Мнения специалистов / Статьи

Внутренний синус-лифтинг - комфорт для пациента благодаря использованию пьезохирургии.

Доктор Марио Кирсте (Франкфурт-на-Одере)
Впервые опубликовано в EDI 1/2019, страница 108-110
Фотографии: © д-р Кирсте



По сравнению с латеральным доступом, трансальвеолярная аугментация дна синуса, вызывает меньше послеоперационных осложнений. Кроме того, при пьезохирургической процедуре, отпадает необходимость в использовании остеотома. На примере этого пациента, демонстрируется недавно представленный набор инструментов для пьезохирургической подготовки ложа имплантата и поднятия мембраны Шнейдера.


Короткие имплантаты могут быть успешно использованы для того, чтобы избежать наращивания дна пазухи [1]. Однако имеющийся объем кости часто недостаточен и для этого. Кроме того, имплантаты длиной до 8 мм имеют менее благоприятный прогноз через пять лет по сравнению с более длинными имплантатами [2]. При сравнении методов, трансальвеолярный подход демонстрирует прогнозы имплантации, сопоставимые с прогнозами, полученными через боковое отверстие [3]. При использовании методики внутреннего синус-лифтинга анатомия верхнечелюстной пазухи определяет допустимый объем аугментации. Длинные, узкие верхнечелюстные пазухи следует считать более благоприятными, чем пазухи с плоским дном [4].

Послеоперационные осложнения при трансальвеолярном методе, как правило, меньше, чем при латеральном [5]. Пьезохирургические системы предлагают ряд преимуществ по сравнению с ротационными и ручными инструментами, например, возможность атравматичного вскрытия верхнечелюстной пазухи при условии применения соответствующей операционной техники [6]. Для адекватного эффекта кавитации требуется остаточная высота кости около 4 мм.

При использовании традиционного трансальвеолярного подхода с ручными инструментами пациенты воспринимают саму процедуру как более инвазивную по сравнению с латеральной процедурой [7]. Однако, вероятно, это связано в первую очередь с ударным воздействием, связанным с остеотомами. При использовании соответствующих пьезохирургических технологий достигается результат, который особенно удобен для пациента. Мембрану Шнейдера можно также поднять атравматически и за счет гидродинамического эффекта кавитации [8].

История болезни

49-летняя пациентка, некурящая и не имеющая ничего примечательного в общей истории болезни, была направлена в нашу хирургическую стоматологическую клинику для хирургического удаления зуба 16 и последующей имплантации. После удаления зуба пациентка перенесла синусит в легкой форме, в результате чего мы сначала выждали шесть месяцев перед проведением операции. Остаточная высота кости при запланированном положении имплантата составляла 3-4 мм (рис. 1 и 2).

Preoperative findings: The alveolar ridge has healed well, including sufficiently broad, keratinised gingiva
Рис.1: Предоперационные данные: Альвеолярный гребень хорошо зажил, включая достаточно широкую, кератинизированную десну.
Рис.2: ДВТ имеет приемлемые размеры в каждом из аксиальных (слева), латеральных (сверху) и поперечных видов (справа).

Инструменты выполняют работу самостоятельно!

После атравматичной подготовки слизисто-костной оболочки, положение импланта было определено с помощью инструмента I1, далее была проведена подготовка поверхности - до тех пор, пока не возникло первичное сопротивление. Пьезохирургические инструменты были использованы в движении вверх и вниз без оказания давления. Пьезоэлектрическая вибрация создавала необходимую кавитацию.
Затем, с помощью инструмента I2A (диаметр 2,0 мм), дно пазухи перфорировалось периодически и в минимально возможном диапазоне. Этот специфический пьезохирургический метод гарантирует, что мембрана Шнейдера не будет повреждена. При использовании Z25P, мембрана уже была слегка приподнята охлаждающей жидкостью, подаваемой через наконечник инструмента (рис. 3). Во избежание высокого давления в ложе имплантата, количество охлаждающей жидкости составляло не более 50%.

Подготовка ложа имплантата и наращивание

После промежуточного контроля (рис. 4) был проведен еще один этап подготовки (рис. 5). За тем, с помощью гидравлического инструмента Z35P мембрана была поднята в нужное положение (рис. 6 и 7). Далее, следовала дальнейшая пьезохирургическая подготовка ложа для имплантата, завершенная с помощью ротационного бора и лопаточной фрезы до диаметра имплантата 4,8 мм. Перед установкой имплантата под мембрану Шнейдера был введен аугментационный материал (размер частиц около 0,8-1,6 мм) (рис. 8).

Имплантация и протезирование

Для перемещения аугментационного материала в направлении верхнечелюстной пазухи атравматично, имплантат вводился очень медленно вручную (рис. 9). При этом мембрана еще раз выталкивалась в краниальном направлении. Через два месяца место операции зажило без раздражения. Через шесть месяцев рентгеновский контроль показал значительное увеличение помутнения, что свидетельствует об оссификации (рис. 10). Протезирование было проведено металлокерамической коронкой.

