Raporty i Opracowania

The 28-Year-Old Cigarette Smoker with Dental Erosions

Introduction

The bidirectional relationship between oral and general medical health is very well known. It is no longer sufficient – and arguably even old-fashioned – to consider intraoral conditions in isolation. In order to create a personalized, case-specific preventive and patient profile, it is essential to take a detailed medical history and perform diligent examination of the general medical and intraoral health, as well as considering the two in combination (Fig. 1). (1-3)

Schematic representation of the case-specific patient profile created by considering both general medical and intraoral health. According to Lang & Tonetti.
Fig. 1 Schematic representation of the case-specific patient profile created by considering both general medical and intraoral health. According to Lang & Tonetti.

Careful consideration of individual patient parameters facilitates the creation of a risk profile that optimally supports the maintenance of good health and patient quality of life. Moreover, the risk profile offers dentists a sense of assurance during planning.

This case presentation highlights the usefulness of a systematic, individual prevention concept when creating a case-specific patient profile and implementing the resulting treatment measures.

Medical history

The subject of the following case report is a 28-year-old patient. Based on his own account, the patient was a competitive athlete in his youth. He states that he used to drink up to 3 to 4 litres of isotonic beverages throughout the day. He has no longer been doing this for the past year. Instead, he now drinks water and black tea.

The general medical history revealed no underlying disorders. He reports suffering from hay fever in spring and takes antihistamines on a seasonal basis if needed. The patient does not suffer from asthma. However, he has been smoking up to 10 cigarettes per day for the past eight years.

The patient brushes his teeth twice a day with an electric toothbrush and uses interdental brushes once a day. He prioritizes the maintenance of good dental health. He currently engaged in preventive follow-up and visits the practice three times a year.

