Individual Prophy Cycle

Das individuelle fallorientierte Patientenprofil

Neu gedacht mit großer Wirkung
Bislang gehen viele bekannte verschiedene Behandlungskonzepte von einzeln zu betrachtenden oralen Erkrankungen aus, die es zur Wiedererlangung oder Beibehaltung der Mundgesundheit zu versorgen gilt. Hier kündigt sich ein Paradigmenwechsel hinsichtlich der einzeln betrachteten oralen Erkrankungen an, denn: Weitgehend unberücksichtigt bleibt bislang in diesen Konzepten, dass viele Faktoren aus der Allgemeingesundheit die Mundgesundheit maßgeblich beeinflussen, ja sogar orale Erkrankungen hervorrufen oder verstärken können (1). Genau hier setzt das individuelle fallorientierte Patientenprofil an. Motor und Herzstück des individuellen fallorientierten Patientenprofils ist die genaue Anamnese und Befundung von Allgemeingesundheit und Mundgesundheit und deren gemeinschaftliche Betrachtung.

  • Individual Prophy Cycle

    Auswirkung des Patientenprofils
    auf die Behandlung

    Das individuelle fallorientierte Patientenprofil nimmt Einfluss auf die einzelnen Arbeitsschritte in der Prophylaxe oder Behandlungssitzung (5). W&H arbeitet als Lösungsanbieter intensiv mit Zahnärzten zusammen und bietet darüber hinaus ein breit gefächertes Produktportfolio an, das die aus dem individuellen fallorientierten Patientenprofil entstehenden Hinweise zu Behandlungsanforderungen und Empfehlungen unterstützt.

    Vorteile des Individual Prophy Cycle (IPC)

    • Für jede Praxis und jeden Patienten anwendbar
    • Individualisiert und patientenorientiert
    • Bedarfsgerechte Behandlung gemäß Mundgesundheitszustand unter Berücksichtigung zahnmedizinisch relevanter Faktoren der Allgemeingesundheit
    • Keine Standardbehandlungen


    Mit dem von W&H und Zahnmedizinern entwickelten »Individual Prophy Cycle« entsteht eine individualisierte Behandlungsempfehlung.

    Schmalz und Ziebolz 2019
    ZWR Individualisierte Prävention


    Fallorientiertes Patientenprofil =
    individualisierte Behandlungsempfehlung

    Ziel des Patientenprofils ist eine individualisierte Behandlungsempfehlung, um die Behandlungssicherheit zu erhöhen und die Therapie noch effizienter zu machen (2). Aus dem individuellen fallorientierten Patientenprofil lassen sich komplex erscheinende Krankheitsbilder auf individuelle Behandlungen noch sicherer und zielgerichtet auf die Bedürfnisse des Patienten ableiten.
    Gemeinsam mit Zahnmedizinern unterstützt W&H die Entwicklung eines individuellen fallorientierten Patientenprofils und eine sichere Durchführung der davon abgeleiteten individualisierten Behandlungsempfehlung.


    Das IPC-Konzept unterstützt …

    › die indikationsbezogene Instrumentierung durch die Betrachtung relevanter Faktoren

    › die Allgemein- und Mundgesundheit

    › den Therapieerfolg durch Transparenz für den Patienten

    › die Stabilisierung der Mundgesundheit durch eine Allgemein- und Mundgesundheit berücksichtigende Behandlung



    Proxeo – Prophy for Professionals
    Für die patientenorientiere Prophylaxe

    Piezo Scaler

    Piezo Scaler

    Der W&H Piezo-Scaler mit den W&H Spitzen bietet Ihnen perfekte Unterstützung bei der Entfernung von supragingivalem Zahnstein, Plaque und subgingivalen Konkrementen.

