Rapports et études

Traitement endo-parodontal d'une dent pilier

Utilisation sélective d'un unit piézoélectrique et d'un moteur d'implantologie

Compte-rendu de Ramon Boninsegna, DDS, PhD et de Luca Bovolato, DDS

Première parution dans l'EDI Journal en 01/2017

Les dents naturelles sont une ressource précieuse. Cette étude de cas décrit la tentative complexe de préserver une prémolaire ayant subi un traitement endodontique et parodontal pour qu'elle serve de pilier – au moins à moyen terme – et nécessitant la pose de deux implants adjacents en combinaison avec une élévation de plancher sinusien par voie interne. Un unit piézoélectrique et un moteur d'implantologie ont été utilisés de manière sélective pour cette chirurgie pluridisciplinaire.

Les lésions endoparodontales combinées touchent à la fois le tissu endodontique (pulpaire) et le tissu parodontique (l'attache) (Foce, 2009). Leur pathogenèse est extrêmement variable et seuls des outils diagnostiques sophistiqués peuvent permettre leur identification, notamment des tests de vitalité non invasifs et invasifs et une exploration par sonde parodontale, ne serait-ce que pour écarter une étiologie unique.

Lorsque l'absence de signes de vitalité pulpaire et la présence de poches parodontales induites par le biofilm évoquent une lésion combinée, le traitement débutera la plupart du temps par une endodontie orthograde. Si les symptômes persistent, l'évaluation parodontique doit être répétée et le traitement local ou par voie générale mis en place selon les besoins. Le succès des traitements endodontiques et parodontaux repose essentiellement sur les procédures qui s'attaquent au biofilm pathogène comme principal facteur étiologique (Nair, 1997, Hajishengallis and Lamont, 2012).

Lorsqu'une régénération tissulaire guidée (GTR) est indiquée dans les défauts parodontaux avec défaut osseux, c'est la combinaison d'un greffon et d'une membrane qui a montré les meilleurs résultats (Sculean et al., 2008). Cependant, dans l'expérience clinique et pour des raisons biologiques, la réussite peut être compromise si la perte osseuse est importante et s'étend jusqu'à l'apex de la dent.

Gestion horizontale du site d'implantation

Après la perte d'une dent, les structures parodontiques liées à la dent, y compris certaines parties de l'os alvéolaire, se résorbent invariablement et la crête doit être remodelée (Tan et al., 2012). Pour minimiser cette nécessité, une préservation de la crête peut être réalisée et, si possible, un bridge peut être mis en place (Schlee et Esposito, 2009). Une alternative consiste à insérer un implant, ce qui préserve potentiellement l'os des contraintes fonctionnelles qui lui sont transmises (Wolff, 1986, Wolff and Wessinghage, 1892).

Si les dimensions osseuses du futur site d'implantation sont insuffisantes, une augmentation simultanée ou différée peut être indiquée. D'après une étude récente, les greffes de bloc osseux sont la procédure la plus fréquente en cas d'approche différée, tandis que la régénération osseuse guidée (GBR) est plus souvent utilisée avec l'augmentation osseuse simultanée (Sanz-Sanchez et al., 2015). Si le défaut est de taille limitée, une GBR peut donc être privilégiée car une greffe autologue ne nécessite aucun site chirurgical supplémentaire.

De nombreux médecins préfèrent un système de GBR constitué d'un substitut osseux bovin et d'une membrane porcine de collagène résorbable. La vitesse de résorption du substitut est faible, la membrane est biocompatible et on dispose d'une vaste documentation sur les deux produits, utilisés individuellement et en combinaison (Jensen et al., 2014, Retzepi and Donos, 2010).

Élévation sinusienne

Dans le maxillaire postérieur, les défauts osseux verticaux peuvent être gérés par une élévation du plancher sinusien. Plus précisément, avec une hauteur osseuse résiduelle d'au moins 4 mm dans la région caudale par rapport au plancher sinusien, l'approche par voie interne s'est révélée efficace (Calin et al., 2014). D'après les rapports cliniques, le risque de perforation peut être réduit en utilisant des systèmes piézoélectriques près de la membrane de Schneider (Zhen et al., 2012). De plus, selon une étude comparative, les dispositifs piézoélectriques minimisent l'inconfort chez le patient pendant l'intervention et leur manipulation par l'opérateur est plus commode que les ostéotomes (Baldi et al., 2011).

