Berichte & Studien

Snus verursacht Schleimhautläsionen & Gingivarezessionen

PD Dr. Kristina Bertl, PhD MSc MBA

Snus ist ein Oraltabak, der entweder lose (als Pulver) oder portioniert (in kleinen Beuteln) konsumiert wird und sowohl Nikotin als auch Tabak enthält. Diese Art von Oraltabak ist vor allem in Skandinavien und hier vor allem in Schweden und Norwegen weit verbreitet. Snus wird zumeist unter der Oberlippe, von manchen auch unter der Unterlippe, in Kontakt mit der Mundschleimhaut gebracht, wodurch das enthaltene Nikotin über die Mundschleimhaut in die Blutbahn gelangen kann. Da Snus nicht geraucht wird, können keine Schadstoffe auftreten, die üblicherweise beim Verbrennen von Tabak auftreten. Aus diesem Grund wird oft behauptet, dass Snus gesundheitlich weniger bedenklich ist als das Rauchen von Zigaretten, aber ist das wirklich so? Und wie schaut es vor allem in der Mundhöhle aus?

Snus verursacht Schleimhautläsionen & Gingivarezessionen
Snus verursacht Schleimhautläsionen & Gingivarezessionen

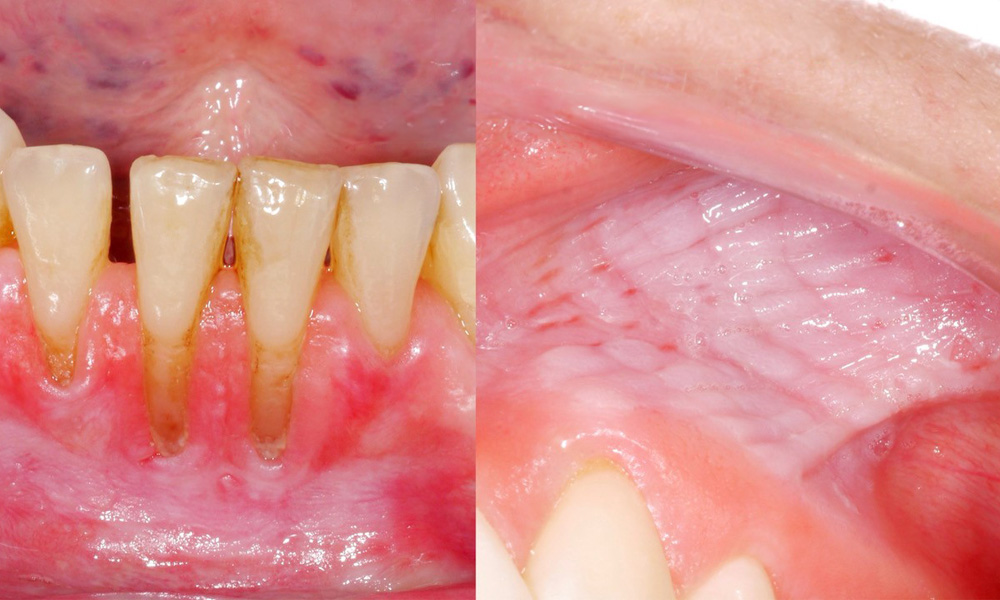
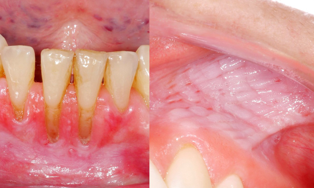
Eine aktuelle Studie aus Norwegen hat sich damit beschäftigt, ob und welche oralen Läsionen beim regelmäßigen Konsum von Snus bereits in einem relativ jungen Alter auftreten können (Kopperud et al. 2023). Es wurden insgesamt 1.363 junge Erwachsene im Alter von 18 bis 20 Jahren nach ihrem Snuskonsum befragt und davon gaben 216 (16 %) an, Snus täglich zu konsumieren.

Es zeigte sich im Rahmen der klinischen Untersuchung, dass der regelmäßige Konsum von Snus folgende Auswirkungen auf die Mundschleimhaut haben kann:

  • Ca. 80 % der Untersuchten, die täglich Snus konsumieren, wiesen Snus-induzierte Schleimhautläsionen auf.
  • Jede zusätzliche Dose Snus, die pro Monat konsumiert wurde, stieg das Risiko für eine schwerere Schleimhautläsion signifikant an.
  • Ca. 20 % der Untersuchten, die täglich Snus konsumieren, wiesen Snus-induzierte Gingivarezessionen auf.
  • Für jedes weitere Jahr, in dem Snus bereits konsumiert wurde, stieg das Risiko für Snus-induzierte Gingivarezessionen signifikant an.

Auch wenn Snus in Österreich aufgrund eines Verkaufsverbots nicht weit verbreitet ist, ist es dennoch interessant zu wissen, was die Folgen in der Mundhöhle sein können, da diese – wie in dieser Studie erneut bestätigt – bei fast jedem auftreten, der Snus regelmäßig konsumiert.

Referenz

  1. Simen E. Kopperud, Vibeke Ansteinsson, Ibrahimu Mdala, Rune Becher & Håkon Valen (2023) Oral lesions associated with daily use of snus, a moist smokeless tobacco product. A cross-sectional study among Norwegian adolescents, Acta Odontologica Scandinavica, 81:6, 473-478

Kommentare