Informes & Estudios

Exodoncia de terceros molares simplificada

*Publicado originalmente en Dental Tribune Latin America

La exodoncia de los terceros molares es uno de los procedimientos quirúrgicos más comunes en odontología y, al igual que con la mayoría de procedimientos orales, debe darse bajo rigurosas evaluaciones clínicas y radiográficas que establezcan previamente un plan de tratamiento apropiado, para reducir y/o evitar la incidencia de cualquier complicación o daño.1

La tecnología piezoeléctrica facilita la exodoncia de terceros molares, evitando la utilización de cinceles o instrumentos rotatorios para realizar la osteotomía que permita el acceso quirúrgico a la muela del juicio. Los autores identifican en este artículo cada paso necesario para este procedimento.

Sexto de una serie de 11 artículos

El procedimiento puede variar en su complejidad dependiendo de su ubicación, profundidad, angulación, y la densidad ósea circundante.2 Uno de los pasos más críticos y cruciales en la extracción es la osteotomía previa y concomitante al acceso quirúrgico del diente, para lo cual se utilizan diversos instrumentos como cinceles y martillos, instrumental rotatorio o de corte por ultrasonido.3

Estos pueden ser de carácter altamente invasivo, lo que implica riesgo de lesión en tejidos blandos y óseos, y con una consecuente reacción inflamatoria significativa. Suelen estar acompañadas de síntomas postoperatorios como dolor, edema y apertura bucal limitada en casos de espasmo muscular a causa de la manipulación de los maxilares.4

Para proceder a la eliminación de terceros molares debe realizarse una valoración general, que incluye un adecuado diagnóstico, indicaciones, contraindicaciones y riesgos de la técnica elegida en el paciente.5,6

La principal indicación para la extracción de terceras molares es la presencia de patología asociada a la misma pieza, como caries no restaurables, fracturas, quistes, tumores y en algunos casos, pericoronaritis no tratables. También de lesiones asociadas a piezas adyacentes como zonas cariosas proximales, resorciones radiculares o enfermedad periodontal activa. Adicionalmente, se puede indicar su extracción cuando representa un obstáculo en planes de tratamiento ortodónticos, protésicos o quirúrgicos complejos.7

El instrumento piezoeléctrico utiliza un corte micrométrico que retira un área de superficie mínima de hueso, y reduce el riesgo de termonecrosis marginal en comparación con las fresas rotatorias convencionales.

Para realizar la técnica de extracción de una tercera molar, una vez que se ha confirmado su diagnóstico, se debe considerar la posición del diente (vertical, mesioangular, distoangular, horizontal u otras), profundidad y grado de impacto, obstrucción a la erupción asociada a la segunda molar, morfología de la raíz (la curvatura de las raíces controla el camino de la exodoncia), relación con el canal del conducto dentario inferior, la patología asociada, la densidad ósea y la Integridad de la segunda molar.

Las piezas de mano de alta velocidad suelen emplearse para la eliminación de tejidos duros alrededor de cordales parcial o totalmente impactados. Según análisis morfológicos, el accionar de la fresa produce superficies irregulares y osteonecrosis marginal como resultado de la alta temperatura generada durante la extirpación del hueso.8

En contraste, el instrumento piezoeléctrico utiliza un corte micrométrico que retira un área de superficie mínima de hueso, y reduce el riesgo de termonecrosis marginal en comparación con las fresas rotatorias convencionales.9 Los micromovimientos mejoran la precisión en el corte y el control táctil, y eliminan las macrovibraciones que se producen con los instrumentos rotatorios.10 Su frecuencia de oscilación es la amplitud de 60-200 μm horizontalmente y de 20-60 μm en sentido vertical, lo que es muy inferior en comparación con las micro sierras oscilantes; por lo tanto, proporciona cortes de osteotomía precisos y seguros. Adicionalmente, posee vibraciones ultrasónicas que descomponen el líquido de irrigación en partículas muy pequeñas (fenómeno de cavitación, que produce un efecto hemostático y así reduce la pérdida de sangre), lo que proporciona una visión clara y sin obstáculos del campo quirúrgico11,12.

Jian Q. et al13 indicaron que, aunque los pacientes sometidos a piezocirugía experimentaron un tiempo de cirugía más prolongado, tuvieron menos inflamación postoperatoria, lo que indica que la piezocirugía es una técnica alternativa prometedora para la exodoncia de terceros molares impactados. Mientras que Rullo et al14 asocian las intervenciones más largas con más dolor, especialmente con la acción de corte micrométrico más lenta del dispositivo piezoeléctrico. Debe considerarse que el dolor después de la extracción del tercer molar también depende de otros factores asociados, como la extensión del levantamiento del colgajo, el tabaquismo, la higiene bucal, la edad, la ansiedad y la historia de pericoronitis.