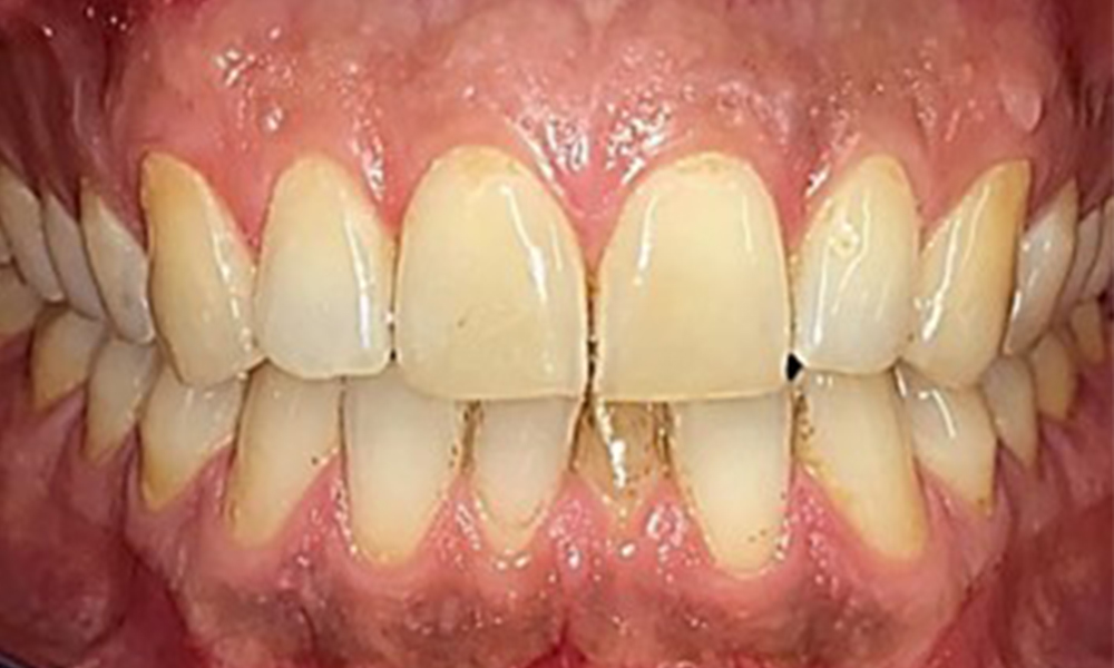
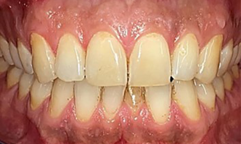
Frontal view
Fig. 2 Frontal view, © Dr R. Krapf
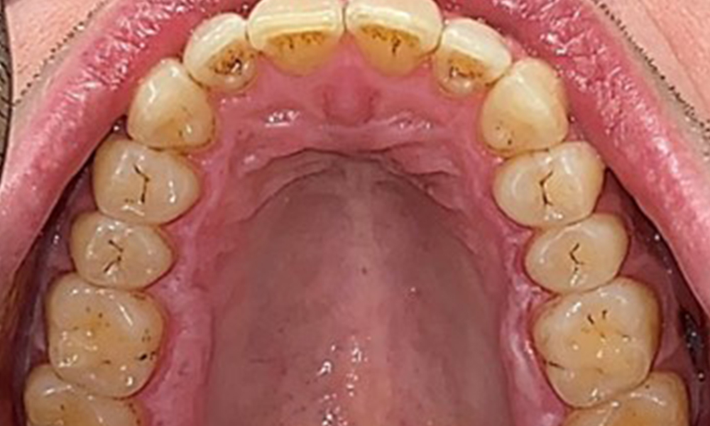
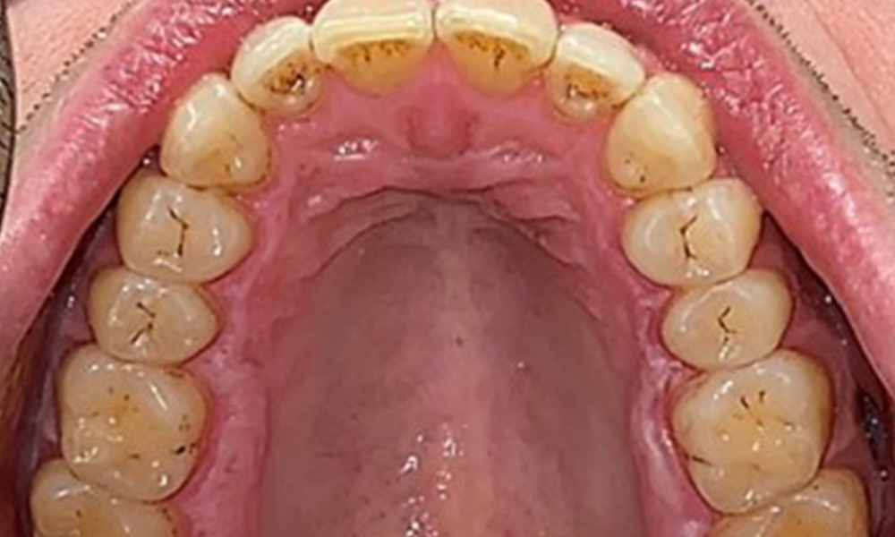
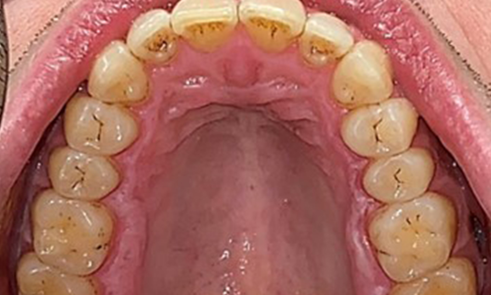
Occlusal view of the maxilla.
Fig. 3: Occlusal view of the maxilla, © Dr R. Krapf
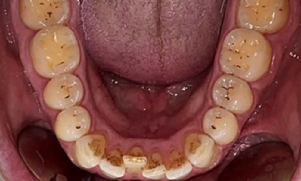
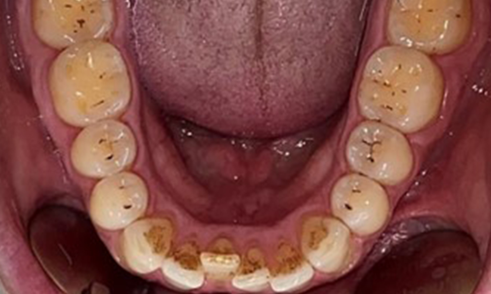
Occlusal view of the mandible.
Fig. 4: Occlusal view of the mandible, © Dr R. Krapf

Extraoral and intraoral findings

There were no pathological extraoral findings. During intraoral examination, inspection of the frontal view revealed brownish discolouration near the keratinised gingiva and at the transition to the moveable mucosa (Fig. 2), which could be attributed to nicotine consumption. Whitish mucosal lesions were observed on the palate, particularly near the maxillary molar palatal surfaces, indicating increased keratinisation and can also be attributed to nicotine consumption. The tongue was covered with a removable white and brownish coating.

