Rapports et études

Pose de l’implant différée et augmentation osseuse -
mesure de la stabilité de l'implant

L’extraction d’une première molaire mandibulaire, comportant d'importantes lésions cariées, accompagnées de complications endodontiques, devait être pratiquée chez un jeune patient. L’implant était la seule alternative à la pose d’un bridge s’appuyant sur les dents voisines globalement saines. Six semaines après l’extraction, l’alvéole présentait une insuffisance osseuse. L’implantation a dû être associée à une augmentation osseuse.

Les implants doivent présenter une stabilité primaire permettant une bonne ostéo-intégration. Le couple mécanique requis peut être mesuré pendant l’insertion. En cas de micromobilité excessive préjudiciable à la stabilité primaire de l’implant, les tissus mous peuvent se développer dans l’intervalle résultant, auquel cas l’ostéo-intégration n'a pas lieu (1). Cependant, la résistance au vissage de l’implant dépend, entre autres facteurs, de la géométrie du corps de l’implant et du filetage. Par conséquent, la recommandation standard d'au moins 20 à 40 Ncm n’est pas applicable à tous les systèmes (2).

Il n’est pas possible non plus de répéter une mesure de couple sans compromettre le succès de l’ostéo-intégration. C’est pour cette raison qu’il est conseillé d’utiliser des dispositifs non invasifs tels que l’analyse des fréquences de résonance (RFA). Pour faire vibrer l’implant, on utilise des ondes électromagnétiques. Le quotient de stabilité de l'implant (ISQ) ainsi obtenu est corrélé à la micromobilité et donc à la résilience de la prothèse (3, 4). Une densité osseuse élevée est généralement associée à une stabilité primaire accrue (5). Si le volume osseux est réduit, il est plus difficile d’évaluer la qualité de la stabilité primaire, d’où l'importance de la mesure de l’ISQ dans certains cas (2).

Antécédents

Situation clinique initiale
Fig. 1 : Situation clinique initiale après cicatrisation de l’alvéole où se trouvait la dent 36. La base osseuse est large et la gencive kératinisée suffisante.

Un patient de 28 ans ayant des antécédents de tabagisme important a dû se faire extraire la dent 36 à la suite d’une parodontite apicale récidivante.

Vu que les dents voisines étaient globalement intactes, la seule solution pour remplacer la dent manquante était de poser un implant.

l’ossification de l’alvéole est incomplète
Fig. 2 : Six semaines plus tard, l’ossification de l’alvéole est incomplète dans la région de la racine mésiale.

Cependant, six semaines après l’extraction on observe une ossification incomplète après la préparation du lambeau mucopériosté dans la région de l’ancienne alvéole mésiale.

Implant
Fig. 3 : Après préparation à l'aide du moteur d’implantologie Implantmed, un implant (4 mm de diamètre, 12 mm de long) a été vissé à l’aide du moteur avec un couple de 43 Ncm.

L’implant a été posé comme prévu après élimination complète du tissu de granulation (blueSky, bredent).

SmartPeg
Fig. 4 : Tiges de mesure SmartPeg vissées pour mesurer les quotients de stabilité de l’implant à l'aide du module W&H Osstell ISQ intégré.

Le couple utilisé pour la pose guidée était de 43 Ncm.
En outre, après avoir vissé une tige de mesure (SmartPeg) spécialement conçue pour l'implant, la valeur ISQ a été mesurée à l’aide de la sonde du module W&H Osstell ISQ.

déficit osseux péri-implantaire
Fig. 5 : Le déficit osseux péri-implantaire doit être compensé par des fragments osseux autogènes afin de restaurer le contour des tissus péri-implantaires.

Ce module est fourni en option avec l’Implantmed de W&H et est fixé au moteur d’implantologie (cf. Fig. 11). La valeur ISQ adimensionnelle mesurée immédiatement après l’insertion était de 64 dans l’axe oro-vestibulaire et de 68 dans l’axe mésio-distal (valeur maximale = 100).

Ces valeurs auraient pu indiquer une cicatrisation ouverte, voire une restauration immédiate. Étant donné le volume osseux crestal insuffisant au niveau de l’implant, une augmentation osseuse a été pratiquée localement à l’aide des fragments osseux recueillis lors de la préparation du lit implantaire, et des points de suture effectués pour éviter le contact de la salive.

Sonde de mesure
Fig. 6 : Dix semaines plus tard, on a retiré le façonneur de gencive qui avait été inséré après la pose de l’implant. Dans la direction linguo-buccale, la valeur ISQ est restée pratiquement inchangée, à 63 (sonde de mesure à proximité, à une distance de 2-3 mm).

L’implant a été mis à nu deux mois plus tard et un façonneur gingival a été introduit par vissage (pas de photo).

Après cicatrisation des tissus mous, la stabilité de l’implant a été mesurée une nouvelle fois avant la pose de la restauration prothétique.

Implantmed
Fig. 7 : Affichage de la valeur ISQ sur l’Implantmed : il n’est pas nécessaire d’utiliser un dispositif spécifique et les valeurs sont indiquées parallèlement aux autres valeurs pour la préparation du lit implantaire et l’insertion.

Les deux valeurs étaient pratiquement inchangées, situées entre la plage moyenne et la plage haute - la valeur la plus basse étant toujours utilisée comme valeur de référence qui détermine le traitement.

