Berichte & Studien

Vorbereitung einer erfolgreichen CAD/CAM-Behandlung

Dr. Sergio Ariosto Hernández Delgado

Verwendung von Elektromotoren mit Schnellläufer-Winkelstücken zur Vorbereitung von CAD/CAM-Versorgungen:

Jedes Jahr steigt weltweit die Anzahl der Patienten, die einen CAD/CAM-gefertigten Zahnersatz erhalten. Die Anwendung dieses hocheffizienten Verfahrens am Behandlungsplatz bedeutet, dass Zahnärzte die Tools zur 3D-Datenaufzeichnung sowie die Verarbeitung komplexer digitaler Daten und die Planung von Behandlungen mit umfassenden Softwarelösungen nun noch besser beherrschen müssen.

Im folgenden Interview erläutert der Zahnmediziner Sergio Ariosto Hernández Delgado die besonderen Herausforderungen bei der Vorbereitung einer erfolgreichen CAD/CAM-Behandlung. Er hält seit vielen Jahren Vorträge und Seminare an Universitäten und auf Konferenzen in Lateinamerika und Europa, in denen er seine Erfahrungen im Bereich der präventiven, ästhetischen und restaurativen Zahnheilkunde teilt.


Was sind Ihrer Meinung nach die Vorteile bei der Verwendung von Elektromotoren mit Schnellläufer-Winkelstücken zur Präparation, vor allem beim Einsatz von CAD/CAM-Versorgungen?

Dr. Hernández Delgado: Die wichtigsten Vorteile sind meiner Erfahrung nach die Folgenden: Kontrolle der Präparation, präzise, saubere und einheitliche Ränder, die einfach zu scannen sind. Weniger Vibration im Vergleich zu Turbinen und daher weniger Ermüdung und Kraftaufwand während des Präparationsverfahrens. Ein kleiner Nachteil ist das höhere Gewicht durch das Winkelstück und den Motor, verglichen mit der erhöhten Kraft, die nötig ist, um die mangelnde Leistung der Turbine auszugleichen – besonders bei der Durchführung von subtraktiven Verfahren oder Erneuerungen von Kronen.

Wie bewerten Sie die Effizienz eines elektrischen Systems bezüglich der Abtragsleistung im Vergleich zu Turbinen?

Dr. Hernández Delgado: Die Abtragsleistung ist bei regulären Verfahren wie der Erneuerung von Restaurationen ausgezeichnet, für die tägliche Arbeit mit Metall- und VMK-Restaurationen und besonders effektiv beim Entfernen von hochfester Keramik wie Zirkoniumdioxid, Aluminiumoxid, Lithiumdisilikat und anderen Keramikmaterialien. Bei einer geringeren Geschwindigkeit mit höherem Drehmoment haben Sie eine bessere Kontrolle über die Präparationsgestaltung, die Sauberkeit und Sichtbarkeit von Rändern sowie Kavitätslinienwinkel. Daher können Sie die Invasivität der Präparation von einer sehr wichtigen Phase an kontrollieren und so die Menge der entfernten gesunden Zahnstruktur reduzieren.

Studien wie die folgende liefern klinischen Beobachtern wie mir selbst einen wissenschaftlichen Rahmen:

J Prosthet Dent. 2009 May;101(5):319-31
In-vitro-Vergleich der Schneideeffizienz und Temperaturerzeugung zehn verschiedener rotierender Schneideinstrumente.
Teil II: Vergleich von elektrischem Handstück und Turbine.

Ercoli C1, Rotella M, Funkenbusch PD, Russell S, Feng C. Verglichen mit der Grundtemperatur konnte bei allen rotierenden Schneideinstrumenten beim Test mit dem elektrischen Handstück eine Reduzierung der Temperatur in der simulierten Pulpahöhle beobachtet werden. Der Great White Ultra (Hartmetallbohrer) zeigte die größte Vorschubgeschwindigkeit (0,17 mm/s) und niedrigste angewandte Belastung (108,35 g). Betrachtet man alle rotierenden Schneideinstrumente als eine Gruppe, wies das elektrische Handstück im Durchschnitt eine niedrigere Temperatur (26,68 °C), größere Vorschubgeschwindigkeit (0,12 mm/s) und höhere angewandte Belastung (124,53 g) auf als das Luftturbinen-Handstück (28,37 °C, 0,11 mm/s und 121,7 g). Bei den einzelnen Gruppen der rotierenden Schneideinstrumente traten deutliche Unterschiede zwischen elektrischen und Luftturbinen-Handstücken auf.