Dental findings

The patient has full dentition with a total of 28 teeth. There were noteworthy erosions and attritions. (Fig. 4, Fig. 5). Due to bruxism, the patient has been wearing a splint with an adjusted bite block at night for many years. The erosions were caused by long-term consumption of isotonic beverages. No periodontal bone loss or active caries were observed.

Periodontal findings

At 1 to 3 mm, the clinical probing depths were within the physiological range. Maxillary recessions of up to 1 mm were observed from 13 to 16 and 23 to 27. The BOP was 15%.

Close-up view of teeth
Fig. 5: Close-up view of teeth 45 to 47. The green arrows show dental attrition and erosions of the buccal cusps with partial enamel loss, © Dr R. Krapf

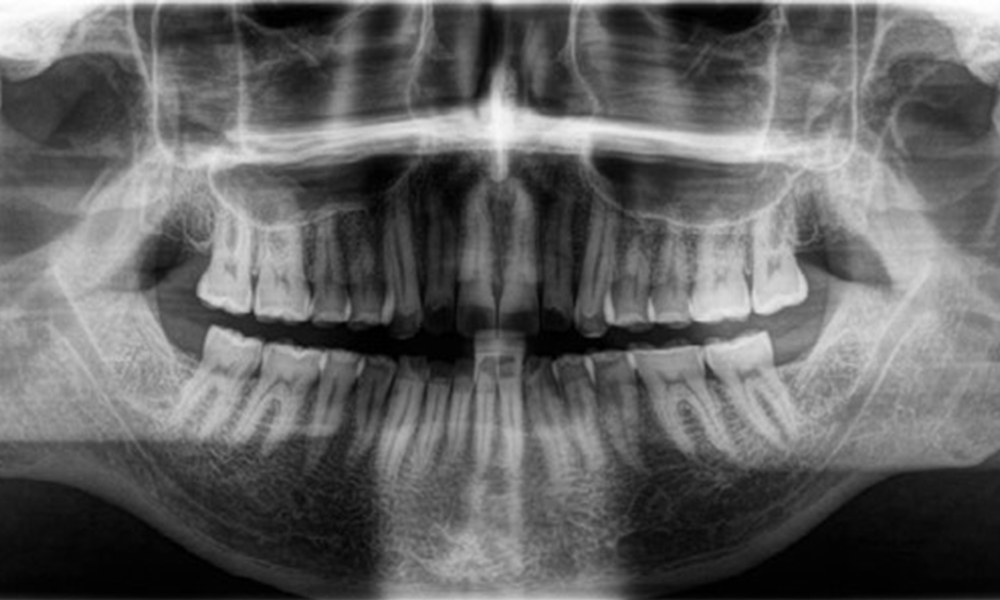
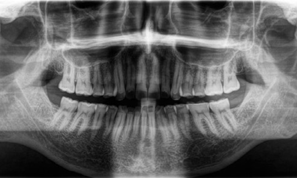
Radiological findings

Full complement of adult teeth with no caries or radiologically recognizable bone loss was observed (Fig. 6). Radiological enamel and cusp loss were particularly evident on 36 and 37.

Panoramic X-ray image
Fig. 6: Panoramic X-ray image, © Dr R. Krapf

Treatment recommendation based on the individual prevention concept

It is critical to assess the individual patient risk profile prior to treatment. The patient profile is derived from the general medical history and state of intraoral health.

Based on the general medical history, the risk of complications during treatment is classified as low for both the patient and dentist. The risk of intraoral disease is currently classified as moderate due to the patient smoking up to 10 cigarettes per day. Smoking is associated with an increased risk of periodontitis (4) and of developing cancerous tumours.

From the perspective of intraoral health, the risk of disease progression, deterioration of intraoral health or potential development of periodontal disease are classified as moderate. Smoking is also a decisive factor in this regard. Good home-based intraoral hygiene, combined with consistent, periodic, professional appointments at the dental practice and motivating statements are crucial for maintaining the current, favourable intraoral state.

