Rapports et études

Le fumeur de cigarettes de 28 ans souffrant d'érosions dentaires

Introduction

La relation bidirectionnelle entre la santé bucco-dentaire et la santé médicale générale est bien connue. Il n'est plus suffisant - et peut-être même démodé - de considérer les conditions intrabuccales de manière isolée. Afin de créer un profil de prévention et de patient personnalisé et spécifique à chaque cas, il est essentiel de recueillir des antécédents médicaux détaillés et de procéder à un examen diligent de la santé médicale générale et de la santé intrabuccale, ainsi que de considérer les deux de manière combinée (Fig. 1). (1-3)

Représentation schématique du profil du patient spécifique à un cas, créé en tenant compte à la fois de la médecine générale et de la santé intrabuccale. Selon Lang & Tonetti.
Fig. 1 Représentation schématique du profil du patient spécifique à un cas, créé en tenant compte à la fois de l'état de santé général et de l'état de santé intrabuccal. Selon Lang & Tonetti.

L'examen attentif des paramètres individuels du patient facilite la création d'un profil de risque qui contribue de manière optimale au maintien d'une bonne santé et à la qualité de vie du patient. En outre, le profil de risque offre aux dentistes un sentiment d'assurance lors de la planification.

Cette présentation de cas met en évidence l'utilité d'un concept de prévention systématique et individuel lors de la création d'un profil de patient spécifique et de la mise en œuvre des mesures de traitement qui en découlent.

Antécédents médicaux

Le cas suivant est celui d'un patient de 28 ans. D'après ses propres dires, le patient était un athlète de compétition dans sa jeunesse. Il déclare qu'il avait l'habitude de boire jusqu'à 3 à 4 litres de boissons isotoniques tout au long de la journée. Il ne le fait plus depuis un an. Il boit maintenant de l'eau et du thé noir.

Les antécédents médicaux généraux n'ont révélé aucun trouble sous-jacent. Il déclare souffrir du rhume des foins au printemps et prend des antihistaminiques sur une base saisonnière si nécessaire. Le patient ne souffre pas d'asthme. Cependant, il fume jusqu'à 10 cigarettes par jour depuis huit ans.

Le patient se brosse les dents deux fois par jour avec une brosse à dents électrique et utilise des brosses interdentaires une fois par jour. Il donne la priorité au maintien d'une bonne santé dentaire. Il effectue actuellement un suivi préventif et se rend au cabinet trois fois par an.