SCHLUSSFOLGERUNGEN:
Der getestete Hartmetallbohrer zeigte bei Anwendung mit dem elektrischen Handstück eine höhere Schneideeffizienz als die getesteten rotierenden Diamantschneider. Das elektrische Handstück wies eine höhere Schneideeffizienz auf als die Turbine, besonders bei Anwendung mit dem Hartmetallbohrer, wahrscheinlich aufgrund des höheren Drehmoments.

Wie bewerten Sie bei der Verwendung des elektrischen Systems (Motor und Winkelstück) die Option zur exakten Geschwindigkeitskontrolle (z. B. beim Finieren) – ebenfalls im Vergleich zu Turbinen?

Dr. Hernández Delgado:
Dies ist meine persönliche Erfahrung mit den folgenden Verfahren:

  • Restaurationsentfernung:schnell, effektiv, präzise, wobei weniger Kraft erforderlich ist.
  • Kavitätenpräparation: weniger Vibration, gut definierte Präparationslinienwinkel, kontrollierte Tiefe, gute, saubere und deutliche Ränder.
  • Entfernung tiefer Karies:weniger Vibration, Hitzereduzierung durch niedrige Geschwindigkeit und konstante elektrische Leistung mit Hartmetall- oder Glaspolymerbohrern.
  • Finieren und Polieren: Die Hauptvorteile bei der Verwendung von Schnellläufer-Winkelstücken sind die Genauigkeit, der Komfort und das klare Sichtfeld beim Finieren konservativer Präparationen, direkter Restaurationen und beim Entfernen von Zementüberschüssen bei Keramik oder indirekten Kompositrestaurationen mit Befestigungszement. Dies gilt insbesondere für das Finieren subgingivaler und äquigingivaler Präparationen, idealerweise mit Hartmetallbohrern mit passiver Spitze. Beim Polieren ist es einfacher, ein sehr glattes, glänzendes Ergebnis durch Einsatz von geschwindigkeits-kontrollierten, langsam rotierenden Winkelstücken mit oder ohne Spraykühlung zu erreichen. Maßgeblich ist dabei eine Geschwindigkeit von weniger als 10.000 U/min. Für diesen Zweck werden diamantierte Silikonspitzen unterschiedlicher Form sowie Siliziumkarbidbürsten, andere Schleifscheiben oder rotierende Instrumente mit niedriger Geschwindigkeit empfohlen.

Wie bewerten Sie die Präzision, mit der der Bohrer bei der Verwendung von Winkelstücken im Vergleich zu Turbinen geführt werden kann?

Dr. Hernández Delgado: Es ist schwierig, die Position der Rotationsachse der Bohrer bei Verwendung mit Turbinen oder Schnellläufer-Winkelstücken klinisch zu bewerten. Zur Beantwortung der Frage können zwei einfach zu beobachtende Kriterien verwendet werden: Die Beobachtung eines Probelaufes außerhalb des Mundes mit einem Bohrer mit dünner Diamantstiftspitze zeigt, dass die Rotationsposition der Spitze bei Schnellläufer-Winkelstücken zentrierter ist als bei Turbinen.
Das zweite Kriterium betrifft das Ergebnis – die Sauberkeit und Kontinuität der Präparationslinie, besonders mit CAD/CAM-Scanner zur optischen Abformung, liefern einen hilfreichen Vergleichswert. Meiner Erfahrung nach ist der Elektromotor zum Antrieb eines Schnellläufer-Winkelstücks in diesem Bereich ebenfalls überlegen.

