Berichte & Studien

Endo-parodontale Behandlung eines Brückenpfeilers

Selektive Anwendung eines piezochirurgischen Geräts und eines Implantatmotors

Ein Beitrag von Ramon Boninsegna, DDS, PhD und Luca Bovolato, DDS

Erstveröffentlichung in BDIZ EDI konkret 01/2017

Dass die eigenen Zähne eine wertvolle Ressource sind, ist Ärzten besonders bewusst. Dieser Fallbericht beschreibt den komplexen Versuch, einen endo-parododontal entzündeten Prämolaren als Brückenpfeiler zumindest für die nähere Zukunft zu erhalten. Er beinhaltet die Platzierung zweier benachbarter Implantate in Kombination mit einem internen Sinuslift. Für diesen multidisziplinären Eingriff werden ein piezochirurgisches Gerät und ein Implantatmotor eingesetzt.

Paro-Endo-Läsionen beeinträchtigen sowohl parodontales (zum Zahnhalteapparat gehöriges) als auch endodontisches (zur Zahnpulpa gehöriges) Gewebe (Foce, 2009). Ihre Pathogenese ist hochgradig variabel und kann nur mittels differenzierter Diagnosemethoden ermittelt werden. Diese umfassen nicht-invasive und invasive Sensibilitätsprüfung und sorgfältige parodontale Sondierung, auch um eine monokausale Ätiologie auszuschließen.

Wenn ausbleibende Vitalzeichen der Pulpa und biofilm-induzierte parodontale Taschen auf eine kombinierte Läsion hinweisen, wird die Behandlung in vielen Fällen mit orthograder Endodontie beginnen. Bleiben die Symptome bestehen, muss die parodontale Bewertung wiederholt und, falls nötig, eine lokale oder systematische Therapie eingeleitet werden. Der Erfolg sowohl der endodontischen als auch der parodontalen Behandlungsmaßnahmen gründet auf Maßnahmen, die sich auf pathogene Biofilme als ätiologische Schlüsselfaktoren konzentrieren (Nair, 1997, Hajishengallis and Lamont, 2012).

Wenn bei parodontalen Defekten eine gesteuerte Geweberegeneration (GTR) indiziert ist und die bukkale Wand fehlt, werden mit einer Kombination aus Knochen oder Knochenersatzmaterial und einer Membran die besten Ergebnisse erzielt (Sculean et al., 2008). Aus klinischer Erfahrung und aufgrund weiterer biologischer Faktoren ist der Erfolg jedoch fraglich, wenn es zu starkem Knochenverlust bis in den Apexbereich gekommen ist.

Horizontale Augmentation

Bei Zahnverlust bilden sich die zum Zahn gehörigen Parodontalstrukturen einschließlich des Alveolarknochens unweigerlich zurück und der Alveolarkamm wird remodelliert (Tan et al., 2012). Um diese physiologischen Prozesse zu verringern, kann eine alveolarkammerhaltende Maßnahme erfolgen und – wenn möglich – eine zahngetragene Brücke eingesetzt werden (Schlee and Esposito, 2009). Alternativ kann ein Implantat inseriert werden, das den Knochen aufgrund der funktionellen Krafteinleitung erhält (Wolff, 1986, Wolff and Wessinghage, 1892).

Wenn die Knochensubstanz an der künftigen Implantationsstelle unzureichend ist, kann eine simultane oder vorangehende Augmentation angebracht sein. Einer aktuellen Studie zufolge ist die Knochenblocktransplantation die häufigste zweizeitige Methode, wohingegen gesteuerte Knochenregeneration (GBR) bei der simultanen Vorgehensweise häufiger angewendet wird (Sanz-Sanchez et al., 2015). Bei begrenzter Defektgröße ist die gesteuerte Knochenregeneration möglicherweise vorzuziehen, da es keiner weiteren Eingriffsstelle für eine autogene Knochentransplantation bedarf.

Viele Zahnmediziner bevorzugen für die gesteuerte Knochenregeneration ein Produktsystem, das aus einem bovinen Knochenersatzmaterial und einer porcinen resorbierbaren Kollagenmembran besteht. Das liegt sowohl an der langsamen Resorptionsrate des Ersatzmaterials und der Biokompatibilität der Membran als auch an der umfangreichen Dokumentation der beiden Produkte, auch hinsichtlich ihrer kombinierten Verwendung (Jensen et al., 2014, Retzepi and Donos, 2010).

