Мнения специалистов / Статьи

NIWOP - Часть 1: Предварительная терапия

Нет имплантологии без пародонтологии

Принцип работы NIWOP.

NIWOP - это запланированный алгоритм работы, который начинается задолго до установки имплантата и продолжается после протезирования. Целью является минимизация вероятности осложнений, таких как периимплантологический мукозит и периимплантит, помимо непосредственной установки имплантанта (Derks et al. 2015). Стабилизируя состояние тканей пародонта перед установкой имплантата, этап предварительного лечения создает наилучшие условия для протезирования и в то же время закладывает основу для успешной имплантации в долгосрочной перспективе. При последующей имплантации оптимальное время нагрузки может быть определено с помощью техники измерения стабильности. Это обеспечивает заживление и предотвращает повреждение имплантата. Индивидуально рассчитанный интервал отзыва предназначен для раннего выявления возможных осложнений и обеспечения надлежащей гигиены ротовой полости в домашних условиях. На всех трех этапах рабочий процесс NIWOP сопровождается необходимым ассортиментом соответствующей продукции компании W&H - Proxeo, Implantmed, Piezomed.

Часть 1: Предварительная терапия

Итоги доклада Кристины Бертль, доктора философии MBA, MSc

Желание восстановить полноценную улыбку является не только эстетическим, но и тесно связано с качеством жизни людей. Независимо от причины необходимости протезирования, необходимо тщательно проанализировать, является ли имплантация подходящим решением.

NIWOP решает этот вопрос. С помощью предимплантологической диагностики проводится системная регистрация таких факторов, как системные хронические заболевания и генетические факторы, связанные с заболеваниями пародонта, состояние костной ткани, состояние пародонта (например, PSI - Periodontal Screening Index, BOP - Bleeding on Probing), а также влияние курения.
В случае положительного заключения пародонтологической диагностики, рабочий процесс NIWOP предусматривает первоначальное пародонтологическое лечение (Ackermann 2019), так как у пациентов с хроническими заболеваниями пародонта наблюдается повышенный риск возникновения осложнений при имплантации (например, Renvert et al. 2009, Sousa et al. 2016).

Курение - один из факторов риска

9 факторов, относящихся к здоровью ротовой полости, с одной стороны, и общему состоянию здоровья - с другой, влияют на риск развития пародонтита у пациента. Данные параметры: показатели зондирования, степень потери зубов, резорбция костной ткани, возраст, статус курения, наличие соматических и генетических факторов, состояние гигиены полости рта, соблюдение режима - также используются для определения оптимального интервала между посещениями в рамках предварительной и поддерживающей терапии пародонтита/имплантации. (Hierse et al. 2004).

Несмотря на то, что причины пародонтита в основном бактериальные или обусловлены срабатыванием иммунной защиты, курение остается фактором риска, который можно предотвратить и который оказывает серьезное воздействие. Вещества, содержащиеся в табачном дыме (например, нитрозамины, никотин, углекислый газ, угарный газ и т.д.), помимо прочего, снижают кровоснабжение тканей, подавляют иммунную систему и активность остеобластов, формирующих костную ткань. Следовательно, во время терапии снижается и способность пародонта к заживлению (Faddy et al. 2000). В то же время риск рецидива и прогрессирования пародонтита значительно выше у курильщиков по сравнению с некурящими. Аналогичные результаты наблюдаются и в случае периимплантита: заболеваемость периимплантитом у курильщиков выше на 25% (Casado et al. 2019).

Вспомогательная пародонтологическая терапия - первый шаг к имплантатации

Если анамнез указывает на неопределенное состояние пародонта или если в анамнезе уже имеется пародонтит, перед установкой имплантата следует провести лечение. Если пренебречь этой стабилизирующей терапией, повышается риск воспаления периимплантата и потери имплантатов (Sousa et al. 2016, Monje et al. 2016).

