Доклади & Изследвания

Пиезоелектрическа препарация на имплантното ложе

Фиксираните с винт надимплантни конструкции подобряват дъвкателната способност и качеството на живот.

Проф. Д-р Хосе Луис Калво Гуйрадо

Пиезоелектрическа препарация на имплантното ложе за максиларна CAD/CAM протеза

При обеззъбени пациенти фиксираните с винт надимплантни конструкции, подобряват дъвкателната способност и качеството на живот. Поради резорбция и пневматизиране на синусите, пациентът има само минимална височина на задната максиларна кост. Имплантните ложета бяха подготвени с пиезоелектрически апарат и нов комплект от специализирани инструменти. Два 10-милиметрови и шест 4-милиметрови импланта бяха поставени, за да задържат фиксирана CAD/ CAM протеза.

Подготовката на имплантното ложе се извършва традиционно с ротиращи инструменти. Съвременните имплантологични мотори осигуряват добре контролирано рязане при ниска скорост и определени стойности на въртящия момент. Въпреки това, при предизвикателни анатомични ситуации, например при минимален костен обем и тънка кортикална кост или при препарация в близост до Шнайдеровата мембрана, подготовката с ротиращи инструменти позволява само ограничена чувствителност на оператора. Освен това, с ротиращи инструменти е трудно да се коригира инициалната ос на мястото на имплантиране.

Обратно, подготовката с пиезоелектрически апарати се е доказала като изключително щадяща твърдите и меките тъкани (1). Това позволява препарация с най-голяма тактилна чувствителност и минимален натиск за максимален контрол на хирургичните процедури (2). Подготовката на имплантното ложе с ултразвук се препоръчва за ситуации, при които се застрашават деликатните кости и меки тъкани, например в контекста на вътрешна аугментация на максиларния синус (3). След пиезоелектрическа подготовка е установено благоприятно въздействие върху остеоинтеграцията, което води до по-ранен преход от първична към вторична стабилност на импланта (4). В допълнение, в едно многоцелево проучване, включващо повече от 3500 импланта, пиезоелектрическите препарации се доказват успешно в широк спектър от индикации (5).

Клиничен случай

41-годишна пациентка без системни особености губи всичките си зъби поради пародонтит и кариеси. Най-накрая тя носи цели протези и на двете челюсти, поддържани с мукоса с големи дъвкателни затруднения, дължащи се на неподходящи протези. Пациентката реши да й се поставят импланти, за да поддържат фиксирана CAD/ CAM протеза на мандибулата.

Три години по-късно е дошло времето за максиларна протеза от същия тип. Въз основа на планирането със CBCT, аугментацията на синусите е избегната с помощта на къси импланти и използването на хирургичен шаблон, за да се прехвърлят планираните позиции в алвеоларния гребен. (Фиг. 1 и 2).

Позиции на имплантите
Фиг. 1 Предварителен изглед на максиларния гребен с позиции на имплантите, маркирани с помощта на хирургичен водач. Поради ниския алвеоларен гребен са планирани супер къси импланти в дисталните зони.
Позиции на имплантите
Фиг. 2 След инцизия в средата на алвеоларния гребен и препариране на мукопериостални ламба, позициите на имплантите са трансферирани в костта.

Пиезоелектрически инструмент с диамантено покритие с форма на пламък (Piezomed I1) e използван за маркиране на позициите на имплантите и за пилотна подготовка (Фиг. 3). Препарацията беше извършена с внимателни вертикални движения, с намалена мощност, пълна иригация и лек натиск (под 300 g) След това се приложи пилотен инструмент (Piezomed I2A/ I2P) за първоначално увеличение на диаметъра на имплантното ложе с 2 mm (Фиг. 4), последвано от 3 mm разширение (Фиг. 5)

Ултразву��ов пилотен накрайник за Piezomed
Фиг. 3 Препарацията с ултразвуков пилотен накрайник I1 се извършва с движение нагоре-надолу, успоредно с дългата ос на работната част.
Хирургичен мотор (Implantmed)
Фиг. 5 Крайният диаметър е достигнат с накрайници I3A/ I3P. За 10-милиметровите импланти в позиции 11 и 21 имплантните ложета са завършени с 3,5 mm ротиращ дрил с имплантологичен мотор Implantmed.
Инструменти I2A/I2P за Piezomed
Фиг. 4 Следващата стъпка е пилотно разширяване с накрайници I2A/I2P, които прилагат ротационно хоризонтално движение.

В случай на твърда кост, цялата поредица от инструменти, включително междинните инструменти Piezomed Z25P и Z35P, трябва да се използват за разширяване на остеотомиите.

Те също така са предназначени за подготовка в близост до синусовата мембрана във връзка с вътрешни аугметационни процедури или когато има по-малко от 4 mm остатъчна височина на костта.

В настоящия случай инструменти Z25P и Z35P не са използвани поради сравнително меката задна кост, която лесно се обработва с I3A/I3P.

