Seethrough – Imaging Solutions

Great views for dental practice

Entdecken Sie die Vorteile der digitalen Zahnheilkunde in bewährter W&H-Qualität und überzeugen Sie sich selbst, warum dieses neue Must-see ein echtes Must-have ist. Was alle Röntgenlösungen verbindet: 5 kompromisslose W&H-Prinzipien für mehr Qualität, Benutzerfreundlichkeit und fortschrittliche Konnektivität.

Erleben Sie Ihre AR-Space!

Nutzen Sie die erweiterte digitale Darstellung (AR) auf Ihrem Smartphone oder Tablet – scannen Sie einfach den QR-Code oder öffnen Sie den Link direkt auf Ihrem Gerät.

    • Seethrough Max

      Get the full picture

      Die perfekte Lösung für alle, die keine Kompromisse eingehen wollen: Seethrough Max steht für herausragende Bildqualität mit einem außergewöhnlich breiten FOV-Spektrum bei geringer Strahlung. Das offene Design und die großzügigen Abmessungen sorgen für optimale Patientenkompatibilität und maximalen Komfort, während die Face-to-Face-Positionierung die Interaktion zwischen Anwender:innen und Patient:innen erleichtert. Speziell für optimierte Aufnahme- und Positionierungsprozesse entwickelt, gewährleistet dieses DVT-Gerät eine präzise Bildgebung für eine Vielzahl von Anwendungen, von kleinsten Details in der Endodontie über exakte Ausschnitte für die Implantologie bis hin zum gesamten kranialen Volumen für die Kiefer- und Gesichtschirurgie. Seethrough Max – erleben Sie die Zukunft der Röntgentechnologie schon jetzt in Ihrer Praxis.

      Optimale Anpassung

      Durch die spezielle vertikale Sensorverschiebung wird der Röntgenstrahl optimal an die Morphologie der Patient:innen und die gewählte Untersuchungsart angepasst – für detailreiche und verzerrungsfreie Bilder.

      Außergewöhnliche FOV-Abdeckung

      Von 3 × 4 cm bis zu 17 × 17 cm – für ein besonders breites Anwendungsspektrum, von Endodontie über Implantologie bis hin zu Kieferchirurgie und HNO

      Vollständige 360°-Rotation

      Deckt das gesamte Spektrum an Winkeln und Perspektiven ab – für Bilder in herausragender Klarheit und Schärfe.

      Automatische Anpassung

      Seethrough Max passt sich automatisch an die Position der Patient:innen an und sorgt für eine präzise Fokussierung auf die Anatomie – für optimale Bildgebung.

      Maximaler Patientenkomfort

      Höchste Patientenkompatibilität und maximaler Komfort durch offenes Design und breite Gantryöffnung – für eine reibungslose Aufnahme und eine unverzerrte Bildgebung.


        Seethrough Flex

        See new dimensions

        Hohe Leistung auf kleinstem Raum: Dafür steht Seethrough Flex. Mit seinem kompakten Design, der intuitiven Bedienung und der Face-to-Face-Positionierung lässt sich dieses flexible DVT-Gerät problemlos in bestehende Praxisabläufe integrieren. Wie kein anderes Gerät zeichnet sich Seethrough Flex durch präzise Bildgebung bei minimaler Strahlenbelastung für die gängigsten zahnmedizinischen Anforderungen aus, von kleinen Zahnbogenaufnahmen bis hin zu großflächigen Kiefergelenkscans, sowohl für die Diagnose als auch für die Implantatplanung. Seethrough Flex – erleben Sie die perfekte Symbiose aus Bildqualität, Benutzerfreundlichkeit und maximaler Patientensicherheit.

        Bestes Raum- zu FOV-Verhältnis

        Seethrough Flex bietet das beste Verhältnis von Field of View zu Geräteabmessungen auf dem Markt. Mit einer breiten FOV-Abdeckung von 5 × 5 cm bis 14 × 10 cm ist dieses DVT-Gerät ein echtes Allround-System.

        Touchscreen optional

        Der intuitive 10" Touchscreen von Seethrough Max ist optional für Seethrough Flex erhältlich. Damit haben Sie die komplette Systemsteuerung in der Hand.

