News
05.02.2025
Having trouble cutting Zirconia?
The concept of using rotary instruments to cut hard materials dates back at least 6,000 years. Ancient humans were using hand-held lithic burs to cut through shells, bones and teeth employing a method involving low-speed rotation with high torque. Modern dental handpieces have significantly advanced this principle, enabling precise cuts into much harder materials such as dental ceramics.
27.01.2025
“When we founded our new company, we started directly with three surgical towers”
The oral and maxillofacial surgery referral practice FINE MKG in Heiligenhaus (City in North Rhine-Westphalia) was opened in August 2023. Two vacant office spaces formed the spatial basis. Spacious and light-flooded treatment rooms with an operating area have been created on a total of 700 square meters – and W&H products can be found in every room. And for good reasons.
08.10.2024
Overcoming challenges in processing zirconia and advanced ceramic materials
Ceramic materials such as zirconia are being used more and more frequently in modern restorative dentistry. However, removing zirconia restorations with conventional contra-angle handpieces is a challenging and lengthy procedure. Added to this is the high wear on the burs, especially with monolithic material. In some cases, the bur has to be changed at one-minute intervals. To address this problem, W&H has developed a new product line specifically tailored for these applications.
23.09.2024
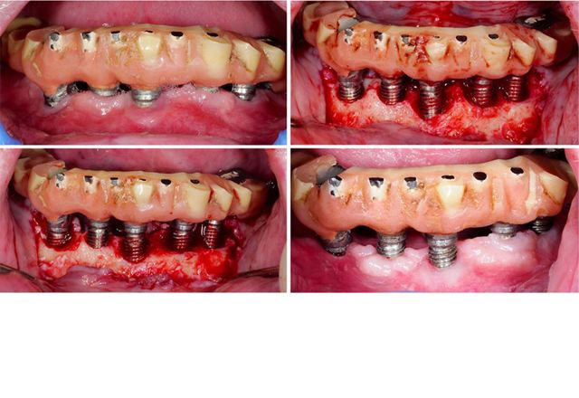
The (orally) healthy patient with implants
In the medical history, the 55 year-old patient states that he has no systemic disease and is not taking any medication. The patient’s lifestyle is similarly unremarkable. The patient has a few tooth restorations and two implants (2nd and 4th quadrants). On the basis of current findings, gingivitis is identified in an otherwise stable periodontal condition on the reduced periodontium (stage III, grade A).
16.09.2024
Osseodensification versus piezoelectric surgery for implant site preparation
Osseodensification is a non-subtractive drilling technique that preserves and compacts bone. This procedure attempts to increase bone density, insertion torque and implant stability. The technique is suitable for horizontal augmentation in narrow alveolar ridges, as well as for vertical height gain via crestal sinus lift.
02.09.2024
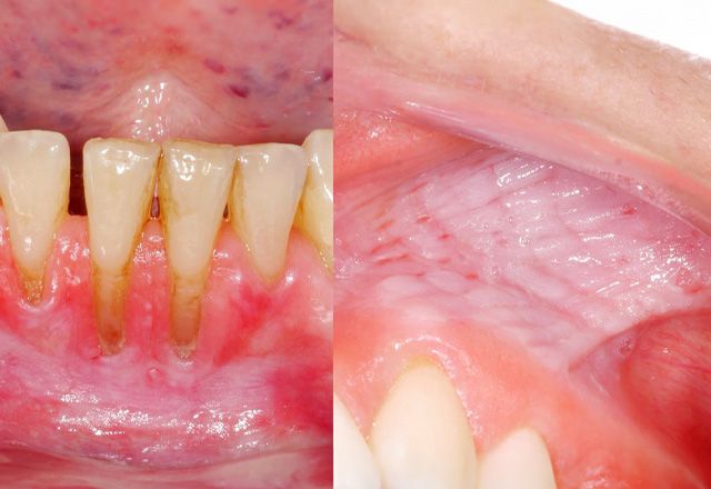
The healthy patient with pre-existing periodontal disease & peri-implantitis
A 52-year-old patient presents at a prevention session. The patient has no systemic disease and is not taking any medication. He has had various dental treatments and also has two active carious lesions. In addition, the patient has four implants (2nd, 3rd and 4th quadrants). He is revealed to have early periodontal disease (stage IV, grade B). His periodontal condition is stable; a probe depth of 5 mm is only evident at the implant in region 36. Gingivitis is also identified.