En principe, ces avantages se vérifient également pour les procédures d'élévation sinusienne par voie externe (Wallace et al., 2012). Dans la présente étude de cas, la préservation endo-parodontique d'une première prémolaire maxillaire était associée à la pose d'un implant du type submergé et l'élévation simultanée afin de restaurer le quadrant maxillaire gauche postérieur. Compte tenu du pronostic incertain des dents piliers, la planification définitive de la restauration a dû être reportée jusqu'à l'ostéointégration complète des implants. Les différentes procédures chirurgicales ont été réalisées avec soit un unit piézoélectrique soit un moteur d'implantologie rotatif.


Étude de cas :

Lesion apicale sur dent 24
Fig. 1 : Patiente de 58 ans. Radio pré-opératoire montrant une lésion du parodonte apical à la dent 24 et une perte horizontale d'os alvéolaire dans le deuxième quadrant.

1. Dr Luca Bovolato:

Une patiente de 58 ans se plaignait de douleurs et d'une mobilité accrue de la dent pilier 24 de son bridge. Présence d'une inflammation parodontale avec formation de poches de 7 mm de profondeur dans le sens mésiobuccal et de plus de 12 mm dans le sens distal, ainsi que d'une atteinte de la furcation au troisième degré. La radiographie a par ailleurs révélé une lésion parodontale étendue autour de la région apicale de la dent 24 ayant préalablement reçu un traitement endodontique (alio loco) (Fig. 1).

Un an plus tôt, les dents 25 et 26 avaient été extraites à la suite d'un traumatisme et pour cause d'atteinte endo-parodontale, avant la pose du bridge. Une lésion endo-parodontale combinée a été diagnostiquée pour la dent 24, d'étiologie incertaine. La patiente voulait conserver ses dents piliers 24 et 27 et refusait toute prothèse amovible à titre définitif, et même provisoire. Par conséquent, malgré un pronostic défavorable compte tenu des résultats des radios et des examens cliniques, il a été convenu de faire le maximum pour conserver les deux dents.

La pose de deux implants submergés a été programmée sur les sites 25 et 26, lors d'une intervention chirurgicale incluant un débridement parodontal ouvert et une apicectomie de la dent 24. Du fait du défaut osseux vertical sur le site d'implantation futur, une élévation sinusienne par voie interne a également été programmée.

À la suite d'un traitement local par administration de gel de metronidazole à 25 % (Elyzol) dans les poches de la dent 24, un traitement causal par désinfection parodontale globale a été mis en route. Le traitement orthograde des canaux radiculaires a été repris à l'aide d'une obturation avec de la gutta-percha thermoplastique, d'un tenon en fibre de verre et d'un noyau composite. Le bridge a été rescellé en sous occlusion pour favoriser la cicatrisation des sites de GTR et de GBR.

Débridement chirurgical et apicectomie

1. Dr Ramon Boninsegna:

Un mois plus tard, le jour de l'intervention, la douleur et l'inflammation sur la dent 24 étaient minimes mais une mobilité de classe 2 de Miller était toujours observable. Après ouverture des lambeaux et nettoyage des tissus périapicaux et périradiculaires infectés, l'étendue du défaut osseux est devenue parfaitement visible (Figures 2 et 3).

À la racine de la dent, il manquait la totalité de l'os vestibulaire et distal. L'attache était essentiellement limitée à la racine palatine, venant ainsi confirmer le pronostic défavorable initial. La dent 27 présentait également une attache horizontale réduite et une raréfaction apicale minime (cf. Fig. 1), sans symptômes cliniques.

perte totale d'os et d'attache
Fig. 2 et 3 : Après élévation des lambeaux, un mois après le retraitement endodontique et le démarrage du traitement parodontal global, la racine de la dent 24 présentait une perte totale d'os et d'attache.

Nous avons toutefois maintenu notre projet initial de conservation des deux dents comme piliers temporaires d'un bridge pendant la période de six mois nécessaire à l'ostéointégration des implants. À la prochaine incision, la situation devrait être réétudiée. Premièrement, afin de gérer le problème endoparodontal, la surface de racine restante a été soigneusement débridée à l'aide d'un équipement piézoélectrique (Piezomed, W&H, utilisé avec l'insert en forme de spatule S1, initialement conçu pour limer la paroi sinusienne latérale) (Fig. 4).

Puis l'apex a été limé à l'aide du même instrument afin d'éliminer les tissus apicaux infectés résiduels et de réduire les éventuelles ramifications des canaux radiculaires (apicectomie) (Fig. 5). Il n'a pas été nécessaire de procéder à une obturation rétrograde car l'obturation orthograde venait juste d'être reprise.

débridement parodontal
Fig. 4 : Pour préserver la dent comme pilier temporaire, un débridement parodontal a été pratiqué à l'aide d'un équipement piézoélectrique...
apicectomie de la dent 24
Fig 5 : ...et l'apex de la dent 24 a été limé avec le même instrument (apicectomie).