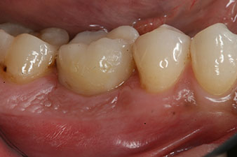
Vue
Fig. 8 : Prise de l’empreinte pour la couronne définitive.

Par conséquent, il a été possible d’enregistrer une ostéo-intégration réussie et une stabilité biologique correcte, permettant également de prendre une empreinte durant la même séance.

Les dernières photos montrent la couronne composite monolithique retenue par une vis une fois mise en place et la radio de contrôle (Fig. 9 et 10) (6).

couronne composite
Fig. 9 : La couronne composite définitive est scellée sur un pilier hybride PEEK en laboratoire et peut être vissée en place immédiatement.
radio de contrôle
Fig. 10 : La radio de contrôle montre que l’ostéo-intégration a été réussie et que la couronne est vissée en position de manière parfaitement ajustée.
Implantmed ISQ Module
Fig. 11 : L’auteur pendant l'intervention avec l’Implantmed et le module W&H Osstell ISQ intégré (à gauche sur la photo).
Dr Jörg Neugebauer

Dr Jörg Neugebauer,
Landsberg am Lech (Allemagne)

Photos : © Neugebauer

Discussion et conclusion

Face aux demandes de réduction de la durée des traitements de la part des patients, il est de plus en plus important de pouvoir déterminer le moment idéal pour la restauration. Afin de pouvoir estimer la micromobilité en cas de restauration immédiate, il convient de mesurer, le jour de la pose de l’implant, la stabilité primaire déterminée mécaniquement. Pour s’assurer du succès de l’ostéo-intégration, en revanche, c’est la stabilité secondaire, déterminée biologiquement, qui est prise en compte. En cas d’insertion dans un tissu osseux mou, les implants ont généralement tendance à être plus stables après la mise à nu qu’après la pose (2). Mais si l’implant est inséré dans un tissu osseux dur ou solide, comme dans le cas étudié ici, la valeur ISQ reste constante, voire diminue dans certains cas si les valeurs initiales étaient élevées. La stabilité mécanique élevée est réduite par le processus d’ostéo-intégration et c’est l’ancrage biologique qui s’y substitue.

La stabilité implantaire est mieux décrite par le terme de micromobilité et la meilleure méthode de mesure est l’analyse des fréquences de résonance (RFA) (7, 8). Les mesures sont effectuées idéalement dans deux directions, comme dans l’étude de cas (9). La technologie est disponible en option sous forme de module pouvant être connecté au moteur d’implantologie Implantmed. Il n’est pas nécessaire d’avoir un dispositif distinct. La valeur inférieure est toujours retenue pour le traitement. Les valeurs mesurées s'affichent sur l’écran tactile du moteur d’implantologie et déterminent le quotient de stabilité de l'implant (ISQ). Avec la courbe de couple pour l’insertion et les données sur la préparation du lit implantaire, elles peuvent être enregistrées sur une clé USB et utilisées pour compléter les données du patient et de l’implant. Globalement, c’est une technologie très conviviale et fiable qui convient au travail quotidien en implantologie, en particulier en association avec l’Implantmed de W&H.


Sources

  1. Brunski JB. In vivo bone response to biomechanical loading at the bone/dental-implant interface. Adv Dent Res 1999;13:99-119.
  2. Neugebauer J, Kistler F, Duddeck D, Scheer M, Kistler S, Bayer G, et al. Risikomanagement - objektive Beurteilung der Implantatstabilität. Implantologie Journal 2013.
  3. Pagliani L, Sennerby L, Petersson A, Verrocchi D, Volpe S, Andersson P. The relationship between resonance frequency analysis (RFA) and lateral displacement of dental implants: an in vitro study. Journal of oral rehabilitation 2013;40:221-227.
  4. Suer BT, Yaman Z, Buyuksarac B. Correlation of Fractal Dimension Values with Implant Insertion Torque and Resonance Frequency Values at Implant Recipient Sites. Int J Oral Maxillofac Implants 2016;31:55-62.
  5. Filho LC, Cirano FR, Hayashi F, Feng HS, Conte A, Dib LL, et al. Assessment of the correlation between insertion torque and resonance frequency analysis of implants placed in bone tissue of different densities. J Oral Implantol 2014;40:259-262.
  6. Neugebauer J, Adler S, Kistler F, Kistler S, Bayer G. Der Einsatz von Kunststoffen bei der festsitzenden prothetischen Implantatversorgung. ZWR Das Deutsche Zahnärzteblatt 2013;122:242-245.
  7. Andreotti AM, Goiato MC, Nobrega AS, Freitas da Silva EV, Filho HG, Pellizzer EP et al. Relationship Between Implant Stability Measurements Obtained by Two Different Devices: A Systematic Review. J Periodontol 2017; 88: 281-288.
  8. Herrero-Climent M, Santos-Garcia R, Jaramillo-Santos R, Romero-Ruiz MM, Fernandez-Palacin A, Lazaro-Calvo P, et al. Assessment of Osstell ISQ's reliability for implant stability measurement: a cross-sectional clinical study. Medicina oral, patologia oral y cirugia bucal 2013;18:e877-882.
  9. Park JC, Kim HD, Kim SM, Kim MJ, Lee JH. A comparison of implant stability quotients measured using magnetic resonance frequency analysis from two directions: a prospective clinical study during the initial healing period. Clinical oral implants research 2010;21:591-597.

Commentaires