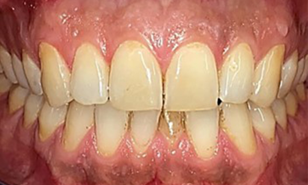
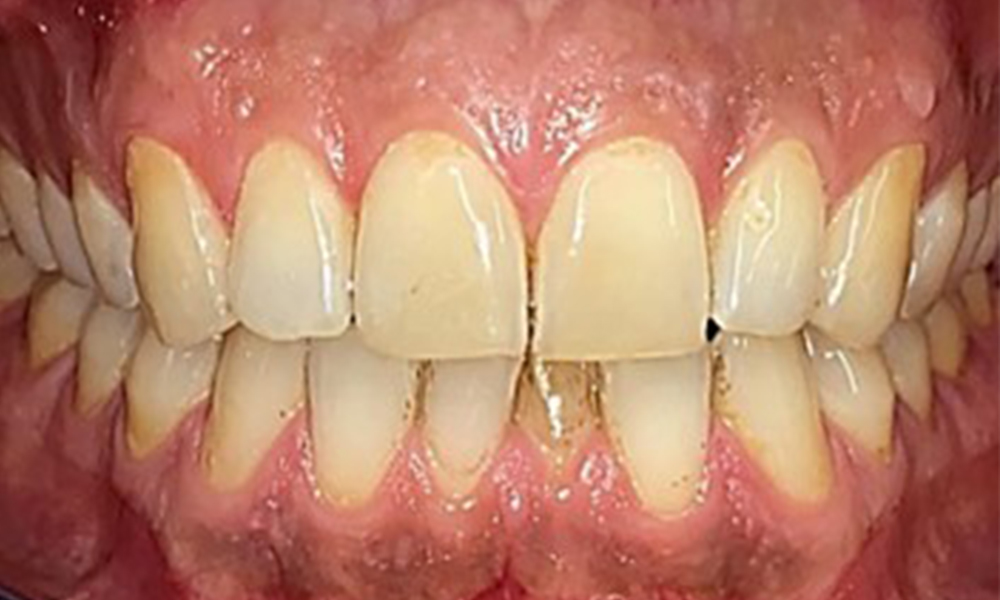
Vue de face
Fig. 2 Vue de face, © Dr R. Krapf
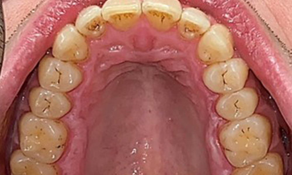
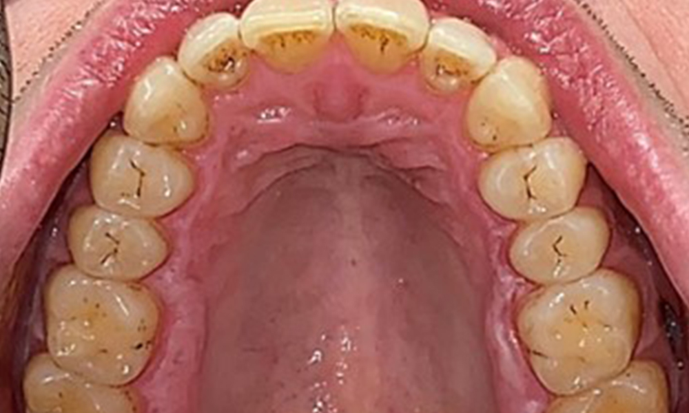
Vue occlusale du maxillaire.
Fig. 3: Vue occlusale du maxillaire, © Dr R. Krapf
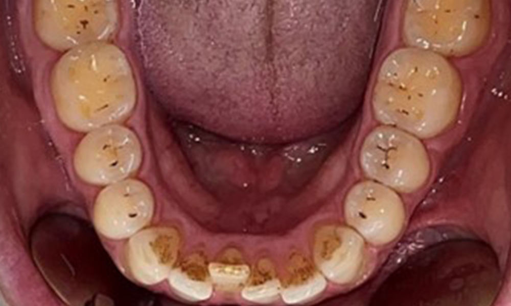
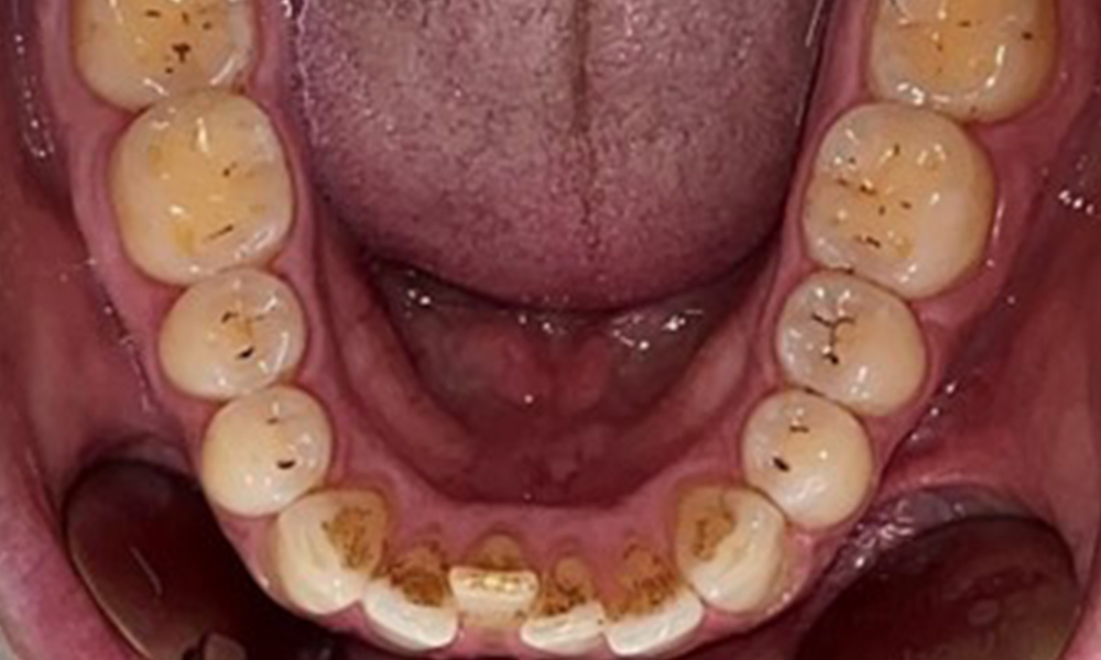
Vue occlusale de la mandibule.
Fig. 4: Vue occlusale de la mandibule, © Dr R. Krapf

