Rapporter & Studier

Classification of clinical periodontal health

Prof. Dr. Peter Hahner

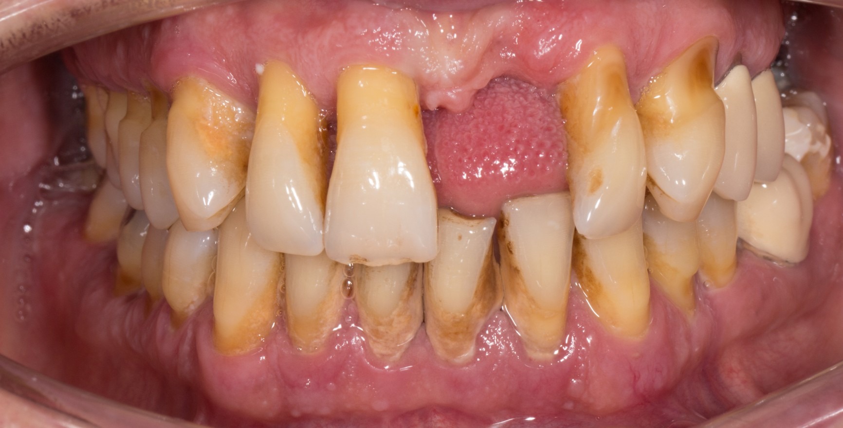
For the first time, the new classification scheme for periodontal diseases, which was presented in June 2018, contains a definition of the concept of clinical periodontal health (Lang & Bartold, 2018). Even under optimum hygiene conditions, a small quantity of bacterial biofilm is present in the gingival sulcus. A complete absence of bacteria is not possible under clinical conditions. The histological response to this is a limited subepithelial infiltrate of neutrophilic granulocytes (PMN). However, providing homeostasis is maintained between the biofilm and a small quantity of PMN infiltrate, this state is seen as an expression of immunological control and thus as a physiological process, not a pathological (inflammatory) one (Brecx et al., 1987a+b). The microbiological load and host factors determine whether the state of clinical periodontal health continues. Locally, these can lead to an increased accumulation of biofilm (e.g. inadequate dental restorations or unfavourable tooth positions) or they can affect the immune response (e.g. systemic diseases).

A state of clinical periodontal health in the intact periodontium is distinguished from that in a reduced periodontium already affected by clinical loss of attachment. This loss of attachment can occur:

as result of inflammation during the course of periodontitis. Clinical periodontal health then describes a stable condition after successful completion of periodontal treatment.
as the result of recession
iatrogenically, e.g. as the result of surgical crown lengthening (Chapple et al., 2018)

The clinical criterion is always the absence of bleeding on careful probing (bleeding on probing = BoP). A distinction is made between a site/tooth-specific diagnosis with a negative BoP finding at the corresponding measurement site, and diagnosis on the level of the tooth or patient, for which a threshold value of a BoP ≤ 10% still meets the criteria of clinical periodontal health. Pocket probing depths must be no more than 3 mm. In a reduced periodontium after periodontal treatment, a threshold value of 4 mm is still regarded as a stable status (Matuliene et al., 2008).

If a diagnosis of ‘clinical periodontal health’ is made, the patient’s history must be taken into account to ensure their correct future care: periodontitis is a chronic disease that can be successfully controlled by means of treatment. Unlike for fully reversible gingivitis, however, even if the patient has a stable condition after periodontitis treatment, they are nonetheless at an increased risk of further loss of attachment. The periodontitis patient will remain a periodontitis patient for the rest of their life and will therefore need long-term periodontal maintenance therapy (PMT).

Reference

  1. Lang, N. P., & Bartold, P. M. (2018). Periodontal health. Journal of periodontology, 89, S9-S16.
  2. Brecx, M. C., Gautschi, M., Gehr, P., & Lang, N. P. (1987). Variability of histologic criteria in clinically healthy human gingiva. Journal of periodontal research, 22(6), 468-472.
  3. Brecx, M. C., Schlegel, K., Gehr, P., & Lang, N. P. (1987). Comparison between histological and clinical parameters during human experimental gingivitis. Journal of periodontal research, 22(1), 50-57.
  4. Chapple, I. L., Mealey, B. L., Van Dyke, T. E., Bartold, P. M., Dommisch, H., Eickholz, P., ... & Griffin, T. J. (2018). Periodontal health and gingival diseases and conditions on an intact and a reduced periodontium: Consensus report of workgroup 1 of the 2017 World Workshop on the Classification of Periodontal and Peri‐Implant Diseases and Conditions. Journal of clinical periodontology, 45, S68-S77.
  5. Matuliene, G., Pjetursson, B. E., Salvi, G. E., Schmidlin, K., Brägger, U., Zwahlen, M., & Lang, N. P. (2008). Influence of residual pockets on progression of periodontitis and tooth loss: results after 11 years of maintenance. Journal of clinical periodontology, 35(8), 685-695.

Kommentarer