Sinusaugmentation

Im Seitenzahnbereich des Oberkiefers können vertikale Knochendefekte durch eine Sinusbodenaugmentation behandelt werden. Insbesondere, wenn die Restknochenhöhe kaudal vom Sinusboden mindestens 4 mm beträgt, haben sich interne Methoden als erfolgreich erwiesen (Calin et al., 2014). Klinischen Studien zufolge kann die Perforationsgefahr durch die Verwendung piezochirurgischer Geräte nahe der Schneider`schen Membran reduziert werden (Zhen et al., 2012). Darüber hinaus führt die Behandlung mit Piezo-Geräten im Vergleich zu Osteotomen sowohl zu weniger Beschwerden beim Patienten während des Eingriffs als auch zu einer Entlastung des Operateurs (Baldi et al., 2011). Diese Vorteile gelten generell auch für externe Sinusboden-Augmentationen (Wallace et al., 2012).

Im vorliegenden Fallbericht wurde der endo-parodontale Erhalt eines ersten Oberkiefer-Prämolaren mit geschlossener Implantation und gleichzeitiger Augmentation zur Wiederherstellung des linken posterioren Oberkiefers kombiniert. Aufgrund der fraglichen Prognose der Pfeilerzähne musste die finale restaurative Planung bis nach der Osseointegration der Implantate verschoben werden.
Die verschiedenen operativen Eingriffe erfolgten entweder mit einem piezochirurgischen Gerät oder mit rotierenden Instrumenten in Kombination mit einem Implantatmotor.


FALLBERICHT:

apikale Parodontalläsion an Zahn 24
Abb. 1: Bei einer 58-jährigen Patientin zeigt die Röntgenaufnahme vor der OP eine apikale Parodontalläsion an Zahn 24 und einen horizontalen Knochenabbau im zweiten Quadranten.

1. Dr. Luca Bovolato:

Eine 58-jährige Patientin, die auch eine gute Freundin und ärztliche Kollegin ist, beschwerte sich über Schmerzen und erhöhte Beweglichkeit ihres Brückenpfeilers 24. Es lag auch eine parodontale Entzündung vor, mit Taschentiefen von 7 mm mesiobukkal und mehr als 12 mm distal und einer Furkationsbeteiligung dritten Grades. Darüber hinaus zeigte die Röntgenaufnahme eine großflächige apikale Aufhellung am endodontisch (alio loco) vorbehandelten Zahn 24 (Abb. 1).

Ein Jahr zuvor waren die Zähne 25 und 26 vor dem Einsetzen der Brücke aufgrund traumatischer und endoparodontaler Ursachen extrahiert worden. Eine Paro-Endo-Läsion wurde bei unklarer ätiologischer Hauptkomponente für den Zahn 24 diagnostiziert. Die Patientin machte deutlich, dass sie ihre Pfeilerzähne 24 und 27 behalten und keinen endgültigen oder temporären herausnehmbaren Zahnersatz akzeptieren will. Darum wurde vereinbart, alles zu versuchen, beide Zähne, trotz der nach den radiologischen und klinischen Befunden als schlecht einzustufenden Prognose, zu erhalten.

Außerdem wurde die Platzierung zweier verdeckt einheilender Implantate an den Positionen 25 und 26 bei einem chirurgischen Eingriff mit offenem parodontalen Debridement und Wurzelspitzenresektion am Zahn 24 geplant. Aufgrund des vertikalen Knochendefizits im Implantationsbereich wurde auch eine interne Sinusbodenaugmentation geplant.

Nach einer lokalen Applikation von 25-prozentigem Metronidazol-Gel (Elyzol) in die Taschen des Zahns 24 wurde die ursächliche Behandlung mit systematischer Parodontaltherapie einschließlich Full-Mouth-Disinfection begonnen. Die orthograde Wurzelkanalbehandlung wurde mittels einer thermoplastischen Obturation mit Guttapercha, einem Glasfaserstift und einem Komposit-Stumpfaufbau revidiert (Abb. 2). Die Brücke wurde außer Okklusion wieder befestigt, um die ungestörte Heilung der GTR- und GBR-Bereiche zu gewährleisten.