Résultats extra-oraux et intra-oraux

Il n'y a pas eu de résultats pathologiques extra-oraux. Lors de l'examen intrabuccal, l'inspection de la vue frontale a révélé une décoloration brunâtre près de la gencive kératinisée et à la transition vers la muqueuse mobile (Fig. 2), qui pourrait être attribuée à la consommation de nicotine. Des lésions blanchâtres de la muqueuse ont été observées sur le palais, en particulier près des surfaces palatines des molaires maxillaires, ce qui indique une kératinisation accrue et peut également être attribué à la consommation de nicotine. La langue était recouverte d'un enduit amovible blanc et brunâtre.

Résultats dentaires

Le patient a une dentition complète avec un total de 28 dents. Il y avait des érosions et des attritions notables. (Fig. 4, Fig. 5). En raison du bruxisme, le patient a porté pendant de nombreuses années une attelle avec une gouttière ajustée la nuit. Les érosions ont été causées par une consommation prolongée de boissons isotoniques. Aucune perte d'os parodontal ou carie active n'a été observée.

Résultats parodontaux

Entre 1 et 3 mm, les profondeurs de sondage cliniques se situaient dans la plage physiologique. Des récessions maxillaires allant jusqu'à 1 mm ont été observées de la 13 à la 16 et de la 23 à la 27. Le BOP était de 15 %.

Vue rapprochée des dents
Fig. 5: Vue rapprochée des dents 45 à 47. Les flèches vertes montrent l'attrition dentaire et les érosions des cuspides buccales avec perte partielle d'émail., © Dr R. Krapf

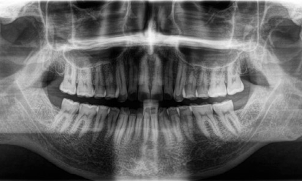
Résultats radiologiques

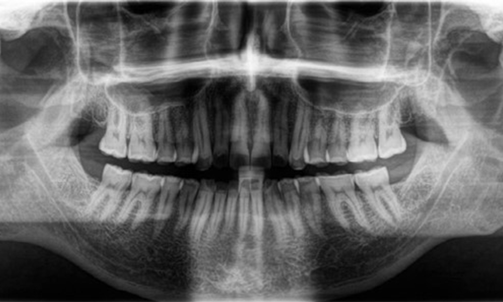
Une denture adulte complète, sans carie ni perte osseuse radiologiquement reconnaissable, a été observée (Fig. 6). La perte radiologique d'émail et de cuspides était particulièrement évidente sur les 36 et 37.

Radiographie panoramique
Fig. 6: Radiographie panoramique, © Dr R. Krapf

Recommandation de traitement basée sur le concept de prévention individuel

Il est essentiel d'évaluer le profil de risque de chaque patient avant le traitement. Le profil du patient découle de ses antécédents médicaux généraux et de son état de santé intrabuccal.