    Proxeo Ultra
    Piezo Scaler Spitzen

    Luftscaler

    Luftscaler

    Schnell, schonend, kraftvoll. »Ein handlicher und leistungsstarker Schallscaler mit umfangreichem parodontalen Einsatzspektrum.« OA Dr. Christian Graetz, Zahnmediziner

    Proxeo Sonic
    Luftscaler Spitzen

    Pulverstrahlen

    Pulverstrahlen

    Air Polishing kann bei der Prophylaxe und bei Parodontalbehandlungen sehr effektiv sein.

    Polieren

    Polieren

    Mit dem Cordless und dem LatchShort
    Polishing System setzt W&H neue Maßstäbe im Bereich rotierend Polieren.

    Proxeo Twist Cordless

    Proxeo Twist LatchShort
    Prophy-Kelche und Prophy-Bürsten

    Patientenfälle nach IPC

    Um das Zusammenspiel der für den IPC definierten Bedarfs- und Risikofaktoren sowie die Auswirkungen einzelner Faktoren zu illustrieren, dienen nachstehende Fallbeispiele*.

    Die mundgesunde Diabetikerin

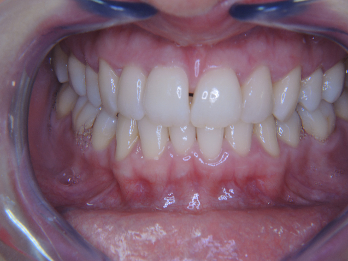
    Eine 51-jährige mundgesunde Diabetikerin stellt sich zur Präventionssitzung vor. Die Blutzuckerwerte sind stabil bei einem HbA1c = 6,2%, folglich gilt sie mit dem entsprechenden Medikament Metformin (Antidiabetikum) als suffizient eingestellt. Die Patientin hat keine bestehenden Versorgungen oder orale Vorerkrankungen. Anhand der aktuellen Befunde lässt sich eine Gingivitis bei sonst stabilem parodontalem Zustand (Stage II, Grad B) feststellen. mehr Infos

    Fallpräsentation: Management komplexer Zahnprothetik

    Es ist längst bekannt, dass Mundgesundheit und Allgemeingesundheit in direktem Zusammenhang stehen und einen zum Teil bidirektionalen Einfluss aufeinander haben. Die Berücksichtigung beider Faktoren sind bei der Planung der oralen Prävention und Therapie der Patienten in der Zahnarztpraxis unabdingbar. Dabei ist oberstes Ziel, die Gesundheit und die Lebensqualität der Patienten sowohl aus zahnmedizinischer -und medizinischer Sicht zu erhalten. mehr Infos

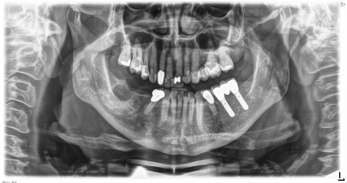
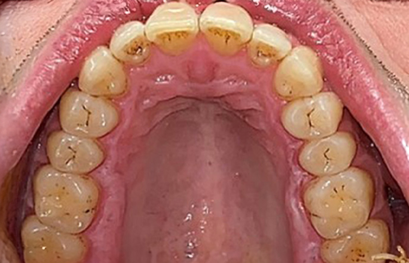
    Der (mund)-gesunde Patient mit Implantaten

    Der 55-jährige Patient gibt in der Anamnese an, keine Allgemeinerkrankungen zu haben und keine Medikamente einzunehmen. Die Lebensgewohnheiten des Patienten sind ebenfalls unauffällig. Der Patient hat einige zahnärztliche Restaurationen und zwei Implantate (2. und 4. Quadrant). Anhand der aktuellen Befunde lässt sich eine Gingivitis bei stabilem parodontalen Zustand am reduzierten Parodont (Stadium III, Grad A) feststellen. mehr Infos

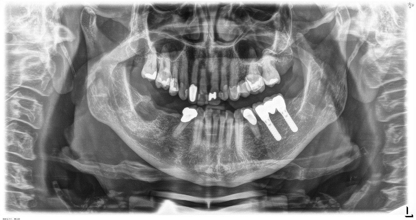
    Der gesunde Patient mit parodontaler Vorerkrankung & Periimplantitis