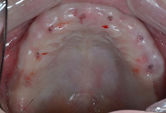
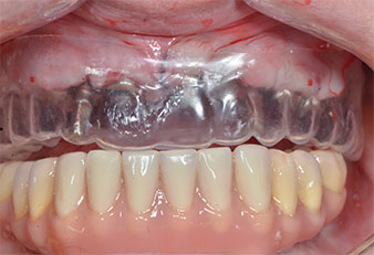
Поради сравнително твърдата кост (D2) в тази област, 10-милиметровото имплантно ложе в позиции 11 и 21 беше завършено с ротационен дрил с диаметър 4 mm в комбинация с W&H хирургичен обратен наконечник WS-75 L, W&H имплантологичен мотор Implantmed и опционалния W&H Osstell ISQ модул. За разлика от това, благодарение на меката кост, дисталните зони се подготвят до окончателен диаметър 3 mm, използвайки накрайник за Piezomed I3P. Имплантите най-накрая са поставени трансгингивално, за да остеоинтегрират за три месеца (Фиг. 6-10). Съществуващата протеза се фиксира на четирите временни импланта (Фиг. 8).

10-милиметров имплант на нивото на меките тъкани
Фиг. 6 10-милиметров имплант на нивото на меките тъкани е поставен на позиция 21. Имплантът в позиция 11 и трите леви дистални 4-милиметрови импланта са вече на мястото си.
Стабилност на импланта
Фиг. 7 Стабилността на импланта е установена със SmartPeg и W&H Osstell ISQ модул. Стойностите са в средния към високия диапазон с минимум ISQ 69.
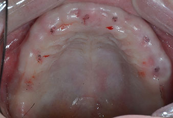
Временни импланти
Фиг. 8 След фиксиране на гингиво оформителите временните импланти се поставят в позиции 18, 12, 22 и 28.
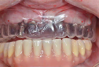
Хирургичен водач
Фиг. 9 Хирургичен водач осигурява достатъчно пространство на съществуващата протеза да служи за временна, закрепена върху временните импланти.
Постоперативна панорамна ренгенография
Фиг. 10 Постоперативна панорамна ренгенография показва всички импланти в подходящи позиции, включително временните птеригоидни импланти.

Дискусия

Известно е, че пиезоелектрическият апарат подобрява заздравяването на костта (6,7), което води до подобрено костно образуване и по-висока костна плътност близо до повърхността на импланта (8). Както е показано в произволно контролирано проучване, това може да доведе до по-ранно увеличаване на вторичната стабилност на импланта, в сравнение с местата, препарирани с ротиращи инструменти (4).

Друг важен аспект на пиезоелектрическата препарация е отличната чувствителност на оператора при малък обем на костта, както е при настоящия пациент. Деликатните кортикални костни слоеве, често срещани в предните зони, се откриват по-лесно с пиезоелектрически системи, което води до по-малко инвазивна препарация. Освен това, охладителната система на Piezomed позволява ефективна иригация на хирургичното поле. Това предотвратява нагряването в комбинация с максимална ефективност. Не на последно място, пиезоелектрическата препарация няма микро вибрации, което прави процедурата по-щадяща за пациента (9).

Избраната комбинирана препарационна процедура с ротационно финализиране на предните имплантни зони в твърда кост се оказва ефективна, докато пиезоелектрическата препарация е оптимална за задната мека кост с ниска остатъчна костна височина.

Проф. Д-р Хосе Луис Калво Гуйрадо
Снимки: © Calvo Guirado

Проф. Д-р Хосе Луис Калво Гуйрадо
D.D.S, PhD/Eu, PhD, M.Sc.
Мурсия, Испания


Референции

  1. Vercellotti T. Essentials in Piezosurgery: Clinical Advantages in Dentistry: Quintessence Publishing, 2009.
  2. Schlee M, Steigmann M, Bratu E, Garg AK. Piezosurgery: basics and possibilities. Implant dentistry 2006;15:334-340.
  3. Pellegrino G, Taraschi V, Vercellotti T, Ben-Nissan B, Marchetti C. Three-Dimensional Implant Positioning with a Piezosurgery Implant Site Preparation Technique and an Intraoral Surgical Navigation System: Case Report. The International journal of oral & maxillofacial implants 2017;32:e163-e165.
  4. Stacchi C, Vercellotti T, Torelli L, Furlan F, Di Lenarda R. Changes in implant stability using different site preparation techniques: twist drills versus piezosurgery. A single-blinded, randomized, controlled clinical trial. Clinical implant dentistry and related research 2013;15:188-197.
  5. Vercellotti T, Stacchi C, Russo C, Rebaudi A, Vincenzi G, Pratella U, et al. Ultrasonic implant site preparation using piezosurgery: a multicenter case series study analyzing 3,579 implants with a 1- to 3-year follow-up. The International journal of periodontics & restorative dentistry 2014;34:11-18.
  6. Chiriac G, Herten M, Schwarz F, Rothamel D, Becker J. Autogenous bone chips: influence of a new piezoelectric device (Piezosurgery) on chip morphology, cell viability and differentiation. J Clin Periodontol 2005;32:994-999.
  7. Preti G, Martinasso G, Peirone B, Navone R, Manzella C, Muzio G, et al. Cytokines and growth factors involved in the osseointegration of oral titanium implants positioned using piezoelectric bone surgery versus a drill technique: a pilot study in minipigs. J Periodontol 2007;78:716-722.
  8. Di Alberti L, Donnini F, Di Alberti C, Camerino M. A comparative study of bone densitometry during osseointegration: piezoelectric surgery versus rotary protocols. Quintessence Int 2010;41:639-644.
  9. Sohn DS, Ahn MR, Lee WH, Yeo DS, Lim SY. Piezoelectric osteotomy for intraoral harvesting of bone blocks. The International journal of periodontics & restorative dentistry 2007;27:127-131.

коментара