Informes & Estudios

Implantes individuales para un puente de óxido de circonio con Implantmed

Informe de caso del Dr. Karl-Ludwig Ackermann, Filderstadt, Alemania

Una paciente de 67 años se presentó con coronas bloqueadas en el maxilar superior que era preciso sustituir. Tras la extracción de las piezas dentales 21 y 22, se programaron implantes como nuevos pilares de puentes. Los lechos se prepararán con el nuevo motor para implantología Implantmed y la estabilidad se medirá con el módulo Osstell ISQ integrado de W&H.

resultados radiológicos iniciales
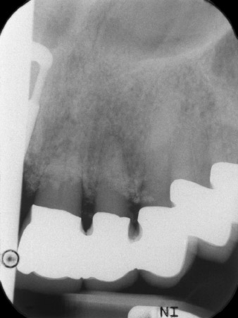
Imagen. 1: Los resultados radiológicos iniciales mostraban una pieza con una corona bloqueada que debía reemplazarse. Durante la extracción, se extrajeron por accidente las piezas dentales 21 y 22.

En la primera visita se trataron las piezas 21, 22 y 23, que presentaban bloqueo en las coronas colocadas hacía 19 años. Estas estaban unidas mediante una férula con los implantes de las posiciones 12/11 (figura 2). La imagen radiológica muestra una pérdida ósea horizontal alrededor de las piezas dentales 21 y 22 (figura 1).

Al extraer el bloque de las coronas estos dientes se habían extraído también de forma accidental. En la pieza dental 23 fracturada en sentido horizontal-coronal, se incorporó un muñón con pernos como tratamiento provisional. Se programó un puente de óxido de circonio en los implantes existentes en las posiciones 12 y 11 y dos nuevos implantes en las posiciones 22 y 23.


Después de la cicatrización primaria, los tejidos blandos se modelaron con ayuda del puente con base reconstruida. Dos meses después, se procedió a la exposición del área con una incisión de la cresta maxilar en sentido ligeramente palatino (figura 2).

El hueso alveolar de la posición 22 resultó tener unas dimensiones suficientes. Las figuras 2 y 4 muestran la preparación del lecho del implante, el corte de rosca y la colocación del implante con el equipo Implantmed.

Medición de la estabilidad del implante

El nuevo motor para implantología se utilizó siempre con los contra-ángulos quirúrgicos adecuados de W&H.

orificio piloto utilizando el nuevo Implantmed y el contra-ángulo WS-56 L
Imagen 2: Dos meses después, se practicó un orificio piloto utilizando el nuevo Implantmed y el contra-ángulo WS-56 L (programa P1, transmisión 1:1). La refrigeración se realizó a través del tubo de spray colocado a la izquierda (para diestros).
Sección de la rosca con el contra-ángulo WS-75 L
Imagen. 3: Sección de la rosca con el contra-ángulo WS-75 L con una transmisión de 20:1 (programa P4). En este caso, resultan útiles el alto torque del Implantmed, el sistema de sujeción hexagonal para una transmisión segura de la fuerza y la inversión automática del sentido de giro cuando hay una alta resistencia.
Enroscado mecánico del implante con el contra-ángulo WS-75 L
Imagen 4: Enroscado mecánico del implante con el contra-ángulo WS-75 L con una transmisión de 20:1 (programa P5).

Para compensar la pérdida de hueso periodontal y conseguir un resultado estético, el implante se combinó con una regeneración ósea guiada con material sustituto xenógeno y con una membrana de colágeno
(figuras 5 y 6).

Material de sustitución ósea xenogénico
Imagen 5:Para conseguir la mejor calidad posible del tejido periimplantario, la zona se aumentó adicionalmente con material sustituto óseo xenógeno y una membrana de colágeno a fin de realizar una regeneración guiada de los tejidos.
Situación después del implante y del aumento
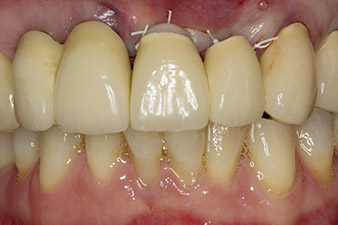
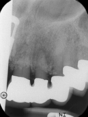
Imagen 6: Situación después del implante y del aumento: el puente antiguo se volvió a colocar como solución provisional para la fase de cicatrización, con el elemento del puente pulido en la posición de implante 22. Como sustituto definitivo se programó un puente de óxido de circonio desde la posición 12 hasta el implante que aún debía insertarse en la posición 23.

En el transcurso de la exposición para el implante en la posición 23, cuatro meses después se midió la estabilidad del implante (cuota de estabilidad del implante) con el módulo Osstell ISQ de W&H integrado en el equipo.