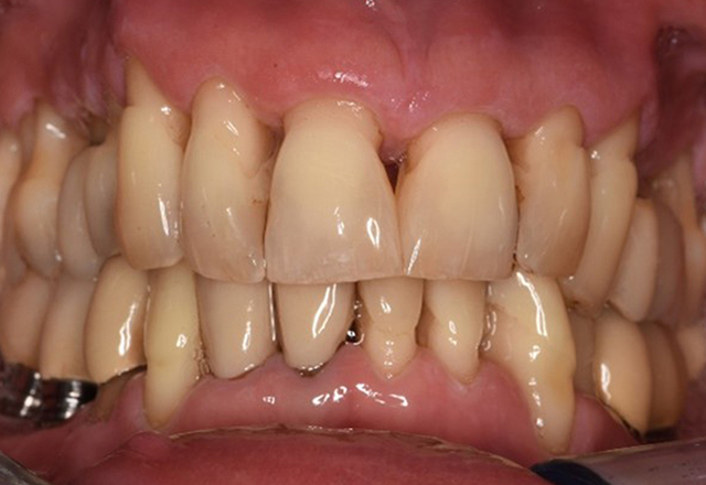
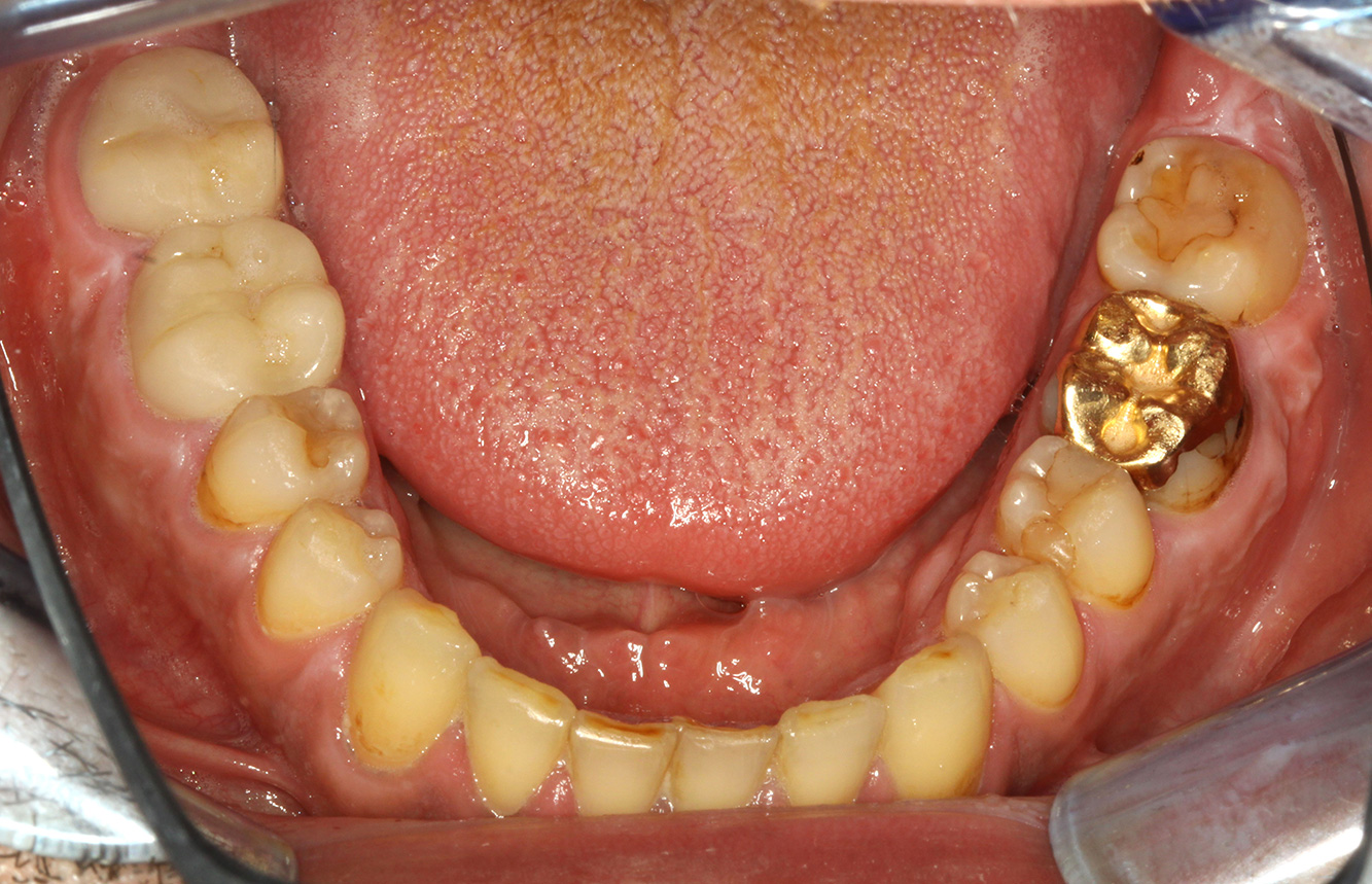
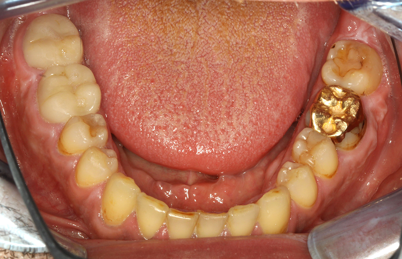
    Ein 52-jähriger Patient stellt sich zur Präventionssitzung vor. Der Patient hat keine Allgemeinerkrankungen und nimmt keine Medikamente ein. Er hat verschiedene zahnärztliche Versorgungen und zudem zwei aktive kariöse Läsionen. Außerdem verfügt der Patient über vier Implantate (2., 3. und 4. Quadrant). Es zeigt sich eine parodontale Vorerkrankung (Stadium IV, Grad B). Derzeit herrschen stabile parodontale Verhältnisse, lediglich am Implantat regio 36 zeigen sich Sondierungstiefen (ST) von 5 mm. Zudem lässt sich eine Gingivitis feststellen. mehr Infos