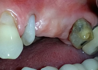
Élévation sinusienne et pose de l'implant

Avant la pose de l'implant, les tissus infectés ont été retirés de l'os alvéolaire sur le site de l'implant et autour des dents piliers à l'aide d'un insert initialement conçu pour le façonnage de l'os et la récupération des copeaux d'os (Piezomed, insert B5) (Figures 6 et 7).

racloir piézoélectrique
Fig. 6 : Le site chirurgical a été débridé à l'aide d'un racloir piézoélectrique conçu pour la collecte des particules d'os et le modelage de l'os.
défauts osseux
Fig. 7 : Après nettoyage, les défauts osseux en position mésiale par rapport à la dent 27 et autour de la racine de la dent 24 étaient nettement visibles.
moteur d'implantologie
Fig. 8 : Préparation par rotation du lit implantaire avant le plancher du sinus maxillaire en position 25, effectuée à l'aide d'un nouveau moteur d'implantologie.

Les lits implantaires ont été préparés sur les sites 25 et 26 à l'aide d'instruments rotatifs, utilisés dans un contre-angle avec un rapport de transmission 20:1 avec un nouveau moteur d'implantologie puissant (Implantmed, W&H) (Fig. 8).

La préparation finale près du sinus a encore une fois été réalisée à l'aide d'un instrument piézoélectrique (Piezomed, insert S2).

Avant la mise en place de l'implant, et après vérification de l'intégrité de la membrane de Schneider (Fig. 9), le plancher sinusien interne a été élevé sur les deux sites d'implantation à l'aide d'un matériau de substitution osseuse xénogénique (Bio-Oss, Geistlich Biomaterials) (Fig. 10).

, l'intégrité de la membrane sinusienne
Fig. 9 : Après préparation du lit implantaire sur le site 26, l'intégrité de la membrane sinusienne a été contrôlée à l'aide d'une sonde parodontale CPITN à extrémité hémisphérique.
sonde CPITN
Fig. 10 : Introduction de substitut osseux xénogénique dans l'ostéotomie implantaire pour l'élévation sinusienne par voie interne. Le matériau a été soigneusement condensé dans une direction apicale avec la sonde CPITN à extrémité hémisphérique (non représentée).

Les implants (Restore, Keystone Dental, 3,75 mm de diamètre, 8,0 mm de long) ont été mis en place à l'aide du moteur d'implantologie (Fig. 11 et 12).

Insertion à faible vitesse de l'implant 26
Fig. 11 : Insertion à faible vitesse de l'implant 26 avec un couple limité à 35 Ncm.
implants prêts à recevoir les vis de couverture
Fig. 12 : Les deux implants sont en place et prêts à recevoir les vis de couverture.

Les défauts osseux autour des implants, sur la face mésiale de la dent 27 et autour de la racine de la dent 24, ont été reconstruits par des particules de substitut osseux xénogénique et recouverts d'une membrane collagène résorbable (Bio-Gide, Geistlich Biomaterials) pour une augmentation par GBR (Fig. 13 et 14).

substitut osseux xénogénique
Fig. 13 : Le substitut osseux xénogénique a été utilisé pour reconstruire les défauts osseux restants ...
membrane collagène
Fig. 14 : ... qui ont ensuite été recouverts d'une membrane collagène résorbable. La structure de couleur gris-rose entre les élévateurs tout en haut de la photo représente le tissu papillaire interproximal.

Enfin, après incision du périoste, le site a été suturé avec repositionnement passif d'un lambeau d'avancement coronaire, à l'aide d'un matériau de suture résorbable 5-0 (Fig. 15). La radio postopératoire montre les deux implants dans leur position verticale correcte (Fig. 16).

Site chirurgical après sutures sans tension
Fig. 15 : Site chirurgical après sutures sans tension avec du matériau résorbable. Les implants seront mis à nu au bout de six mois afin de réaliser les empreintes.
Radiographie postopératoire
Fig. 16 : Radiographie postopératoire montrant les implants en place, avec le substitut osseux de l'élévation sinusienne interne autour des apex. On observe autour des racines de la dent 24 du matériau provenant de la procédure de GTR.