30.08.2024
ISQ as a guide for implant rehabilitations
Long-term success in implant therapy is an aim that all clinicians strive for. Fundamental to this is proper implant placement, surgical site preparation, and good osseointegration after insertion. Although a torque value is a basic prerequisite for primary stability, it alone does not provide complete information for the clinician. Therefore, knowledge of ISQ values is fundamental to assess both primary implant stability (mechanical stability) and secondary implant stability (biological stability or osseointegration).
19.07.2024
Snus causes mucosal lesions & gingival recession
Snus is usually brought into contact with the oral mucosa via its placement beneath the upper lip, and in some cases under the lower lip, whereby the nicotine it contains can enter the bloodstream via the oral mucosa
19.07.2024
Stress + poor sleep = even more periodontitis …?
Stress, defined as a state in which the affected individual perceives a sense of threat or lack of control, as well as sleep disorders and poor sleep quality, are both undeniably issues that cause a significant degree of difficulty in today’s society.
04.06.2024
Innovation and problem-solving with W&H's Synea Power Edition
The concept of using rotary tools to cut hard materials, such as granite, is at least 6,000 years old. As early as 25,000 BCE, our ancestors were using hand-held lithic borers to cut through shells without breaking them. These tools were generally made of flint, and pressed against the object to be perforated and then rotated back and forth at low speed and relatively high torque. Powerful modern handpieces have elevated the principle of variable speed and high torque to enable precise cuts into much harder materials like zirconia.
23.05.2024
Is one visit to the dentist per year enough if you have implants?
This study once more underlines that patients who do not regularly attend check-ups after receiving their implant-supported restoration have a very high risk of peri-implant diseases in general and specifically peri-implantitis; based on this data, at least two check-up visits per year are recommended.
12.04.2024
Tooth or implant?
The fight for periodontally compromised teeth and therefore retaining these teeth usually also pays off for patients from a financial perspective and is usually cheaper than extraction and subsequent implantation.
12.04.2024
More arthritis, more periodontitis?
Patients with rheumatoid arthritis are at significantly higher risk of periodontitis and this risk increases further for patients with particularly active rheumatoid arthritis.
26.03.2024
What does interdental cleaning achieve in the long term?
Interdental cleaning with dental floss or interdental brushes significantly reduces interdental plaque build-up and even tends to lead to a reduced rate of tooth loss in the long term.
15.03.2024
A pragmatic approach to manage
peri-implant biological complications
Explore the complexities of dental implant care: This scientifically backed article summarises the critical aspects of diagnosis, oral hygiene, and expert strategies for the effective management of both, mucositis and peri-implantitis.
08.03.2024
Periodontal treatment improves more than just the periodontium in diabetics
A non-surgical periodontal treatment can reduce the long-term blood glucose level (HbA1c) in type 2 diabetics by 0.3% and this effect persisted even after six months following treatment.
08.03.2024
Caution parents – risk of infection!
Untreated periodontal disease in parents can negatively influence the development of their children’s oral microbiome and promote the development of a dysbiotic oral microbiome.
20.11.2023
Implant crowns must be kept clean… but how?
The shape of an implant crown has a significant influence on how well it can be kept clean using home oral hygiene, and concave crown shapes appear to be easier to clean; it also seems that the underside of an implant crown in the molar area is easiest to access with dental floss.
20.11.2023
Unhealthy lifestyle = worse treatment outcomes?
Factors that can be categorised as a poor lifestyle, and primarily also a combination thereof, significantly increased the number of residual pocket probing depths with ≥ 6 mm and significantly reduced the likelihood of attaining the desired treatment outcome in periodontitis patients following non-surgical periodontal treatment (treatment step 1 and 2).
