Rapports et études

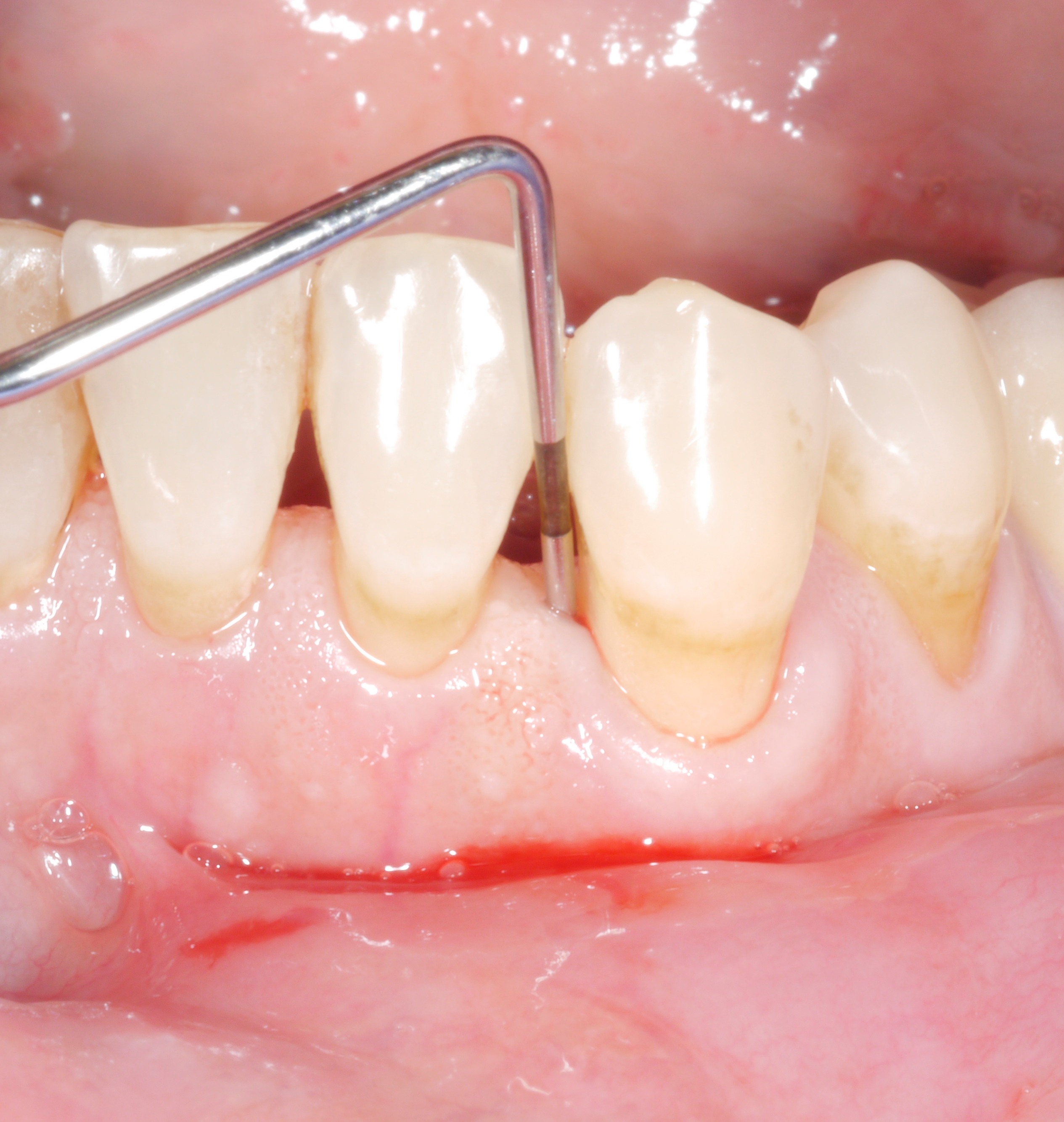
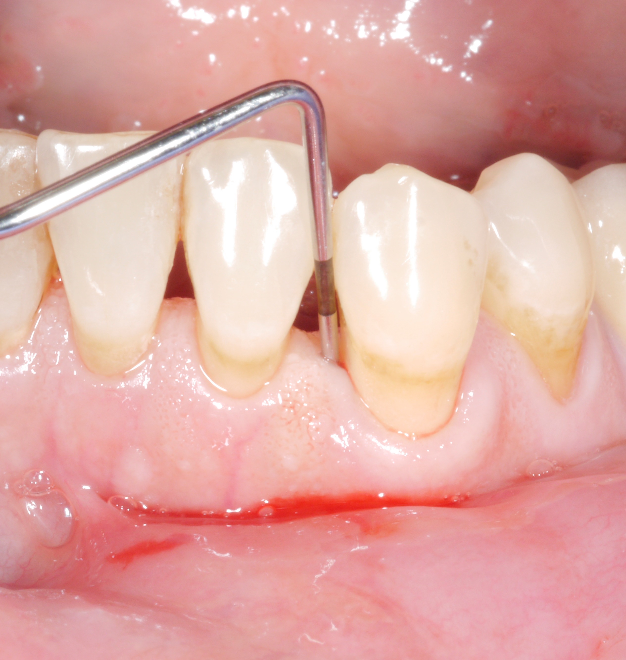
Une profondeur de sondage de la poche résiduelle de 6 mm - est-ce un problème ?

PD Dr. Kristina Bertl, PhD MSc MBA

C'est une situation que nous connaissons bien : après la phase active du traitement, presque toutes les dents du patient ne sont plus affectées par l'augmentation de la profondeur de sondage des poches. Cependant, il reste encore un ou deux endroits où l'objectif du traitement n'a malheureusement pas été atteint. On peut alors se poser la question suivante : “ Quelle est la gravité de la situation ? Une seule poche de 6 ou 7 mm, cela ne peut pas faire une grande différence ?

Toutefois, les dentistes ne devraient pas se contenter de profondeurs de sondage résiduelles. En effet, même des profondeurs de sondage résiduelles de plus de 4 mm constituent un problème, du moins à long terme, tant pour la dent concernée que pour le reste de la dentition.

Les données d'une étude suisse, qui a suivi environ 170 patients en traitement d'entretien sur une période moyenne de 11 ans, ont montré très clairement le problème posé par les profondeurs de sondage résiduelles individuelles :

  • Des profondeurs de sondage des poches résiduelles individuelles de 6 mm ou plus constituaient un facteur de risque de dégradation de la santé parodontale générale et de perte de dents.
  • La profondeur de sondage de plusieurs poches résiduelles de 5 mm ou plus était également un facteur de risque de détérioration de la santé parodontale générale.
  • Les saignements au sondage doublent le risque de perte ultérieure de dents.
  • Le risque de perte de dents était presque 8 fois plus élevé pour une profondeur de sondage de 5 mm, environ 10 fois plus élevé pour une profondeur de sondage de 6 mm et plus de 60 fois plus élevé pour une profondeur de sondage de 7 mm !

Conclusion : l'objectif du traitement devrait être d'obtenir des profondeurs de sondage des poches de 4 mm maximum et une absence d'inflammation !

Référence

  1. Matuliene G, Pjetursson BE, Salvi GE, Schmidlin K, Brägger U, Zwahlen M, Lang NP. Influence of residual pockets on progression of periodontitis and tooth loss: Results after 11 years of maintenance. J Clin Periodontol 2008; 35: 685–695.

Commentaires