Weist das System Ihrer Meinung nach Nachteile auf? Inwiefern heben diese die klinischen Vorteile auf?

Dr. Hernández Delgado: Es gibt folgende Nachteile: Mangelnde Schulungen zu dieser Technologie an den meisten Hochschulen, die Zahnheilkunde unterrichten, wie z. B. in Mexiko. Zusätzliches Gewicht während der Präparation (daran muss man sich mit der Zeit gewöhnen). Eingebaute Steuergeräte, die schwierig in den Zahnarztstuhl einzubauen sind. Tischgeräte sind viel einfacher zu montieren, benötigen jedoch zusätzlichen Platz für Netzanschluss und Steuergerät.

Für die meisten Nutzer liegt die Anschaffung zusätzlicher Geräte für die fachgerechte Wartung der Winkelstücke, wie automatische Schmier- und Reinigungsgeräte, außerhalb der anfänglichen Investitionsmöglichkeiten, besonders für jene, die gerade erst auf ein elektrisches System umgestellt haben.

Weitere Kommentare/andere Einblicke:

Dr. Hernández Delgado: In Mexiko gibt es eine zunehmende Anzahl an Zahnärzten, die nach Schulungen zur Anwendung elektrischer Systeme suchen. Dies kann ich nach der Durchführung von über 300 Weiterbildungskursen und Schulungen mit einem Schwerpunkt auf Prothetik mit Sicherheit sagen.
Durch die ausgezeichnete Leistung und Benutzerfreundlichkeit des Elektromotors werden die Vorteile bei der Verwendung dieser Technologie schnell deutlich. Die Vorführungen, die ich in mehreren Kursen und auf Messen gezeigt habe, umfassen die Präparation von Marmorblöcken und etwas Ähnliches wie den Penny-Test (Entfernen von Restaurationen und Erstellen von Präparationen in natürlichen Zähnen), ein guter Bohrer unterstützt jedoch die Effektivität der Präparation und das Entfernen von Materialien.

Neue Studien konnten einen intrinsischen Zusammenhang des linearen Bereichs der Präparation, der Randadaption und der Fehlerquote bei CAD/CAM-Restaurationen nachweisen. Je größer der lineare Bereich der Präparationslinie ist, desto größer ist der Rand und die Wahrscheinlichkeit von Lücken und dadurch perirestaurativer Karies, mit einer Inzidenz von 6 % nach Untersuchungen über fünf Jahre. Der genannte Prozentsatz kann je nach Publikation variieren.


Vorbereitung einer erfolgreichen CAD/CAM-Behandlung

Elektromotor EM-12 L und Schnellläufer-Winkelstück Synea WK-93 LTS von W&H.
Elektromotor EM-12 L und Schnellläufer-Winkelstück Synea WK-93 LTS von W&H.
Veneer-Präparation für CAD/CAM-Veneers
Veneer-Präparation für CAD/CAM-Veneers
Polieren der Präparation vor dem Scannen
Polieren der Präparation vor dem Scannen
Digitale Abformung mit einem Intraoralscanner
Digitale Abformung mit einem Intraoralscanner
Einprobe des Veneers vor der Zementierung
Einprobe des Veneers vor der Zementierung
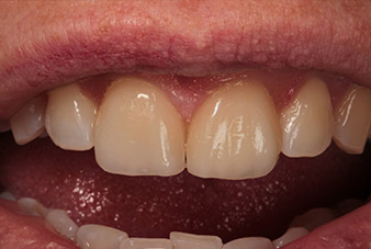
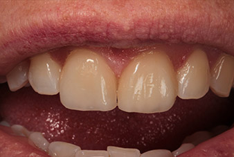
Unmittelbare postoperative Ansicht
Unmittelbare postoperative Ansicht
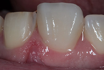
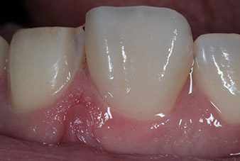
Fertigstellung der Restaurationen und Entfernung von überschüssigem Zement
Fertigstellung der Restaurationen und Entfernung von überschüssigem Zement

Kommentare