        360°-Drehung auf kleinstem Raum

        Mit seiner innovativen elliptischen Bahn erreicht Seethrough Flex eine vollständige 360°-Drehung auf kleinstem Raum und ermöglicht so eine umfassende Datenerfassung bei optimierter Raumeffizienz.

        Besonders niedrige Strahlendosis

        Intelligente Funktionen zur Verringerung der Strahlendosis sorgen in Kombination mit dem kompakten Design für minimale Belastung und maximalen Schutz.


        Fredy Gerber
        präsentiert Chirurgie- und Röntgengeräte.
        Mehr Videos aus der Schweiz

        Download Area

        Gebrauchsanweisung

        Find all languages of the Update Hygiene and Maintenance (EN ISO 17664:2017) in the Download Centre.

      • Seethrough Studio

        See tomorrow. See a new level.

        Neben ausgereiften Hardware-Technologien ist die revolutionäre Seethrough Studio Software der entscheidende Faktor für den hohen Standard des gesamten W&H-Imaging Portfolios: Mit nützlichen Funktionen und fortschrittlichen Algorithmen ist Seethrough Studio eine Komplettlösung, die die Bildgebung und digitale Workflows in der Zahnmedizin auf ein neues Niveau hebt.

        Nahtlose Integration

        Seethrough Studio lässt sich unkompliziert in Ihr Patientenmanagementsystem integrieren. Sie können die Software direkt aus dem PMS heraus starten, ohne die Patientendaten erneut eingeben zu müssen.

        Freie FOV-Auswahl am Scout-Bild

        Für die richtigen Bilder mit der ersten Aufnahme: Wählen Sie das erforderliche Sichtfeld in der Scout-Vorschau aus und passen Sie den relevanten Bereich frei an. Dadurch wird eine genaue Positionierung des FOV sichergestellt und eine erneute Belichtung vermieden.

        Positions- und Bewegungskorrektur

        Der fortschrittliche Algorithmus zur Korrektur von Bewegungen hebt die Bildqualität sowohl in der 3D- als auch in der 2D-Bildgebung auf ein neues Niveau. 2D-Bilder werden durch ein 21-Layer-Autofokussystem, das nahtlos in eine Positionskorrektur integriert ist, entscheidend verbessert.

        Metal Artefact Removal (MAR)

        Stellt die Bildintegrität wieder her, indem metallische Artefakte entfernt werden, und ermöglicht die Untersuchung von Bildern mit oder ohne MAR – für eine flexible Visualisierung und verbesserte diagnostische Genauigkeit.

        Scharfe, detaillierte und unverzerrte Bilder

        dank der fortschrittlichen Algorithmen von Seethrough Studio.

        Integriertes Implantatplanungstool

        Über die herausragende Bildqualitätund die intuitive Bedienung hinaus bietet Seethrough Studio zahlreiche nützliche Funktionen wie etwa das standardmäßig integrierte Implantatplanungstool für eine einfache Visualisierung und Vorbereitung der Behandlung.

        KI-unterstützte Funktionen

        Seethrough Studio verwendet Verfahren der künstlichen Intelligenz zur Unterstützung der Visualisierung und Verwaltung klinischer Bilddaten. Die Software stellt automatisierte Funktionen bereit, einschließlich der Segmentierung relevanter anatomischer Strukturen in 3D-Volumenmodellen, der Ausrichtung einzelner Zahnachsen, der Generierung der Zahnbogenkurve sowie der Nachverfolgung (Tracing) des Nervus alveolaris inferior.

        Work smarter, not harder

        Das Seethrough-Portfolio ist standardmäßig mit ioDent® connected. Diese fortschrittliche Onlineplattform von W&H vereint wichtige Patientendaten, nahtlose Kommunikation und zahlreiche nützliche Service- und Supportleistungen, die den Praxisalltag effizienter machen. Greifen Sie jederzeit und von überall auf 3D-, Panorama- und Intraoralbilder zu – ioDent® stellt Ihnen alle notwendigen Patienteninformationen, wann immer Sie diese benötigen, zur Verfügung.
        iodent.com

        Mit der sicheren, schnellen Datenübertragung lassen sich anonymisierte Patientenfälle auch mit Kolleg:innen teilen, diskutieren und kommentieren. Zudem können die Patient:innen ihre DICOM-Daten über einen sicheren Link downloaden. Darüber hinaus bietet ioDent® mit dem integrierten Service-Dashboard schnellen und direkten Zugang zum Kundensupport – so erhalten Sie bei Bedarf unmittelbare technische Unterstützung von Expert:innen. ioDent® hilft weiters bei der Einhaltung aller gesetzlichen Richtlinien und stellt ein automatisch geführtes Röntgenkontrollbuch für alle radiologischen Geräte zur Verfügung.