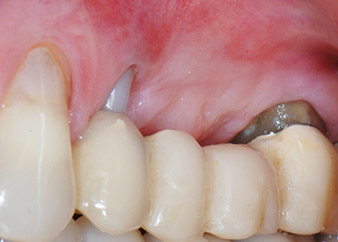
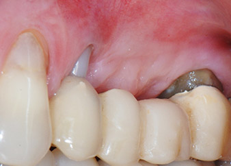
Résultat intermédiaire à deux mois

Les figures 17 et 18 présentent le résultat clinique deux mois après l'intervention chirurgicale. La dent 24 présentait une mobilité réduite, de classe I (Miller) et les tissus mous ne présentaient aucune inflammation. Pour prévenir toute nouvelle infection et pour éviter d'endommager l'attache épithéliale, aucun test n'a été pratiqué à ce stade. Une visite de contrôle a été programmée pour la prochaine incision et la mise en place des parties secondaires de cicatrisation, six mois après l'insertion des implants.

Deux mois après l'intervention chirurgicale
Fig. 17 : Deux mois après l'intervention chirurgicale, la patiente ne ressentait plus aucune douleur et la région ne présentait plus d'inflammation.
après le chirurgie
Fig. 18 : La dent 24 présentait alors une mobilité réduite.

Discussion

Dans le cas présent, nous avons associé la prise en charge d'une lésion endo-parodontale et la pose d'un implant et des procédures simultanées d'élévation sinusienne, de GBR et de GTR sur le maxillaire gauche postérieur. Compte tenu du pronostic défavorable associé aux deux dents piliers du bridge 24-27, les décisions prises concernant les dents avaient pour seul but de répondre au souhait de la patiente de conserver ses dents. De plus, comme elle ne voulait pas d'une prothèse provisoire amovible, le bridge a été rescellé pendant la période d'ostéointégration des implants submergés 25 et 26.

Pronostic et options de restauration

À la consultation des deux mois, la mobilité de l'« élément dentaire » 24 restant était déjà passée de Miller 2 à Miller 1. L'attache des tissus mous était au niveau de la dent voisine 23. De plus, en l'absence de symptômes endodontaux ou parodontaux, son pronostic devra peut-être être révisé.

Cependant, étant donné que la majeure partie de l'os buccal et proximal est absente, et que la structure composite s'étend jusqu'à la section apicale de la racine, on ne peut espérer obtenir un degré de rattachement plus élevé, pour des raisons biologiques (Sculean et al., 2008).

Les procédures d'élévation de plancher sinusien et de régénération GBR donneront vraisemblablement un site alvéolaire capable de soutenir les implants et un bon pronostic (Retzepi and Donus, 2010, Calin et al., 2014). Après l'ostéointégration, les implants en position 25 et 26 seront restaurés à l'aide de couronnes jumelées. Si l'une ou l'autre des dents doit être extraite, elle sera remplacée par une couronne individuelle fixée sur implant.

Sélection du dispositif chirurgical

Pour sa précision et sa douceur, le débridement parodontal et l'apicectomie sur le site 24 ont été effectués à l'aide d'un unit piézoélectrique (Fig. 19). Pour ne pas risquer de perdre la dent, un nettoyage soigneux a été nécessaire, mais sans exercer une pression trop forte. Le dispositif a également été utile pour débrider l'os sur le site de l'intervention, une opération qui fonctionne très bien étant donné l'effet de cavitation et les caractéristiques de découpe spécifiques de la technologie.

nouveau moteur d'implantologie Implantmed
Fig. 19 : Le nouveau moteur d'implantologie utilisé dans l'exemple, avec écran tactile en verre et logiciel doté de fonctionnalités de personnalisation pour les cabinets dentaires.

Le lit implantaire a été préparé à l'aide d'un nouveau moteur d'implantologie (Fig. 20), en combinaison avec un contre-angle spécialement conçu pour la chirurgie orale et l'implantologie.

Grâce à un rapport de transmission de 20:1, ainsi qu'au couple élevé du moteur d'implantologie (jusqu'à 6,2 Ncm), la préparation, l'insertion de l'implant et le taraudage s'effectuent à petite vitesse. La préparation finale jusqu'à la membrane sinusienne a été encore une fois réalisée avec l'unit piézoélectrique et un instrument arrondi recouvert de diamant.

Du point de vue pratique, l'utilisation d'un unit piézoélectrique et d'un moteur d'implantologie dans la même intervention peut sembler compliquée. Cependant, la courbe d'apprentissage pour la programmation et le fonctionnement des deux dispositifs est plane.

moteur d'implantologie combiné au système piézoélectrique
Fig. 20 : Dans ce cas, le moteur d'implantologie a été utilisé en combinaison avec un système piézoélectrique.