Treatment recommendation based on the individual prevention concept

The patient is at moderate risk of current and future intraoral disease, based on their smoking status.
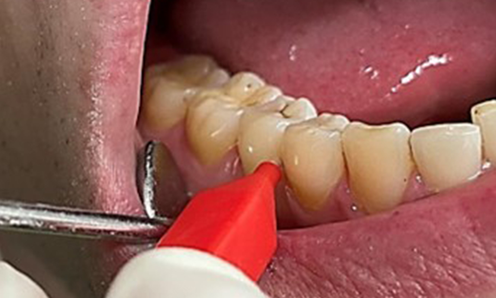
Due to the otherwise favourable general medical condition, the needs determined during the intraoral examination will be decisive for their treatment. It will be essential to periodically determine the probing depths. Gingival bleeding decreases in smokers, which is why the clinical diagnosis of periodontitis can only be made by probing (Fig. 7). Placing exclusive focus on the determination of bleeding indices may obscure existing periodontitis or gingivitis. (5)

Pocket probing (BOP) with depiction of tooth 36 lingual
Fig. 7 Pocket probing (BOP) with depiction of tooth 36 lingual, © Dr R. Krapf

The periodontal status should be thoroughly examined once a year. The detection of plaque using a staining agent may be a source of motivation. The assessment of intraoral findings, buccal surfaces and lingual mucosa are particularly important in smokers, as they will facilitate the detection of any pathological changes at an early stage (6). Photographic documentation allows the assessment of the development of potential pathological mucosal lesions over time. Referral to a specialist may be required to obtain and test tissue samples. Imaging procedures also support the motivational discussions with the patient. They may allow improvements to be highlighted over the course of subsequent preventive dental appointments.

Instruction and motivation are important components of these appointments. Good home-based intraoral hygiene behaviour and understanding are important for patients. Plaque accumulation is particularly evident in the cervical regions (Fig. 8).

The arrows indicate plaque accumulations in the cervical region
Fig. 8: The arrows indicate plaque accumulations in the cervical region, © Dr R. Krapf

These must be discussed with the patient, and improvements to the teeth-brushing technique must be practised. A soft toothbrush attachment is recommended for home-based intraoral hygiene due to the presence of erosions and attritions.

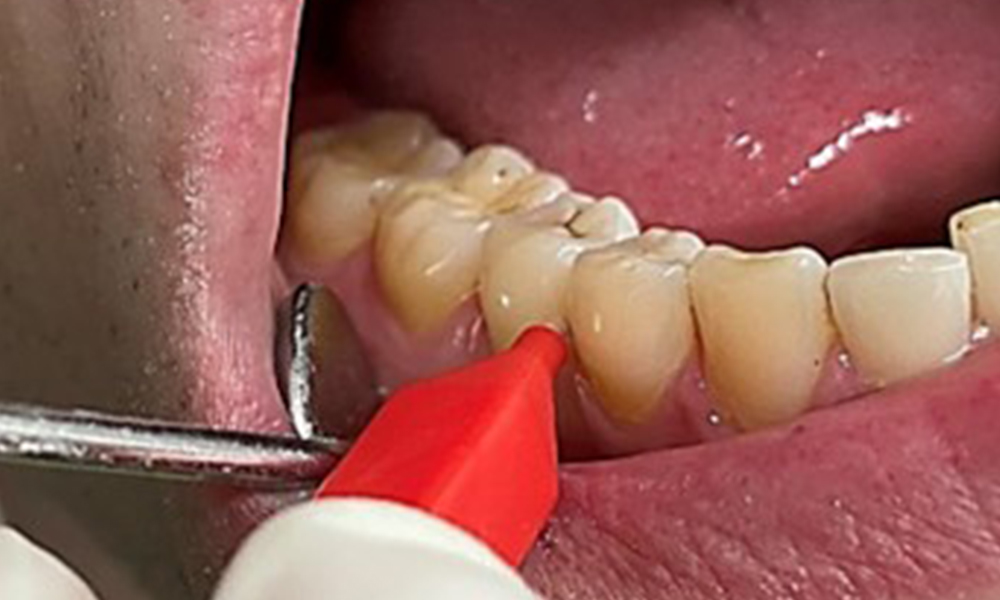
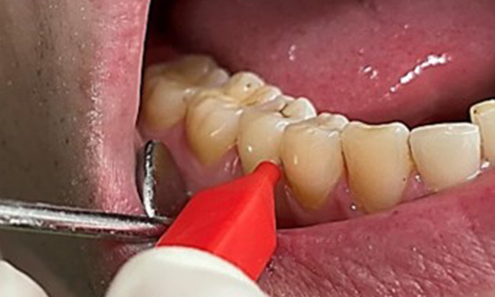
It is also necessary to check that the interdental brushes – used by this patient on a daily basis – are the correct size and encourage consistent use (Fig. 9). Good intraoral hygiene minimizes the risk of periodontitis from smoking.

