Die Wahl des geeigneten Pulvers kann bedarfs- und risikogerecht erfolgen, beispielsweise kann neben dem passenden Abrasionsgrad auch auf diätische Anforderungen (u. a. zuckerfrei, salzarm) eingegangen werden.

IPC-Zyklus-Icon: Kalenderblatt

Die periimplantäre Situation ist derzeit stabil. Aufgrund der Komplexität der Suprakonstruktionen hat die Patientin ein moderates Entstehungsrisiko und ein geringes Progressionsrisiko für periimplantäre Erkrankungen.

Parodontalstatus (ParoStatus®.de)
Abb. 1: Parodontalstatus (ParoStatus®.de)
Die Röntgenaufnahmen zeigen den Knochenabbau.
Abb. 2: Die Röntgenaufnahmen zeigen den Knochenabbau.
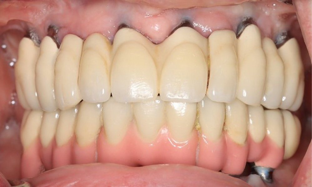
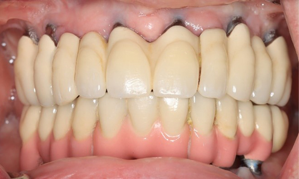
Frontansicht Gebiss (Ober- und Unterkiefer)
Abb. 3: Frontansicht

PD Dr. G. Schmalz, MSc
Prof. Dr. D. Ziebolz, MSc

Referenzen

  1. Bansal M, Rastogi S, Vineeth NS. Influence of periodontal disease on systemic disease: inversion of a paradigm: a review. Journal of medicine and life. 2013;6(2):126-30.
  2. Si Y, Fan H, Song Y, Zhou X, Zhang J, Wang Z. Association Between Periodontitis and Chronic Obstructive Pulmonary Disease in a Chinese Population. Journal of Periodontology. 2012;83(10):1288-96.
  3. WHO. Oral Health [Fact sheet]. WHO International Newsroom2020 [cited 2020 25.03.2020]. Available from: https://www.who.int/news-room/fact-sheets/detail/oral-health.
  4. Seitz MW, Listl S, Bartols A, Schubert I, Blaschke K, Haux C, et al. Current Knowledge on Correlations Between Highly Prevalent Dental Conditions and Chronic Diseases: An Umbrella Review. Preventing chronic disease. 2019;16:E132.
  5. Papapanou PN, Sanz M, Buduneli N, Dietrich T, Feres M, Fine DH, et al. Periodontitis: Consensus report of workgroup 2 of the 2017 World Workshop on the Classification of Periodontal and Peri-Implant Diseases and Conditions. J Periodontol. 2018;89 Suppl 1:S173-S82.
  6. Chapple IL, Bouchard P, Cagetti MG, Campus G, Carra MC, Cocco F, et al. Interaction of lifestyle, behaviour or systemic diseases with dental caries and periodontal diseases: consensus report of group 2 of the joint EFP/ORCA workshop on the boundaries between caries and periodontal diseases. J Clin Periodontol. 2017;44 Suppl 18:S39-s51.
  7. Cao R, Li Q, Wu Q, Yao M, Chen Y, Zhou H. Effect of non-surgical periodontal therapy on glycemic control of type 2 diabetes mellitus: a systematic review and Bayesian network meta-analysis. BMC oral health. 2019;19(1):176.

Kommentare