Aplicaciones clínicas

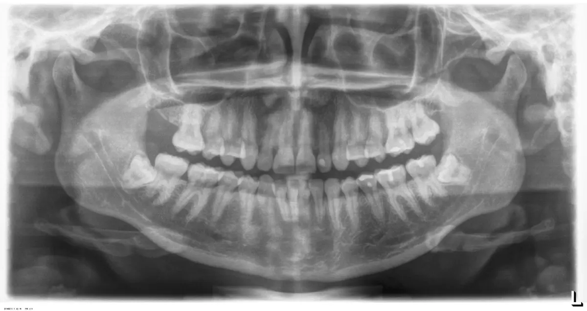
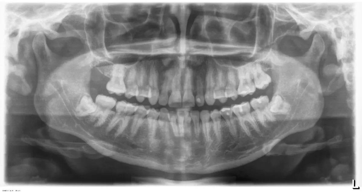
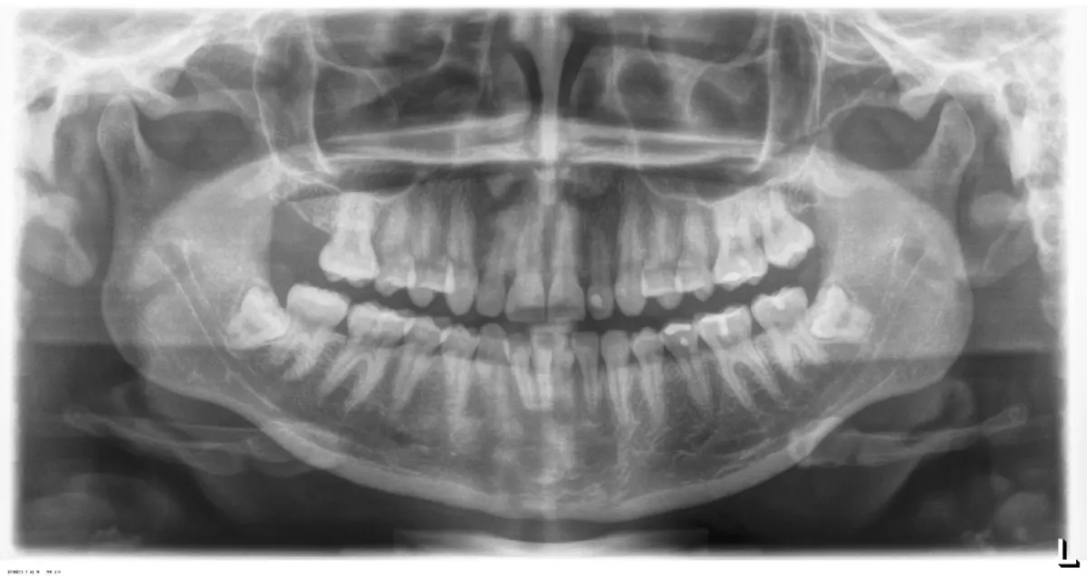
Es imprescindible conocer la ubicación de la tercera molar. Se puede emplear, adicionalmente a la evaluación clínica, herramientas radiográficas (panorámica y periapical) y tomográficas (Cone beam) para determinar la posición, grado de retención y proximidad a estructuras vecinas de riesgo como el nervio dentario inferior y así evitar lesiones (Figura 1).

Figura 1. Posición del tercera molar: Tercer molar en posición vertical (a). Tercer molar en posición mesioangulada (b). Tercer molar en posición horizontal (c).

El procedimiento se inicia colocando anestesia troncular para bloqueo del nervio dentario inferior y sus ramas. Luego, se establecerá el diseño de acceso según la disposición de la molar a extraer. Para fines didácticos, se explicará cómo se realizaría la extracción de la molar de la Figura 1: se realiza una incisión horizontal a nivel de la zona retromolar hasta llegar a distal de la segunda molar, continuándose con una incisión intrasurcular hasta mesial de la segunda molar, finalizando con una incisión vertical a espesor total hasta llegar a la línea mucogingival (Figura 2).