D'après les antécédents médicaux généraux, le risque de complications pendant le traitement est considéré comme faible, tant pour le patient que pour le dentiste. Le risque de maladie intrabuccale est actuellement classé comme modéré car le patient fume jusqu'à 10 cigarettes par jour. Le tabagisme est associé à un risque accru de parodontite (4) et de développement de tumeurs cancéreuses.

Du point de vue de la santé intrabuccale, le risque de progression de la maladie, de détérioration de la santé intrabuccale ou de développement potentiel d'une maladie parodontale est classé comme modéré. Le tabagisme est également un facteur décisif à cet égard. Une bonne hygiène intrabuccale à domicile, associée à des rendez-vous professionnels réguliers et périodiques au cabinet dentaire et à des déclarations motivantes, est cruciale pour maintenir l'état intrabuccal favorable actuel.

Recommandation de traitement basée sur le concept de prévention individuel

Le patient présente un risque modéré de maladie intrabuccale actuelle et future, compte tenu de son tabagisme.
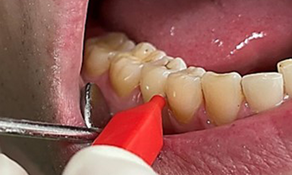
En raison d'un état de santé général par ailleurs favorable, les besoins déterminés lors de l'examen intra-oral seront déterminants pour le traitement. Il sera essentiel de déterminer périodiquement les profondeurs de sondage. Le saignement gingival diminue chez les fumeurs, c'est pourquoi le diagnostic clinique de la parodontite ne peut se faire que par sondage (Fig. 7). En se concentrant exclusivement sur la détermination des indices de saignement, on risque d'occulter une parodontite ou une gingivite existante. (5)

Sondage en poche (BOP) avec représentation de la dent 36 linguale
Fig. 7 Sondage en poche (BOP) avec représentation de la dent 36 linguale, © Dr R. Krapf

L'état parodontal doit faire l'objet d'un examen approfondi une fois par an. La détection de la plaque dentaire à l'aide d'un agent colorant peut être une source de motivation. L'évaluation des résultats intra-oraux, des surfaces buccales et de la muqueuse linguale est particulièrement importante chez les fumeurs, car elle facilitera la détection de tout changement pathologique à un stade précoce (6). La documentation photographique permet d'évaluer l'évolution des lésions pathologiques potentielles de la muqueuse au fil du temps. Le recours à un spécialiste peut s'avérer nécessaire pour obtenir et tester des échantillons de tissus. Les procédures d'imagerie soutiennent également les discussions motivantes avec le patient. Elles peuvent permettre de mettre en évidence des améliorations au cours des rendez-vous dentaires préventifs ultérieurs.

L'instruction et la motivation sont des éléments importants de ces rendez-vous. Il est important que les patients comprennent et adoptent un bon comportement en matière d'hygiène intrabuccale à domicile. L'accumulation de plaque est particulièrement évidente dans les régions cervicales (Fig. 8).

Les flèches indiquent les accumulations de plaques dans la région cervicale.
Fig. 8: Les flèches indiquent les accumulations de plaques dans la région cervicale., © Dr R. Krapf

Il convient d'en discuter avec le patient et d'améliorer la technique de brossage des dents. Il est recommandé d'utiliser une brosse à dents souple pour l'hygiène intrabuccale à domicile en raison de la présence d'érosions et d'attritions.

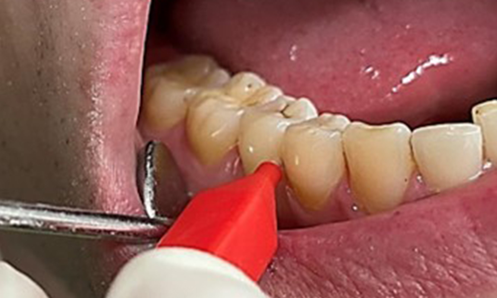
Il est également nécessaire de vérifier que les brosses interdentaires - utilisées quotidiennement par ce patient - sont de la bonne taille et encouragent une utilisation cohérente (Fig. 9). Une bonne hygiène intrabuccale minimise le risque de parodontite lié au tabagisme.