Parodontales Debridement und Apikotomie


1. Dr. Ramon Boninsegna:

Einen Monat nach dem Eingriff waren sowohl die Schmerzen als auch die Entzündung an Zahn 24 minimal, die Zahnbeweglichkeit lag jedoch noch bei Miller-Klasse 2. Nach Freilegung und Reinigen des infizierten periapikalen und periradikulären Gewebes wurde das Ausmaß des Knochendefizits deutlich (Abb. 2 und 3).

An der bukkalen Wurzel fehlte der gesamte vestibuläre und distale Knochen. Das Attachment beschränkte sich weitgehend auf die palatinale Wurzel, was die anfängliche schlechte Prognose unterstreicht. Auch Zahn 27 wies ein verringertes horizontales Attachment (vgl. Abb. 12) und eine kleine apikale Aufhellung (Abb. 1) auf, allerdings ohne klinische Symptome.

kompletter Verlust von Knochen und Attachment
Abb. 2 und 3: Bei der Freilegung einen Monat nach endodontischer Revision und Beginn einer systematischen Parodontalbehandlung weist die bukkale Wurzel des Zahns 24 einen kompletten Verlust von Knochen und Attachment auf.

Wir blieben jedoch bei unserem ursprünglichen Plan, beide Zähne als temporäre Brückenpfeiler während der sechsmonatigen Osseointegrationsphase der Implantate zu erhalten. Bei der Wiederaufnahme der Behandlung sollte die Situation neu bewertet werden.

Zunächst wurde in einem Versuch, das Paro-Endo-Problem zu lösen, an der verbleibenden Wurzeloberfläche ein vorsichtiges Debridement mit einem piezochirurgischen Gerät vorgenommen (Piezomed, W&H) (Abb. 4); dann wurde der Apex mit dem gleichen Instrument im Sinne einer WSR abgetragen, um das verbleibende infizierte apikale Gewebe zu entfernen (Abb. 5). Eine retrograde Füllung war nicht notwendig, da die orthograde Füllung gerade revidiert worden war.

Brückenpfeiler
Abb. 4: Um den Zahn 24 als vorläufigen Brückenpfeiler zu erhalten, wird das Parodont mit einem piezochirurgischen Sytem gereinigt ...
bukkale Wurzelspitze
Abb. 5 ... und die bukkale Wurzelspitze mit dem gleichen Instrument abgetragen (WSR).

Sinuslift und Einbringen der Implantate

Vor der Insertion der Implantate wurde infiziertes Weichgewebe im Implantationsbereich und um das Abutment mit einem Instrument entfernt, das laut Hersteller primär zur Knochenbearbeitung und zum Sammeln von Knochenspänen vorgesehen ist (Piezomed, Einsatz B5) (Abb. 6 und 7).

piezochirurgisches Instrument
Abb. 6: Der Operationsbereich wird dann mit einem schabenden piezochirurgischen Instrument gereinigt.
Knochendefizite
Abb. 7: Nach dem Debridement sind die Knochendefizite an Zahn 27 mesial und um die Wurzel von Zahn 24 deutlich sichtbar.
Implantatmotor
Abb. 8: Der nächste Schritt ist die rotierende Präparation des Implantatbetts bis kurz unterhalb des Sinusbodens an Position 25, die mit einem weiterentwickelten Implantatmotor erfolgte.

Im folgenden Schritt wurde das jeweilige Implantatbett an den Positionen 25 und 26 mit rotierenden Instrumenten in einem Winkelstück mit einem Übersetzungsverhältnis von 20:1 (WS-75 L G, W&H) und einem vor Kurzem aktualisierten leistungsstarken Implantatmotor präpariert (Implantmed, W&H) (Abb. 8 und 19).

Die Abschlusspräparation am Sinus erfolgte wieder mit einem piezochirurgischen Instrument.

Vor der Insertion der Implantate und nach Überprüfung der intakten Schneiderschen Membran (Abb.9) wurde der interne Sinusboden an beiden Implantatpositionen mittels eines xenogenen Knochenersatzmaterials (Abb. 10) augmentiert.

Intaktheit der Sinusmembran
Abb. 9: Nach der Präparation des Implantatbetts an Position 26 wird die Intaktheit der Sinusmembran mit einer Parodontalsonde mit abgerundetem Kopf (CPITN) überprüft.
CPITN-Sonde
Abb. 10: Einbringen von xenogenem Knochenersatzmaterial zur internen Sinusaugmentation: Das Material wird mit der CPITN-Sonde vorsichtig in apikaler Richtung komprimiert (nicht abgebildet).