Figura 2. Diseño de incisión para el acceso a la tercera molar.
Figura 3. Decolado a espesor total para el acceso a la tercera molar.
Figura 4. Demarcación de la zona de osteotomía con insertos de corte recto y/o angulado a nivel oclusal. Vista frontal (a). Vista oclusal (b).
Figura 5. Fractura y eliminación oclusal del fragmento óseo de la porción coronal oclusal.
Figura 6. Demarcación y fractura de la zona de osteotomía a nivel vestibular con inserto aserrado recto y/o angulado.
Figura 7. Eliminación del fragmento vestibular.
Figura 8. Odontosección mediante fresa de alta rotación y/o inserto de corte de piezoeléctrico. Posteriormente se procede al ensanchamiento del espacio pericoronario con el periótomo de piezoeléctrico para facilitar la avulsión de la pieza dentaria.
Figura 9. Avulsión de la parte coronaria de la tercera molar.
Figura 10. Tracción mesial del remanente dentario utilizando botadores en bandera.
Figura 11. Avulsión del remanente radicular de la tercera molar.
Figura 12. Eliminación del capuchón pericoronario y verificación del lecho óseo posterior a la exodoncia.
Figura 13. Afrontamiento del colgajo y sutura.

Caso clínico: Exodoncia de tercer molar retenido

Paciente de sexo femenino con 34 años, acude a consulta por molestia en la zona 38. Clínicamente se observa zona edematizada, sintomática a la palpación. Presenta apertura ligeramente limitada, crepitación unilateral en ATM (articulación temporomandibular) derecha, asintomática a la apertura o cierre articular. En el examen imagenológico se confirma impactación dental con posible compromiso distal de la pieza 37. Pieza 38 en relación IIIC (Pell-Gregory,1993) y posición mesioangulada (Winter, 1926) con aparente formación incompleta de raíces.

Figura 14. Vista radiográfica de la situación de la paciente.
Figura 15. Vista clínica de la pieza 3.8 retenida (a). Incisión intrasulcular vestibular y distal e incisión vertical por mesial de 3.7 (b). Incisión horizontal en dirección distal de la pieza 3.7 con punta de corte del electro bisturí (c).
Figura 16. Cauterización con inserto de punta de coagulación del electro bisturí (a). Elevación del colgajo (b). Osteotomía con el inserto plano de corte de punta aserrada del piezoeléctrico (c).
Figura 17. Osteotomía con el inserto plano de corte de punta aserrada del piezoeléctrico (a, b). Demarcarción de los límites de la ostectomía del fragmento óseo (c).
Figura 18. Finalización de la osteotomía del primer fragmento óseo con inserto plano de corte de punta aserrada del piezoeléctrico (a, b, c).
Figura 19. Retiro del primer fragmento óseo (a, b). Extirpación del segundo bloque óseo con el inserto plano de corte de punta aserrada (c).
Figura 20. Retirada del segundo fragmento óseo (a). Ampliación de la ventana ósea con el inserto plano de corte de punta aserrada (b).
Figura 21. Ampliación de la ventana ósea con el inserto plano de corte de punta aserrada (a). Extirpación de tejido blando remanente con inserto de corte y coagulación del electro bisturí (b). Exposición de la corona clínica de la pieza 3.8 (c).
Figura 22. Ampliación de ventana ósea distal con inserto plano de corte de punta aserrada (a). Desplazamiento distal de pieza 38 con botador recto convencional (b).
Figura 23. Luxación de pieza 3.8 con botador recto convencional (a). Extracción de pieza 3.8 (b).
Figura 24. Exodoncia de la pieza 3.8 (a). Lecho óseo posterior a la exodoncia pieza 3.8 (b).
Figura 25. Tres vistas en diferentes angulaciones de la pieza 3.8, en dónde se observa la dilaceración y proximidad de las raíces (a, b, c).
Figura 26. Afrontamiento y sutura del colgajo con hilo de ácido poliglicólico (a, b).

Conclusión

El piezoeléctrico, que utiliza un corte de tipo micrométrico para evitar causar daño tisular, reduce notablemente el riesgo de termonecrosis marginal en la exodoncia de terceros molares, en comparación con las fresas rotatorias convencionales.

Serie Especial: Piezocirugía
Haga clic aquí para ver el resumen de los 11 artículos.

La serie de artículos sobre Piezocirugía está basada en el libro de José Carlos Rosas y colaboradores sobre esta tecnología.

El libro, escrito con Jerson Palomino Zorrilla, Karla Díaz Cavero y María Eugenia Guerrero Acevedo, de la Universidad Privada San Juan Bautista, en Lima (Perú), ofrece la evidencia científica más actual para respaldar el valor clínico de diversos procedimientos con piezoeléctrico, cuya utilidad práctica en el consultorio demuestra mediante la publicación de numerosos casos clínicos.

