Berichte & Studien

Sichere Behandlung mit Tigon+

Revision und Entfernung eines abgebrochenen Wurzelkanalinstruments

Die Möglichkeiten in der Endodontie haben sich gerade im letzten Jahrzehnt deutlich verändert. Ein wesentlicher Aspekt dieser Entwicklung ist der Einsatz von Ultraschall. Die Erzeugung von Ultraschall durch das piezoelektrische Prinzip bietet im Endodontie-Bereich im Vergleich zur Magnetostriktion eindeutige Vorteile: Durch die Veränderung des Piezokristalls, die durch das Anlegen einer elektrischen Spannung hervorgerufen wird, kommt es zu einer leichten Vor- und Rückwärtsbewegung des Instruments und einer linearen Schwingung. Zahnärzte profitieren von einer effizienten und sicheren Anwendung - Patienten von einer möglichst schonenden Behandlung.
Mit dem neuen Piezo Scaler Tigon+ bietet W&H ein klinisches Hilfsmittel, das sich den Bedürfnissen von Arzt und Patient optimal anpasst. Dr. Yasin Aktas, Leiter der Parodontologie/Endodontie der Kaiserbergklinik, erläutert die Vorteile des Tigon+ anhand eines konkreten Fallbeispiels:

Der Patient N.M. stellte sich in unserer Praxis mit persistierenden Beschwerden am Zahn 16 vor. Seinen Angaben zufolge wurde der Zahn vor einem halben Jahr alio loco wurzelbehandelt. Seit Abschluss dieser Behandlung hat der Patient jedoch Beschwerden an diesem Zahn, sodass er bereits ein Antibiotikum zur Schmerzlinderung verschrieben bekam. Zum Zeitpunkt des Besuches unserer Praxis ist der Patient beschwerdefrei.

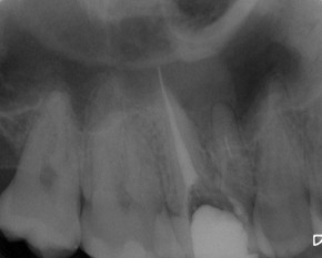
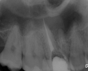
Patient N.M. wünscht eine Drittmeinung, zwischenzeitlich hatte er bereits einen zweiten Zahnarzt konsultiert. Dieser bestätigte eine insuffiziente Wurzelfüllung und vermutete eine Instrumentenfraktur im mb1 (Abb. 1).

Abb. 1: Ausgangsröntgenbild des insuffizient gefüllten Zahnes 16.
Abb. 1: Ausgangsröntgenbild des insuffizient gefüllten Zahnes 16.

Röntgenbefund

Mittels Röntgenaufnahme lässt sich ein frakturiertes Instrument in mb1 vermuten. Des Weiteren scheint es, als sei der distale Wurzelkanal sowie der mb2 nicht abgefüllt worden, was sich zu einem späteren Zeitpunkt der Behandlung bestätigen sollte. Der Patient wurde vom vorbehandelnden Zahnarzt über die Fraktur nicht aufgeklärt.

Behandlungsablauf

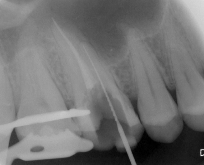
Nach erfolgter Information über die vermutete Prognose unternehmen wir den Versuch, das frakturierte Instrument darzustellen. Nach Entfernung der Aufbaufüllung werden die Kanaleingänge dargestellt (Abb. 2). Es zeigt sich, dass neben dem distovestibulären Kanal auch ein vierter Kanal (mb2) vorhanden ist. Die Darstellung der Wurzelkanaleingänge erfolgt in unserem Haus mit dem Aufsatz 1R des Tigon+. Dank der Abwinkelung des Instruments profitiert man von einer sehr guten Sicht auf die Behandlungsstelle. Zudem erlaubt es ein schnelles und gezieltes Abtragen von Dentin, ohne dabei den Zahn unnötig zu schwächen.

Abb. 2: Darstellung aller Wurzelkanaleingänge. Die palatinale Wurzelfüllung wird belassen, da sie für gut befunden wird.
Abb. 2: Darstellung aller Wurzelkanaleingänge. Die palatinale Wurzelfüllung wird belassen, da sie für gut befunden wird.

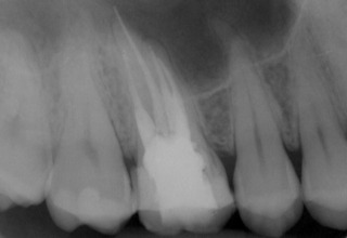
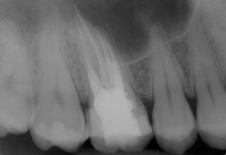
Nach Darstellung aller Wurzelkanaleingänge wird in einem zweiten Schritt das frakturierte Wurzelkanalinstrument dargestellt (Abb. 3 u. 4). Hierfür verwenden wir den Aufsatz 3E des Tigon+. Durch die schmale und lange Form des Instruments erreichen wir einen tiefen und schmalen Zugang.