    Der Diabetiker mit Parodontitis

    Dieser Fallbericht eines 52-jährigen Mannes mit Typ-2-Diabetes und Parodontitis hebt hervor, wie durch individuelle Vorsorgemaßnahmen, die Gesundheit des Zahnhalteapparates erhalten bzw. das Fortschreiten der Erkrankung kontrolliert werden kann. mehr Infos

    Der 28-jährige Raucher mit Zahnerosionen

    Dieser Fallbericht eines 28-jährigen Rauchers mit Zahnerosionen zeigt die Bedeutung personalisierter Patientenprofile. Er unterstreicht die Notwendigkeit, sowohl die Mundgesundheit als auch die allgemeine Gesundheit zu berücksichtigen, um Erkrankungen der Zähne bzw. des Zahnhalteapparates effektiv zu verhindern. mehr Infos

    Der Endokarditis-Patient mit aktiven Kariesläsionen

    Der Patient ist 39 Jahre mit Z.n. Herzklappenersatz wegen Klappenfehlers und Endokarditis. Als Antikoagulans (Gerinnungshemmer) wird regelmäßig ASS 100 eingenommen. Aus dem Bereich Lebensstil ist die Ernährungsweise als kariesfördernd einzustufen, da mit hoher Regelmäßigkeit zuckerhaltige Lebensmittel sowie sechs bis sieben Mahlzeiten täglich verzehrt werden. Die Mundgesundheit des Patienten zeigt ein mittleres Kariesrisiko mit aktiven Läsionen. Das Parodontitisrisiko ist niedrig, es besteht eine Gingivitis. Es ergeben sich folgende Empfehlungen für die Prophylaxebehandlung. mehr Infos