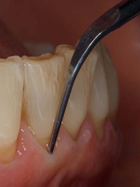
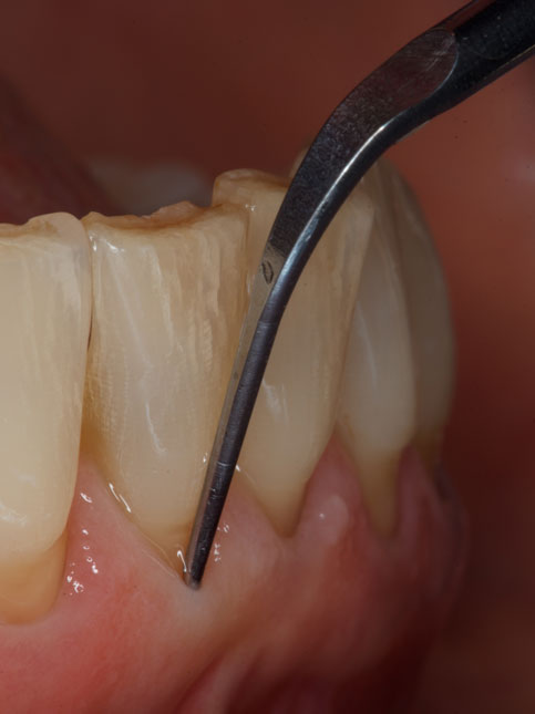
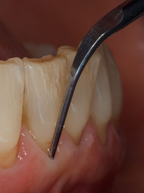
Дополнительно к регулярной оценке пародонтального состояния важно также оценивать другие показатели, связанные со здоровьем полости рта ( наличие системных заболеваний, курение и т.д.). Следующим важным элементом предварительной имплантационной терапии, является механическое удаление биопленки. Благодаря постоянному прогрессу в области медицинских технологий в распоряжении врачей имеется множество высококачественных инструментов, что обеспечивает эффективную и комфортную работу, а также учитывает индивидуальные потребности пациентов. Единственным ограничением является удаление твердых зубных отложений в над- и поддесневых областях, поскольку здесь нет безопасной альтернативы скалерам или кюреткам (Ziebolz et al. 2019). С точки зрения комфорта и эффективности для пациента, звуковые и ультразвуковые системы показывают отличные результаты по сравнению с аналогичными системами (рис. 1). В частности, в сегменте ультразвуковых инструментов процедура лечения может быть дополнительно оптимизирована и для этой растущей группы пациентов (11-й Всемирный обзор кардиостимуляторов) благодаря доказательству совместимости с кардиостимуляторами (единственный обладатель сертификата W&H, Европейский исследовательский центр 0636).

Рис. 1: Ультразвуковые инструменты делают работу более эффективной при удалении плотных минерализованных образований. Сертификация пригодности кардиостимулятора важна для безопасности пациента в этом сегменте. © W&H Tigon+

К инструментам, используемым в предварительной имплантационной терапии, относятся также порошковые струйные системы, которые вносят инновационный вклад в над- и поддесневое удаление мягких биопленок с правильно подобранными комбинациями порошка и инструмента (рис. 2). Специальные околозубные наконечники, используемые в соответствии с инструкциями производителя, позволяют безопасно работать даже в глубоких карманах. После удаления биопленки рекомендуется заключительная полировка (рис. 3), с одной стороны, для закрытия ниш для реколонизации бактерий путем сглаживания, а с другой - для получения блестящей поверхности зубов (Wang et al. 2015, Covey et al. 2011).

Еще одним важным аспектом предварительной имплантационной, а также поддерживающей имплантологической терапии, является участие самого пациента. Благодаря домашней гигиене полости рта и 2С - заинтересованности и соблюдению рекомендаций - пациент вносит решающий вклад в поддержание стабильного состояния пародонта и успех имплантации (Тиле Шайперс 2018). Сопутствующая антибиотикотерапия должна применяться в зависимости от степени тяжести и распространенности пародонтита. Оценка степени стабильности проводится повторно через 4-12 недель, поскольку этот период включает в себя как фазу регенерации, так и окончание формирования клинического прикрепления. Степень снижения глубины зондирования и решение о дальнейшем курсе терапии принимается на основании сравнительных показателей от первоначального до повторного зондирования в зависимости от типа/формы зуба и кровоточивости при зондировании (Hierse et al. 2014).

Powder jet technology is well suited for the removal of soft plaque, even in areas that are hard to reach.
Рис. 2: Метод струйной порошковой обработки идеально подходит для удаления мягких отложений даже в труднодоступных местах. © W&H Proxeo Aura
Selective polishing supports the process of remineralisation and eliminates the last bacterial recolonisation niches.
Рис. 3: Избирательная полировка поддерживает процесс реминерализации и устраняет реколонизационные бактериальные очаги. © W&H Proxeo LatchShort

Влияние остаточной глубины зондирования после терапии

Является ли индивидуальная остаточная глубина зондирования в 6-7 мм после активной терапии проблемой? Matuliene et al. (2008) в своем исследовании установили следующие долгосрочные результаты остаточной глубины зондирования:

  • Индивидуальная остаточная глубина зондирования 6 мм и более являлась фактором риска ухудшения общей пародонтологической ситуации и потери зубов.
  • Несколько остаточных зондов глубиной 5 мм и более являлись фактором риска ухудшения общей пародонтологической ситуации.
  • Кровотечение после зондирования удваивает риск последующей потери зубов
  • Риск потери зубов при остаточной глубине зондирования 5 мм был увеличен почти в 8 раз, при 6 мм - примерно в 10 раз, а при 7 мм - более чем в 60 раз.

Следовательно, одиночные карманы более 4 мм уже оказывают влияние на пораженный зуб и остальной зубной ряд, что также означает отсутствие подходящих пародонтальных условий для установки имплантата.