Use of the interdental brushes in the area near 44/45
Fig. 9: Use of the interdental brushes in the area near 44/45, © Dr R. Krapf

The patient should also be encouraged to clean the tongue, as this will remove nicotine stains and bacterial deposits and may prevent subsequent halitosis.

Obviously, significant attention should also be paid to providing support and motivational advice regarding the desired behavioural change of smoking cessation.

There are no limitations to the use of instrumentation during treatment due to the healthy general medical condition of the patient. It may be necessary to ask the patient whether their breathing is impacted during allergic phases. In the present case, the use of an air polishing system should be considered.

The objective would be to control disease risk by removing supragingival and subgingival biofilm. The instruments can be selected based on patient needs. First, calculus and any concretions must be removed using ultrasonic and/or manual instruments (Fig. 10).

Use of a piezo-driven ultrasonic device in the lingual area near 36 (Proxeo Ultra, W&H, shown here)
Fig. 10 Use of a piezo-driven ultrasonic device in the lingual area near 36 (Proxeo Ultra, W&H, shown here), © Dr R. Krapf

Discolouration caused by nicotine and tea consumption can be removed easily using an air polisher (Fig. 11).

Air polishing system use in the mandibular frontal lingual area (here, Proxeo Aura, W&H)
Fig. 11 Air polishing system use in the mandibular frontal lingual area (here, Proxeo Aura, W&H), © Dr R. Krapf

When using more abrasive powder, it is essential to work from a cervical to coronal direction and never point the outlet nozzle towards the gingiva to prevent potential emphysema. Good suction on the contralateral side is essential to reduce aerosol formation (Fig. 12).

Use of the air polishing system away from the sulcus with contralateral suction.
Fig. 12 Use of the air polishing system away from the sulcus with contralateral suction, © Dr R. Krapf

Additional biofilm can be removed using low-abrasive glycine powders. Repolishing is essential after using more abrasive powder (Fig. 13).
Appropriate polishing pastes containing various ingredients and with corresponding gentle RDA values will seal and smooth unevenness on the tooth surface without extensively removing the tooth substance. They also diminish natural and artificial colonization niches where bacterial re-adhesion may occur (7). The ingredients of these polishing pastes may also support treatment: fluoride, zinc compounds and essential oils, which help reduce hypersensitivity, halitosis and prevent caries.

Polishing near 36.
Fig. 13 Polishing near 36, © Dr R. Krapf

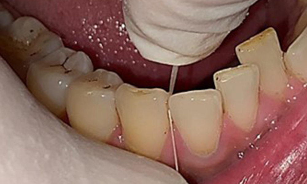
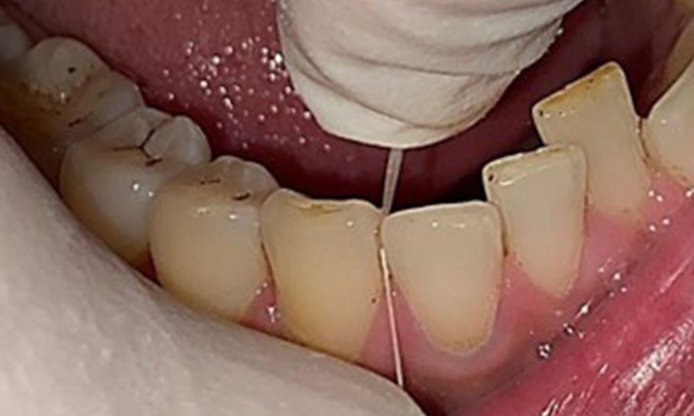
Interdental cleaning with appropriate brushes or dental floss to remove interdental biofilm during the dental appointment is indispensable (Fig. 14).