Abb. 3 u. 4: Zustand nach Revision des Wurzelkanals und Darstellung des frakturierten Instruments.
Abb. 3 u. 4: Zustand nach Revision des Wurzelkanals und Darstellung des frakturierten Instruments.
Abb. 3 u. 4: Zustand nach Revision des Wurzelkanals und Darstellung des frakturierten Instruments.
Abb. 3 u. 4: Zustand nach Revision des Wurzelkanals und Darstellung des frakturierten Instruments.

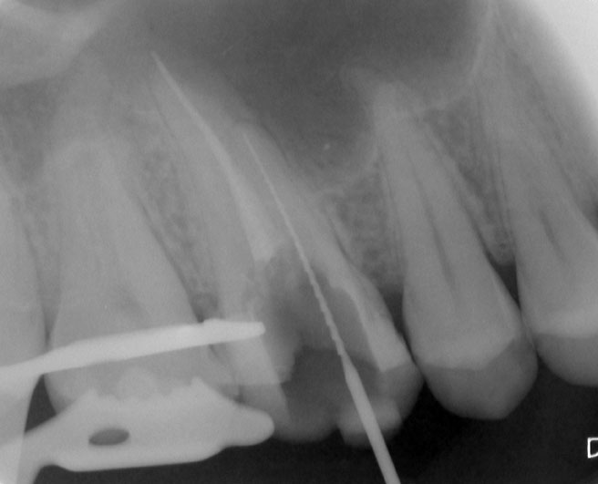
Sofern es sich um ein kleines Frakturstück handelt, kann es durch aktive Übertragung von Energie des Ultraschalls zu einer Lockerung des Fragments kommen. Lockert es sich nicht, so „umkreist“ man das Instrument vorsichtig, um es anschließend mit einer Spritze gefüllt mit Palavit G zu greifen, zu fixieren und zu entfernen (Abb. 5). Nach Entfernung des Instruments erfolgt eine Kontrollaufnahme (Abb. 6).

Abb. 3 u. 4: Zustand nach Revision des Wurzelkanals und Darstellung des frakturierten Instruments.
Abb. 3 u. 4: Zustand nach Revision des Wurzelkanals und Darstellung des frakturierten Instruments.
Abb. 3 u. 4: Zustand nach Revision des Wurzelkanals und Darstellung des frakturierten Instruments.
Abb. 3 u. 4: Zustand nach Revision des Wurzelkanals und Darstellung des frakturierten Instruments.

Hat man diesen Punkt erreicht, muss man sich nun Gedanken über die Wurzelkanalreinigung machen. Hier wird Ultraschall zum Aktivieren von Spülflüssigkeiten im Wurzelkanalsystem eingesetzt. Dabei schwingt die Ultraschallspitze frei im Kanalkonus und aktiviert die umliegende Spülflüssigkeit (Aufsatz 1E). Die Desinfektionswirkung der Spüllösung hängt von mehreren Faktoren (wie z.B. Temperatur, Konzentration und Einwirkzeit) ab. Eine einfache Methode, die Wirksamkeit wesentlich zu erhöhen, ist die Ultraschallaktivierung. Mehrere Studien haben gezeigt, dass ultraschall-aktivierte Lösungen weit effektiver sind als jene, die nicht aktiviert werden. Dabei ist die Aktivierungszeit entscheidend und sollte ca. 2 Minuten betragen. Alle 20 Sekunden sollte eine neue Spüllösung hinzugegeben werden. Nach Abschluss des Spülprotokolls werden die Wurzelkanäle getrocknet und thermoplastisch abgefüllt (Abb. 7).

Abb. 7: Kontrollröntgenbild nach Abschluss der Wurzelfüllung.
Abb. 7: Kontrollröntgenbild nach Abschluss der Wurzelfüllung.

Fazit

Die Revision und Instrumentenentfernung aus einem Wurzelkanal verlangt dem Behandelnden höchste Konzentration ab. Bedenkt man die Platzverhältnisse innerhalb eines Wurzelkanals so wird schnell klar dass man sich keine Fehler leisten darf.
Um dies gewährleisten zu können, muss man neben dem Vertrauen in sein Können ebenso viel Vertrauen in sein Instrumentarium haben. Die einfache Bedienung, das Ermöglichen einer übersichtlichen Arbeitsweise sowie der Substanzabtrag mit den dafür abgestimmten Arbeitsenden des Tigon+ sind überzeugend. Der Tigon+ ist ein verlässlicher Partner auch bei sehr schwierigen Verhältnissen.

Autor: <br>Dr.med.dent Yasin Aktas<br>Leiter der Abteilung für Parodontologie und Endodontie der Kaiserbergklinik<br>Mülheimerstrasse 48<br>47057 Duisburg
Autor:
Dr.med.dent Yasin Aktas
Leiter der Abteilung für Parodontologie und Endodontie der Kaiserbergklinik
Mülheimerstrasse 48
47057 Duisburg

Kommentare