El libro "Cirugía piezoeléctrica. Generalidades y aplicaciones clínicas" explica los fundamentos de esta tecnología y muestra su utilidad práctica en el consultorio mediante casos clínicos.

Referencias

  1. Lui JN, Khin MM, Krishnaswamy G, et al. Prognostic factors relating to the outcome of endodontic microsurgery. J Endod. 2014;40(8):1071-1076.
  2. Kerekes K, Tronstad L. Long-term results of endodontic treatment performed with a standardized technique. J Endod. 1979;5(3):83-90.
  3. Lieblich SE. Endodontic surgery. Dent Clin North Am. 2012;56(1):121-ix.
  4. Walton RE, Ardjmand K. Histological evaluation of the presence of bacteria in induced periapical lesions in monkeys. J Endod.1992;18(5):216-27.
  5. Tronstad L, Barnett F, Cervone F. Periapical bacterial plaque in teeth with refractory to endodontic treatment. Endod Dent Traumatol. 1990;6(2):73-7.
  6. Jepsen K, Schneider E, Dommisch H, et al. Management of a Central Incisor with Horizontal Root Fracture for Esthetic and Functional Rehabilitation. Int J Periodontics Restorative Dent. 2016;36(1):65-73.
  7. Brito-Junior M, Faria-e-Silva AL, Quintino AC, et al. Orthograde retreatment failure with extruded MTA apical plug in a large periradicular lesion followed by surgical intervention: case report. Gen Dent. 2012;60(2):96-100.
  8. Szalma J, Soós B, Krajczár K, et al. Piezosurgical management of sealer extrusion-associated mental nerve anaesthesia: A case report. Aust Endod J. 2019;45(2):274-280.
  9. Kang M, In Jung H, Song M, et al. Outcome of nonsurgical retreatment and endodontic microsurgery: a meta-analysis. Clin Oral Investig. 2015;19(3):569-582.
  10. Abella F, de Ribot J, Doria G, et al. Applications of piezoelectric surgery in endodontic surgery: a literature review. J Endod. 2014;40(3):325-332.
  11. Kim S, Kratchman S. Modern endodontic surgery concepts and practice: a review. J Endod. 2006;32(7):601-23.
  12. Song M, Nam T, Shin SJ, Kim E. Comparison of clinical outcomes of endodontic microsurgery: 1 year versus long-term follow-up. J Endod. 2014;40(4):490-494.
  13. Lofthag-Hansen S, Huumonen S, Gröndahl K, et al. Limited cone-beam CT and intraoral radiography for the diagnosis of periapical pathology. Oral Surg Oral Med Oral Pathol Oral Radiol Endod. 2007;103(1): 114-9.
  14. Strbac GD, Schnappauf A, Giannis K, et al. Guided Modern Endodontic Surgery: A Novel Approach for Guided Osteotomy and Root Resection. J Endod. 2017;43(3):496-501.
  15. Moreno-Rabié C, Torres A, Lambrechts P, et al. Clinical applications, accuracy and limitations of guided endodontics: a systematic review. Int Endod J. 2020;53(2):214-231.
  16. Kocyigit ID, Atil F, Alp YE, et al. Piezosurgery versus conventional surgery in radicular cyst enucleation. J Craniofac Surg. 2012; 23(6):1805-8.
  17. Hirsch V, Kohli MR, Kim S. Apicoectomy of maxillary anterior teeth through a piezoelectric bony-window osteotomy: two case reports introducing a new technique to preserve cortical bone. Restor Dent Endod. 2016;41(4):310-315.
  18. Gagliani M, Taschieri S, Molinari R. Ultrasonic root-end preparation: influence of cutting angle on the apical seal. J Endod. 1998;24(11):726-30.
  19. Rubinstein RA, Kim S. Short-term observation of the results of endodontic surgery with the use of surgical operation microscope and Super-EBA as root end filling material. J Endod. 1999;25(1):43-8.
  20. Del Fabbro M, Tsesis I, Rosano G, et al. Scanning electron microscopic analysis of the integrity of the root-end surface after root-end management using piezoelectric device: a cadaveric study. J Endod. 2010;36(10):1693-7.
  21. Tsesis I, Rosen E, Taschieri S, et al. Outcomes of surgical endodontic treatment performed by a modern technique: an updated meta-analysis of the literature. J Endod. 2013;39(3):332-9.
  22. Bastien AV, Adnot J, Moizan H, et al. Secondary surgical decompression of the inferior alveolar nerve after overfilling of endodontic sealer into the mandibular canal: Case report and literature review. J Stomatol Oral Maxillofac Surg. 2017;118(6):389-392.

comentarios