Utilisation des brosses interdentaires dans la zone proche de 44/45
Fig. 9: Utilisation des brosses interdentaires dans la zone proche de 44/45, © Dr R. Krapf

Le patient doit également être encouragé à se nettoyer la langue, car cela permet d'éliminer les taches de nicotine et les dépôts bactériens et peut prévenir l'halitose ultérieure.

Il est évident qu'il faut également accorder une grande attention au soutien et aux conseils de motivation concernant le changement de comportement souhaité, à savoir le sevrage tabagique.

Il n'y a pas de limites à l'utilisation d'instruments pendant le traitement en raison de l'état de santé général du patient. Il peut être nécessaire de demander au patient si sa respiration est perturbée pendant les phases allergiques. Dans le cas présent, l'utilisation d'un système de polissage de l'air devrait être envisagée.

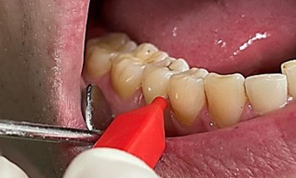
L'objectif serait de contrôler le risque de maladie en éliminant le biofilm supra-gingival et sous-gingival. Les instruments peuvent être sélectionnés en fonction des besoins du patient. Tout d'abord, le tartre et les concrétions doivent être éliminés à l'aide d'instruments ultrasoniques et/ou manuels (Fig. 10).

Utilisation d'un appareil à ultrasons piézoélectrique dans la zone linguale près de 36 (Proxeo Ultra, W&H, illustré ici).
Fig. 10 Utilisation d'un appareil à ultrasons piézoélectrique dans la zone linguale près de 36 (Proxeo Ultra, W&H, illustré ici)., © Dr R. Krapf

Les décolorations dues à la consommation de nicotine et de thé peuvent être facilement éliminées à l'aide d'un aéropolisseur (Fig. 11).

 Utilisation d'un système d'aéropolissage dans la zone linguale frontale mandibulaire (ici, Proxeo Aura, W&H)
Fig. 11 Utilisation d'un système d'aéropolissage dans la zone linguale frontale mandibulaire (ici, Proxeo Aura, W&H), © Dr R. Krapf

Lors de l'utilisation de poudre plus abrasive, il est essentiel de travailler d'une direction cervicale à une direction coronale et de ne jamais diriger la buse de sortie vers la gencive afin d'éviter un emphysème potentiel. Une bonne aspiration du côté controlatéral est essentielle pour réduire la formation d'aérosols (Fig. 12).

Utilisation du système de polissage à l'air loin du sulcus avec aspiration controlatérale
Fig. 12 Utilisation du système de polissage à l'air loin du sulcus avec aspiration controlatérale, © Dr R. Krapf

Le biofilm supplémentaire peut être éliminé à l'aide de poudres de glycine peu abrasives. Un repolissage est essentiel après l'utilisation d'une poudre plus abrasive (Fig. 13).
Des pâtes à polir appropriées contenant divers ingrédients et des valeurs RDA douces correspondantes scellent et lissent les irrégularités de la surface de la dent sans éliminer complètement la substance dentaire. Elles diminuent également les niches de colonisation naturelles et artificielles où une réadhésion bactérienne peut se produire (7). Les ingrédients de ces pâtes à polir peuvent également favoriser le traitement : fluorure, composés de zinc et huiles essentielles, qui contribuent à réduire l'hypersensibilité, l'halitose et à prévenir les caries.