The Schneiderian membrane is carefully detached with the Z25P instrument (phase 1)
Рис.3: После маркировки положения имплантата и первоначального расширения ложа, мембрана Шнейдера деликатно отделяется с помощью инструмента Z25P (фаза 1).
The implant bed is widened to 3.0 mm with the I3A instrument
Рис.5: На следующем этапе ложе имплантата расширяется до 3,0 мм с помощью инструмента I3A (мощность 100%, охлаждающая жидкость 80%). Метки глубины надежно предотвращают слишком глубокое препарирование
Schematic representation of the final membrane lifting
Рис.7: Схематическое изображение финального подъема мембраны: Указана подача охлаждающей жидкости вокруг инструмента, а также полость, образованная под мембраной.
Situation after insertion of the implant
Рис.9: Ситуация после установки имплантата (длина: 10 мм, ортопедическая площадка: 6,5 мм) непосредственно перед наложением швов
The Schneiderian membrane is stretched 1.5-2 mm above the bony access
Рис.4: Промежуточный контроль: Высота кости над уровнем верхнечелюстной пазухи составляет около 4 мм латерально и буккально; мембрана Шнейдера натянута на 1,5-2 мм над уровнем костного перехода.
The fibrous membrane is raised into its final position
Рис.6: Затем инструмент Z35P вводится периодически и активируется с настройками 100%/50%. В результате фиброзная мембрана поднимается в конечное положение.
A periosteal elevator is used to place an augmentative mixture carefully into the region of the internal maxillary sinus ostium in the apical direction
Рис.8: Используя периостальный лифт, в область внутреннего остия верхнечелюстной пазухи в вертикальном направлении осторожно помещается аугментационная масса.
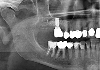
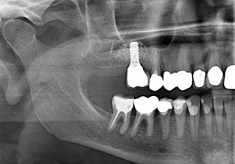
The x-ray check shows a largely homogeneous peri-implant hard tissue structure
Рис.10: Через шесть месяцев, после установки окончательной керамической коронки, рентгеновский снимок показывает в основном однородную структуру твердых тканей периимплантата.

Дискуссия

Аугментация внутренних пазух традиционно проводится с помощью мануальных инструментов, использующих ударные движения в сочетании с ротационной подготовкой ложа для имплантата. По мнению специалистов, современные пьезохирургические системы делают эту процедуру значительно менее травматичной; эффект кавитации позволяет использовать их практически без давления. Инструменты используются, с одной стороны, для подготовки ложа имплантата, а с другой - для минимально инвазивного вскрытия дна верхнечелюстной пазухи и гидродинамического поднятия мембраны Шнейдера [8].

В авторской практике мембрана обычно поднимается в два этапа. В качестве альтернативы подходит метод, указанный производителем. В этом случае сначала подготавливается ложе для имплантата, и только затем при помощи инструмента Z35P в небольшом объеме вскрывается костное дно пазухи. В результате очень атравматичного метода пациент не испытывал послеоперационной боли и смог вернуться к работе на следующий день. В практике автора это касается 90% пациентов.

Решающее значение имеет метод работы

Система позволяет экономить время при подготовке ложа для имплантата и гидродинамической аугментации дна пазухи. Благодаря очень эффективной работе new instruments в сочетании с Piezomed, правильный метод работы имеет решающее значение для предотвращения удаления избыточного количества кости. Это очень легко сделать в рамках контроля качества, так как прибор автоматически распознает инструмент, используемый в каждом конкретном случае


Piezomed Chirurgiegerät

Список литературы :

  1. Zadeh HH, Gulje F, Palmer PJ, Abrahamsson I, Chen S, Mahallati R, et al. Уровень маргинальной кости и приживаемость имплантатов короткой и стандартной длины через 3 года: Открытое многоцентровое рандомизированное контролируемое клиническое исследование. Clinical oral implants research 2018.
  2. Lemos CA, Ferro-Alves ML, Okamoto R, Mendonca MR, Pellizzer EP. Короткие зубные имплантаты в сравнении со стандартными зубными имплантатами, установленными в боковых отделах челюстей: Систематический обзор и мета-анализ. J Dent 2016;47:8-17.
  3. Старч-Дженсен Т., Алудден Х., Холлман М., Далин С., Кристенсен А.Е., Морденфельд А. Систематический обзор и метаанализ долгосрочных исследований (более 5ти лет), оценивающих увеличение дна верхнечелюстной пазухи. Международный журнал челюстно-лицевой хирургии 2018;47:103-116.
  4. Stacchi C, Lombardi T, Ottonelli R, Berton F, Perinetti G, Traini T. На формирование новой кости после транскрестального поднятия дна пазухи влияют размеры полости пазухи: Проспективное гистологическое и гистоморфометрическое исследование. Clinical oral implants research 2018;29:465-479
  5. Фарина Р., Франческетти Г., Травальини Д., Консоло У., Миненна Л., Шинкаглия Г.П. и др. Заболеваемость после транскрестального и латерального подъема дна пазухи: рандомизированное исследование. Дж. Клин Пародонтол 2018.
  6. Рикерт Д., Виссинк А., Слейтер Дж. Дж., Мейер Х. Дж., Рагобар Г. М. Сравнение обычных и пьезоэлектрических хирургических инструментов для поднятия дна верхнечелюстной пазухи. Рандомизированное контролируемое клиническое исследование. Клиническая имплантология и родственные исследования 2013;15:297-302.
  7. Аль-Даджани М. Последние тенденции в хирургии синус-лифтинга и их клинические последствия. Клиническая имплантология и родственные исследования 2014.
  8. Kuhl S, Kirmeier R, Platzer S, Bianco N, Jakse N, Payer M. Транскрестальное увеличение верхнечелюстной пазухи: Саммерс по сравнению с пьезоэлектрической техникой - экспериментальное исследование трупа. Клинические исследования оральных имплантатов 2016; 27:126-129.

комментарии