Para ello, se enroscó el SmartPeg adecuado para el sistema de implante y la sonda se colocó a una distancia de 3 a 5 mm respecto al lado frontal del SmartPeg (figura 7).

módulo Osstell ISQ de W&H
Imagen 7: Apenas cuatro meses después, durante la exposición, la estabilidad del implante de la posición 22 se midió utilizando el módulo Osstell ISQ de W&H (valor de medición mesial 68, vestibular 64; estabilidad media).

La figura 8 muestra el equipo Implantmed con toda la zona periférica, pero sin el soporte móvil que también se encuentra disponible.

Implantmed
Imagen 8: El nuevo Implantmed de W&H puede adquirirse opcionalmente con un pedal de control inalámbrico y el módulo Osstell ISQ de W&H.

Equipos sin peligros

En los tratamientos de implantes en la parte frontal del maxilar superior, que tan delicada es desde el punto de vista estético, deben tenerse en cuenta numerosos factores (1).

Entre ellos, cabe citar el diseño y el material de la prótesis (2), así como la cantidad y la calidad de los tejidos periimplantarios.

A esto hay que añadir la cicatrización, la fase temporal (3) y el tipo de fijación (4). Para que se no produzcan otras circunstancias imprevistas adicionales, los odontólogos y cirujanos no pueden correr riesgos cuando se trata de hardware.

Esto no solo afecta al sistema del implante y a la prótesis, sino también al motor de implantología y a los contra-ángulos quirúrgicos correspondientes.

En el caso clínico presentado, la situación se resolvió en la primera intervención con un implante en la posición 22, así como con otro en la posición de la pieza dental 23 extraída en el transcurso posterior. El segundo implante se realizó después de la osteointegración del implante 22. El puente remodelado se volvió a colocar hasta la cicatrización del implante 23 y la conformación para la prótesis definitiva. Las ventajas de este procedimiento escalonado son una capacidad de carga segura de los implantes y una buena maduración de los tejidos duros y blandos (5).

"El motor de implantología ha sido diseñado con éxito"

La preparación del lecho del implante, el corte de rosca y la colocación del implante se realizaron con el nuevo motor para implantología Implantmed que, según la opinión del autor, está realmente muy logrado. En el equipo, el fabricante ha perfeccionado varias características técnicas, por ejemplo, resulta muy útil la estudiada guía de menús, que se maneja a través de la pantalla táctil. Todas las funciones pueden seleccionarse fácilmente y pueden adaptarse al sistema de implantes utilizado y a las preferencias individuales, incluso para hasta seis usuarios dentro de una consulta más o menos grande o una clínica.

El nuevo equipo puede integrarse de forma magnífica en las clínicas de implantología, gracias a sus dimensiones y diseño ergonómico, a sus cómodas bandejas para instrumentos, el pedal de control inalámbrico y a su alimentación de refrigerante limpia. Además, su diseño también es muy atractivo (figura 8).
En el caso clínico presentado también se utilizó el módulo Osstell ISQ de W&H, de venta como accesorio (figura 7). Como la cicatrización del implante se llevó a cabo de forma cubierta, se confirmó su correcta finalización (implante 22).

Si se programa una carga inmediata o temprana, el módulo, en combinación con el torque registrado, permite comprobar la estabilidad primaria necesaria. Todos los datos pueden guardarse en una memoria USB ordenados por sesión o implante, por lo que no solo se cumplen de manera excelente los requisitos clínicos, sino también los forenses.

Dr. Ackermann
Dr. Karl Ludwig Ackermann

Ver más

Ventajas de Implantmed:

Entrevista con el Dr. Ackermann

Fotos: © Ackermann/Kirsch/Neuendorff


Referencias

  1. Dawson A, Chen ST. The SAC Classification in Implant Dentistry. Berlin: Quintessence Publishing Co., 2009.
  2. Martin WC, Pollini A, Morton D. The influence of restorative procedures on esthetic outcomes in implant dentistry: a systematic review. Int J Oral Maxillofac Implants 2014;29 Suppl:142-154.
  3. Zuhr O, Fickl S, Wachtel H, Bolz W, Hurzeler M. Die Versorgung der Extraktionsalveole aus prothetischer Sicht. Implantologie 2006;14:339-353.
  4. Krennmair G, Seemann R, Weinlander M, Wegscheider W, Piehslinger E. Implant-prosthodontic rehabilitation of anterior partial edentulism: a clinical review. Int J Oral Maxillofac Implants 2011;26:1043-1050.
  5. Buser D, Martin W, Belser UC. Optimizing esthetics for implant restorations in the anterior maxilla: anatomic and surgical considerations. Int J Oral Maxillofac Implants 2004;19 Suppl:43-61.

comentarios