Dann wurden die Implantate (Restore, Keystone Dental) mit dem Implantatmotor eingesetzt (Abb. 11 und 12).

Insertion des Implantats an Position 26
Abb. 11: Insertion des Implantats an Position 26 bei geringer Geschwindigkeit und einer Drehmomentbegrenzung von 35 Ncm.
Eindrehen der Abdeckschrauben
Abb. 12: Beide Implantate sind in Position und bereit für das Eindrehen der Abdeckschrauben.

Knochendefizite an der mesialen Fläche des Zahns 27 und an der bukkalen Wurzel des Zahns 24 wurden mit xenogenem Knochenersatzmaterial aufgefüllt und mit einer resorbierbaren Kollagenmembran (Geistlich Bio-Gide) im Sinne einer GBR-Augmentation (Abb. 13 und 14) abgedeckt.

Xenogenes Knochenersatzmaterial
Abb. 13: Xenogenes Knochenersatzmaterial wird zur Auffüllung der verbleibenden Knochendefekte verwendet ...
resorbierbares Kollagenmembran
Abb. 14: ... und mit einer resorbierbaren Kollagenmembran abgedeckt. Die grau-rosa-farbene Struktur zwischen den Elevatorien am oberen Bildrand ist gingivales Papillengewebe.

Schließlich wurde die Stelle nach einer Periostschlitzung mit resorbierbarem Nahtmaterial der Stärke 5/0 passiv mit einem koronalen Verschiebelappen vernäht (Abb. 15). Die postoperative Röntgenaufnahme zeigt beide Implantate in korrekter vertikaler Position (Abb. 16).

Situation nach spannungsfreier Wundnaht
Abb. 15: Situation nach spannungsfreier Wundnaht mit resorbierbarem Nahtmaterial. Die Implantate sollen nach sechs Monaten zur Abformung freigelegt werden.
postoperative Röntgenaufnahme
Abb. 16: Die postoperative Röntgenaufnahme zeigt die eingesetzten Implantate mit apikal erkennbarem Knochenersatzmaterial vom internen Sinuslift. Auch um die Wurzel des Zahns 24 ist Knochenersatzmaterial von der GTR sichtbar.

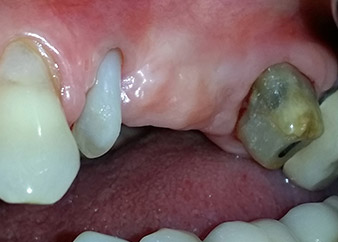
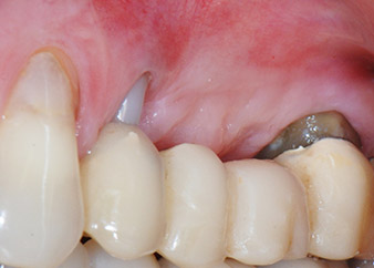
Zwischenergebnis nach zwei Monaten

Die Abbildungen 17 und 18 zeigen das klinische Ergebnis zwei Monate nach dem Eingriff. Die nun verminderte Beweglichkeit des Zahns 24 lag bei Miller-Klasse 1 und das Weichgewebe war entzündungsfrei. Um eine neue Infektion zu verhindern und das epitheliale Attachment nicht zu zerstören, wurde auf eine Sondierung zu diesem Zeitpunkt verzichtet. Die nächste Untersuchung sollte bei der Freilegung und dem Verschrauben der Gingivaformer stattfinden, sechs Monate nach dem Einsetzen der Implantate.

Zwei Monate nach dem Eingriff ist die Patientin schmerzfrei.
Abb. 17: Zwei Monate nach dem Eingriff ist die Patientin schmerzfrei und der Bereich weist keine Entzündungen auf.
Nach dem Eingriff
Abb. 18: Zahn 24 zeigt eine verminderte Beweglichkeit.