Кроме того, в исследовании из Австралии (Cho-Yan Lee et al. 2012) сообщалось о 4-5-кратном увеличении риска периимплантита у пациентов с пародонтитом с остаточной глубиной зондирования (≥6 мм) по сравнению с пациентами с пародонтитом без остаточной глубины зондирования и пародонтологически здоровыми пациентами
Поэтому, если глубина зондирования остается, врачам следует рассмотреть дальнейшие терапевтические шаги, такие как корректирующая пародонтологическая хирургия (Hierse et al. 2004).

Сочетание успешной, начальной терапии пародонтита, скоординированного UPT/UIT и сотрудничества всех заинтересованных лиц позволяет добиться высокой степени интеграции имплантатов - около 92% через 10 лет у пациентов с пародонтитом (Zangrando et al. 2015).

Пародонтологически восстановленный зубной ряд, состояние которого поддерживается надлежащими профилактическими средствами, обеспечивает благоприятные условия для установки имплантатов (Ackermann 2019).



Рекомендации

  1. Ackermann, KL. (2019) Früh ansetzen mit NIWOP. No Implantology without Periodontology: Ein personalisiertes Vorsorge-, Behandlungs- und Nachsorgekonzept für Implantatpatienten. Z Zahnärztl Implantol, 35.
  2. Casado, PL., Aguiar, T., Fernandes Pinheiro, MP., Machado, A., da Rosa Pinheiro, A. (2019) Smoking as a Risk Factor for the Development of Periimplant Diseases. Implant Dent Apr, 28(2):120-124.
  3. Lee, C-Y., Mattheos, JN., Nixon, KC., Ivanovski, S. (2012) Residual periodontal pockets are a risk indicator for peri-implantitis in patients treated for periodontitis. Clin Oral Impl Res, 23: 325–333.
  4. Covey, DA., Barnes, C., Watanabe, H., Johnson, WW. (2011) Effects of a paste-free prophylaxis polishing cup and various prophylaxis polishing pastes on tooth enamel and restorative materials. General dentistry, 59(6): 466-73; quiz 74-5.
  5. Derks, J., Tomasi, C. (2015) Peri-implant health and disease. A systematic review of current epidemiology. J Clin Periodontol, 42 Suppl 16: 158-71.
  6. Faddy, MJ., Cullinan, MP., Palmer, JE., Westerman, B., Seymour, GJ. (2000) Ante-dependence modeling in a longitudinal study of periodontal disease: the effect of age, gender, and smoking status. J Periodontol, 71(3):454-9.
  7. Hierse, L., Kenschull, M. (2014) Aktuelle Behandlungsmethoden in der Parodontologie. ZWP, 4:66-73.
  8. Matuliene, G., Pjetursson, BE., Salvi, GE., Schmidlin, K., Brägger, U., Zwahlen, M., Lang, NP. (2008) Influence of residual pockets on progression of periodontitis and tooth loss: Results after 11 years of maintenance. J Clin Periodontol, 35: 685–695.
  9. Mond, HG., Proclemer, A. (2011) The 11th world survey of cardiac pacing and implantable cardioverter-defibrillators: calendar year 2009-a World Society of Arrhythmia's project. Pacing Clin Electrophysiol, 34(8):1013-27.
  10. Monje, A., Aranda, L., Diaz, KT., Alarcón, MA., Bagramian, RA., Wang, HL., Catena, A. (2016) Impact of Maintenance Therapy for the Prevention of Peri-implant Diseases: A Systematic Review and Meta-analysis. J Dent Res, 95:372-379.
  11. Renvert, S., Persson, GR. (2009) Periodontitis as a potential risk factor for peri-implantitis. J Clin Periodontol 36 Suppl 10: 9-14.
  12. Sousa, V., Mardas, N., Farias, B., Petrie, A., Needleman, I., Spratt, D., Donos, N. (2016) A systematic review of implant outcomes in treated periodontitis patients. Clin Oral Implants Res, 27:787-844.
  13. Thiele-Scheipers, B. (2018) Patientencompliance als Grundlage erfolgreichen Biofilmmanagements. PNC, available from: https://www.pnc-aktuell.de/prophylaxe/story/patientencompliance-als-grundlage-eines-erfolgreichen-biofilmmanagements__7040.html
  14. Wang, C., Zhao, Y., Zheng, S., Xue, J., Zhou, J., Tang, Y., et al. (2015) Effect of enamel morphology on nanoscale adhesion forces of streptococcal bacteria: An AFM study. Scanning, 37(5):313-21.
  15. Zangrando, M.S., Damante, CA., Sant’Ana, AC., Rubo de Rezende, ML., Greghi, SL., Chambrone, L. (2015) Long-term evaluation of periodontal parameters and implant outcomes in periodontally compromised patients: a systematic review. J Periodontol, 86:201-221.
  16. Ziebolz, D., Kampfmann, B. (2019) Ultraschallaktiviertes Biofilmmanagement. Implantologie Journal, 3:18-24.

комментарии