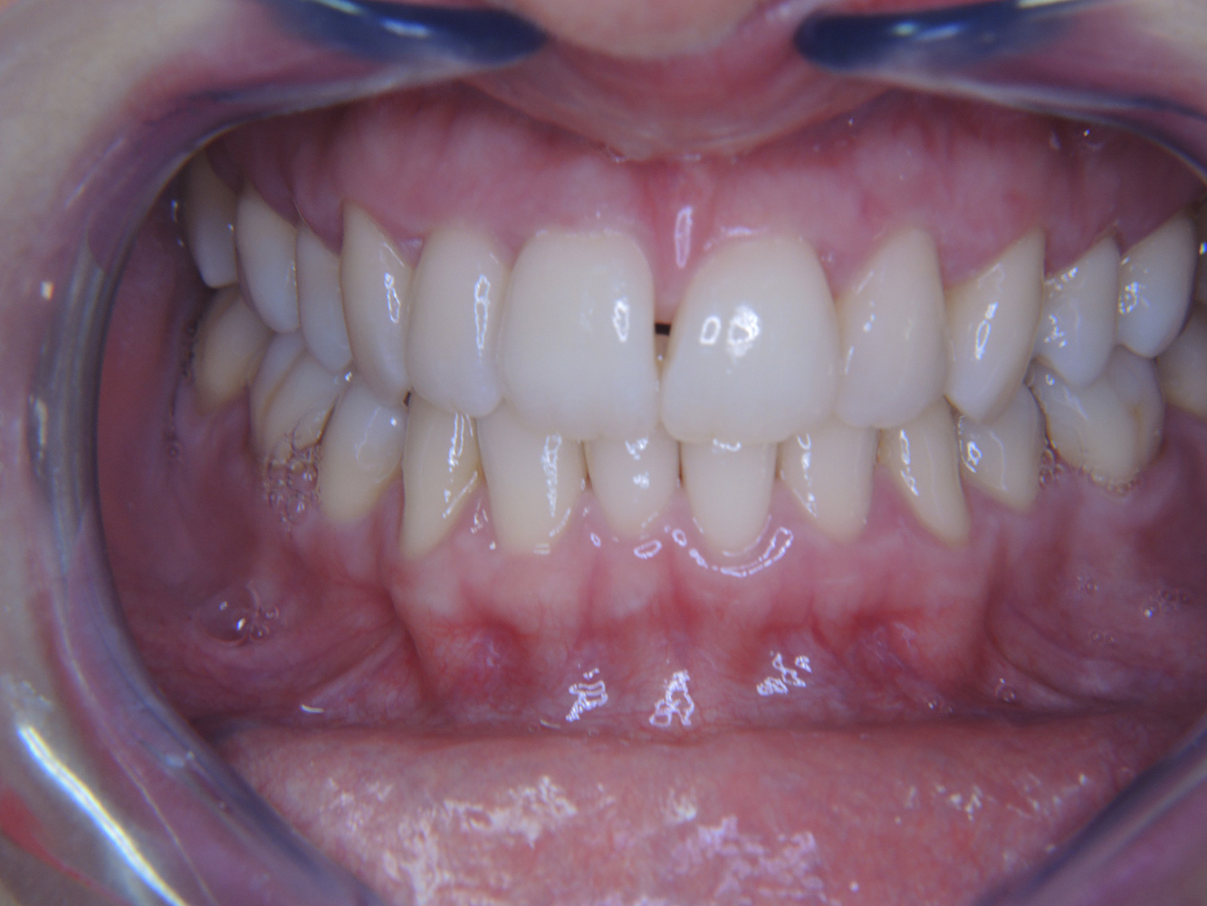
    Die gesunde Patientin mit parodontaler Vorerkrankung