Polissage près du 36
Fig. 13 Polissage près du 36, © Dr R. Krapf

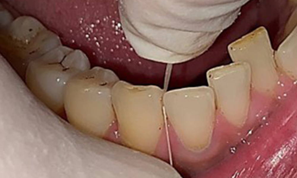
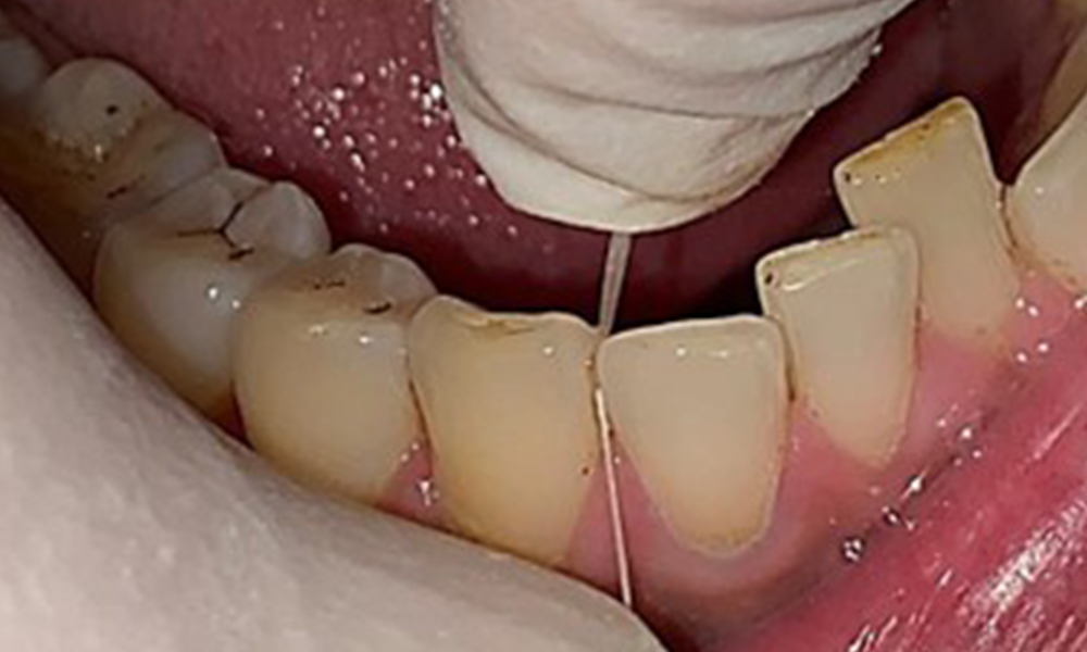
Il est indispensable de procéder à un nettoyage interdentaire avec des brosses ou du fil dentaire appropriés pour éliminer le biofilm interdentaire pendant le rendez-vous chez le dentiste (Fig. 14).

Utilisation du fil dentaire
Fig. 14 Utilisation du fil dentaire, © Dr R. Krapf

Il est également nécessaire de nettoyer la langue pour éliminer l'enduit lingual riche en bactéries, ainsi que les taches dues à la consommation de thé et de nicotine (Fig. 15). L'utilisation d'un gel lingual est raisonnable dans ce cas. Ces produits contiennent généralement des composés de zinc et d'étain, qui ont des effets antibactériens.

Nettoyage de la langue à l'aide d'un gratte-langue et d'un gel pour la langue
Fig. 15 Nettoyage de la langue à l'aide d'un gratte-langue et d'un gel pour la langue, © Dr R. Krapf

La fluoration des surfaces radiculaires exposées et des érosions est recommandée comme mesure adjuvante pour prévenir les caries. La prudence est de mise chez les patients dont la région cervicale est exposée lorsqu'il s'agit de choisir la fluoration. Idéalement, les dentistes devraient choisir une fluoration avec une valeur de pH neutre.
Les étapes suivantes comprennent l'utilisation continue d'un dentifrice fluoré pour l'hygiène intrabuccale à domicile et l'utilisation supplémentaire d'un gel fluoré. Le fluor favorise la reminéralisation et contribue à la désensibilisation de la dentine exposée.
Il convient d'utiliser un dentifrice peu abrasif pour éviter de favoriser la progression de la perte d'émail.