23.10.2023
Successful treatment – does it make a difference? Part 2
Commonly used definitions for successful periodontal treatment are extremely difficult to achieve, but are nevertheless associated with a lower rate of tooth loss; however, the tooth loss rate in patients who regularly attend supportive periodontal treatment sessions is generally very low.
23.10.2023
Prevention is the best treatment – Part 2
Biofilm accumulation is the main aetiological factor in the development of peri-implant diseases; plaque control and supportive implant therapy are therefore crucial in preventing peri-implant diseases.
25.09.2023
Social participation in society even without teeth?
In old age, tooth loss leads to significantly reduced social participation in society, while maintaining a minimum of 20 teeth has the opposite effect and leads to a significant improvement and therefore more frequent social participation.
25.09.2023
Patient- and implant-related factors – what affects the outcome of treatment?
In this study, non-surgical treatment of peri-implantitis was only successful in 25% of cases and was adversely affected by a medical history involving periodontitis and smoking, inadequate oral hygiene and a wide implant diameter.
29.08.2023
Keratinised soft tissue crucial for implants
The prevention of peri-implant diseases is the best treatment and the peri-implant soft tissue can play a decisive role here; for this reason, the team should discuss if there is a need for treatment in patients with a lack of keratinised mucosa (i.e. < 2 mm width of keratinised mucosa).
29.08.2023
Implants – Also a success story from a patient perspective?
A very high percentage of patients had a positive experience of implant treatment and most patients were very happy with the result; however, frequent points of criticism were the treatment costs and the cleansing ability.
26.07.2023
Exercise is great for our health … and our teeth too?
Women who exercise regularly showed a significantly reduced risk of periodontitis and a significantly reduced severity of periodontitis.
26.07.2023
No teeth, no quality of life?
Rehabilitation and replacement of missing teeth lead to a significant improvement in quality of life relating to oral health and also tend to improve general health.
26.06.2023
Periodontitis also impairs our sense of
taste and smell!
A questionnaire-based survey showed that periodontitis significantly increases the risk of an impaired sense of taste and smell.
26.06.2023
Smoking and increased probing depths are early warning signs
Smoking and increased probing depths at a young age (i.e. at an age of < 20 years) are significant risk factors for the early onset of periodontitis (i.e. at an age of < 30 years).
24.05.2023
Tooth brushing in just 10 seconds?
Automatic toothbrushing could have future potential, but still requires further technical developments to improve existing shortcomings with regard to customizsation for different jaw sizes and tooth positions, interdental spaces and choice of optimal brushing time.
24.05.2023
When as well as possible is not good enough
Even when told to brush their teeth as well as possible, the quality of tooth brushing among young adults is poor; the main weaknesses are cleaning palatal/lingual surfaces and overall brushing technique.
02.05.2023
Prevention is the best treatment!
Optimal diabetes control, regular supportive implant therapy and augmentation of peri-implant soft tissue deficits have proven to be crucial features in primary prevention of peri-implant diseases.
27.04.2023
Peri-implant mucositis – are chemical adjunctive therapies effective? Part 2!
Additional measures locally applied or taken systemically by the patient (e.g. antiseptics in the form of mouth-rinse solutions or probiotics) could have an additional positive effect in the treatment of peri-implant mucositis.
31.03.2023
Non-surgical peri-implantitis treatment – chemical cleaning ...?
Chemical additives for cleaning the implant surface as part of non-surgical peri-implantitis therapy may make sense, but there is a shortage of well-conducted studies with a sufficient number of patients and a long-enough follow-up period to really be able to recommend a specific method and/or a specific product.
31.03.2023
Non-surgical peri-implantitis treatment – gold standard ...?
Due to a continuing lack of well-conducted clinical studies, it is still not possible, based on the evidence, to give a clear treatment guideline for mechanical cleaning as part of non-surgical peri-implantitis treatment.