De plus, la nouvelle commande au pied sans fil (Fig. 21) commande les deux dispositifs de manière sélective, par simple actionnement de la pédale.

La commande au pied est facile à déplacer grâce à la poignée. Toutes ces fonctionnalités permettent au chirurgien de se concentrer sur le site d'intervention et, avant tout, sur le patient.

commande au pied sans fil
Fig. 21 : Pour simplifier la procédure, les deux dispositifs peuvent être actionnés par une seule et même commande au pied sans fil.

Contact :

Ramon Boninsegna, DDS, PhD

Ramon Boninsegna, DDS, PhD

Chirurgien maxillo-facial et stomatologue (spécialiste), exerce en cabinet à Brescia, Italie ; Section Anatomie et Physiopathologie, Département des Sciences cliniques et expérimentales, Université de Brescia

Centro Medico Duca d’Aosta
Via Duca D’Aosta, 28
25121 Brescia

Luca Bovolato, DDS

Luca Bovolato, DDS

Médecin généraliste spécialisé en endodontie et en dentisterie restauratrice ; exerce en cabinet à Brescia, Italie


Références

  • Baldi, D., Menini, M., Pera, F., Ravera, G. & Pera, P. (2011) Sinus floor elevation using osteotomes or piezoelectric surgery. Int J Oral Maxillofac Surg 40, 497-503.
  • Calin, C., Petre, A. & Drafta, S. (2014) Osteotome-mediated sinus floor elevation: a systematic review and meta-analysis. Int J Oral Maxillofac Implants 29, 558-576.
  • Foce, E. (2009) Lesioni endo-paradontali. Milano: Quintessenza Edizioni.
  • Hajishengallis, G. & Lamont, R. J. (2012) Beyond the red complex and into more complexity: the polymicrobial synergy and dysbiosis (PSD) model of periodontal disease etiology. Mol Oral Microbiol 27, 409-419.
  • Jensen, S. S., Bosshardt, D. D., Gruber, R. & Buser, D. (2014) Long-term stability of contour augmentation in the esthetic zone: histologic and histomorphometric evaluation of 12 human biopsies 14 to 80 months after augmentation. J Periodontol 85, 1549-1556.
  • Nair, P. N. (1997) Apical periodontitis: a dynamic encounter between root canal infection and host response. Periodontol 2000 13, 121-148.
  • Retzepi, M. & Donos, N. (2010) Guided Bone Regeneration: biological principle and therapeutic applications. Clin Oral Implants Res 21, 567-576.
  • Sanz-Sanchez, I., Ortiz-Vigon, A., Sanz-Martin, I., Figuero, E. & Sanz, M. (2015) Effectiveness of Lateral Bone Augmentation on the Alveolar Crest Dimension: A Systematic Review and Meta-analysis. J Dent Res 94, 128s-142s.
  • Schlee, M. & Esposito, M. (2009) Aesthetic and patient preference using a bone substitute to preserve extraction sockets under pontics. A cross-sectional survey. Eur J Oral Implantat 2, 209-217.
  • Sculean, A., Nikolidakis, D. & Schwarz, F. (2008) Regeneration of periodontal tissues: combinations of barrier membranes and grafting materials - biological foundation and preclinical evidence: a systematic review. J Clin Periodontol 35, 106-116.
  • Tan, W. L., Wong, T. L. T., Wong, M. C. M. & Lang, N. P. (2012) A systematic review of post-extractional alveolar hard and soft tissue dimensional changes in humans. Clin Oral Implants Res 23, 1-21.
  • Wallace, S. S., Tarnow, D. P., Froum, S. J., Cho, S. C., Zadeh, H. H., Stoupel, J., Del Fabbro, M. & Testori, T. (2012) Maxillary sinus elevation by lateral window approach: evolution of technology and technique. J Evid Based Dent Pract 12, 161-171.
  • Wolff, J. (1986) The Laws of Bone Remodeling (translated by Maquet, P., Furlang, R.). Berlin: Springer.
  • Wolff, J. & Wessinghage, D. H. (1892) Das Gesetz der Transformation der Knochen. Berlin: Hirschwald.
  • Zhen, F., Fang, W., Jing, S. & Zuolin, W. (2012) The use of a piezoelectric ultrasonic osteotome for internal sinus elevation: a retrospective analysis of clinical results. Int J Oral Maxillofac Implants 27, 920-926.

Commentaires