    Die 68-jährige Patientin hat keine zahnmedizinisch relevanten allgemeingesundheitlichen Vorerkrankungen oder Medikation, auch aus dem Lebensstil ergibt sich kein besonderes Risiko. Die Patientin hat zwei Implantate (3. Quadrant, seit fünf Jahren) sowie eine parodontale Vorerkrankung (Parodontitis Stadium IV, Grad B) mit Zahnverlust. Derzeit zeigen sich stabile parodontale Verhältnisse. Für die Prophylaxesitzung ergeben sich vier Empfehlungen in den Bereichen Anamnese/Befund, Motivation/Instruktion, der Wahl der geeigneten Instrumente und für Resümee/Folgetermin. mehr Infos

    NIWOP – No Implantology without Periodontology

    Der Transplantationspatient mit Gingivawucherungen

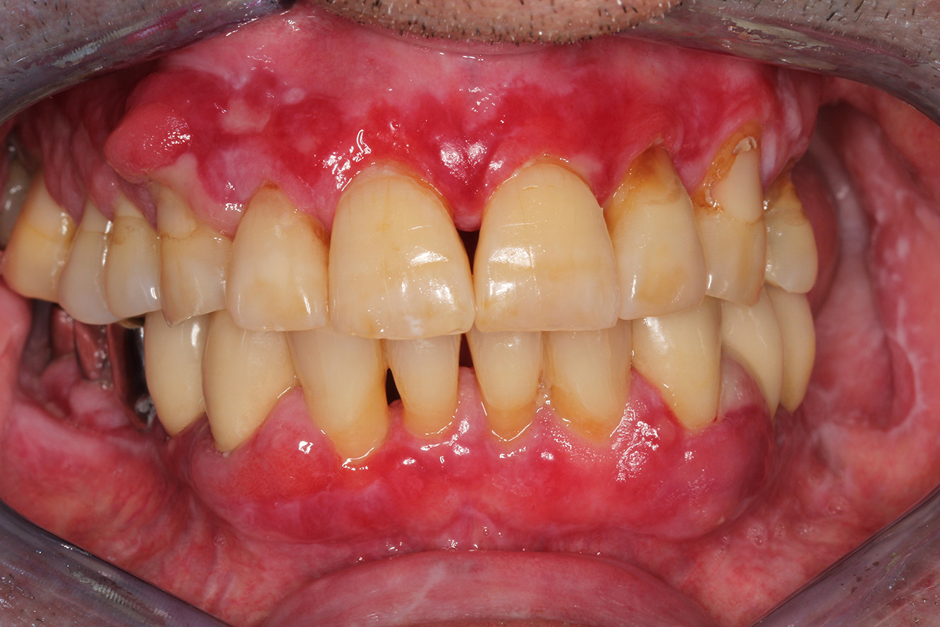
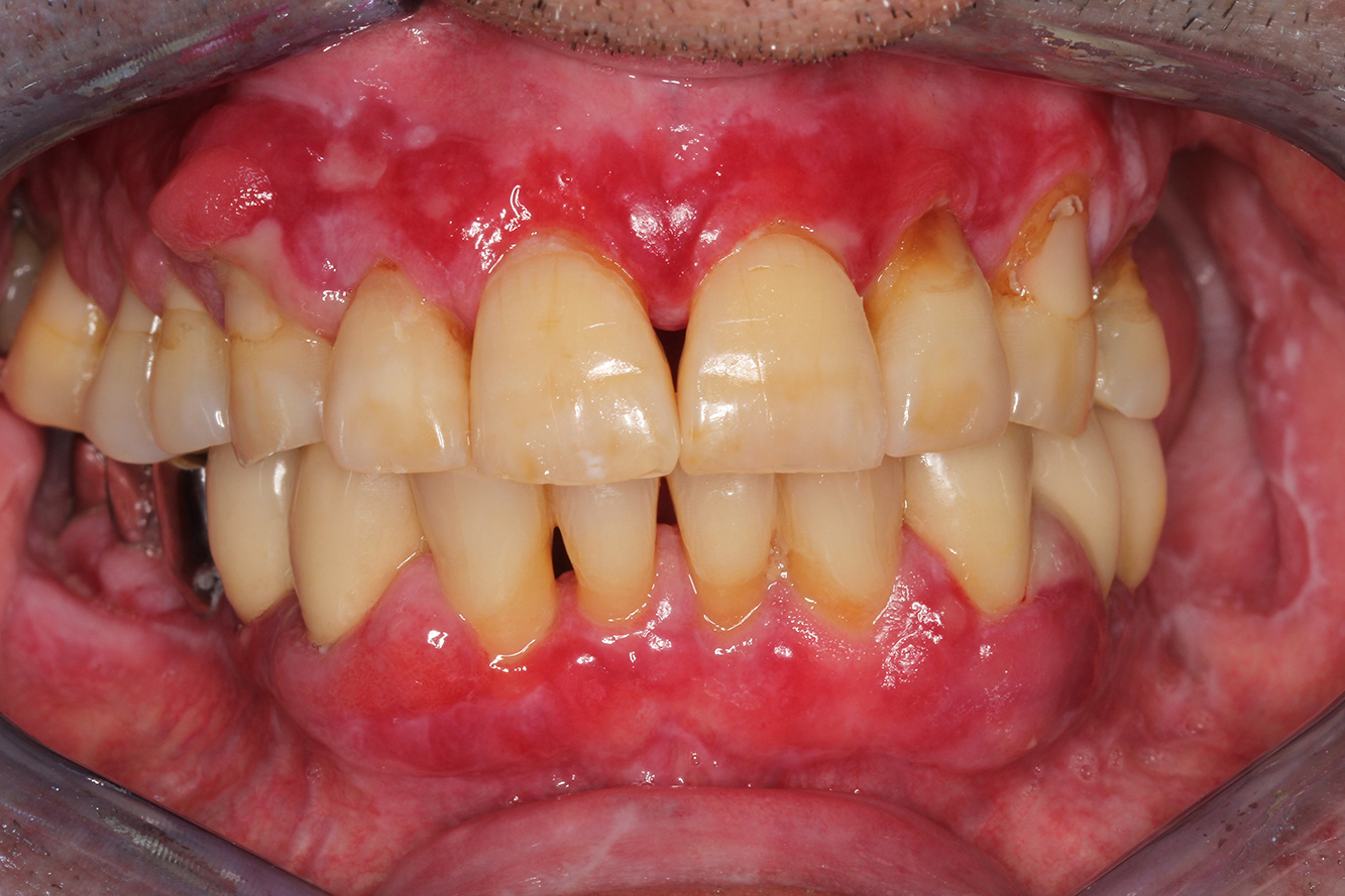
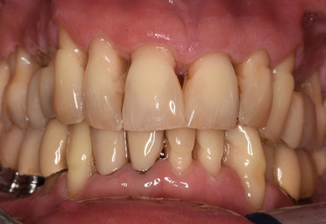
    Ein 71-jähriger Patient mit Z.n. Nierentransplantation und Hypertonie (Bluthochdruck) stellt sich vor. Bedingt durch die Krankengeschichte ist eine Dauermedikation mit Cyclosporin, zur Unterdrückung der Immunabwehr, und Amlodipin, zur Blutdrucksenkung, erforderlich. Außerdem berichtet der Patient über empfindliches Zahnfleisch und Zahnfleischbluten. Aus mundgesundheitlicher Sicht zeigt sich ein saniertes Gebiss mit acht fehlenden Zähnen, ausgeprägte Gingivawucherungen, eine Parodontitis Stadium II, Grad B mit aktiven Taschen und eine initiale Wurzelkaries an Zahn 22. In der Kariesrisikoabschätzung wird ein mittleres Kariesrisiko (API 60) festgestellt. Für die Prophylaxesitzung lassen sich folgende Behandlungsempfehlungen ableiten. mehr Infos

    * mit freundlicher Genehmigung von Dr. G. Schmalz und Prof. Dr. D. Ziebolz MSc.