Diskussion

Im vorliegenden Fallbericht kombinierten die Autoren die Behandlung einer endoparodontalen Läsion mit Implantationen bei gleichzeitigem Sinuslift sowie GBR- und GTR-Maßnahmen im Seitenzahnbereich des linken Oberkiefers. Da die Brückenzähne 24 und 27 primär eine schlechte Prognose hatten, erfolgten die zahnerhaltenden Maßnahmen auf ausdrücklichen Wunsch der Patientin. Außerdem wurde die Brücke für die Osseointegrationsphase der verdeckt einheilenden Implantate an den Positionen 25 und 26 wieder befestigt, weil die Patientin einen herausnehmbaren temporären Ersatz abgelehnt hatte.

Prognose und restaurative Optionen

Im Normalfall hätten wir zumindest Zahn 24 extrahiert und für die Patientin eine herausnehmbare provisorische Kunststoffprothese angefertigt. Um jedoch ihren Wünschen nachzukommen, erklärten wir uns damit einverstanden, den Pfeilerzahn bei der erneuten Untersuchung sechs Monate nach der Implantation neu zu bewerten. Die Patientin ist gut informiert und sich ihrer Situation bewusst. Bei der Freilegung zum Einsetzen der Gingivaformer wird das Ergebnis dieses endoparodontalen Eingriffs sichtbar werden.

Schon bei der Kontrolle zwei Monate nach Implantation hatte sich die Beweglichkeit des verbliebenen „Zahnelements“ 24 von Miller-Klasse 2 zu Klasse 1 verringert. Das weichgewebige Attachment entsprach dem des benachbarten Zahns 23. Die Prognose muss möglicherweise bei der Freilegung angepasst werden, da keine weiteren endodontischen oder parodontalen Symptome vorlagen. Da allerdings fast der gesamte bukkale und approximale Knochen fehlen und der Stumpfaufbau bis zum apikalen Wurzelabschnitt reicht, ist aufgrund biologischer Faktoren kein höheres Attachmentniveau mehr zu erwarten (Sculean et al., 2008).

Die Sinusboden-Augmentation und die GBR-Maßnahme werden mit hoher Wahrscheinlichkeit zu einer guten Prognose für die inserierten Implantate führen (Retzepi and Donus, 2010, Calin et al., 2014). Nach der Osseointegration werden die Implantate an den Positionen 25 und 26 laut Planung mit verblockten Kronen versorgt. Muss ein Zahn extrahiert werden, wird er durch eine implantatgetragene Einzelkrone ersetzt.

Auswahl der chirurgischen Geräte

Sowohl das parodontale Debridement als auch die Wurzelspitzenresektion des Zahnelements 24 wurden aufgrund seiner präzisen und schonenden Eigenschaften mit einem piezochirurgischen System ausgeführt. Um einen Zahnverlust zu vermeiden, war eine sorgfältige Reinigung ohne zu große Druckanwendung notwendig. Das Gerät war außerdem für das Knochen-Debridement im Operationsbereich nützlich. Hierfür kann es aufgrund des spezifischen Kavitationseffekts und der Schneideigenschaften dieser Technologie sehr gut angewendet werden.

Implantatmotor Implantmed
Abb. 19: Im Fallbeispiel wurde der abgebildete aktualisierte Implantatmotor verwendet. Neu sind unter anderem der Glas-Touchscreen und individuelle Einstellmöglichkeiten, die zum Beispiel für Praxisgemeinschaften nützlich sind.

Die Implantatlager wurden mit einem neuen Implantatmotor in Verbindung mit einem speziell für Oralchirurgie und Implantologie konzipierten Winkelstück aufbereitet.

Das Übersetzungsverhältnis von 20:1 und das hohe Drehmoment des Implantatmotors von bis zu 6,2 Ncm (bis zu 80 Ncm am rotierenden Instrument) ermöglichen es, bei geringer Geschwindigkeit Implantatlager zu präparieren, Implantate einzudrehen und bei dichtem Knochen Gewinde vorzuschneiden.

Die finale Präparation bis zur Sinusmembran erfolgte wieder mit dem piezochirurgischen Gerät und einem runden Diamantinstrument. Aus praktischer Sicht kann die gleichzeitige Verwendung eines piezochirurgischen Geräts und eines Implantatmotors im selben Eingriff kompliziert erscheinen.

Der Implantatmotor wurde in Kombination mit einem piezochirurgischen System eingesetzt.
Abb. 20: Der Implantatmotor wurde in Kombination mit einem piezochirurgischen System eingesetzt.

Die Einstellung und Bedienung beider Geräte erfolgt jedoch mit flachen Lernkurven. Mit der neuen kabellosen Fußsteuerung kann zudem sehr einfach zwischen beiden Geräten gewechselt werden.