Use of dental floss.
Fig. 14 Use of dental floss, © Dr R. Krapf

It is also necessary to clean the tongue to remove bacteria-rich tongue coating, as well as the stains arising from tea and nicotine consumption (Fig. 15). Use a tongue gel is reasonable in this case. These usually contain zinc and tin compounds, which have antibacterial effects.

Tongue cleaning with a tongue scraper and tongue gel.
Fig. 15 Tongue cleaning with a tongue scraper and tongue gel, © Dr R. Krapf

Fluoridation of the exposed root surfaces and erosions is recommended as an adjuvant measure to prevent caries. Caution is advised in patients with exposed cervical regions when selecting fluoridation. Ideally, dentists should select fluoridation with a neutral pH value.
Further steps include continued use of a fluoridated toothpaste for intraoral hygiene at home and the additional use of a fluoride gel. Fluoride promotes re-mineralization and contributes to desensitization of exposed dentine.
Low-abrasive toothpaste should be used to avoid promoting further progression of the enamel loss.

Intraoral health, lifestyle and the general medical history must be taken into account when planning the follow-up intervals. The patient is classified as having "risk profile 3: lifestyle habits" due to smoking. Due to his consumption of 10 cigarettes per day, he is at the border between moderate and increased disease risk. This means that he should attend follow-up at intervals of 2 to 3 times per year. As patient needs change, this interval will be adjusted to prevent excessive or inadequate treatment. The objective is to prevent further loss of tooth structure and motivate the patient to reduce smoking and ideally cease smoking altogether.
Providing good guidance to patients will determine the sustained success of dental and intraoral health maintenance in this patient. It is strongly and urgently recommended to schedule the next appointment immediately in the dental practice.

Summary

  1. The medical history reveals that the patient is at low risk of complications, so there is nothing of note in terms of maintenance therapy for either the patient or dentist at present.
  2. The risk of disease onset and of possible deterioration of the intraoral state is classified as moderate. Smoking is a decisive factor in this regard.
  3. It is important to document findings during the therapeutic appointment. Bleeding-on-probing (BOP) status to measure periodontal pocket depth in the early stages of disease must be determined during each appointment. This is particularly important in smokers due to decreased tissue perfusion.
  4. Motivating the patient to change their smoking behaviour must be prioritized. Repeating motivational statements regarding home-based intraoral hygiene is essential. This is important for preventing potential periodontitis and caries.
  5. Treatment intervals of 4 to 6 months are recommended due to the moderate risk of intraoral disease. The removal of hard and soft plaque is essential to maintain the current intraoral state. Further loss of hard tooth structure must be avoided at all costs.

Dr med. dent. Romana Krapf

Bibliography

  1. Schmalz G., Ziebolz D., Individualisierte Prävention-ein patientenorientiertes Präventionskonzept für die zahnärztliche Praxis, ZWR- Das deutsche Zahnärzteblatt 2020;129;147-156
  2. Schmalz G., Ziebolz D., Individualisierte Prävention-fallorientierte Bedarfsprävention, ZWR- Das deutsche Zahnärzteblatt 2020;129;33-41
  3. Schmalz G., Ziebolz D., Individualisierte Prävention-Implikation allgemeingesundheitlicher Faktoren, ZWR- Das deutsche Zahnärzteblatt 2019;128;295-304
  4. Borojevic T. (2012). Smoking and periodontal disease. Materia socio-medica, 24(4), 274–276. https://doi.org/10.5455/msm.2012.24.274-276
  5. Ardais R, Mário Tde G, Boligon J, Kantorski KZ, Moreira CH. The effect of smoking on bleeding on probing after nonsurgical periodontal therapy: a quasi- experimental study. Braz Oral Res. 2014;28:1-7. doi: 10.1590/1807-3107bor- 2014.vol28.0058.
  6. 6 Reibel J. Tobacco and oral diseases. Update on the evidence, with recommendations. Medical principles and practice: international journal of the Kuwait University, Health Science Centre, 12 Suppl 1, 22–32. (2003). https://doi.org/10.1159/000069845
  7. Wang C, Zhao Y, Zheng S, Xue J, Zhou J, Tang Y, et al. Effect of enamel morphology on nanoscale adhesion forces of streptococcal bacteria: An AFM study. Scanning. 2015;37(5):313-21

komentarze