Rapports et études

Classification de la santé parodontale clinique

Prof. Dr. Peter Hahner

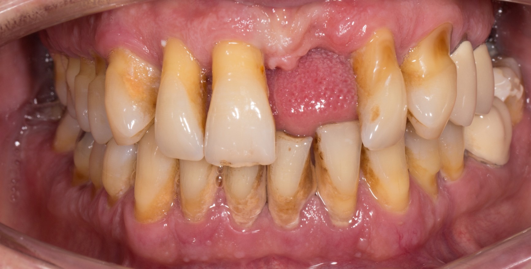
Pour la première fois, le nouveau schéma de classification des maladies parodontales, présenté en juin 2018, contient une définition du concept de santé parodontale clinique (Lang & Bartold, 2018). Même dans des conditions d'hygiène optimales, une petite quantité de biofilm bactérien est présente dans le sillon gingival. Une absence totale de bactéries n'est pas possible dans les conditions cliniques. La réponse histologique à ce phénomène est un infiltrat sous-épithélial limité de granulocytes neutrophiles (PMN). Cependant, si l'homéostasie est maintenue entre le biofilm et une petite quantité d'infiltrat de PMN, cet état est considéré comme l'expression d'un contrôle immunologique et donc comme un processus physiologique et non pathologique (inflammatoire) (Brecx et al., 1987a+b). La charge microbiologique et les facteurs de l'hôte déterminent si l'état de santé parodontale clinique se maintient. Localement, ils peuvent conduire à une accumulation accrue de biofilm (par exemple, restaurations dentaires inadéquates ou positions dentaires défavorables) ou ils peuvent affecter la réponse immunitaire (par exemple, maladies systémiques).

On distingue l'état de santé parodontale clinique d'un parodonte intact de celui d'un parodonte réduit déjà affecté par une perte d'attache clinique. Cette perte d'attache peut se produire :

à la suite d'une l'inflammation au cours d'une parodontite. La santé parodontale clinique décrit alors un état stable après l'achèvement réussi du traitement parodontal.
à la suite d'une récession
de manière iatrogène, par exemple à la suite d'un allongement chirurgical de la couronne (Chapple et al., 2018).

Le critère clinique est toujours l'absence de saignement lors d'un sondage minutieux (saignement au sondage = BoP). Une distinction est faite entre un diagnostic spécifique au site/à la dent avec un résultat BoP négatif au site de mesure correspondant, et un diagnostic au niveau de la dent ou du patient, pour lequel une valeur seuil d'un BoP ≤ 10 % répond toujours aux critères de santé parodontale clinique. La profondeur de sondage des poches ne doit pas dépasser 3 mm. Dans un parodonte réduit après un traitement parodontal, une valeur seuil de 4 mm est encore considérée comme un état stable (Matuliene et al., 2008).

Si un diagnostic de « santé parodontale clinique » est posé, les antécédents du patient doivent être pris en compte pour garantir des soins futurs corrects : la parodontite est une maladie chronique qui peut être contrôlée avec succès au moyen d'un traitement. Toutefois, contrairement à la gingivite entièrement réversible, même si le patient présente un état stable après le traitement de la parodontite, il n'en demeure pas moins qu'il est exposé à un risque accru de perte d'attache. Le patient souffrant de parodontite restera un patient souffrant de parodontite pour le reste de sa vie et aura donc besoin d'un traitement d'entretien parodontal (PMT) à long terme.

Références

  1. Lang, N. P., & Bartold, P. M. (2018). Periodontal health. Journal of periodontology, 89, S9-S16.
  2. Brecx, M. C., Gautschi, M., Gehr, P., & Lang, N. P. (1987). Variability of histologic criteria in clinically healthy human gingiva. Journal of periodontal research, 22(6), 468-472.
  3. Brecx, M. C., Schlegel, K., Gehr, P., & Lang, N. P. (1987). Comparison between histological and clinical parameters during human experimental gingivitis. Journal of periodontal research, 22(1), 50-57.
  4. Chapple, I. L., Mealey, B. L., Van Dyke, T. E., Bartold, P. M., Dommisch, H., Eickholz, P., ... & Griffin, T. J. (2018). Periodontal health and gingival diseases and conditions on an intact and a reduced periodontium: Consensus report of workgroup 1 of the 2017 World Workshop on the Classification of Periodontal and Peri‐Implant Diseases and Conditions. Journal of clinical periodontology, 45, S68-S77.
  5. Matuliene, G., Pjetursson, B. E., Salvi, G. E., Schmidlin, K., Brägger, U., Zwahlen, M., & Lang, N. P. (2008). Influence of residual pockets on progression of periodontitis and tooth loss: results after 11 years of maintenance. Journal of clinical periodontology, 35(8), 685-695.

Commentaires