La santé intrabuccale, le mode de vie et les antécédents médicaux généraux doivent être pris en compte lors de la planification des intervalles de suivi. Le patient est classé dans le "profil de risque 3 : habitudes de vie" en raison de son tabagisme. En raison de sa consommation de 10 cigarettes par jour, il se situe à la limite entre un risque modéré et un risque accru de maladie. Cela signifie qu'il devrait être suivi à des intervalles de 2 à 3 fois par an. En fonction de l'évolution des besoins du patient, cet intervalle sera ajusté pour éviter un traitement excessif ou inadéquat. L'objectif est de prévenir toute perte supplémentaire de structure dentaire et de motiver le patient à réduire sa consommation de tabac et, idéalement, à cesser complètement de fumer.
Le fait de bien guider les patients déterminera le succès durable du maintien de la santé dentaire et intrabuccale chez ce patient. Il est fortement et urgemment recommandé de prendre immédiatement le prochain rendez-vous au cabinet dentaire.

Résumé

  1. Les antécédents médicaux révèlent que le patient présente un faible risque de complications, de sorte qu'il n'y a rien à signaler en termes de thérapie d'entretien pour le patient ou le dentiste à l'heure actuelle.
  2. Le risque d'apparition de la maladie et de détérioration possible de l'état intrabuccal est classé comme modéré. Le tabagisme est un facteur décisif à cet égard.
  3. Il est important de documenter les résultats obtenus lors du rendez-vous thérapeutique. L'état du saignement au sondage (BOP), qui permet de mesurer la profondeur des poches parodontales aux premiers stades de la maladie, doit être déterminé lors de chaque rendez-vous. Cette mesure est particulièrement importante chez les fumeurs en raison de la diminution de la perfusion des tissus.
  4. Motiver le patient à changer son comportement vis-à-vis du tabac doit être une priorité. Il est essentiel de répéter des déclarations motivantes concernant l'hygiène intrabuccale à domicile. Cela est important pour prévenir les parodontites et les caries potentielles.
  5. Des intervalles de traitement de 4 à 6 mois sont recommandés en raison du risque modéré de maladie intrabuccale. L'élimination de la plaque dentaire dure et molle est essentielle pour maintenir l'état intrabuccal actuel. Une perte supplémentaire de la structure dentaire dure doit être évitée à tout prix.

Dr med. dent. Romana Krapf

Bibliographie

  1. Schmalz G., Ziebolz D., Individualisierte Prävention-ein patientenorientiertes Präventionskonzept für die zahnärztliche Praxis, ZWR- Das deutsche Zahnärzteblatt 2020;129;147-156
  2. Schmalz G., Ziebolz D., Individualisierte Prävention-fallorientierte Bedarfsprävention, ZWR- Das deutsche Zahnärzteblatt 2020;129;33-41
  3. Schmalz G., Ziebolz D., Individualisierte Prävention-Implikation allgemeingesundheitlicher Faktoren, ZWR- Das deutsche Zahnärzteblatt 2019;128;295-304
  4. Borojevic T. (2012). Smoking and periodontal disease. Materia socio-medica, 24(4), 274–276. https://doi.org/10.5455/msm.2012.24.274-276
  5. Ardais R, Mário Tde G, Boligon J, Kantorski KZ, Moreira CH. The effect of smoking on bleeding on probing after nonsurgical periodontal therapy: a quasi- experimental study. Braz Oral Res. 2014;28:1-7. doi: 10.1590/1807-3107bor- 2014.vol28.0058.
  6. 6 Reibel J. Tobacco and oral diseases. Update on the evidence, with recommendations. Medical principles and practice: international journal of the Kuwait University, Health Science Centre, 12 Suppl 1, 22–32. (2003). https://doi.org/10.1159/000069845
  7. Wang C, Zhao Y, Zheng S, Xue J, Zhou J, Tang Y, et al. Effect of enamel morphology on nanoscale adhesion forces of streptococcal bacteria: An AFM study. Scanning. 2015;37(5):313-21

Commentaires