        Ihre Vorteile

        • Bildgebung in Top-Qualität
          Aufnahmen in gestochen scharfer Klarheit: Unsere Bildqualität setzt durch das innovative Zusammenspiel hochwertiger Hard- und Softwaretechniken neue Maßstäbe bis ins kleinste Detail.

        • Perfekte Integration
          Unsere Lösungen integrieren sich mühelos in jedes Praxismanagementsystem (PMS), optimieren Ihre Workflows und zeichnen sich durch hohe Benutzerfreundlichkeit aus.

        • Intelligente Funktionalität
          Innovative Tools wie Bewegungskorrektur, Positionierungshilfe und geführte Aufnahmeprozesse ermöglichen optimale Ergebnisse und eine einfachere, intuitive Bedienung.

        • Connected mit ioDent®
          Jederzeit und überall Zugriff auf alles, was Sie brauchen. Ob Online-Abruf der Bilder, Patientendaten, Datenspeicherung oder Zugriff aufs Service-Dashboard – stay connected.

        • Revolutionäre KI für Ihre Praxis
          Innovative KI-Tools unterstützen bei der Bildanalyse und Diagnose, liefern wertvolle Erkenntnisse und heben die Patientenversorgung auf ein neues Level.

          Download Area

          Downloads

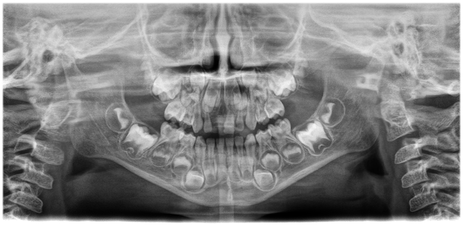
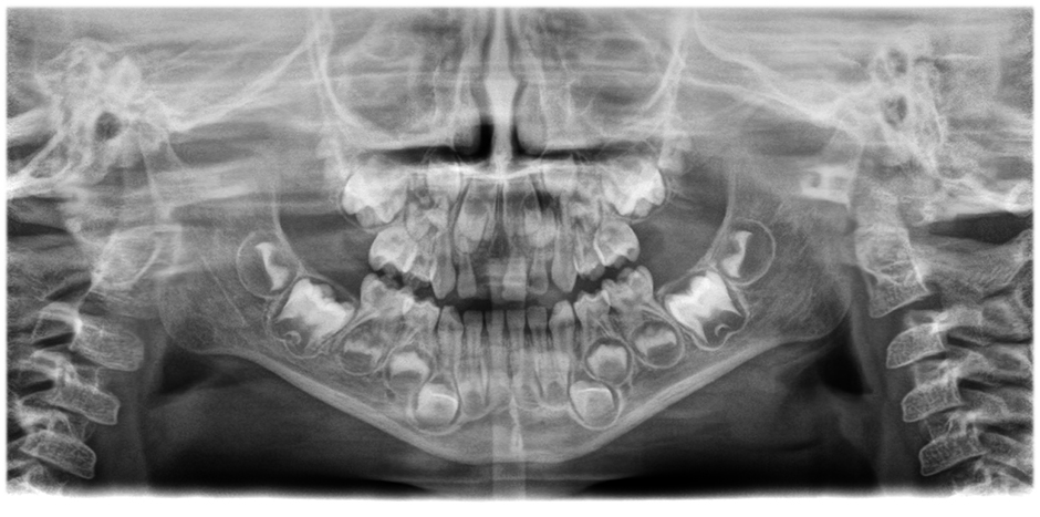
        • Panoramabilder von herausragender Klarheit und Schärfe
          mit dem innovativen 21-Layer-Autofokussystem, das nahtlos in eine Patientenpositionskorrektur integriert ist.
          Bewegen Sie den Slider, um den Unterschied zu sehen (linkes Bild ohne, rechtes Bild mit Autofokus und korrigierter Patientenposition).

          Download Area

          Downloads