Die Fußsteuerung lässt sich bequem mit einem Bügel bewegen. Alle diese Merkmale zusammen erlauben es dem Operateur, sich voll auf den Eingriff und vor allem auf den Patienten zu konzentrieren.

kabellose Fußsteuerung
Abb. 21: Um den Vorgang noch komfortabler zu gestalten, können beide Geräte selektiv mit derselben kabellosen Fußsteuerung bedient werden.

Kontakt:

Ramon Boninsegna, DDS, PhD

Ramon Boninsegna, DDS, PhD

Facharzt für Oralchirurgie Privatpraxis in Brescia, Italien; Fachbereich für Anatomie und Physiopathologie, Abteilung für Klinische und Experimentelle Wissenschaften, Universität Brescia, Italien.

Luca Bovolato, DDS

Luca Bovolato, DDS

Schwerpunkte Endodontie und restaurative Zahnheilkunde Privatpraxis in Brescia




Literaturverzeichnis

  • Baldi, D., Menini, M., Pera, F., Ravera, G. & Pera, P. (2011) Sinus floor elevation using osteotomes or piezoelectric surgery. Int J Oral Maxillofac Surg 40, 497-503.
  • Calin, C., Petre, A. & Drafta, S. (2014) Osteotome-mediated sinus floor elevation: a systematic review and meta-analysis. Int J Oral Maxillofac Implants 29, 558-576.
  • Foce, E. (2009) Lesioni endo-paradontali. Milano: Quintessenza Edizioni.
  • Hajishengallis, G. & Lamont, R. J. (2012) Beyond the red complex and into more complexity: the polymicrobial synergy and dysbiosis (PSD) model of periodontal disease etiology. Mol Oral Microbiol 27, 409-419.
  • Jensen, S. S., Bosshardt, D. D., Gruber, R. & Buser, D. (2014) Long-term stability of contour augmentation in the esthetic zone: histologic and histomorphometric evaluation of 12 human biopsies 14 to 80 months after augmentation. J Periodontol 85, 1549-1556.
  • Nair, P. N. (1997) Apical periodontitis: a dynamic encounter between root canal infection and host response. Periodontol 2000 13, 121-148.
  • Retzepi, M. & Donos, N. (2010) Guided Bone Regeneration: biological principle and therapeutic applications. Clin Oral Implants Res 21, 567-576.
  • Sanz-Sanchez, I., Ortiz-Vigon, A., Sanz-Martin, I., Figuero, E. & Sanz, M. (2015) Effectiveness of Lateral Bone Augmentation on the Alveolar Crest Dimension: A Systematic Review and Meta-analysis. J Dent Res 94, 128s-142s.
  • Schlee, M. & Esposito, M. (2009) Aesthetic and patient preference using a bone substitute to preserve extraction sockets under pontics. A cross-sectional survey. Eur J Oral Implantat 2, 209-217.
  • Sculean, A., Nikolidakis, D. & Schwarz, F. (2008) Regeneration of periodontal tissues: combinations of barrier membranes and grafting materials - biological foundation and preclinical evidence: a systematic review. J Clin Periodontol 35, 106-116.
  • Tan, W. L., Wong, T. L. T., Wong, M. C. M. & Lang, N. P. (2012) A systematic review of post-extractional alveolar hard and soft tissue dimensional changes in humans. Clin Oral Implants Res 23, 1-21.
  • Wallace, S. S., Tarnow, D. P., Froum, S. J., Cho, S. C., Zadeh, H. H., Stoupel, J., Del Fabbro, M. & Testori, T. (2012) Maxillary sinus elevation by lateral window approach: evolution of technology and technique. J Evid Based Dent Pract 12, 161-171.
  • Wolff, J. (1986) The Laws of Bone Remodeling (translated by Maquet, P., Furlang, R.). Berlin: Springer.
  • Wolff, J. & Wessinghage, D. H. (1892) Das Gesetz der Transformation der Knochen. Berlin: Hirschwald.
  • Zhen, F., Fang, W., Jing, S. & Zuolin, W. (2012) The use of a piezoelectric ultrasonic osteotome for internal sinus elevation: a retrospective analysis of clinical results. Int J Oral Maxillofac Implants 27, 920-926.

Kommentare